Thrombus in Transit Complicating Submassive Pulmonary Embolism
VASCULAR DISEASE MANAGEMENT 2021;18(7):E110-E112
Key words: computed tomography, pulmonary embolism, revascularization, thrombus
Introduction
The prevalence of right-sided thrombus (RHT) in the setting of pulmonary embolism (PE) is rare; up to 4%–18% can appear simultaneously.1 The existence of both entities constitutes an increased incidence in mortality compared to pulmonary embolism alone. In the absence of atrial fibrillation and atrial flutter, the presence of a right-sided thrombus (RHT) is the result of thrombus migration from the deep vein system. Transthoracic echocardiography is a non-invasive essential means of establishing the diagnosis.
An 88-year-old female with a past medical history of essential hypertension and Alzheimer’s dementia presented to the emergency department with a six-hour history of abrupt onset dyspnea. On admission, her heart rate was 99 bpm, her blood pressure was 110/75 mmHg, respiratory rate was 21, and her oxygen saturation was 88% on room air.
Physical examination was significant for jugular venous pressure of 12 cm of water. Cardiovascular examination revealed a prominent P2. In addition, a grade III/IV holosystolic murmur was heard on the left lower sternal border. No other remarkable findings were noted.
Case Presentation
Investigation. Laboratory results revealed troponin I, 0.121 ng/ml (reference 0.034); prothrombin time 11.9 (reference 9.4-12.5), N-terminal pro B-type natriuretic peptide 12600 (reference 0-450) activated partial thromboplastin time 30 seconds (reference 25.1-36.5), D-Dimer 3394 (reference 0-316). Covid-19 PCR was negative.
The electrocardiogram showed HR 96 bpm. Sinus rhythm, right axis deviation, and no ST/T changes (Figure 1). The chest x-ray showed no cardiovascular abnormalities.
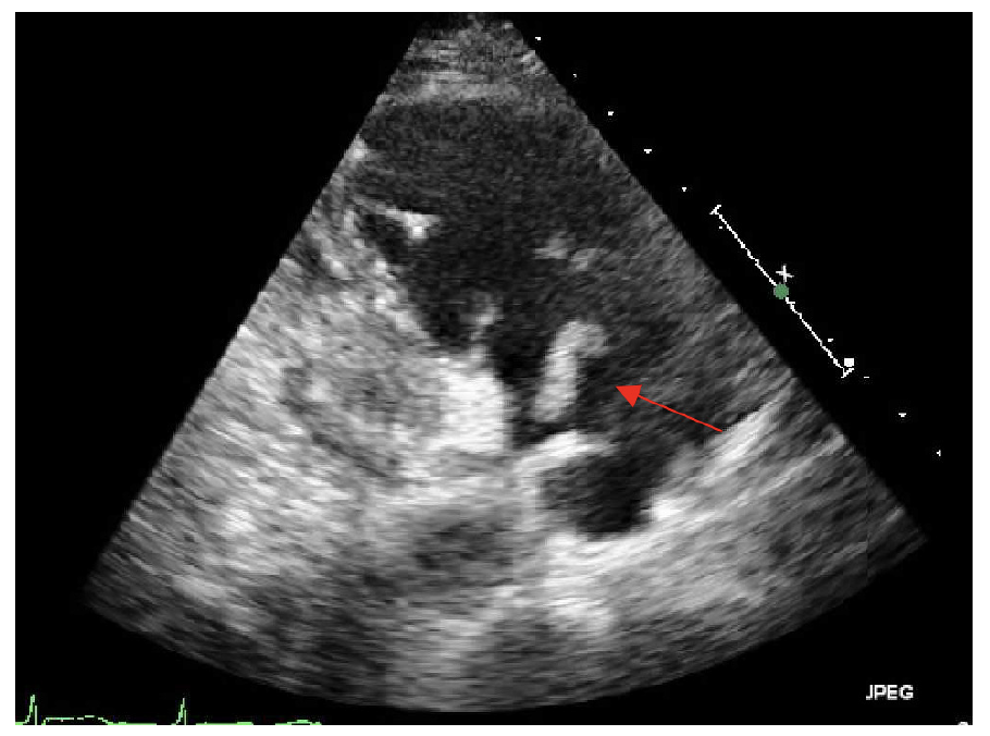
Transthoracic echocardiography showed severe dilated right chambers. There was a large, highly mobile right atrial thrombus (Figure 2), with severe systolic right ventricular dysfunction: severe tricuspid regurgitation and pulmonary artery systolic pressure of 100 mmHg (Figure 3).
A high-risk submassive pulmonary embolism (PE) was suspected, and a bolus of unfractionated heparin was given, followed by continuous intravenous (IV) infusion.
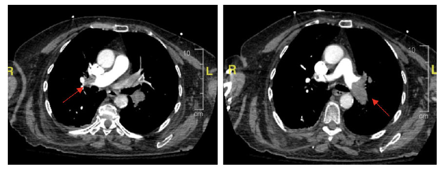
A PE protocol computed tomography angiography revealed inversion of the ventricular ratio with straightening of the interventricular septum compatible with right ventricle strain. Pulmonary emboli extending into the right and left pulmonary arteries with partially occluded filling defects extending into all lobes (Figure 4).
Venous Doppler of the bilateral lower extremities did not reveal a deep vein thrombus.
Follow-up and outcome. The risks and benefits of catheter-guided thrombolysis versus surgical embolectomy were discussed at length with the family. The family declined the surgical approach due to the patient's advanced age and baseline dementia and agreed with catheter-guided thrombolysis.
While awaiting transportation to the cardiac suite, the patient became unresponsive. High-quality CPR was initiated as per ACLS protocol. Return of spontaneous circulation (ROSC) was attained within 4 minutes, but a second cardiac arrest then occurred, and the patient was noted to be in ventricular fibrillation. Resuscitative efforts restarted, but ROSC was never obtained, and the patient passed.
Discussion
This association of RHT and PE carries a high mortality rate when compared to acute PE alone. The visualization of a thrombus in transit is a rare echocardiographic finding that carries a mortality rate up to 27% and goes up to 100% with the absence of treatment. The prevalence of RHT in the setting of acute PE is 4%-18%.1
Two types of RHT have been described. Type A thrombi are visualized in transit within the right cardiac cavities, morphologically serpiginous, highly mobile, and associated with PE. Type B thrombi are not mobile, formed in situ and are associated with underlying cardiac abnormalities. Based on the TTE images, this patient had a Type A thrombus.1,2,3
PE is classified as massive when there is shock or persistent hypotension (ie, a systolic blood pressure <90 mmHg, need for vasopressors, or a decrease in the systolic blood pressure by ≥40 mmHg from baseline for 15 minutes or longer despite resuscitation.3,4
This 88-year-old patient presented as a submassive high-risk PE (PESI score 108) based on the absence of hypotension but with evidence of abnormal RV function by echocardiography (dilated right ventricle by CTA or echocardiography) and an elevated troponin and/or NT-pro BNP. A submassive low-risk PE is when patients are normotensive and have either abnormal RV function by CTA or echocardiography or an elevated troponin and/or NT-pro BNP.3,4,5
Treatment modalities for RHT include anticoagulation therapy, systemic thrombolysis, catheter-guided thrombolysis, and surgical embolectomy.
Results from the International Cooperative Pulmonary Embolism Registry Patients with right heart thrombus had a shorter duration of symptoms, lower systolic blood pressure (BP) (116.0 ± 28.8 vs 125.7 ± 25.0 mm Hg, P=.008), and more frequent right ventricular hypokinesis and congestive heart failure (26% vs 13%, P=.024). The overall mortality rate at 14 days and at three months was higher in patients with RHT (21% vs 11%, P= .032, and 29% vs 16%, P=.036). The difference in early mortality was observed almost entirely within the subgroup of patients treated with heparin alone (23.5% vs 8%, P=.02), despite similar clinical severity at presentation.3,6
In submassive high-risk PE, thrombolytics mainly prevent hemodynamic deterioration and long-term pulmonary hypertension. In the PEITHO trial, patients with intermediate-risk pulmonary embolism who were treated with standard anticoagulation had a 5.6% incidence of death or hemodynamic decompensation (the primary efficacy outcome). Fibrinolysis resulted in a significantly lower risk of the primary outcome (2.6%). Fibrinolytic treatment was associated with a 2.0% rate of hemorrhagic stroke and a 6.3% rate of major extracranial hemorrhage.7-9
Ganesh et al analyzed 328 patients from January 1992 to February 2013 with RHT and pulmonary embolism. The treatment modalities were no treatment in 11 patients (3.4%), anticoagulation with heparin in 70 patients (21.3%), thrombolytic therapy in 122 patients (37.2%), catheter-related treatments in five patients (1.5%), and surgical embolectomy in 120 patients (36.6%). The mortality rate associated with no therapy was highest at 90.9%. The mortality related to anticoagulation alone was significantly higher than surgical embolectomy or thrombolysis (37.1% vs 18.3% vs 13.7%, respectively).8
Conclusion
The prevalence of RHT and PE is rare but constitutes a medical emergency with a high mortality rate. This case highlights the importance of a transthoracic echocardiogram as a diagnostic tool for diagnosing and managing this entity. Treatment modalities for RHT include anticoagulation therapy, systemic thrombolysis, and catheter-guided thrombolysis. Current guidelines recommend surgical embolectomy when thrombolysis is contraindicated or ineffective.
Disclosure:The authors have completed and returned the ICMJE Form for Disclosure of Potential Conflicts of Interest. The authors report no conflicts of interest regarding the content herein. The patient’s family provided consent for the images used herein.
Address for correspondence: Luis Carabello, MD, Cleveland Clinic Florida, Weston, Florida. Email: lcaraballo86@gmail.com
REFERENCES
1. Ogren M, Bergqvist D, Eriksson H, Lindblad B, Sternby NH. Prevalence and risk of pulmonary embolism in patients with intracardiac thrombosis: a population-based study of 23 796 consecutive autopsies. Eur Heart J. 2005;26:1108-1114.
2. Burns KE, McLaren A. Catheter-related right atrial thrombus and pulmonary embolism: a case report and systematic review of the literature. Can Respir J. 2009; 16:163-165.
3. European Working Group on Echocardiography. The European Cooperative Study on the clinical significance of right heart thrombi. Eur Heart J. 1989;10:1046-1059.
4. Mollazadeh R, Ostovan MA, Abdi Ardekani AR. Right cardiac thrombus in transit among patients with pulmonary thromboembolic. Clin Cardiol. 2009;32:E27-E31.
5. Kinney EL, Wright RJ. Efficacy of treatment of patients with echocardiographically detected right-sided heart thrombi: a meta-analysis. Am Heart J. 1989;118:569-573.
6. Chartier L, Béra J, Delomez M, et al. Free-floating thrombi in the right heart: diagnosis, management, and prognostic indexes in 38 consecutive patients. Circulation. 1999;99:2779-2783.
7. Meyer G, Vicaut E, Danays T, et al. for the PEITHO investigators. Fibrinolytic therapy in patients with intermediate-risk pulmonary embolism is controversial. N Engl J Med. 2014;370:1402-1411.
8. Athappan G, Sengodan P, Chacko P, Gandhi S. Comparative efficacy of different modalities for treatment of right heart thrombi in transit: a pooled analysis. Vasc Med. 2015; 20:131-138.
9. Avgerinos ED, Saadeddin Z, Abou Ali AN, et al. A meta-analysis of outcomes of catheter-directed thrombolysis for high- and intermediate-risk pulmonary embolism. J Vasc Surg Venous Lymphat Disord. 2018;6:530-540.


