Percutaneous Glue Embolization of Ectopic Varices in the Anterior Abdominal Wall of a Patient Who Presented With Nonhealing Discharging Sinus in the Right Iliac Fossa: Box-Assisted Retrograde Obliteration (BxRTO)
© 2023 HMP Global. All Rights Reserved.
Any views and opinions expressed are those of the author(s) and/or participants and do not necessarily reflect the views, policy, or position of Vascular Disease Management or HMP Global, their employees, and affiliates.
VASCULAR DISEASE MANAGEMENT 2023;20(11):E205-E209
Abstract
Ectopic varices secondary to portal hypertension cause significant morbidity. There are multiple approaches used to treat these varices. In this case report, we describe an unusual presentation of ectopic varices that were successfully treated by a simple and effective percutaneous approach. We also want to emphasize the importance of knowing the afferent and efferent veins of the varix. We have named this innovative technique "box-assisted retrograde obliteration" (BxRTO) of the varices.
Introduction
Varices that are found outside the esophageal and gastric mucosae are termed ectopic varices.1 Stomal varices are a subtype of ectopic varices and are often secondary to surgery because of the development of collaterals between systemic (abdominal wall) and portal circulation (bowel).2 Various approaches have been described for treating these varices, such as a direct percutaneous approach, a transhepatic approach, and by creation of a transjugular intrahepatic portosystemic shunt (TIPS).3-6
Case Report
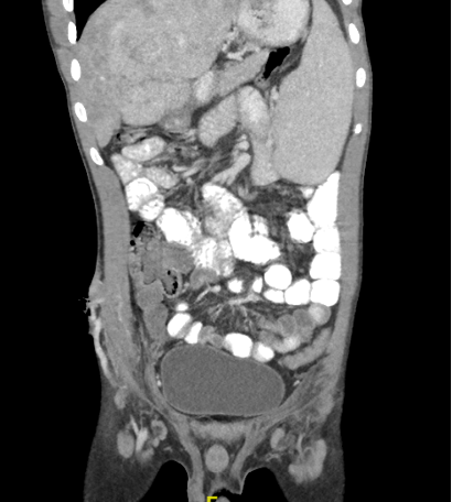
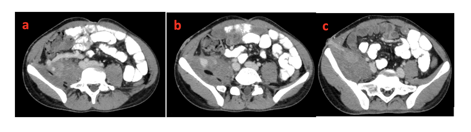
A 21-year-old man who was diagnosed with Budd-Chiari Syndrome 4 years earlier now presented with discharging sinus in the right iliac fossa for the past 2 years. There was a history of appendicitis and abscess formation 2 years ago for which he underwent percutaneous catheter drainage elsewhere. However, the catheter insertion site over the abdominal wall never healed and had persistent serosanguinous discharge for the past 2 years. On examination, the patient's vitals were unremarkable with no abdominal distension. Discharging sinus was seen over the right iliac fossa, which was oozing serosanguinous fluid (Figure 1). He was evaluated with ultrasonography of the abdomen and contrast-enhanced computed tomography (CECT) of the abdomen, which showed a dilated venous channel in continuity with the superior mesenteric vein, in the retroperitoneum anterior to the inferior aspect of the psoas, which are seen communicating with abnormally dilated venous channels over the discharging sinus in the right iliac fossa (Figure 2). The liver showed occluded native hepatic veins with collaterals draining into the inferior vena cava. No ascites was seen. The portal vein was prominent and splenomegaly was seen (Figure 3).
Based on the imaging findings, the patient was diagnosed as having ectopic varices in the right iliac fossa secondary to portal hypertension, which are seen communicating around the opening in the abdominal wall, causing venous congestion and nonhealing of the abdominal wall wound. It was also evident that the ileocolic branch of the superior mesenteric vein (SMV) was the afferent vein and the abdominal wall vein, predominantly the right inferior epigastric vein, was the efferent vein (Figure 4).
After a multidisciplinary meeting, percutaneous embolization of the ectopic varices was planned; however, the SMV tributary (afferent vein) was not clearly delineated on the duplex sonography. The inferior epigastric vein over the anterior abdominal was cannulated with an 18-gauge Insyte catheter (BD) using ultrasound guidance. A radiolucent plastic container was placed over the anterior abdominal wall, over the discharging sinus, and compressed using a sponge-holding forceps to prevent antegrade flow into the abdominal wall veins during contrast injection. Contrast injection and fluoroscopy showed retrograde opacification of the varices, SMV tributary, and portal vein. The tributary (afferent vein) was then localized on ultrasound and was cannulated using a 22-gauge spinal needle. Contrast injection and fluoroscopy showed antegrade flow into the varices around the abdominal wall stoma and drainage into the abdominal wall veins. Using a road map guidance, 25% glue (0.5 mL Histoacryl [B Braun] mixed with 1.5 mL ethiodized oil) was used to embolize the varices. Post-embolization contrast injection through the previously cannulated abdominal vein, after adequate compression of the abdominal wall veins, did not reveal any opacification of the varices and there was no opacification of the SMV and portal vein (Figure 5).
Discussion
Ectopic varices around the ileostomy or colostomy stoma are a known entity.1,2 Variceal erosion or local trauma is often the cause of bleeding from stomal varices. Though our patient did not have any ileostomy or colostomy, he underwent percutaneous catheter drainage of the right iliac fossa collection secondary to appendicitis. The catheter entry site into the abdomen and the acutely inflamed caecum and appendix at that time, with preexisting raised portal pressure, would have contributed to the development of new collaterals between the SMV tributary (portal system) and the systemic veins (abdominal wall veins around the catheter entry site). After removal of the drainage catheter, the abdominal wall wound did not heal and persisted as a discharging sinus secondary to venous congestion. To our knowledge, a similar entity was not reported in the literature. It was assumed that by blocking the inflow and the varices, the venous congestion would reduce and the wound would heal.
Multiple techniques have been described previously by various authors for embolizing the ectopic stomal varices, such as a direct percutaneous approach,7,8 a transhepatic approach,5,6 and a transjugular approach with or without creating a TIPS.9 We did not choose TIPS creation to decompress the portal system and embolize the varices since the patient did not have any other indication for TIPS, such as refractory ascites or refractory varices. The patient's liver function was well preserved, and TIPS may also preclude future transplantation if being considered. TIPS is also associated with inherent complications such as hepatic encephalopathy.
A percutaneous approach through a transhepatic route was also considered and was reserved as a second option since a direct percutaneous approach to the ectopic varices is less invasive. We achieved technical success with our minimally invasive approach, and the abdominal wall wound healed completely after 2 months (Figures 6 and 7) and the patient remained symptom-free. To successfully embolize through a percutaneous approach, one should be well versed with afferent and efferent veins contributing to the varices. The ileocolic branch of the SMV was the afferent vein, and the anterior abdominal wall vein, predominantly the inferior epigastric vein, was the efferent vein in our patient. Considering the principle of this technique being similar to balloon-occluded retrograde transvenous obliteration (BRTO), it is appropriate to name the technique "box-assisted retrograde obliteration" (BxRTO) of the varices.
Conclusion
Portal hypertension and ectopic varices cause morbidity in various ways, and we encountered a such rare scenario in a patient with Budd-Chiari syndrome and portal hypertension who presented with discharging sinus after abdominal collection drainage. Minimally invasive approaches can be considered to effectively treat such conditions if the pathophysiology and anatomy of the afferent and efferent veins in portal hypertension are clearly understood. n
The authors have completed and returned the ICMJE Form for Disclosure of Potential Conflicts of Interest. The authors report no financial relationships or conflicts of interest regarding the content herein.
Manuscript accepted September 12, 2023.
Address for correspondence: Santhosh Reddy Kantala, MD, FNVIR, Department of Interventional Radiology, Division of Clinical Radiology, Christian Medical College, Vellore, India. Email: santhoshreddy2k7@gmail.com
REFERENCES
1. Norton ID, Andrews JC, Kamath PS. Management of ectopic varices. Hepatology. 1998;28(4);1154-1158. doi:10.1002/hep.510280434
2. Helmy A, Al Kahtani K, Al Fadda M. Updates in the pathogenesis, diagnosis and management of ectopic varices. Hepatol Int. 2008;2(3):322- doi:10.1007/s12072-008-9074-1334.
3. Tripathi D, Jalan R. Transjugular intrahepatic portosystemic stent-shunt in the management of gastric and ectopic varices. Eur J Gastroenterol Hepatol. 2006;18(11):1155-1160. doi:10.1097/01.meg.0000236875.52730.b8
4. Vidal V, Joly L, Perreault P, Bouchard L, Lafortune M, Pomier-Layrargues G. Usefulness of transjugular intrahepatic portosystemic shunt in the management of bleeding ectopic varices in cirrhotic patients. Cardiovasc Intervent Radiol. 2006;29(2):216-219. doi:10.1007/s00270-004-0346-4
5. Samaraweera RN, Feldman L, Widrich WC, et al. Stomal varices: percutaneous transhepatic embolization. Radiology. 1989;170(3 Pt 1):779-782. doi:10.1148/radiology.170.3.2783784
6. Toumeh KK, Girardot JD, Choo IW, Andrews JC, Cho KJ. Percutaneous transhepatic embolization as treatment for bleeding ileostomy varices. Cardiovasc Intervent Radiol. 1995;18(3):179-182. doi:10.1007/BF00204146
7. Naidu SG, Castle EP, Kriegshauser JS, and Huettl EA. Direct percutaneous embolization of bleeding stomal varices. Cardiovasc Intervent Radiol. 2010;33(1):201-204. doi:10.1007/s00270-009-9536-4
8. Arulraj R, Mangat KS, Tripathi D. Embolization of bleeding stomal varices by direct percutaneous approach. Cardiovasc Intervent Radiol. 2011;34 Suppl 2:S210-S213. doi:10.1007/s00270-010-9886-y
9. Deipolyi AR, Kalva SP, Oklu R, Walker TG, Wicky S, Ganguli S. Reduction in portal venous pressure by transjugular intrahepatic portosystemic shunt for treatment of hemorrhagic stomal varices. AJR Am J Roentgenol. 2014;203(3):668-673. doi:10.2214/AJR.13.12211


