Occluded Tibiopedal Access to Cross and Treat Complex Tibial Artery Occlusive Disease in a Patient With Critical Limb Ischemia
© 2024 HMP Global. All Rights Reserved.
Any views and opinions expressed are those of the author(s) and/or participants and do not necessarily reflect the views, policy, or position of Vascular Disease Management or HMP Global, their employees, and affiliates.
VASCULAR DISEASE MANAGEMENT. 2024;21(11):E105-E110
A 67-year-old man presented with a nonhealing ulcer of his left foot plantar surface. The ulcer had persisted for more than 1 year. He had been seeing several wound care specialists and ultimately was referred by his podiatrist to us for arterial evaluation and revascularization. He had a history of left first, second, and fourth toe amputation (Figure 1).
After being medically optimized, the patient was scheduled for an angiogram. The angiogram revealed occlusion of the anterior and posterior tibial arteries with reconstitution of the plantar arteries via the peroneal artery as well as reconstitution of the dorsalis pedis artery via the peroneal artery (Figures 2, 3, and 4).
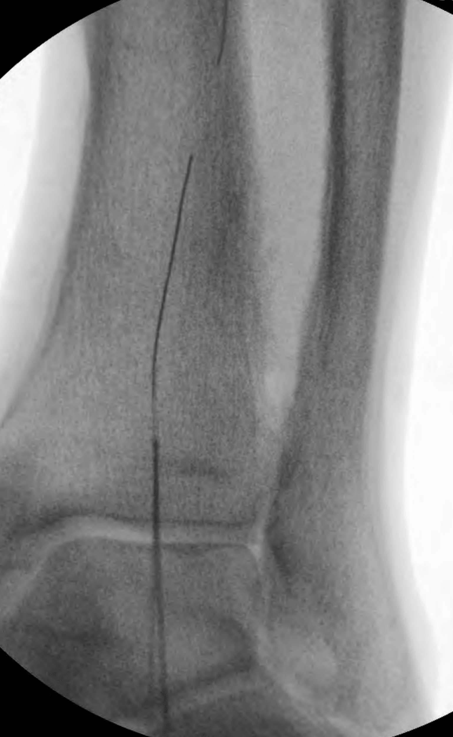
The anterior tibial artery was chosen as the target of revascularization given the predominant supply to the forefoot via the dorsalis pedis artery compared with the lesser supply via the diminutive plantar arteries. An “up and over” approach from a contralateral right common femoral artery access was successful in crossing to the distal segment of the anterior tibial artery in antegrade fashion; however, further crossing could not be achieved in antegrade fashion (Figure 5).
In order to cross and treat the remainder of the distal anterior tibial artery occlusion, a retrograde pedal access was desired. Due to concerns about puncture-related injury to the dorsalis pedis artery that could potentially compromise the patient’s existing flow as well as a potential surgical bypass target, retrograde pedal access of the patent dorsalis pedis artery was avoided at this point. Instead, a plan was made to obtain retrograde pedal access of the occluded segment of the distal anterior tibial artery above the reconstitution point (Figure 6).
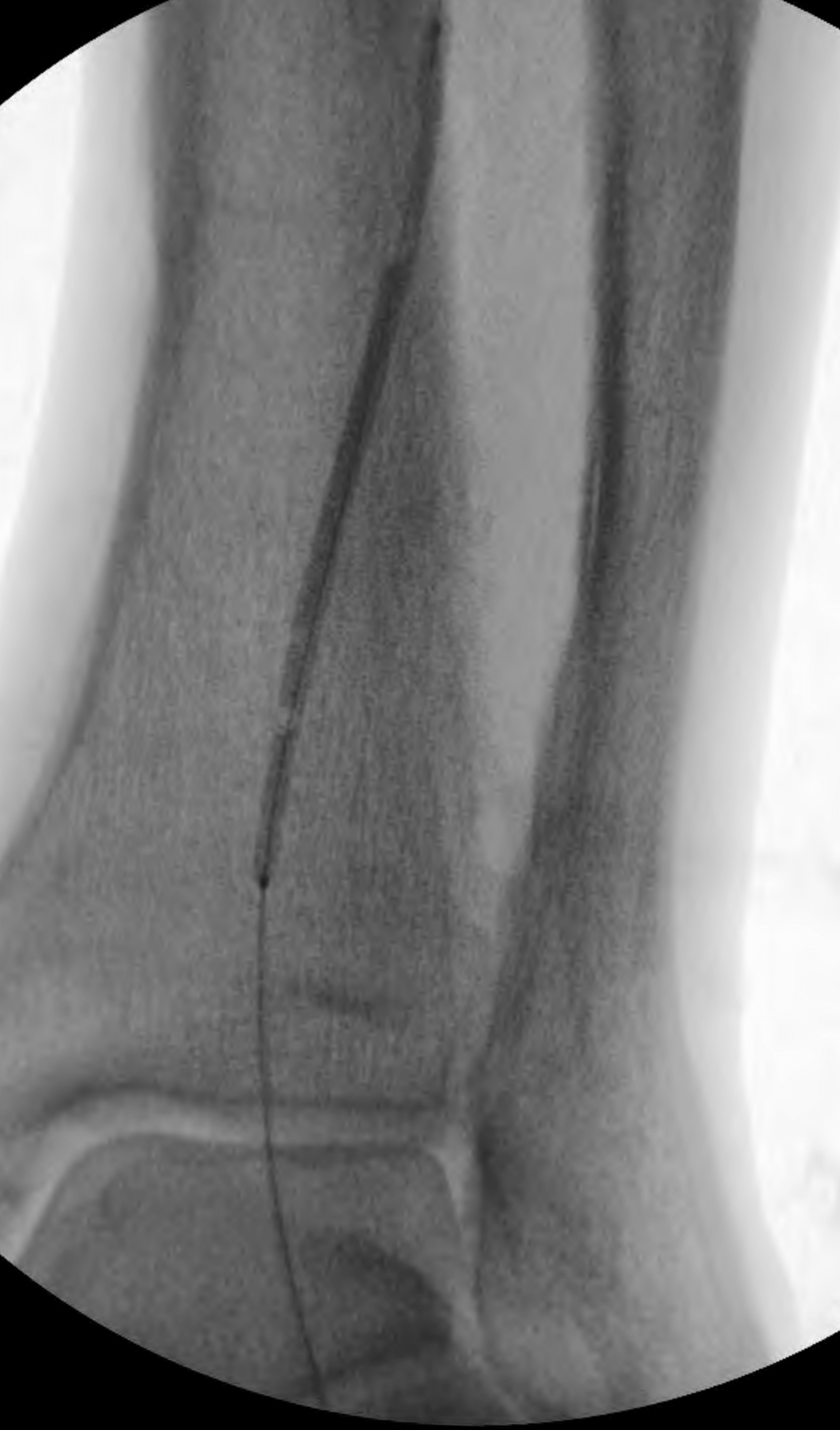
Accessing the occluded segment of an artery has been referred to as the modified Schmidt technique. Real-time ultrasound guidance is useful to accomplish this. After a needle was directed into the occluded anterior tibial artery and visualized within its lumen, a wire was successfully advanced through the occlusion in retrograde fashion into the more proximal anterior tibial artery true lumen. A 2-mm balloon was then advanced “bareback” into the distal occluded segment of the anterior tibial artery and angioplasty was performed (Figure 7). The balloon was withdrawn.
This allowed antegrade advancement of a wire from the “up and over” access into the further distal anterior tibial artery. However, it was still not possible to advance a catheter in antegrade fashion into the true lumen dorsalis pedis artery. Therefore, another retrograde access was obtained—this time, into the patent reconstituted dorsalis pedis artery (Figure 8).
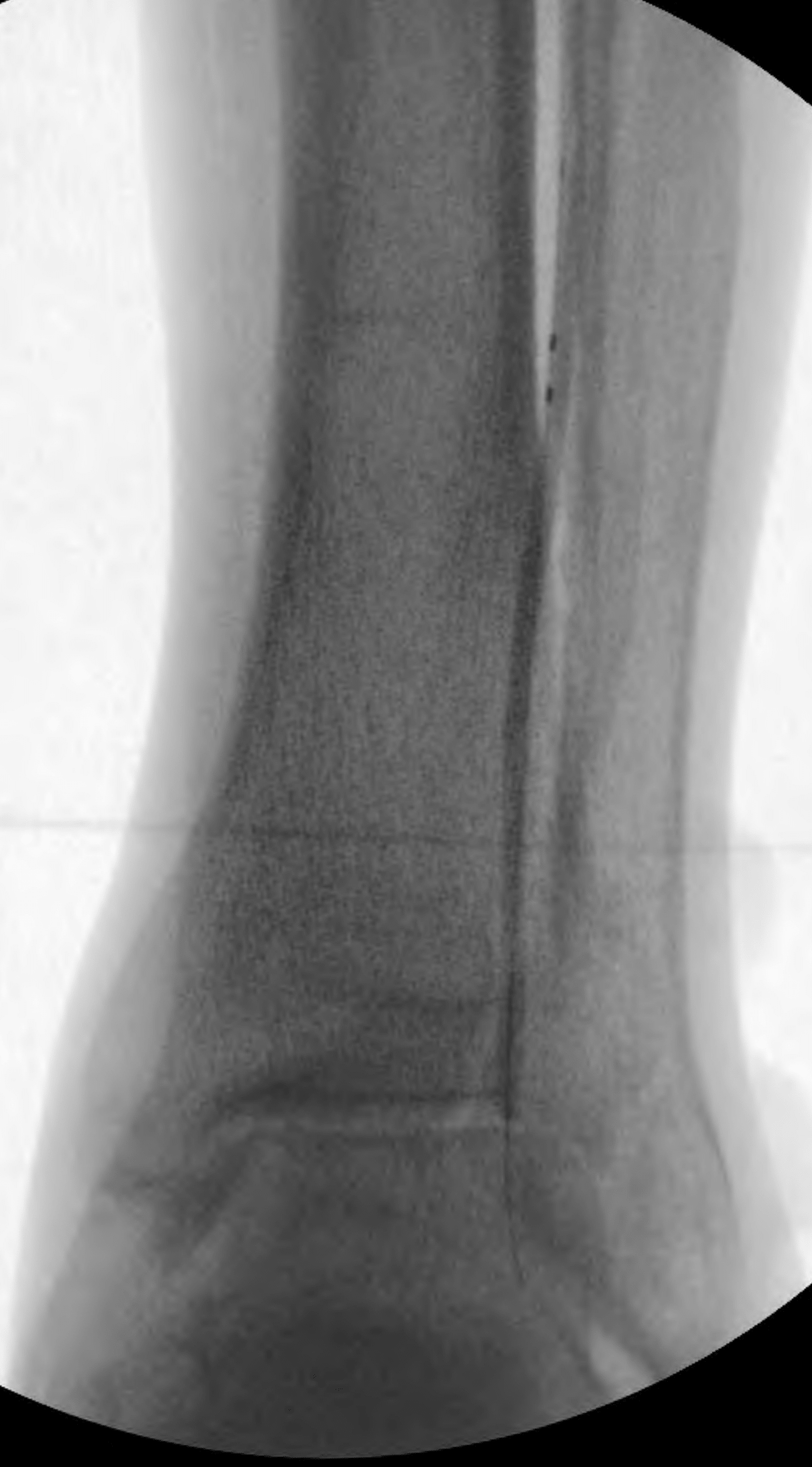
The wire from this new access point was successfully advanced in retrograde fashion through the occlusion in the far distal anterior tibial artery into the more proximal true lumen of the anterior tibial artery. A 2-mm balloon was inserted “bareback” through this new access point, and angioplasty was performed across the far distal anterior tibial artery occlusion (Figure 9). The balloon was withdrawn.
This allowed advancement of the antegrade wire (from the “up and over” access) across the occlusion in the far-distal anterior tibial artery into the dorsalis pedis artery. This was achieved carefully under extravascular ultrasound visualization. Next, completion angioplasty was performed with a 3-mm angioplasty balloon across the entirety of the distal anterior tibial artery occlusion into the patent dorsalis pedis artery (Figure 10).
The anterior tibial artery was successfully recanalized, with robust flow established into the dorsalis pedis artery (Figures 11 and 12). The patient tolerated the procedure well and did not have any complications. At 4 weeks post-intervention, the patient’s ulcer had significantly reduced in size/depth and was almost healed.
After 4 weeks of optimal wound care, the patient returned for follow-up to our clinic. His wound was significantly improved and had filled in with good granulation tissue and was superficial in its remnant (Figure 13).
Discussion
Retrograde pedal access has been well-described in the literature to facilitate complex arterial revascularization when a traditional antegrade approach fails.1 This is particularly useful for infrapopliteal disease that is frequently seen in patients with critical limb ischemia.
Modified Schmidt technique is the name given to the access into an occluded segment of an artery. This technique is a modification of a technique described by Schmidt et al where the patent distal superficial femoral artery is accessed to perform retrograde crossing of an occluded superficial femoral artery (SFA).2 The modification involved is that instead of accessing a patent segment of an artery, an occluded segment is chosen.3 Originally, this was described for occluded SFA access. It can also be performed in the popliteal as well as tibiopedal segments.4,5
Modified Schmidt technique can be performed under ultrasound or fluoroscopic guidance. The advantages of this technique include all the typical advantages of retrograde pedal access (facilitation of crossing of occlusions in retrograde fashion, etc) along with several advantages over typical retrograde pedal access of a patent artery.
In addition, with modified Schmidt pedal access, there is less risk of damage to the accessed pedal artery because the artery being accessed is already occluded. Another difference is that the operator is able to improve the occluded artery that is being accessed because there is a need to recanalize it to allow for the rest of the intervention to be performed.
Modified Schmidt access can allow for recanalization of occluded arteries when there is no other option (antegrade approach has failed and there is no safe or desirable patent segment for retrograde access into a tibiopedal artery). When a pedal modified Schmidt approach is chosen, it can be a way to recanalize chronically occluded tibial arteries when there is no great distal tibial bypass option (lack of a vein conduit, patient not a candidate for surgery, or lack of vascular surgeon availability).
One of the possible issues with modified Schmidt pedal access leading to recanalization of an occluded tibial artery is that the result could be a “road to nowhere”. This could happen if an artery distal to the access is left un-recanalized. Therefore, it is important to try to complete the recanalization by accessing distal to this point in the true lumen tibiopedal vessel. From this second access, a low-profile bareback balloon can be inserted in relatively atraumatic fashion to perform angioplasty across the segment from the point of the original modified Schmidt access to the distal true lumen access. If the distal cap cannot be traversed after the initial portion of the procedure, it is also possible to access the pedal artery nonocclusively with a micropuncture needle and wire only, rendezvousing this wire into the antegrade catheter within the distally occluded segment, allowing crossing of the distal cap and completion of the procedure. This strategy reduces procedural risk of injury to the reconstituted pedal artery.
Ultrasound and fluoroscopy can both be useful when gaining access into the occluded segment of the artery. Color doppler ultrasound can be used to confirm that the segment being accessed is, in fact, occluded and does not have significant flow within it. Ultrasonic visualization and real-time guidance of the needle can be used to advance the needle tip into the occluded lumen of the artery being accessed. Then, under extravascular ultrasound (EVUS) or fluoroscopic guidance, the wire can be advanced more proximally. If the artery being accessed is calcified, access can also be gained into the artery under fluoroscopic guidance.
Real-time EVUS guidance is useful in advancing the retrograde and antegrade wires through the occlusion as was done in the case presented here. This can be particularly useful in guiding the wire through the true lumen of the artery and avoiding the wire diverting into a subintimal plane. The presence of arterial wall calcification that can be visualized under fluoroscopy can also be useful in guiding the access wire through the occluded segment of the artery. However, subintimal retrograde wire is sometimes unavoidable and acceptable but may require additional reentry strategies at the proximal cap to restore inline flow. EVUS allows prompt recognition of this subintimal wire positioning and allows the operator to plan these strategies. While a subintimal retrograde wire may spontaneously enter the true lumen at the proximal cap, it is important to not extend a retrograde dissection, and EVUS recognition of a non-intraluminal wire position may instead be managed by engaging a similar subintimal plane with the antegrade catheter and performing the r-CART in that plane.
Conclusion
We have had great success with this technique and have performed it in numerous patients successfully. With this technique, we can perform interventions from a primary pedal access into the occluded segment of the tibial artery being recanalized (modified Schmidt technique). This includes placement of a 4F (or even larger) sheath to perform the intervention without risk of significant spasm that would otherwise be a concern with accessing a patent tibiopedal vessel and placing a sheath. We can then complete the recanalization with a low-profile angioplasty performed “bareback” from a more distal access into the patent tibiopedal outflow vessel downstream from the modified Schmidt access. n
Affiliations and Disclosures
Sreejit Nair, MD; Ashwani Sastry, MD; and Janardhan Srinivasan, MD, are from Sunrise Vascular Center, Cary, North Carolina; Michael Canavan, DPM, is from Ambulatory Foot Care Center, Danville, Virginia; Fadi Saab, MD, is from Michigan Outpatient CardioVascular Institute, Dearborn, Michigan; and John Rundback, MD, is from Advanced Interventional & Vascular Services in Teaneck, New Jersey.
Corresponding author: Sreejit Nair, MD, Sunrise Vascular Center, 2054 Kildaire Farm Road #229, Cary, NC 27518. Email: admin@sunrisevascular.net
Disclosure: The authors report no financial relationships or conflicts of interest regarding the content herein.
Manuscript accepted October 22, 2024.
REFERENCES
1. Botti CF Jr, Ansel GM, Silver MJ, Barker BJ, South S. Percutaneous retrograde tibial access in limb salvage. J Endovasc Ther. 2003;10(3):614-618. doi:10.1177/152660280301000330
2. Schmidt A, Bausback Y, Piorkowski M, et al. Retrograde recanalization technique for use after failed antegrade angioplasty in chronic femoral artery occlusions. J Endovasc Ther. 2012;19(1):23-29. doi:10.1583/11-3645.1
3. Mustapha JA, Saab F. Long peripheral CTOs: femoropopliteal to mid and distal tibial arteries. Endovascular Today. 2016;15(5): 54-61.
4. Firat A, Igüs B. Combined percutaneous direct puncture of occluded artery – antegrade intervention for recanalization of below the knee arteries. Diagn Interv Radiol. 2019;25(4):320-327. doi:10.5152/dir.2019.18580
5. Sakaue Y, Nomura T, Ono K, Kikai M, Keira N, Tatsumi T. Pedal artery angioplasty for dorsalis pedis artery puncture preceding endovascular treatment for occluded anterior tibial artery. Cardiovasc Interv Ther. 2020; 35(1):96-97. doi:10.1007/s12928-019-00580-2


