Superior Rectal Artery Embolization: Emborrhoid Technique and Literature Review
© 2023 HMP Global. All Rights Reserved.
Any views and opinions expressed are those of the author(s) and/or participants and do not necessarily reflect the views, policy, or position of Vascular Disease Management or HMP Global, their employees, and affiliates.
VASCULAR DISEASE MANAGEMENT. 2023;20(7):E140-E143
Abstract
Purpose: To describe the embolization technique of the superior rectal arteries with coils based on the emborrhoid technique used in our hospital and to review the literature with variations of the technique.
Introduction
In the normal anal canal, there are 3 highly vascularized areas (cushions) that form discreet masses in the submucosa composed of blood vessels, smooth muscle, and elastic and connective tissue located in the left lateral, right anterior, and right posterior quadrants, and contribute to anal continence.1 The term hemorrhoids refers to clinical situations in which these hypervascularized pads are abnormal and cause clinical symptoms.1 The prevalence ranges from 4% to 40%,2,3 and the peak incidence occurs between ages 45 and 65.
Based on the concept that hemorrhoids are formed by pathological changes in the vascularization of the submucosal cushions in the transition zone of the anal canal, in 1994 Galkin reported the first cases of treatment of hemorrhoidal disease through embolization of the branches of the superior rectal artery in 34 patients, showing no recurrence after 24 months of follow-up.4
Vidal et al5 recently described the emborrhoid technique, which consists of the super-selective embolization of branches of the superior rectal arteries. This technique was performed on 14 patients with massive chronic rectal bleeding secondary to hemorrhoidal disease in grades II to IV who were not candidates for other clinical or surgical therapies after a multidisciplinary discussion.3 After these initial cases, we started treating the hemorrhoidal disease at our service through embolization of the superior rectal arteries.
Objective
To describe the embolization technique of the superior rectal arteries with coils based on the emborrhoid technique used in our hospital and to review the literature with variations of the technique.
Technique
Puncture of the right common femoral artery with an 18G puncture needle followed by implantation of a 5F valved introducer according to the Seldinger technique, under fluoroscopic vision.
Aortography was performed with a 5F pigtail catheter positioned at L3 to identify the origin of the inferior mesenteric artery and its branches. Replacement of the 5F pigtail catheter was done with a 5F curve 2 Simmons catheter. Selective catheterization of the inferior mesenteric artery was performed in a posteroanterior view, followed by angiography with identification of the superior rectal artery (Figure 1).
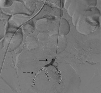
Super-selective catheterization of the superior rectal artery was done with a Renegade STC microcatheter (Boston Scientific) and a Fathom-16 steerable guidewire (Boston Scientific) (Figure 2), followed by superselective catheterization of the branches of the superior rectal artery. Embolization of the branches was performed in their middle and distal thirds with Interlock-18 controlled-release fiber microcoils (Boston Scientific), 1 to 2 units per branch. See Figure 3 for control angiography demonstrating branch occlusion.
After angiographic control, the catheter system (microcatheter and introducer) was removed, with compression of the puncture site for 30 minutes, followed by a compressive dressing. The patient was kept at rest and monitored for vital signs for 6 hours after the procedure and then released from the hospital.
Literature Review and Technique Variations
Vidal et al3 demonstrated technical success in 100% of cases using the emborrhoid technique and, after a follow-up between 2 and 13 months, clinical success (absence of bleeding or minimal bleeding and well-tolerated by the patient) of 72% (10/14) of cases, with no pain or ischemic symptoms observed. Four patients had rebleeding, of which 2 were submitted to a new embolization and 2 refused further treatment.
Moussa et al6 performed embolization with coils of the superior rectal arteries using the emborrhoid technique in 30 patients with hemorrhoidal disease, observing technical success in 93% of the treated cases, absence of pain in the postoperative period, and absence of complications related to the puncture site or ischemic complications such as mucosal ulceration and anal fissure.
In a randomized clinical trial, Falsarella et al7 compared the embolization of the superior rectal arteries with coils in 15 patients with surgical correction (14 patients) and demonstrated technical success of the embolization of 100%, absence of pain during the first bowel movement and return of hemorrhoidal symptoms 12 months later; treatment was similar between the embolization and surgery groups.
Currently, some variations of the emborrhoid technique have been described as embolization of the middle and inferior rectal arteries in association with the superior rectal artery, embolization with coils and particles, and embolization with particles.
Middle and Inferior Rectal Artery Embolization
In a study with 23 patients, Sun et al8 performed embolization of the superior rectal arteries and inferior rectal arteries when communication was present. Of the treated patients, 13 underwent coil embolization of the superior rectal arteries and 10 underwent embolization with coils of the superior rectal and inferior rectal arteries. Clinical success was 91.3%; after the procedure, 8 patients had transient tenesmus and 5 were patients in the embolization group of the superior and inferior rectal arteries.
Embolization With Coils and Particles
Zakharchenko et al,9 in their series of 40 patients with hemorrhoidal disease treated with embolization of the superior rectal artery with coils in association with polyvinyl alcohol particles, found that treatment satisfaction during the first month was observed in 83% patients with grade III hemorrhoids and 94% of patients with grades I to II hemorrhoids. No immediate complications were observed, and no patients had anal pain syndrome after embolization.
Moussa et al10 treated 38 patients with embolization of the branches of the superior rectal artery (in 18 patients the embolization was performed with coils; in another 18 patients, it was performed with coils and particles). Clinical success was obtained in 66% in patients with no difference when using combined embolization with particles and coils vs coils only.
Embolization With Particles
In their series with 42 patients divided into 3 arms, Küçükay et al11 evaluated the embolization of the rectal arteries with particles in 3 different sizes (500-700 μm, 700-900 μm, and 900-1200 μm groups). The demonstrated clinical success rate was 93% and 54% minor complications (small superficial ulcerations, small rectosigmoid junction ulceration, and small fibrotic scar tissue). Immediate bleeding control was observed in the 500-700 μm group; the best bleeding control at 12 months; and fewest minor complications in the 900-1200 μm group.
Conclusion
Embolization for treatment of internal hemorrhoidal disease was proved to be a safe and effective procedure. n
The authors have completed and returned the ICMJE Form for Disclosure of Potential Conflicts of Interest. The authors report no financial relationships or conflicts of interest regarding the content herein.
Manuscript accepted April 19, 2023.
Address for correspondence: Priscila Falsarella, MD, Center of Interventional Medicine, Hospital Israelita Albert Einstein, 627 Albert Einstein Ave., São Paulo, Brazil 05652-000. Email: primina@gmail.com
REFERENCES
1. Nelson H, Cima RR. Anus. In: Nelson H, Cima RR, Townsend CM Jr, Beauchamp RD, Evers BM, Mattox KL, eds. Sabiston Textbook of Surgery: The Biological Basis of Modern Surgical Practice. 18th ed. Elsevier; 2008:1433-1462.
2. Ganz RA. The evaluation and treatment of hemorrhoids: a guide for the gastroenterologist. Clin Gastroenterol Hepatol. 2013;11(6):593-603. doi:10.1016/j.cgh.2012.12.020
3. Vidal V, Sapoval M, Sielezneff Y, et al. Emborrhoid: a new concept for the treatment of hemorrhoids with arterial embolization: the first 14 cases. Cardiovasc Intervent Radiol. 2015;38(1):72-78. doi:10.1007/s00270-014-1017-8
4. Galkin EV. [Interventional radiology of chronic hemorrhoids]. Vestn Rentgenol Radiol. 1994;(4):52-56. Russian.
5. Vidal V, Louis G, Bartoli JM, Sielezneff I. Embolization of the hemorrhoidal arteries (the emborrhoid technique): a new concept and challenge for interventional radiology. Diagn Interv Imaging. 2014;95(3):307-315. doi:10.1016/j.diii.2014.01.016
6. Moussa N, Sielezneff I, Sapoval M, et al. Embolization of the superior rectal arteries for chronic bleeding due to haemorrhoidal disease. Colorectal Dis. 2017;19(2):194-199. doi:10.1111/codi.13430
7. Falsarella PM, Nasser F, Affonso BB, et al. Embolization of the superior rectal arteries versus closed hemorrhoidectomy (Ferguson technique) in the treatment of hemorrhoidal disease: a randomized clinical trial. J Vasc Interv Radiol. 2023;34(5):736-744.e1. doi:10.1016/j.jvir.2023.01.022
8. Sun X, Xu J, Zhang J, Jin Y, Chen Q. management of rectal bleeding due to internal haemorrhoids with arterial embolization: a single-center experience and protocol. Clin Radiol. 2018;73(11):985.e1-985.e6. doi:10.1016/j.crad.2018.07.105


