Skip to main content

Volume 19 - Issue 8 - August 2022

Editor's Corner
08/23/2022
Craig M. Walker, MD, FACC, FACP, FSCAI, FCCP
Dr. Walker's latest commentary.
Dr. Walker's latest commentary.
Dr. Walker's latest commentary.
08/23/2022
Vascular Disease Management
Video
08/23/2022
Craig M. Walker, MD, FACC, FACP, FSCAI, FCCP
Dr. Walker comments on the role of telemedicine, as this has become progressively more important secondary to a critical shortage of healthcare professionals coupled with patients’ fear of exposure to infection that was exacerbated by the...
Dr. Walker comments on the role of telemedicine, as this has become progressively more important secondary to a critical shortage of healthcare professionals coupled with patients’ fear of exposure to infection that was exacerbated by the...
Dr. Walker comments on the role...
08/23/2022
Vascular Disease Management
Original Research
08/23/2022
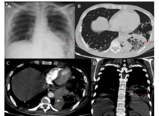
Aparna Irodi, MBBS, MD, DNB, FRCR; Leena Robinson Vimala, DMRD, MD, FSCMR; Regi Kurien, MBBS, MS; T. Balamugesh, MBBS, MD, DM, FRCP, FRCPS, FCCP; Richa Gupta, MBBS, MD; Santhosh Babu Bharathy, MD, MBBS; Birla Roy Gnanamuthu, MBBS, MS; Vinu Moses, MD, DNB, MBBS; Shyamkumar Nidugala Keshava, MBBS, DMRD, DNB, FRCR, FRANZCR; Kumar Muthukumar, MBBS, DMRD, FRCR, DNB, FNVIR
This study included COVID-19-positive patients who presented with massive hemorrhage who were referred to interventional radiology.
This study included COVID-19-positive patients who presented with massive hemorrhage who were referred to interventional radiology.
This study included...
08/23/2022
Vascular Disease Management
Case Report
08/20/2022
Nachiket J. Patel, MD, FACC, FACP, FSCAI; Richard R. Heuser, MD, FACC, FACP, FESC, FSCAI; Paul J. Shim, BS; Hani Shennib, MD
This case illustrates the potential for complications when facing severely fibrotic lesions in carotid catheterization.
This case illustrates the potential for complications when facing severely fibrotic lesions in carotid catheterization.
This case illustrates the...
08/20/2022
Vascular Disease Management
OBL Corner
08/19/2022
Vascular Disease Management spoke with staff members from Palm Vascular Centers, which has office-based labs in Miami Beach and Coral Gables, Florida.
Vascular Disease Management spoke with staff members from Palm Vascular Centers, which has office-based labs in Miami Beach and Coral Gables, Florida.
Vascular Disease Management...
08/19/2022
Vascular Disease Management
Video
08/15/2022
Frank Arko, III, MD
In this interview, Frank Arko, MD, Chief of Vascular and Endovascular Surgery at Sanger Heart and Vascular Institute, Atrium Health discusses his use of IVL.
In this interview, Frank Arko, MD, Chief of Vascular and Endovascular Surgery at Sanger Heart and Vascular Institute, Atrium Health discusses his use of IVL.
In this interview, Frank Arko,...
08/15/2022
Vascular Disease Management
Video
08/05/2022
Supporting customer needs together.
Supporting customer needs together.
Supporting customer needs...
08/05/2022
Vascular Disease Management