Negotiating Peripheral Calcification for TAVR Access
© 2024 HMP Global. All Rights Reserved.
Any views and opinions expressed are those of the author(s) and/or participants and do not necessarily reflect the views, policy, or position of Vascular Disease Management or HMP Global, their employees, and affiliates.
VASCULAR DISEASE MANAGEMENT 2024;21(4):E24-E25
Case Report
A 74-year-old man, who was a chronic smoker with a known case of hypertension and chronic obstructive pulmonary disease, presented with a history of breathlessness on minimal exertion. Evaluation revealed a harsh ejection systolic murmur in the aortic area. An ECG was suggestive of left ventricular hypertrophy with a strain pattern. A 2-dimensional echocardiography showed a degenerated calcific aortic valve with severe aortic stenosis and moderate aortic regurgitation with a mean gradient of 62 mm Hg and a left ventricular ejection fraction of 40%. Coronary angiography revealed normal epicardial coronaries. In view of his comorbidities, the patient was scheduled for a transcatheter aortic valve replacement (TAVR). A vascular examination revealed palpable pedal pulses bilaterally; however, computed tomography angiography revealed calcified vessels.
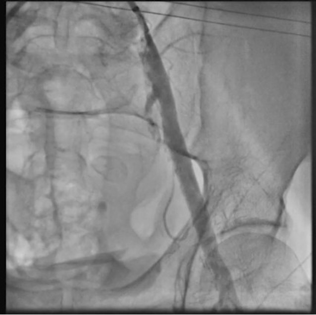
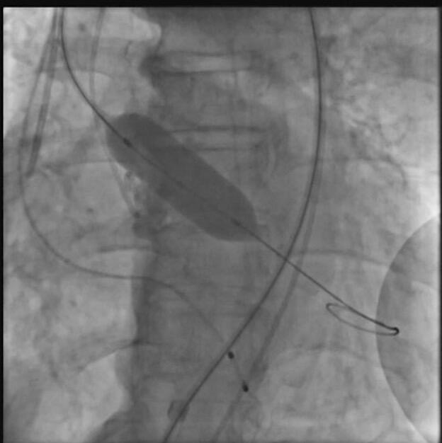
The patient was taken up for TAVR via a left common femoral artery (CFA) approach. The aortic valve was crossed (Figure 1A), and pre-dilatation was done using an 18-mm x 40-mm Mammoth balloon catheter (Meril Life Sciences) (Figure 1B). A 24.5-mm Myval transaortic valve (Meril Life Sciences) was introduced inside a Python expandable introducer sheath (Meril Life Sciences). However, the device could not be negotiated in the distal external iliac artery (EIA) due to calcium. The arrow in Figure 2A shows calcium in the distal EIA. The artery forceps depicts a marker for the distal end of the Python sheath. The sheath was withdrawn in the distal EIA; right CFA puncture was done and a 7F crossover sheath was placed. Intravascular lithotripsy (IVL) was done using a 7-mm x 60-mm IVL balloon; 30 pulses at 4 atm followed by 30 pulses at 6 atm were given (Figure 2B).
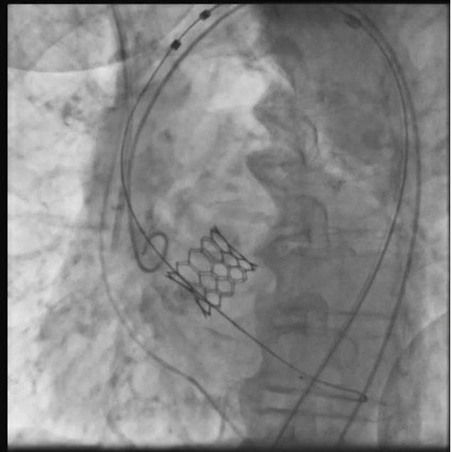
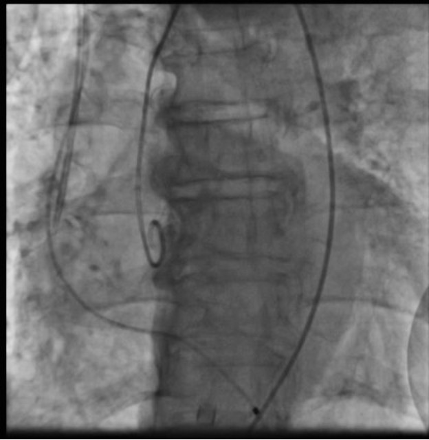
Following this, the sheath could be advanced proximally and the 24.5-mm Myval transaortic valve was negotiated and deployed (Figure 2C). A check angiogram showed good flow across the common iliac artery and EIA with no dissection (Figure 3). The puncture site was closed using a Perclose ProGlide Suture-Mediated Closure System (Abbott Cardiovascular). n
The authors report no financial relationships or conflicts of interest regarding the content herein.
Manuscript accepted April 3, 2024.
Address for Correspondence: Dr. Jha Manvendu, Department of Vascular Surgery, Army Hospital Research & Referral, New Delhi, India. Email: manviparijat@gmail.com


