Right Innominate Artery Endovascular Intervention and Concomitant Use of Carotid Embolic Protection Device via Single Radial Access
© 2024 HMP Global. All Rights Reserved.
Any views and opinions expressed are those of the author(s) and/or participants and do not necessarily reflect the views, policy, or position of Vascular Disease Management or HMP Global, their employees, and affiliates.
VASCULAR DISEASE MANAGEMENT. 2024;21(10):E92-E96
Introduction
Stenosis of the subclavian and innominate arteries is a rare complication of peripheral arterial disease (PAD), with chronic occlusions occurring even less frequently. Risk factors for both PAD and stenosis of the subclavian and innominate arteries include cigarette smoking, diabetes mellitus, hypercholesterolemia, and hypertension.1 The occurrence of innominate artery stenosis or occlusion is notably less prevalent compared with subclavian artery disease. Radiographic evidence reveals that innominate artery stenosis constitutes only a minor percentage, ranging from 2.5% to 4% of atherosclerotic lesions affecting the extracranial cerebral arteries. However, this encompasses primarily low-grade stenosis, which is likely asymptomatic.2,3 The precise frequency of symptomatic innominate artery disease remains uncertain. Nonetheless, observations suggest that up to 8% of individuals initially diagnosed with suspected subclavian steal syndrome may present with innominate artery lesions.4
Innominate artery disease exposes patients to the risk of various events affecting both the posterior fossa and hemispheric region, such as vertebrobasilar insufficiency, amaurosis fugax, and stroke.5 Numerous studies have illustrated that severe lesions in the innominate artery significantly disrupt the flow in the right vertebral artery compared with that in the right carotid artery.3,6 In cases of innominate artery occlusion, the flow is diverted from the basilar axis through the right vertebral artery into the subclavian artery, where it retrogradely enters the right common carotid artery and then moves cephalad.4 Doppler findings may reveal midsystolic decelerations and elevated ratios of peak systolic velocity between the left common carotid artery and the right common carotid artery in cases of innominate artery disease, although the severity of stenosis does not consistently correspond to these duplex findings.
Revascularization and stenting procedures performed on major arteries carry inherent risks of embolization, transient ischemic attack (TIA), or stroke. A study reported complications arising from embolic events in 2 patients who underwent percutaneous transluminal angioplasty and stenting of the subclavian artery, resulting in 1 TIA and 1 peripheral embolism.7 Both patients experienced full recovery, yet the gravity of such complications underscores the need for additional protective measures against embolism.7,8 The deployment of an embolic protection filter within the internal carotid artery (ICA) presents a viable solution to mitigate embolic risk in this artery without impeding the stenting process in the subclavian and innominate arteries.8-10
Case Report
A 70-year-old woman with a medical history notable for coronary artery disease, previous angioplasty of the right coronary artery, claudication in both arms, dyslipidemia, type 2 diabetes, hypertension, tobacco consumption, and severe peripheral vascular disease, which includes stents in both iliac arteries, renal artery, celiac artery, and superior mesenteric artery, as well as a past right carotid endarterectomy, and most recently, a left subclavian artery stent, presented with symptoms of pain, heaviness, and numbness in her right arm. A previous peripheral angiogram showed severe stenosis of the right innominate artery of 90%. This patient was eligible for revascularization due to her right upper extremity pain, heaviness, and numbness.11
Endovascular intervention has evolved as the treatment of choice for innominate artery stenosis due to the increasing complications of various surgical bypass options, including increasing morbidity and mortality due to complications such as chylothorax, acute arterial thrombosis, pneumothorax, pleural effusion, lymphatic fistulae, phrenic nerve palsy, and Horner syndrome.10
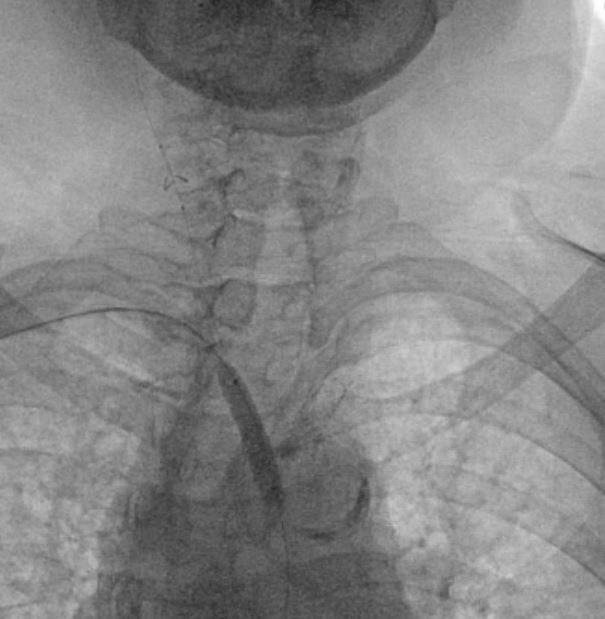
Considering the patient's comorbidities, an endovascular approach was the safest approach. Dual access was achieved using a 6F sheath in the right radial artery and another 6F sheath in the right femoral artery; an aortogram was then conducted showing severe stenosis in the right innominate artery (Figure 1). A carotid angiogram was performed, revealing a vessel size measuring 6 to 7 mm. We advanced a BareWire guidewire (Abbott Cardiovascular) and proceeded with the successful deployment of an Emboshield NAV6 filter (Abbott Cardiovascular) in the right ICA through the radial access as it was the only route for delivering it to prevent entrapment of the filter if placed from the femoral route (Figure 2).
We planned to proceed with the case using femoral access for better support delivering the stent. Unfortunately, attempts to cross antegrade from the groin were unsuccessful, despite multiple efforts and the utilization of various catheters (JR4, IM, AR-1).
We upgraded the femoral sheath to a long sheath and planned to snare wire from the radial sheath and have more support; however, the patient became bradycardic and hypotensive, and despite improvement with atropine, we aborted further intervention from femoral access.
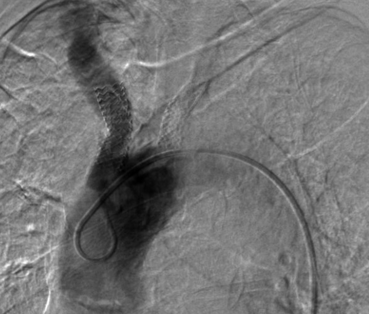
At this moment we elected to proceed with endovascular intervention through the radial access. Via right radial access, a long Runthrough wire (Terumo Interventional Systems) crossed the stenosis into the distal aorta, and we upgraded the sheath to 7F over both wires (BareWire and long Runthrough). We exchanged the long Runthrough wire with a Glidewire Advantage (Terumo Interventional Systems) via a TrailBlazer support catheter (Medtronic). We predilated with an 8-mm balloon and then an 8-mm x 29-mm Omnilink ballon-expandable stent (Abbott Cardiovascular) was successfully placed in the right innominate artery and deployed (Figure 3). Next, a pigtail catheter was advanced through the groin and angiography was performed, showing an under-expanded and malapposed mid to distal area of the stent (Figure 4), which was post-dilated with a 14-mm x 10-mm Armada balloon (Abbott Cardiovascular) (Figure 5), after which the filter was removed and a final aortogram showed good results with better apposition without complications (Figure 6).
Follow-up
During a follow-up appointment 1 month later, the patient reported no dizziness, fainting, or near-fainting episodes, TIA, or stroke-like symptoms. Her right arm heaviness and numbness were resolved completely and she had a strong radial pulse bilaterally. A carotid and subclavian Doppler examination was scheduled for 6 months post-procedure to assess the condition of the stent. This showed multiphasic waveforms in both subclavian arteries with mild disease in the right carotid artery and the previous left subclavian stent without any elevated velocities or evidence of stenosis in the right innominate or subclavian arteries. (Figure 7).
Discussion
Our findings underscore two significant technical considerations in subclavian/innominate intervention that hold relevance for interventional and endovascular practitioners. First, the potential for using a single radial access to provide both embolic protection and deliver treatment, and second, the implementation of embolic protection devices aimed at mitigating the risk of neurological complications.
The indications prompting revascularization in cases of innominate artery occlusion are associated with upper extremity ischemia with arm claudication, upper extremity ischemia, vertebrobasilar insufficiency, or subclavian steal syndrome.12,13 Transthoracic and extrathoracic bypass surgeries are associated with significant mortality rates and complications. The mortality rates associated with transthoracic open surgery for innominate artery disease range from 3% to 16%,14,15 with perioperative stroke rates reaching up to 6%.16 Therefore, endovascular procedures are now regarded as the primary treatment approach for lesions in the supra-aortic trunk.17-19 The success rates of the endovascular approach are reported as 100% in stenosis and approximately 90% in instances of complete occlusion.20
In our case, embolic protection was employed as a preventive measure owing to the patient's severe PAD, which posed a heightened risk of embolization during the procedure. Additionally, stenting of the innominate artery poses a potential risk of embolization to the carotid artery. The incidence of strokes post-innominate artery stenting varies from 2% to 11%. Angle et al observed aphasia in 1 out of 21 patients (4.7%) following subclavian artery angioplasty, and Beck et al reported a 1% rate of neurological complications in 423 subclavian procedures.21 Martinez et al found 1 case of restenosis among 17 patients treated for subclavian occlusions, with an average follow-up period of 19.4 months.13
Reports documenting the use of embolic protection devices during revascularization of severe stenosed or occluded vessels are rare. Those that utilize this technique describe deployment of a balloon in the ICA or vertebral artery, clamping of the carotid artery during surgical exposure, or use of modern embolic protection devices.8,22,23 Modern embolic protection techniques are superior to the others due to their flexibility and ease of navigation. In contrast to balloon angioplasty, they do not require flushing or aspiration of the proximal vessel, and they are also considerably less invasive than clamping of the carotid artery during surgical exposure.8 Such devices have been utilized more frequently in carotid artery stenting and are thought to reduce the risk of stroke.21,24,25 However, with their increasing ease of use, they can be utilized in both the carotid and vertebral arteries to revascularize the major vessels.8
Difficulties navigating a tortuous aortic arch has been documented in the literature, with various techniques suggested to add more support via femoral access.26,27 We had planned to upgrade the access sheath to a long, more supportive sheath via femoral access, but had to abort this approach as the patient had a significant vagal response when the long sheath was being placed.
This case adds additional support to the role radial access plays in bailing out peripheral endovascular procedures when femoral access is not readily available. Radial access is an important alternative access in such interventions, and our case clearly highlights how it can be safely utilized to deliver both stenting and embolic protection at the same time.28,29
Conclusion
Managing innominate artery disease via radial access by utilizing a single radial access for both embolic protection and treatment delivery presents a viable alternative when femoral access is not feasible. Furthermore, the integration of embolic protection devices may offer added benefits for patients with severe PAD, helping to reduce the likelihood of neurological complications.
We believe, as highlighted in this case, that radial access is a useful and valuable tool when femoral access fails in endovascular procedures involving innominate arteries. n
Affiliations and Disclosures
Qais Radaideh, MD, MS; McKayla Deisz; Ahmed Al Shaer, MD; Leonel Dakar; Ann E. Narmi, MD; and Toufik Mahfood Haddad, MD, are from the Division of Cardiovascular Disease, Creighton University Medical Center, Omaha, Nebraska.
Address for correspondence: Qais Radaideh, MD, MS, Creighton University Medical Center, Division of Cardiovascular Disease, 2420 Cuming St, Omaha, NE 68131. Email: qaisrad89@gmail.com
Disclosure: The authors report no financial relationships or conflicts of interest regarding the content herein.
Manuscript accepted September 26, 2024.
REFERENCES
1. Ochoa VM, Yeghiazarians Y. Subclavian artery stenosis: a review for the vascular medicine practitioner. Vasc Med. 2011;16(1):29-24. doi:10.1177/1358863X10384174
2. Brunhölzl C, von Reutern GM. Hemodynamic effects of innominate artery occlusive disease. Evaluation by Doppler ultrasound. Ultrasound Med Biol. 1989;15(3):201-204. doi:10.1016/0301-5629(89)90064-1
3. Hass WK, Fields WS, North RR, Kricheff II, Chase NE, Bauer RB. Joint study of extracranial arterial occlusion. II. Arteriography, techniques, sites, and complications. JAMA. 1968;203(11):961-968.
4. Killen DA, Gobbel WG Jr. Subclavian steal-carotid recovery phenomenon. J Thorac Cardiovasc Surg. 1965;50:421-426.
5. Grant EG, El-Saden SM, Madrazo BL, Baker JD, Kliewer MA. Innominate artery occlusive disease: sonographic findings. AJR Am J Roentgenol. 2006;186(2):394-400. doi:10.2214/AJR.04.1000
6. Mozersky DJ, Barnes RW, Sumner DS, Strandness DE Jr. Hemodynamics of innominate artery occlusion. Ann Surg. 1973;178(2):123-127. doi:10.1097/00000658-197308000-00002
7. Babic S, Sagic D, Radak D, et al. Initial and long-term results of endovascular therapy for chronic total occlusion of the subclavian artery. Cardiovasc Intervent Radiol. 2012;35(2):255-2662. doi:10.1007/s00270-011-0144-8
8. Albuquerque FC, Ahmed A, Mitha A, Stiefel M, McDougall CG. Endovascular recanalization of the chronically occluded brachiocephalic and subclavian arteries: technical considerations and an argument for embolic protection. World Neurosurg. 2013;80(6):e327-326. doi:10.1016/j.wneu.2012.04.031
9. Gimelli G, Tefera G, Turnipseed WD. Vertebral artery embolic protection via ipsilateral brachial approach during left subclavian artery angioplasty and stenting--a case report. Vasc Endovascular Surg. 2006;40(3):235-238. doi:10.1177/153857440604000309
10. Michael TT, Banerjee S, Brilakis E. Subclavian artery intervention with vertebral embolic protection. Catheter Cardiovasc Interv. 2009;74(1):22-25. doi:10.1002/ccd.21959
11. Saha T, Naqvi SY, Ayah OA, McCormick D, Goldberg S. Subclavian artery disease: diagnosis and therapy. Am J Med. 2017;130(4):409-416. doi:10.1016/j.amjmed.2016.12.027
12. Potter BJ, Pinto DS. Subclavian steal syndrome. Circulation. 2014;129(22):2320-2323. doi:10.1161/CIRCULATIONAHA.113.006653
13. Martinez R, Rodriguez-Lopez J, Torruella L, Ray L, Lopez-Galarza L, Diethrich EB. Stenting for occlusion of the subclavian arteries. Technical aspects and follow-up results. Tex Heart Inst J. 1997;24(1):23-27.
14. Mellière D, Becquemin JP, Benyahia NE, Ecollan P, Fitoussi M. Atherosclerotic disease of the innominate artery: current management and results. J Cardiovasc Surg (Torino). 1992;33(3):319-323.
15. Cherry KJ Jr, McCullough JL, Hallett JW Jr, Pairolero PC, Gloviczki P. Technical principles of direct innominate artery revascularization: a comparison of endarterectomy and bypass grafts. J Vasc Surg. 1989;9(5):718-723; discussion 723-724. doi:10.1067/mva.1989.vs0090718
16. Kieffer E, Sabatier J, Koskas F, Bahnini A. Atherosclerotic innominate artery occlusive disease: early and long-term results of surgical reconstruction. J Vasc Surg. 1995;21(2):326-336; discussion 336-337. doi:10.1016/s0741-5214(95)70273-3
17. Palchik E, Bakken AM, Wolford HY, Waldman DL, Davies MG. Evolving strategies in treatment of isolated symptomatic innominate artery disease. Vasc Endovascular Surg. 2008;42(5):440-445. doi:10.1177/1538574408315994
18. Hüttl K, Nemes B, Simonffy A, Entz L, Bérczi V. Angioplasty of the innominate artery in 89 patients: experience over 19 years. Cardiovasc Intervent Radiol. 2002;25(2):109-114. doi:10.1007/s00270-001-0074-y
19. Paukovits TM, Lukács L, Bérczi V, Hirschberg K, Nemes B, Hüttl K. Percutaneous endovascular treatment of innominate artery lesions: a single-centre experience on 77 lesions. Eur J Vasc Endovasc Surg. 2010;40(1):35-43. doi:10.1016/j.ejvs.2010.03.017
20. Schillinger M, Haumer M, Schillinger S, Ahmadi R, Minar E. Risk stratification for subclavian artery angioplasty: is there an increased rate of restenosis after stent implantation? J Endovasc Ther. 2001;8(6):550-557. doi:10.1177/152660280100800603
21. Garg N, Karagiorgos N, Pisimisis GT, et al. Cerebral protection devices reduce periprocedural strokes during carotid angioplasty and stenting: a systematic review of the current literature. J Endovasc Ther. 2009;16(4):412-427. doi:10.1583/09-2713.1
22. Liu S, Jung JH, Kwon HJ, Kim SM, Suh DS. Landmark-wire technique of symptomatic subclavian artery occlusion. Interv Neuroradiol. 2009;15(4):401-405. doi:10.1177/159101990901500404
23. Peterson BG, Resnick SA, Morasch MD, Hassoun HT, Eskandari MK. Aortic arch vessel stenting: a single-center experience using cerebral protection. Arch Surg. 2006;141(6):560-563; discussion 563-564. doi:10.1001/archsurg.141.6.560
24. Brott TG, Halperin JL, Abbara S, Bacharach JM, Barr JD, Bush RL, et al; American College of Cardiology Foundation; American Stroke Association; American Association of Neurological Surgeons; American College of Radiology; American Society of Neuroradiology; Congress of Neurological Surgeons; Society of Atherosclerosis Imaging and Prevention; Society for Cardiovascular Angiography and Interventions; Society of Interventional Radiology; Society of NeuroInterventional Surgery; Society for Vascular Medicine; Society for Vascular Surgery. 2011 ASA/ACCF/AHA/AANN/AANS/ACR/ASNR/CNS/SAIP/SCAI/SIR/SNIS/SVM/SVS guideline on the management of patients with extracranial carotid and vertebral artery disease: executive summary. A report of the American College of Cardiology Foundation/American Heart Association Task Force on Practice Guidelines, and the American Stroke Association, American Association of Neuroscience Nurses, American Association of Neurological Surgeons, American College of Radiology, American Society of Neuroradiology, Congress of Neurological Surgeons, Society of Atherosclerosis Imaging and Prevention, Society for Cardiovascular Angiography and Interventions, Society of Interventional Radiology, Society of NeuroInterventional Surgery, Society for Vascular Medicine, and Society for Vascular Surgery. Circulation. 2011;124(4):489-532. doi:10.1161/CIR.0b013e31820d8d78
25. Mas JL, Chatellier G, Beyssen B, et al; EVA-3S Investigators. Endarterectomy versus stenting in patients with symptomatic severe carotid stenosis. N Engl J Med. 2016;355(16):1660-1671. doi:10.1056/NEJMoa061752
26. Ryu B, Mochizuki T, Kushi K, et al. Optimal guiding catheter position during advancement of the guiding catheter into the carotid artery from the aortic arch via transfemoral approach. Neuroradiol J. 2023; Jan 20;36(4):470-478. doi:10.1177/19714009221150858
27. Faggioli GL, Ferri M, Freyrie A, et al. Aortic arch anomalies are associated with increased risk of neurological events in carotid stent procedures. Eur J Vasc Endovasc Surg. 2007;33(4):436-441. doi:10.1016/j.ejvs.2006.11.026
28. Castro-Dominguez Y, Li J, Lodha A, et al. Prospective, multicenter registry to assess safety and efficacy of radial access for peripheral artery interventions. J Soc Cardiovasc Angiogr Interv. 2023;2(6 Part A):101107. doi:10.1016/j.jscai.2023.101107
29. Fanaroff AC, Rao SV, Swaminathan RV. Radial access for peripheral interventions. Interv Cardiol Clin. 2020;9(1):53-61. doi:10.1016/j.iccl.2019.08.005


