A Hybrid Approach to Acute Limb Ischemia Utilizing Indigo Aspiration Thrombectomy in Conjunction With Catheter-Directed Thrombolysis
VASCULAR DISEASE MANAGEMENT 2022;19(2):E29-E33
Abstract
Purpose. Acute limb ischemia (ALI) due to thromboembolism is a vascular emergency. Its etiology is commonly cardiac embolism with other causes, including iatrogenic and atheromatous plaques. Complications from vessel occlusion in peripheral vessels contribute to a yearly economic burden of $7 to $10 billion in the United States, and the 5-year survival rate is only 44% after ALI secondary to acute thrombosis. The Indigo continuous aspiration mechanical thrombectomy (AMT) system (Penumbra) has been used for mechanical thrombectomy associated with ALI since 2014. Additions to the Indigo system include catheter-directed thrombolysis (CDT) in the treatment of acute vascular occlusion, which aims to improve the success rate and patency of interventional revascularization attempts. Materials and Methods. In 2019, an initiative to improve limb salvage outcomes introduced hybrid therapy with adjunct Indigo AMT in patients for which CDT alone would have been standard practice. These cases were reviewed for analysis of patient outcomes. Results. Early recanalization following vessel occlusion has been associated with improved clinical outcomes in acute ischemia. Introducing hybrid therapy with Indigo AMT in addition to CDT was intended to improve patient outcomes in a community hospital with a preponderance of high-risk vasculopathies. Following the start of this initiative, CDT alone was associated with a longer, more tumultuous recovery. Early return of signals within the first hour post therapy was also noted in patients who received hybrid treatment. Conclusion. Patient outcomes were improved following hybrid therapy compared with CDT alone.
Introduction
Acute limb ischemia (ALI) is a vascular emergency caused by either a thrombotic or embolic occlusion of a blood vessel, causing an abrupt interruption of blood flow to an extremity.1 Its etiology is commonly cardiac embolism with other causes, including iatrogenic and atheromatous plaques.2 Without intervention, ALI can lead to amputation and potentially death, with a 30-day mortality and amputation rate between 10% and 15% due to coexisting diseases such as cerebrovascular and cardiovascular disease.3 Thus, it requires immediate attention, diagnosis, and intervention to restore perfusion and salvage the limb.1
Complications from vessel occlusion in peripheral vessels contribute to a yearly economic burden of $7 to $10 billion in the United States, and the 5-year survival rate is only 44% after ALI secondary to acute thrombosis.2,4 Treatment modalities for ALI are dependent on physical exam and vascular imaging findings (Doppler ultrasound and/or contrast-enhanced computed tomography). They include endovascular procedures such as catheter-directed thrombolysis (CDT), percutaneous thrombus aspiration and placement of a stent, and surgery such as bypass surgery and thromboembolectomy, as well as hybrid treatments.5
CDT is the established treatment option for ALI and has been used since 1994.6,7 It is considered safe and has a technical success rate of over 80%, but complication rates when used as the sole treatment option, as reported by the standards of practice committees of the Society of Interventional Radiology and the Cardiovascular and Interventional Radiological Society of Europe, reveal intracranial hemorrhage (0%-2.5%), distal embolization (1%-5%), major bleeding requiring surgery or transfusion (1%-20%), and compartment syndrome (1%-10%).6,8 A study from 1989 to 1993 that included 103 patients was able to predict parameters that would aid in selecting patients with peripheral arterial occlusion for CDT. It was concluded that diabetes, vein graft thrombosis, and multiple segmental arterial occlusions had a poor treatment response but did not exclude success. Therefore, patients should not be denied CDT based on these parameters.9
The Indigo continuous aspiration mechanical thrombectomy (AMT) system (Penumbra) is an endovascular device that has been used for AMT associated with ALI since 2014. It utilizes a vacuum pump with 3 components: 2 aspiration catheters, a separator, and a pump with aspiration pressure of -29 mm Hg to provide adequate suction to aspirate the clot and promote active thrombectomy.10 In research published in 2020, the Indigo system was assessed for technical success as a main treatment and achieved 52% success in select patients, actively avoiding the need for additional surgical or other endovascular treatment options such as CDT. The moderate effectiveness gives rise to further investigation of AMT with hybrid and adjunct therapy.11
Hybrid therapy in conjunction with CDT includes the Indigo AMT system in the treatment of acute vascular occlusion, which aims to improve the success rate and patency of interventional revascularization attempts.2 In this study, we examined hybrid therapy of the Indigo system with CDT for ALI and assessed if it yielded superior clinical outcomes compared with the standard practice of CDT alone. This novel study is the first to document outcomes of treating ALI with the hybrid approach, including both CDT and AMT, and comparing it with standard CDT alone.
Methods
This retrospective study analysis began in August 2019 and was completed in October 2021 at a community hospital in New York State.
Participation Identification
Patients were retrospectively identified through the electronic medical record system based on whether they received hybrid therapy with adjunct Indigo AMT or were treated solely with CDT for ALI in the previous 3 years. ALI classified according to category 1 to 4 of the Rutherford classification were included. The procedures being analyzed were identified using current procedural terminology codes in the interventional radiology procedure case logs. The patient medical record number (MRN) was used to access the chart; however, the data collected were deidentified by the removal of patient identifiers. If the MRN was written down for the purpose of gaining access to the chart, the document on which the MRN was written was securely disposed of immediately after obtaining access and was not handled or stored in view of others. The data collected will be stored for 3 years following the study’s conclusion and combined so that individual patient data will not be reflected in the results or conclusion of the study.
Outcome Measures
Outcomes of interest include the following per patient who received hybrid therapy with adjunct Indigo AMT for ALI and CDT alone in the past 3 years: time from procedure to return of pulses, length of hospital stay, and time from procedure until symptom improvement. Decreased time until return of pulses, decreased length of hospital stay, and decreased time from procedure to symptom improvement were considered indicative of improved patient outcomes. As this is a retrospective study, there is no intervention being conducted, and bias was not controlled because the results of the procedures were already determined.
Statistical Analysis
The primary outcome was the statistical measurement of the difference between hybrid therapy and CDT regarding time from procedure to return of pulses, time from procedure until symptom improvement, and length of hospital stay. The analysis was conducted with chi-square testing measures to determine which method can attain superior results in patient outcomes. The chi-square test was used to determine if there is a significant statistical difference between the null hypothesis and the observed findings, clearly identifying whether the difference has arisen due to chance or due to a relationship existing between the factors analyzed. This test is typically used in similar research where several variables are analyzed for a few groups of data.12 Given the small sample size, raw data yielded percentages of outcomes from which overall patterns were deduced.

Discussion
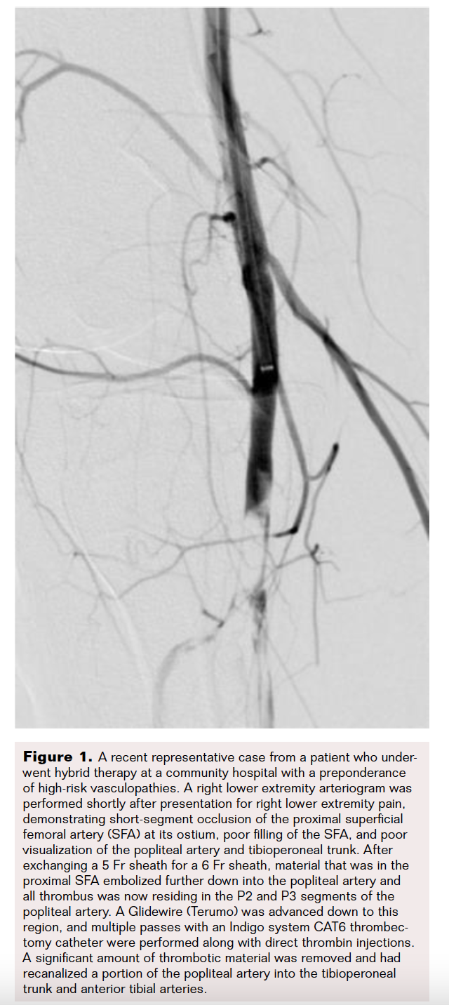
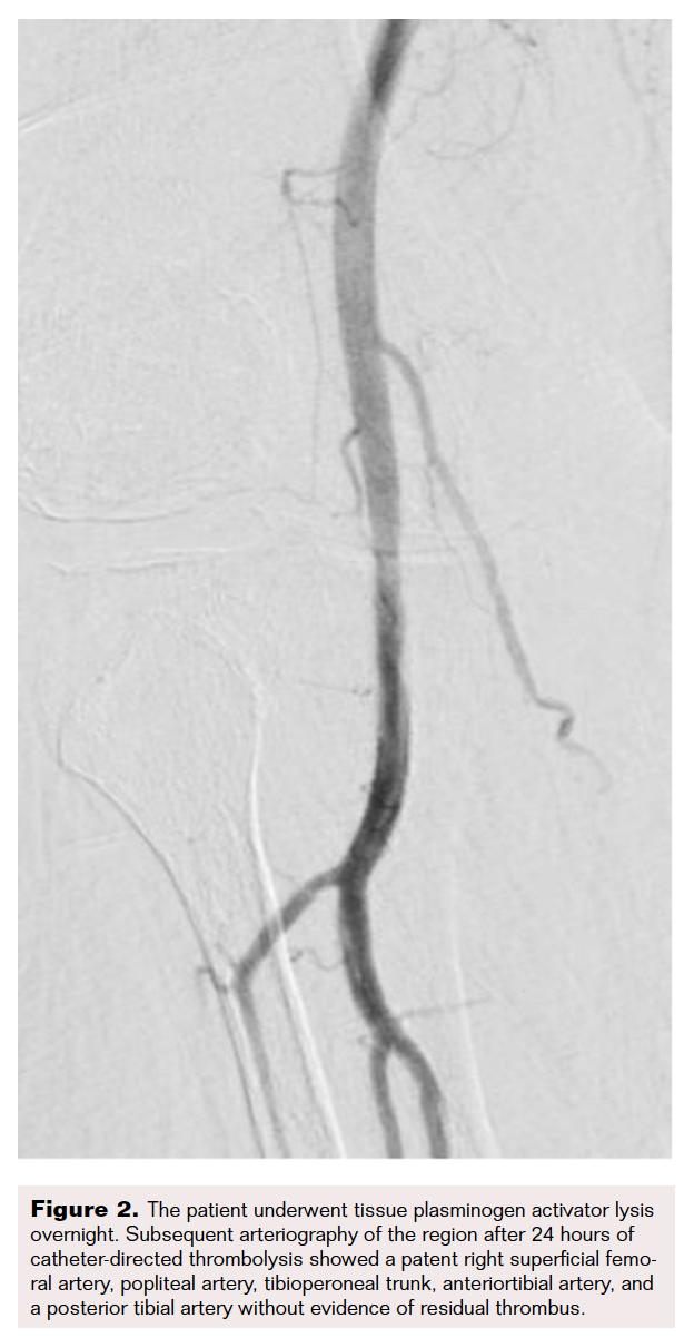
Early recanalization following vessel occlusion has been associated with improved clinical outcomes in ALI. Introducing hybrid therapy with the Indigo system in addition to CDT was intended to improve patient outcomes in a community hospital with a preponderance of high risk vasculopathies (Figure 1 and Figure 2).
Following the start of this initiative, CDT alone was associated with a longer, more tumultuous recovery. Hybrid therapy demonstrated improved clinical outcomes with significant improvements in time until return of pulses and decreased time from procedure to symptom improvement (Figure 3). Although there was a slight improvement in length of hospital stay, it was marginal in comparison; this could be due to confounding factors increasing hospital stay. Factors could include a secondary diagnosis such as pre-existing cardiovascular or cerebrovascular disease, hospital-acquired infection, or placement into rehab.
In this project, the sample size is relatively small; thus, there is a higher probability of the study achieving low statistical power and increasing the chance of type II errors occurring. To minimize type II errors, if the trial was recreated, a larger sample size would be advantageous to provide greater generalizability of the population, decrease the margin of error, and increase statistical power. Other outcomes to consider include long-term follow-up, patency rates, and bifurcating patients based on Rutherford classification. Long-term follow-up is vital to clearly identify if patients experience any significant side effects, and to determine blood vessel patency rates of the procedure. Distinguishing patients based on their Rutherford classification could aid in identifying if there is a distinction between which mode of treatment is superior based on the patient's category and symptoms.
Conclusion
ALI is a serious limb- and life-threatening emergency that requires immediate diagnosis and treatment. Correct establishment of treatment can improve treatment outcomes, clinical outcomes, and better patient quality of life. In this study, patient outcomes significantly improved following hybrid therapy with adjunct Indigo system AMT compared with CDT therapy alone. It is essential to continue to learn about the potential benefits of hybrid treatment and, in the future, consider focusing on larger sample sizes and additional outcomes such as follow-up to determine vessel patency rates.
The authors have completed and returned the ICMJE Form for Disclosure of Potential Conflicts of Interest. The authors report no conflicts of interest regarding the content herein.
Manuscript accepted February 2, 2022.
Address for correspondence: Emily Rey, DO, Arnot Ogden Medical Center, 600 Roe Ave., Elmira, NY, 14905. Email: erey@arnothealth.org
REFERENCES
1. Walker TG. Acute limb ischemia. Tech Vasc Interv Radiol. 2009;12(2):117-129. doi:10.1053/j.tvir.2009.08.005
2. Natarajan B, Patel P, Mukherjee A. Acute lower limb ischemia - etiology, pathology, and management. Int J Angiol. 2020;29(3):168-174. doi:10.1055/s-0040-1713769
3. Olinic D-M, Stanek A, Tătaru D-A, Homorodean C, Olinic M. Acute limb ischemia: an update on diagnosis and management. J Clin Med. 2019;8(8):1215. doi:10.3390/jcm8081215
4. Kohi MP, Kohlbrenner R, Kolli KP, Lehrman E, Taylor AG, Fidelman N. Catheter directed interventions for acute deep vein thrombosis. Cardiovasc Diagn Ther. 2016;6(6):599-611. doi:10.21037/cdt.2016.11.20
5. Obara H, Matsubara K, Kitagawa Y. Acute limb ischemia. Ann Vasc Dis. 2018;11(4):443-448. doi:10.3400/avd.ra.18-00074
6. Morrison HL. Catheter-directed thrombolysis for acute limb ischemia. Semin Intervent Radiol. 2006;23(3):258-269. doi:10.1055/s-2006-948765
7. Li W, Chuanlin Z, Shaoyu M, Yeh CH, Liqun C, Zeju Z. Catheter-directed thrombolysis for patients with acute lower extremity deep vein thrombosis: a meta-analysis. Rev Lat Am Enfermagem. 2018;26:e2990. doi:10.1590/1518-8345.2309.2990
8. Abdelaty MH, Aborahma AM, Elheniedy MA, Kamhawy AH. Outcome of catheter directed thrombolysis for popliteal or infrapopliteal acute arterial occlusion. Cardiovasc Interv Ther. 2021:36(4):498-505. doi: 10.1007/s12928-020-00702-1
9. Ouriel K, Shortell CK, Azodo MV, Guiterrez OH, Marder VJ. Acute peripheral arterial occlusion: predictors of success in catheter-directed thrombolytic therapy. Radiology. 1994;193(2):561-566. doi:10.1148/radiology.193.2.7972780
10. Yamada R, Adams J, Guimaraes M, Schönholz C. Advantages to Indigo mechanical thrombectomy for ALI: device and technique. J Cardiovasc Surg (Torino). 2015;56(3):393-400.
11. Lopez R, Yamashita TS, Neisen M, et al. Single-center experience with Indigo aspiration thrombectomy for acute lower limb ischemia. J Vasc Surg. 2020;72(1):226-232. doi:10.1016/j.jvs.2019.10.079
12. Ugoni A, Walker BF. The Chi square test: an introduction. COMSIG Rev. 1995;4(3):61-64.


