Geniculate Artery Embolization: A Review of Hemarthrosis and Osteoarthritis
VASCULAR DISEASE MANAGEMENT 2023;20(5):E79-E82
Abstract
Geniculate artery embolization (GAE) has grown in popularity over the past decade for the treatment of refractory hemarthrosis and osteoarthritis (OA) of the knee. Its genesis began with the treatment of hemarthrosis, and it has been well established as a key procedure for these patients. Knee OA, in combination with hip OA, was ranked as the 11th-highest contributor to global disability in 2010, indicating the significant burden this puts upon society when accounting for lost work-years due to disability. While it has been relatively well established that GAE is a useful tool for refractory intra-articular hemorrhage, OA traditionally has been treated with other methods, including pharmacology, joint injection, and total knee arthroplasty. Knee OA has significantly increased in prevalence over the past 2 decades due to the aging population and surging obesity, adding to the complexity and challenge of successfully treating these conditions in a meaningful way. This review will demonstrate support for the efficacy of GAE and describe the common techniques, with the goal to propagate its use where appropriate to give many patients a chance for improvement in symptoms. As regulations on opioid administration have increased to curb the national crisis, GAE may serve as a prominent, minimally invasive option to treat chronic knee pain.
Introduction
Recurrent knee hemarthrosis is a rare disease, with a prevalence of 0.3% to 0.65%; it is mostly caused by trauma, affecting patients who have had a recent total knee arthroplasty (TKA).1 Additional notable causes of spontaneous hemarthrosis are genetically inherited diseases such as hemophilia and connective tissue disease resulting in hyperflexibility (ie, Ehlers-Danlos syndrome).2,3
Osteoarthritis (OA) affects as many as 10% of men and 13% of women aged 60 or older; estimates of this disease affecting the knee joint are as high as 37% at this age.4 Although the true etiology of OA is not entirely understood, until recently it was believed to be caused chiefly by a “wear and tear” phenomenon. Old age, female gender, obesity, knee injury, and repetitive use of joints are all significant contributors to OA. However, as inflammatory processes and the cyclical nature of OA is better understood, there is evidence to support that angiogenesis and inflammation play a far more important role in the symptomology and chronicity of OA.5
Geniculate artery embolization (GAE) has been demonstrated to significantly reduce pain and inflammation and improve mobility within the knee, and to delay the need for TKA in the setting of OA, thereby improving the quality of life of affected patients. Increased mobility from improved pain management gives patients struggling with obesity the ability to implement exercise regimens to achieve weight-loss goals, which is an important component in the long-term success of any of these therapies.6
Pathophysiology
Hemarthrosis is characterized by bleeding into the joint cavity resulting in pain, swelling, and decreased range of motion. While it can be suspected on physical exam, arthrocentesis is needed for definitive diagnosis. Reports indicate that hemarthrosis may develop in approximately 50% of hemophiliacs at some point in their lives.2 In the postoperative setting, hemarthrosis has been attributed to the growth of intracapsular hypervascular tissue that bleeds into the joint after replacement. Hemarthrosis is largely responsible for the development of GAE as a successful treatment option. Newer research has led to the adaptation of this procedure by interventionalists for the treatment of OA, a far more prevalent condition in the United States and worldwide.2-4
Knee OA is a noninflammatory arthritis, which distinctively separates it from other forms of inflammatory arthropathies, although many clinical components overlap. Previously believed to be related to overuse and repetitive strain, there is now evidence of biochemical changes within the cartilage, calcification of the joint tissues resulting in osteophytosis, and both acute and chronic inflammatory cycles characterized by angiogenesis.5
Active-matrix degradation within the cartilage, synovial remodeling, and synovitis are culprits in the progression of inflammation and resultant OA.5 The presence of synovitis in the joint can result in the progression of significant cartilaginous degeneration.7 Furthermore, clinically detectable joint inflammation may be related to worse radiological outcomes, which is an important factor in the grading and monitoring of OA.8
Osteophyte deposition is strongly associated with the mechanical wear component of OA and was previously believed to act as a stabilizing factor. However, in a study of 470 knees, follow-up demonstrated that while osteophytes were not directly associated with progression of OA in the affected knee, their presence was strongly associated with ipsilateral compartment malalignment, ie, lateral compartment progression results in a valgus deformity with an odds ratio of 1.9 (95% confidence interval, 1.5-2.5; P=.001).9 Osteophytes can also be a significant source of focal pain, thought to be related to nerve hyperstimulation and compartmental crowding. While osteophytes are strongly associated with cartilage damage, they are chiefly derived from progenitor cells in the periosteum rather than the cartilage itself.
Angiogenesis results in the ingrowth of neovascularity within the knee joint, which then results in the influx of inflammatory markers, signaling molecules, biochemical markers, and the molecular building blocks required to carry out complex processes such as osteophytosis. Vascular endothelial growth factor (VEGF) is key to angiogenesis and increased blood flow in any inflammatory process, especially chronic diseases such as knee OA. In a multiple genome mouse study, VEGF was determined to be increased in surgery-induced mouse models designed to model human knee OA. VEGF is necessary for the preservation and survival of chondrocytes during embryologic development and key to skeletal growth. However, in the adult mouse model, VEGF production correlated with increased severity of OA. Systemically administered VEGF antibodies decreased severity and attenuated the progression of acute and chronic OA symptoms.10 A human study of the synovial tissue of 104 TKA patients with persistent pain demonstrated that 32 of 104 (31%) had severe inflammation with markedly increased VEGF, endothelial cell-proliferating nuclei, and macrophages, all of which are associated with angiogenesis.7 These studies build on the known complexity of cytokine and signaling involvement that qualifies OA as much more than a mechanical process, and may offer possible future biochemical targets.
Anatomy of GAE
The knee joint blood supply is derived from a rich anastomosis of the 5 major genicular arteries: the superior medial and lateral, the middle or posterior, and the inferior medial and lateral.11 In knee OA, the medial compartment is up to 5 to 10 times more likely to be affected by significant disease, and this fact aids in targeting the medial and descending genicular arteries in many cases.12 It is important to note that cutaneous branches tend to originate at the proximal component of these main branching arteries, which can readily be victims of nontargeted embolization.
Procedure Details and Equipment
Prior to the procedure, a thorough history and physical exam should be performed to pinpoint the source of the patient’s pain. Available imaging should be reviewed, especially in patients with prior TKA, for consideration of poor visualization of the target branches secondary to metallic artifact. Preprocedure magnetic resonance imaging can aid in targeting the specific compartment with evidence of synovitis.
GAE is typically performed with contralateral access, although ipsilateral antegrade and, less commonly, distal retrograde access of the posterior tibial (PT) artery is possible. PT artery access requires special consideration because of the risk of vessel spasm and difficulty of access. After successful access, a 5F sheath system is placed and a 5F catheter is maneuvered over a 0.035" guidewire. The catheter is advanced into the popliteal artery and subtraction angiography performed for appropriate mapping and targeted catheterization, as accessing the genicular arterial system can prove challenging, even in relatively nontortuous anatomy.
Oblique imaging may be necessary to identify the origin of the genicular arteries, particularly in the postoperative setting. Angiography will aid in identifying areas of synovial blush with the joint space. This finding is largely thought to be representative of synovial hyperemia secondary to angiogenesis. The 5F base catheter should be advanced as close as possible to the ostium of the desired genicular branch for stability as the microcatheter system is deployed. Standard microcatheter systems (2.4F to 2.8F) may not be successful for smaller tortuous vessels, and a smaller system may need to be utilized. For hemarthrosis, embolization is performed using particles ranging from 300 to 500 µm.13 In the setting of GAE treatment for OA, studies have been performed using much smaller particles, typically ranging from 100 to 300 µm. Larger embolic particles may be associated with reduced nontargeted embolization, such as cutaneous branches and those supplying ligamentous components of the joint.14 The endpoint of embolization is pruning of the neovascularity with preservation of the normal genicular artery.
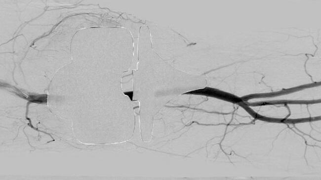
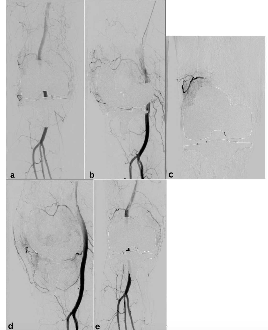
See Figure 1 and Figure 2 for cases of knee OA treated with GAE.
Conclusion
GAE has been used for the treatment of resistant hemarthrosis and, more recently, OA. An increasing number of studies have been performed demonstrating the safety and efficacy of GAE for treatment of this increasing patient population. This methodology has further been adapted to treat adhesive capsulitis in the shoulder and chronic Achilles tendinopathy. The development of GAE for the treatment of OA has opened a new, rapidly evolving branch of interventional radiology aimed at treating musculoskeletal pain, which can be challenging to treat both medically and surgically. n
The authors have completed and returned the ICMJE Form for Disclosure of Potential Conflicts of Interest. The authors report no financial relationships or conflicts of interest regarding the content herein.
Manuscript accepted March 28, 2023.
Address for correspondence: Nicole A. Keefe, MD, University of North Carolina at Chapel Hill, Department of Radiology, 101 Manning Dr., Chapel Hill, NC 27514. Email: Nicole_keefe@med.unc.edu
Related Articles
Genicular Artery Embolization in 2023: An Interview With Dr. Osman Ahmed
Geniculate Artery Embolization Offers Pain Relief From Osteoarthritis
REFERENCES
1. Yoo JH, Oh HC, Park SH, Lee S, Lee Y, Kim SH. Treatment of recurrent hemarthrosis after total knee arthroplasty.. Knee Surg Relat Res. 2018;30(2):147-152. doi:10.5792/ksrr.17.059
2. Manners PJ, Price P, Buurman D, Lewin B, Smith B, Cole CH. Joint aspiration for acute hemarthrosis in children receiving factor VIII prophylaxis for severe hemophilia: 11-year safety data. J Rheumatol. 2015;42(5):885-890. doi:10.3899/jrheum.141236
3. Giordano P, Del Vecchio GC, Scaraggi R, et al. Hemarthrosis due to a rare cause of hemorrhagic diathesis: Ehlers-Danlos syndrome. Pediatr Hematol Oncol. 2008;25(3):205-209. doi:10.1080/08880010801938017
4. Zhang Y, Jordan JM. Epidemiology of osteoarthritis. Clin Geriatr Med. 2010;26(3):355-369. doi:10.1016/j.cger.2010.03.00
5. Bonnet CS, Walsh DA. Osteoarthritis, angiogenesis and inflammation. Rheumatology (Oxford). 2005;44(1):7-16. doi:10.1093/rheumatology/keh344
6. Bagla S, Piechowiak R, Hartman T, Orlando J, Del Gaizo D, Isaacson A. Genicular artery embolization for the treatment of knee pain secondary to osteoarthritis. J Vasc Interv Radiol. 2020;31(7):1096-1102. doi:10.1016/j.jvir.2019.09.018
7. Haywood L, McWilliams DF, Pearson CI, et al. Inflammation and angiogenesis in osteoarthritis. Arthritis Rheum. 2003;48(8):2173-2177. doi:10.1002/art.11094
8. Ledingham J, Regan M, Jones A, Doherty M. Factors affecting radiographic progression of knee osteoarthritis. Ann Rheum Dis. 1995;54(1):53-58. doi:10.1136/ard.54.1.53
9. Felson DT, Gale DR, Gale ME, et al. Osteophytes and progression of knee osteoarthritis. Rheumatology (Oxford). 2005;44(1):100–104. doi:10.1093/rheumatology/keh411
10. Nagao M, Hamilton JL, Kc R, et al. vascular endothelial growth factor in cartilage development and osteoarthritis. Sci Rep. 2017;7(1):13027. doi:10.1038/s41598-017-13417-w
11. Shim SS, Leung G. Blood supply of the knee joint. A microangiographic study in children and adults. Clin Orthop Relat Res. 1986;(208):119-125.
12. Jones RK, Chapman GJ, Findlow AH, et al. A new approach to prevention of knee osteoarthritis: reducing medial load in the contralateral knee. J Rheumatol. 2013;40(3):309-315. doi:10.3899/jrheum.120589
13. Power SP, Cairns B, Prabhudesai V, et al. Genicular artery embolization for recurrent hemarthrosis of the knee following total knee arthroplasty: a single centre experience. Can Assoc Radiol J. 2021;72(3):571-576. doi:10.1177/0846537119899550
14. Little MW, Gibson M, Briggs J, et al. Genicular artEry embolizatioN in patiEnts with oSteoarthrItiS of the Knee (GENESIS) using permanent microspheres: interim analysis. Cardiovasc Intervent Radiol. 2021;44(6):931-940. doi:10.1007/s00270-020-02764-3


