Acute Limb Ischemia in Patients With COVID-19
A Tunisian Monocentric Experience
A Tunisian Monocentric Experience
© 2023 HMP Global. All Rights Reserved.
Any views and opinions expressed are those of the author(s) and/or participants and do not necessarily reflect the views, policy, or position of Vascular Disease Management or HMP Global, their employees, and affiliates.
VASCULAR DISEASE MANAGEMENT 2023;20(6):E103-E109
Abstract
Objectives: While pulmonary manifestations predominate, vascular complications may also occur with coronavirus disease 2019 (COVID-19) and can greatly affect outcome. Although the link between COVID-19 and acute limb ischemia (ALI) has been clearly established, the particularities of the patients remain poorly described and their management not codified because of its emergent character. Methods: We retrospectively analyzed clinical characteristics and outcomes of 25 patients with ALI infected with COVID-19 from July 2021 to December 2022. Results: The mean age of patients was 54.36 years. The mean ischemic time was 8.68 hours. Twenty-three patients developed 1 episode of ALI, 1 patient had early artery reocclusion of the same limb, and 1 had recurrent upper and lower ischemia despite full anticoagulation. In 21 patients, the thrombosis was located on the lower limb; 4 patients presented with upper limb ischemia. All patients required urgent revascularization. Thrombectomy was performed in 24 patients, and only 1 patient had peripheral vascular bypass. Embolectomy was successful in all cases except 1 patient, who had an above-the-elbow amputation because the limb was gangrenous. Twenty patients were discharged and 5 died due to a rapid deterioration of respiratory condition. Conclusions: ALI is a rare but serious complication of COVID-19 infection, which may occur among patients already receiving thromboprophylaxis. Further studies are needed to explore the relationship between COVID-19 infection and ALI in order to determine which patients are predisposed to develop limb ischemia and thus preserve the vital and functional prognosis.
Introduction
Severe acute respiratory syndrome coronavirus 2 (SARS-CoV-2) infection is a multisystemic disorder with a highly aggressive thrombogenic and inflammatory state causing arterial complications.1 These thromboembolic events are due to a systematic inflammatory process and a hypercoagulable condition. The rate of acute limb ischemia (ALI) has markedly increased during the past 2 years of the pandemic. It can occur with asymptomatic to critically ill patients who are hospitalized in the intensive care unit (ICU) due to severe COVID-19 infection.2 There are no established guidelines developed to prevent or manage thrombosis complications associated with COVID-19 infection.
Several studies showed that despite widespread use of prophylactic or therapeutic anticoagulant therapy, patients infected with COVID-19 are at risk of ALI and subsequent limb loss or even death. Early identification and management of ALI may have a significant impact on a patient’s outcome and avoid major amputation. Our work aims to study epidemiological and clinical aspects as well as the results of surgical revascularization in patients with COVID-19 who underwent treatment for ALI.
Methods
Population and Preoperative Assessment
We performed a monocentric, descriptive, observational, and retrospective study in which we analyzed 25 patients who underwent treatment for ALI associated with documented SARS-CoV- 2 virus infection between July 2021 to December 2022 at the cardiovascular surgery department of Abderrahmen Mami Hospital. The diagnosis of ALI was made clinically.
Imaging investigations were performed to confirm the diagnosis and assess the extent of disease, but also to plan for intervention. The present study cohort included 15 patients who were admitted to a dedicated COVID-19 unit, 3 patients who had presented to the emergency department of the hospital, and 7 patients who had been transferred from other hospitals.
We included all patients with COVID-19 complicated with ALI for which they had a revascularization procedure. In contrast, patients with a prolonged time of ischemia and poor local condition of the affected limb who were not amenable to surgical revascularization and whose primary amputation was indicated from the outset were not included.
Data Collection and Statistical Analysis
The data from all patients who were infected with COVID-19 and presented with ALI during the period established by the study were collected from medical records and reports operating, arranged, and tabulated in a retrospectively database using Microsoft Excel.
Incomplete records were excluded. The recorded variables included age, sex, comorbidities, the severity of SARS-CoV-2 infection, medical and surgical history, laboratory blood tests, anatomic location, operative details, and postoperative events during hospital admission and the immediate postoperative period. Continuous variables were expressed as medians and range. Categorical variables were presented as counts and percentages. Because of the retrospective nature of the work and due to the deidentified data without breach of confidentiality, patient informed consent was not required.
Surgical Technique
Surgical intervention was performed under general anesthesia in 18 patients (72%) and regional anesthesia in 7 patients (28%) as required by the patient, using intravenous unfractionated heparin at arterial clamping.
A standard femoral approach was executed in patients with aortoiliac or femoropopliteal occlusion to expose the femoral bifurcation, and a brachial exposure was performed on the upper limb. An infrageniculate approach was performed to expose the popliteal artery in patients with popliteal-tibial occlusion. Tibial arteries and/or forearm vessels were approached selectively in cases of distal occlusion.
Thromboembolectomy was done using Fogarty catheters sized according to the site of occlusion. All embolectomy surgeries performed on the patients were technically successful except one, where removing an intraluminal clot from the affected vessel resulted in the subsequent presence of inadequate runoff and backflow. The thrombi retrieved from each patient as well as the biopsy of the vessel affected were sent for histologic evaluation. During the hospital stay, thromboprophylaxis was given to all COVID-19 patients. Therapeutic anticoagulation was immediately started for all patients at the time of ALI diagnosis. At discharge, patients were anticoagulated with low-molecular-weight heparin (LMWH) as bridging therapy to warfarin according to the patient’s evolution.
Results
We reported 25 cases of ALI in patients infected with COVID-19. Of the 25 patients, 16 were men and 9 were women. The mean age of patients was 54.36 years (52-96 years). Their medical history was consistent for hypertension (48%), type 2 diabetes (40%), dyslipidemia (32%), and a history of smoking (40%). One patient had a history of neoplasia; 4 had a history of chronic obstructive arterial disease; and 1 patient had atrial fibrillation. Five patients were otherwise healthy. No patients with previous peripheral vascular intervention were found. The diagnosis of COVID-19 infection was made through RT-PCR test (96%) or computed tomography (CT) of the chest (92%). The clinical features are summarized in Table 1.
Of the 25 patients, 22 (9.4%) were admitted to the hospital for respiratory symptoms compatible with COVID-19, 1 was placed in home isolation, and 2 came to the hospital because of ALI with no respiratory signs. All patients had a hypercoagulable state at different levels and 2 had a high platelet count level, which increased to 600 x 103/mm3.
The mean time from disease onset to thrombotic event was 7.12 days (1-21 days). The mean ischemic time was 8.68 hours. The leading symptoms were absence of pulses in all patients, pain in 95%, and cyanosis in 90%.
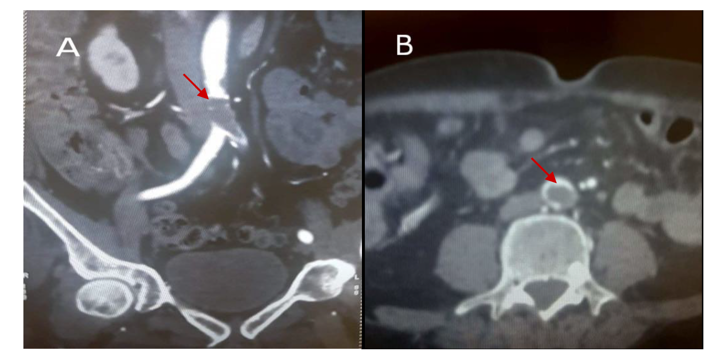
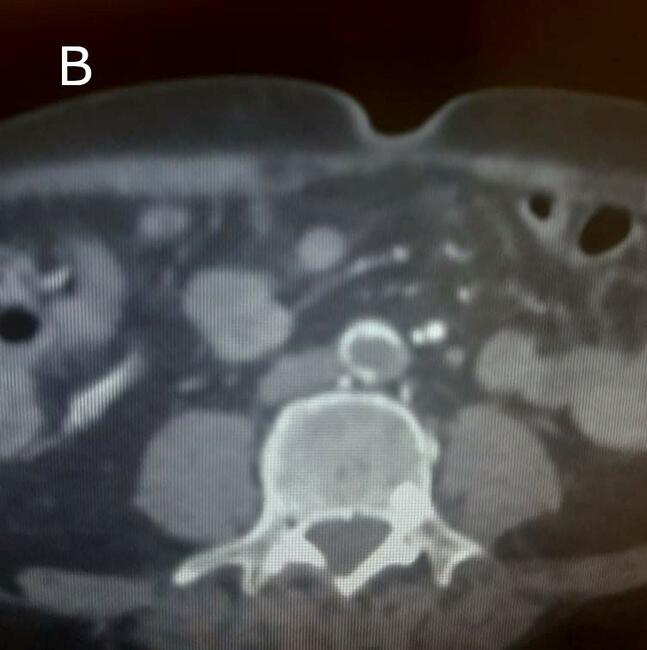
Anatomic location of thrombosis was found on the lower limb in 21 patients (84%) and 4 (16%) presented with upper limb ischemia, with femoral (48%) and brachial (8%) arteries being the most affected. Aortic thrombus was revealed in 7 cases (Figure 1).
Of the 25 patients, 23 developed 1 episode of ALI, 1 had early artery reocclusion of the same limb, and another had recurrent upper and lower ischemia despite full anticoagulation. None of the patients had any history of previous thromboembolism.
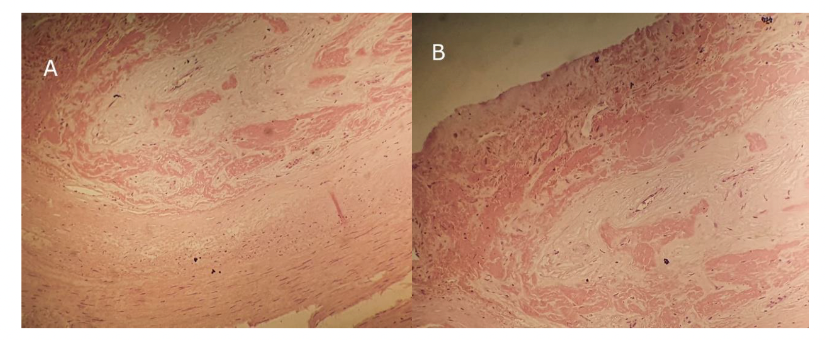
All patients required urgent operative intervention. Thrombectomy was performed in 24 patients (96%) and only 1 patient had peripheral vascular bypass. A retrograde transfemoral and popliteal thrombectomy were performed, respectively, in 15 and 6 patients with acute lower limb ischemia. Distal arteries were approached selectively in only 1 patient. Brachial and radial thrombectomy were performed in 4 patients. None of the patients needed fasciotomy. Limb salvage was obtained for all patients except one. Surgical features and anatomic location of the occlusion are summarized in Table 2. Histological examination showed a widely ulcerated endothelial lining with formation of an obliterating thrombosis (Figure 2).
Postoperatively, all 25 patients received systemic anticoagulation with a weight-adjusted therapeutic regimen of LMWH. Embolectomy surgeries were successful in 24 cases. One patient required 2 reoperations on the 4th and 6th days after the initial surgical treatment because the patient had recurrent upper and lower ischemia. No postoperative bleeding or pseudoaneurysm occurred; however, 2 patients (8%) had an infection of the operative site. One patient had to be amputated above the elbow secondarily, and the reason for the surgical indication was poor clinical evolution after initial thrombectomy (Figure 3). Twenty patients (80%) were discharged with ambulatory anticoagulant therapy and 5 patients (20%) died. The main cause of death was a rapid deterioration of respiratory condition. Perioperative course is described in Table 3.
Discussion
COVID-19 has become a global concern. It may cause variable symptoms ranging from asymptomatic to severe pneumonia potentially complicated by acute respiratory distress syndrome (ARDS), sepsis, vascular complications, and multiorgan failure.1 SARS-CoV-2 infection induces a severe proinflammatory response associated with a hypercoagulable state that may lead to thrombotic events.2 In the context of COVID-19, we have seen a significant increase of cases with ALI. This is due to a strong link between severe COVID-19 and coagulopathy.3
Initially, COVID-19 infection yields coagulative disorders, most commonly elevated levels of D-dimer and fibrinogen degradation products. C-reactive protein is another acute-phase reactant that increases greatly during the acute-phase response. The degree of D-dimer elevation has been correlated with COVID-19 severity and mortality rate in infected people.
A Chinese study of 1099 patients revealed that 46% of the patients presented an elevated D-dimer and were associated with poor prognosis and higher mortality.4,5,6 Hence, increasing D-dimer levels in COVID-19, which reflect coagulation function, can be used to detect severe cases of the disease and as an early predictor that more aggressive care will be needed.7,8 This suggests that patients who have a significant increase in D-dimer values should be considered for hospital admission, even in the absence of other severe symptoms.
This hypercoagulable state has been found be more often in men and older patients, although it has also been described in younger patients without comorbidities.2 In our findings, 5 patients were healthy with no risk factors, presuming that the pathogenetic mechanism of arterial thrombosis is not related directly to comorbid conditions but, rather, caused by SARS-CoV-2.9
ALI in COVID-19 may appear during the in-hospital evolution of severe COVID-19 infection or can occur as the only presenting manifestation of SARS-CoV-2 infection without concomitant respiratory symptoms or pneumonia. These patients with ALI as sole manifestation of SARS-CoV-2 infection are most often not hospitalized without any major medication, particularly anticoagulation therapy. Additionally, they often come late to the hospital when ischemic symptoms have progressed. In such situations, there is a high probability of loss of limb due to the absence of an early diagnosis.10,11 In our work, we report an ischemic time of 8 hours. This could be related to the fact that most of the reported patients developed acute arterial thrombosis during their stay in the hospital where they were clinically evaluated and detected as having ALI by the health care team.
The choice of surgical intervention is determined by the clinical condition of the patient and the etiology of the ALI.10 Surgical thromboembolectomy was the predominant revascularization treatment in our series (94%), as in most published studies,11 while 1 patient had peripheral vascular bypass. Pharmacological thrombolysis was included as adjunctive intraoperative procedure or as the only treatment to improve the distal microcirculation.4,11
Other alternatives reported in literature were angioplasties with or without stent.11
More frequent arterial thrombotic events causing ALI associated with COVID-19 infection are mainly located in lower limbs, predominantly the common and superficial femoral, popliteal, anterior ,and posterior tibial arteries.10,12,13 This concurs with our findings where arterial thrombosis is commonly located in the lower limbs, counting more than 80% of the total of vessels affected compared with only 16% in the upper limbs.
Despite adequate surgical treatment and short time of ischemia, revascularization in patients with COVID-19 infection does not always obtain satisfactory results compared with patients with acute arterial thrombosis without COVID-19 infection.14 This may be due to the distal ischemia involving mainly the small capillaries of the hand or the forefoot, even after the removal of the thrombus with selective thrombectomy below the elbow or below the knee. The second possibility, which may predispose patients to have a poor clinical evolution, after thrombectomy include early recurrent episodes of thrombosis of the treated segments related to the marked hypercoagulability. In our series, one patient had to be amputated above elbow after thrombectomy because of the absence of the distal forearm microcirculation. Recently, many reports highly recommend including thrombolysis, unless an absolute contraindication exists, in hospitalized COVID-19 patients with distal ischemia which might have a potential role in stealing outflow vessels.15,16
There is currently no consensus on anticoagulating patients with COVID-19 prophylactically to prevent arterial thrombotic events. Asymptomatic or mild COVID-19 cases who are not hospitalized may receive prophylactic anticoagulation in an effort to prevent thrombotic events.
Conclusions
SARS-CoV-2 infection has a wide spectrum of manifestations leading to ARDS and vascular complications in some patients. ALI is one of the symptoms of the COVID-19, which may present in patients with a low number of comorbidities and can occur even late in the course after COVID-19 detection.
Recent data confirmed that even after treating severe COVID-19 patients with adequate prophylactic and therapeutic doses of anticoagulation, the percentage of thrombotic events is still high and the ischemia may progress to the point where the limb cannot be saved.
Further studies should focus on identifying timely patient profile with high-risk features to prevent and manage thrombosis complications and therefore amputation risk. n
The authors have completed and returned the ICMJE Form for Disclosure of Potential Conflicts of Interest. The authors report no financial relationships or conflicts of interest regarding the content herein.
Manuscript accepted May 1, 2023.
Address for correspondence: Khedija Soumer, MD, Department of Cardiovascular Surgery, Abderrahman Mami Pneumology and Phtisiology Hospital Rue de l'Hôpital 2080 l'Ariana, Ariana 2080 Tunisia. Email: soumerkhedija@gmail.com
REFERENCES
1. Jain V, Yuan JM. Predictive symptoms and comorbidities for severe COVID-19 and intensive care unit admission: a systematic review and meta-analysis. Int J Public Health. 2020;65(5):533-546. doi:10.1007/s00038-020-01390-7
2. Klok FA, Kruip MJHA, van der Meer NJM, et al. Incidence of thrombotic complications in critically ill ICU patients with COVID-19. Thromb Res. 2020;191:145-147. doi:10.1016/j.thromres.2020.04.013
3. Le Berre A, Marteau V, Emmerich J, Zins M. Concomitant acute aortic thrombosis and pulmonary embolism complicating COVID-19 pneumonia. Diagn Intervent Imaging. 2020;101(5):321-322. doi:10.1016/j.diii.2020.04.003
4. Guan WJ, Ni ZY, Hu Y, et al. Clinical characteristics of coronavirus disease 2019 in China. N Engl J Med. 2020;382(18):1708-1720. doi:10.1056/NEJMoa2002032
5. Huang C, Wang Y, Li X, et al. Clinical features of patients infected with 2019 novel coronavirus in Wuhan, China. Lancet. 2020;395(10223):497-506. doi:10.1016/S0140-6736(20)30183-5
6. Lippi G, Favaloro EJ. D-dimer is associated with severity of coronavirus disease 2019: a pooled analysis. Thromb Haemost. 2020;120(5):876-878. doi:10.1055/s-0040-1709650
7. Wang D, Hu B, Hu C, et al. Clinical characteristics of 138 hospitalized patients with 2019 novel coronavirus-infected pneumonia in Wuhan, China. JAMA. 2020;323(11):1061-1069. doi:10.1001/jama.2020.1585
8. Zhou F, Yu T, Du R, et al. Clinical course and risk factors for mortality of adult inpatients with COVID-19 in Wuhan, China: a retrospective cohort study. Lancet. 2020;395(10229):1054-1062. doi:10.1016/S0140-6736(20)30566-3
9. Ilonzo N, Rao A, Berger K, et al. Acute thrombotic events as initial presentation of patients with COVID-19 infection. J Vasc Surg Cases Innov Tech. 2020;6(3):381-383. doi:10.1016/j.jvscit.2020.05.011
10. Anwar S, Acharya S, Shabih S, Khabut A. Acute limb ischemia in COVID-19 disease: a mysterious coagulopathy. Cureus. 2020;12(7):e9167. doi:10.7759/cureus.9167
11. Bellosta R, Luzzani L, Natalini G, et al. Acute limb ischemia in patients with COVID- 19 pneumonia. J Vasc Surg. 2020;72(6):1864-1872. doi:10.1016/j.jvs.2020.04.483
12. Mietto C, Salice V, Ferraris M, et al. Acute lower limb ischemia as clinical presentation of COVID-19 infection. Ann Vasc Surg. 2020;69:80-84. doi:10.1016/j.avsg.2020.08.004
13. Etkin Y, Conway AM, Silpe J, et al. Acute arterial thromboembolism in patients with COVID-19 in the New York City area. Ann Vasc Surg. 2020;70:290-294. doi:10.1016/j.avsg.2020.08.085
14. Piffaretti G, Angrisano A, Franchin M, et al. Risk factors analysis of thromboembolectomy for acute thromboembolic lower extremity ischemia in native arteries. J Cardiovasc Surg (Torino). 2018;59(6):810-816. doi:10.23736/S0021-9509.16.09673-7
15. Tang N, Li D, Wang X, Sun Z. Abnormal coagulation parameters are associated with poor prognosis in patients with novel coronavirus pneumonia. J Thromb Haemost. 2020;18(4):844-847. doi:10.1111/jth.14768
16. Lodigiani C, Iapichino G, Carenzo L, Humanitas COVID-19 Task Force, et al. Venous and arterial thromboemboli complications in COVID-19 patients admitted to an academic hospital in Milan, Italy. Thromb Res. 2020;191:9-14. doi:10.1016/j.thromres.2020.04.024


