How to Save 20 Minutes for Transferred Stroke Patients
Neurointerventional Surgeon
Radiology Imaging Associates, Swedish Medical Center
Denver, Colorado
Vascular Disease Management speaks with neurointerventional surgeon Donald Frei, MD, from Radiology Imaging Associates at Swedish Medical Center in Denver, Colorado, about using the Artis icono Biplane (Siemens Healthineers) for stroke patients. Dr. Frei’s case report follows the interview.
Tell us about your practice with Radiology Imaging Associates at Swedish Medical Center in Denver.
We have a large stroke program and do about 350 thrombectomies a year for large vessel occlusion. Our practice gets patients transferred in from 60 hospitals in a 5-state area: all of Colorado, Wyoming, Montana, Western Kansas, Western Nebraska, and sometimes Northern New Mexico. We have a large spoke-and-hub network where we’re the hub, and we’re very busy.
There are obvious challenges and differences in opinion on what is appropriate for direct-to-angio (DTA) regarding stroke. Can you share your thoughts on DTA and how it has affected or impacted your patients at Swedish?
Fundamentally, the faster you can reopen a blocked artery, the better the patient is going to do. Anything we can do to streamline the process, save time, is going to be to the benefit of patients. So we certainly work on our processes in the hospital, communicating with EMS prior to arrival, how things work in the ER, how things work with the stroke team.
But the standard algorithm now is you bring a patient to the hospital, they go for a computed tomography (CT) scan or magnetic resonance imaging (MRI) and then they go to the angio suite for the thrombectomy procedure. But about 75% of the patients we treat are transferred from another hospital. With artificial intelligence (AI) technology, we have access to their imaging from another hospital. If we get them transferred in quickly, within 90 minutes and their neurological exam is unchanged, if we can eliminate the step of taking them for a CT scan or MRI first and bring them DTA, we’re going to save 20 minutes, which will be 40 million neurons. We try to do that as much as we possibly can because it’s going to lead to better outcomes.
How do you determine which patients are candidates for this approach?
The patients who are candidates are the ones who have already had identified large-vessel occlusion by outside imaging, and their neurological exam is stable compared to the evaluation of the transferring hospital. For us, that is a significant number of patients.
Can you share how advancements with the Artis icono biplane have enhanced your DTA workflow for stroke patients?
The whole concept of bringing patients DTA is predicated on good image quality so you can detect hemorrhage with reliability, and you can also detect the size of the core infarct with reliability, with high-resolution imaging. The ARTIS icono, with its cone beam CT, has reached the threshold where we’re able to identify the size of the core infarction and reliably identify hemorrhage. Now we have excellent image quality in the angio suite so we can safely bypass CT. And that’s because of the improvements in technology.
How does your DTA workflow for transfer stroke patients affect clinical outcomes?
If we do DTA and bypass CT, we’re probably saving, on average 20 minutes. If you’re saving 20 minutes from arrival to recanalization, that is going to significantly impact the number of patients that will be independent and walking out of the hospital within a day or two. It’s going to lead to better patient outcomes.
Time is brain. Time is the most important metric for us doing these procedures quickly, and it’s going to provide the best impact for better patient outcomes. Having the team there upon patient arrival and being very quick with our thrombectomy procedure—from arterial access to recanalization for our team is about 15 minutes. We’re pretty fast once we get going, and if we can shave time off getting the patient to the procedure start, we’re going to have better patient outcomes.
Outside of the syngo DynaCT improvements, are there other features with the ARTIS icono that have greatly impacted your experience?
I think the image quality overall is superior to anything else and has gotten better and better. We have many things like road mapping for embolization, being able to pick a roadmap from an angiographic run that was done earlier in the procedure and setting it up. That saves time and dose of radiation to the physician to the patient. All these things help us do the procedure better and faster.
Case Report
Potential Outcomes of Transferred Stroke Patients
Donald Frei, MD
Radiology Imaging Associates at Swedish Medical Center, Denver, Colorado
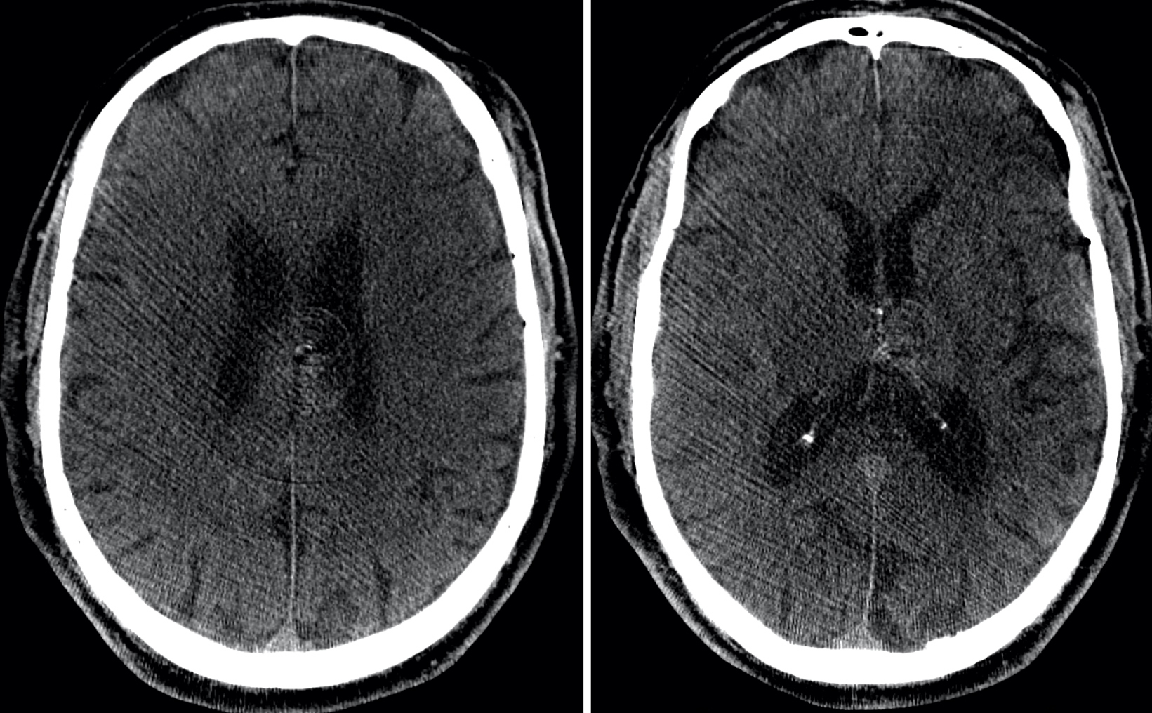
A 68-year-old man had a witnessed fall while riding his bike and was transferred to a local hospital with left hemiparesis. Computed tomography (CT) and CT angiography showed right internal carotid artery type T occlusion (Figure 1). The head CT ASPECTS score was 10.
The patient was transferred to Swedish Medical Center within 60 minutes of the previous CT, which was visualized remotely with AI technology (Figure 2).
The patient was sent DTA and a Sine Spin head CT was done (Figure 3). Thrombolysis in cerebral infarction (TICI) 3 was achieved after 1 pass (Figure 4). Time from door to recanalization was 43 minutes. Figure 5 shows the patient’s MRI after 24 hours.
Disclaimer: The statements by Siemens Healthineers’ customers described herein are based on results that were achieved in the customer’s unique setting. Since there is no “typical” hospital and many variables exist (e.g., hospital size, case mix, level of IT adoption) there can be no guarantee that other customers will achieve the same results.


