Skip to main content

Volume 20 - Issue 8 - August 2023

Video
08/31/2023
Pradeep K. Nair, MD, FACC, FSCAI
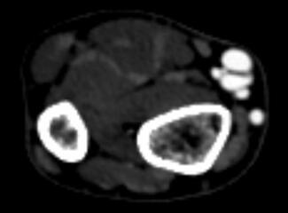
In this video, Dr. Pradeep Nair comments on a case where a migratory bullet was extracted safely using a snare and a Protrieve sheath (Inari Medical).
In this video, Dr. Pradeep Nair comments on a case where a migratory bullet was extracted safely using a snare and a Protrieve sheath (Inari Medical).
In this video, Dr. Pradeep Nair...
08/31/2023
Vascular Disease Management
Editor's Corner
08/30/2023
Pradeep K. Nair, MD, FACC, FSCAI
Looking at a unique case.
Looking at a unique case.
Looking at a unique case.
08/30/2023
Vascular Disease Management
Case Report
08/24/2023
William Terrill, MD; Andrew Klobuka, MD
The authors present a case where a migratory bullet was extracted safely using a snare and a Protrieve sheath, a novel device designed to trap thromboemboli in the inferior vena cava during mechanical thrombectomy procedures.
The authors present a case where a migratory bullet was extracted safely using a snare and a Protrieve sheath, a novel device designed to trap thromboemboli in the inferior vena cava during mechanical thrombectomy procedures.
The authors present a case where...
08/24/2023
Vascular Disease Management
Clinical Review
08/24/2023
Raed M. Ennab; Rahaf Al-Jararha, MD; Hawra' Alsmadi, MD; Qamar Majthoub, MD; Nour Zietoon, MD; Shahed Alzoubi, MD
This study systematically reviewed relevant research articles and conducted a comprehensive meta-analysis to compare the outcomes of CDT in combination with anticoagulation therapy vs anticoagulation therapy alone.
This study systematically reviewed relevant research articles and conducted a comprehensive meta-analysis to compare the outcomes of CDT in combination with anticoagulation therapy vs anticoagulation therapy alone.
This study systematically...
08/24/2023
Vascular Disease Management
Case Report With Review
08/24/2023
Jameson M. Petrochko, MD; Jacob "Jake" Wilson, DO; Anthony Allsbrook, DO; Jay Fisher, MD
The authors review the management of radial AVF and describe a case of an otherwise healthy man who developed a radial AVF after coronary angiography.
The authors review the management of radial AVF and describe a case of an otherwise healthy man who developed a radial AVF after coronary angiography.
The authors review the...
08/24/2023
Vascular Disease Management
Video
08/01/2023
Himanshu J. Patel, MD; Michael D. Dake, MD
See what Drs Himanshu J. Patel and Michael D. Dake have to say about this first-of-its kind zone 2 TEVAR device from Gore.
See what Drs Himanshu J. Patel and Michael D. Dake have to say about this first-of-its kind zone 2 TEVAR device from Gore.
See what Drs Himanshu J. Patel...
08/01/2023
Vascular Disease Management