Broaden Access Options With the Longer Shockwave M5+ 135cm Catheter
Interventional Cardiologist
Bay Area Heart Cardiac, Vascular, and Vein Center
St. Petersburg, Florida
Vascular Disease Management speaks with interventional cardiologist Amit Srivastava, MD, from Bay Area Heart Cardiac, Vascular, and Vein Center in St. Petersburg, Florida, about using an alternate access approach with the new Shockwave M5+135cm catheter. Dr. Srivastava’s case report follows the interview.
What patient and procedural factors impact your decision to use an alternate approach when treating peripheral arterial disease (PAD)? In which cases do you choose to use alternate access?
The definition of alternate access nowadays has become access that’s not femoral, which is what we’re used to using. When we started doing radial-to-peripheral interventions—I’m happy to say that we did the first one in the world and have certainly had the highest volume of any center in the country. There are certainly cases where alternate access is needed. We started off with cases we would’ve initially done with a brachial approach, such as patients with an abdominal aortic aneurysm endograft, those with crisscrossing stents in the distal abdominal aorta, or those who may have occlusion of the contralateral iliac arteries or common femoral artery (CFA).
People are living longer, so more complex disease processes are presenting themselves. Alternate access allows us to treat these lesions with an excellent outcome in addition to a lower risk of access site complications. Physicians who have done endovascular interventions understand that the brachial artery is a high-risk access site because of the lack of ability to get hemostasis afterwards and the risk of pseudoaneurysm and thrombosis of the brachial artery. These are real complications—patients don’t die from complications of the procedure, per se, but they do die or have morbidity from access site complications. By using an alternate access site, either radial or tibiopedal, you avoid a lot of these access site complications but still have a good endovascular result.
How do device specifications and availability, or lack thereof, affect your transradial access procedures? What’s the impact of not having an alternate access option when treating peripheral disease?
Right now, we’re in infancy when it comes to alternate access equipment. Certain companies have pioneered the radial-to-peripheral procedure. Longer equipment is needed to complete the procedure itself. The limitations at this point would be, for example, using certain equipment, such as intravascular ultrasound, or most important, intravascular lithotripsy (IVL), which has made iliac artery interventions and severely calcified lower-extremity artery interventions very safe by minimizing the risk of a flow-limiting dissection or perforation. When it comes to choosing equipment, obviously I want to choose the safest access site for the patient and what’s most appropriate based on the available access. But once that decision has been made, I’m looking to integrate tools that would be compatible with what I’m doing, either from the radial or the pedal approach.
How has the increased length of the Shockwave M5+ impacted your treatment algorithm?
It is certainly a game changer. It allows me to treat iliac lesions and CFA lesions very effectively with a transradial approach. In the iliac space, IVL makes the procedure much safer.
Initially in my training, there was concern about working on calcified iliac arteries because of the risk of perforation; retroperitoneal bleed in this location is not benign and can certainly carry a significant impact to the patient. By having an adjunct, or a tool like IVL, when I’m going from the radial approach to treat iliac lesions or even common femoral proximal superficial femoral artery lesions, I’m able to get a better outcome than I would without the use of IVL. Now I have an excellent tool that makes the procedure safer for my patients.
What has been your experience with the Shockwave M5+ and IVL?
IVL has been revolutionary for my practice. It really has made the procedure safer; it limits the risk of perforation or flow-limiting dissections in heavily classified lesions, which are the major things we’re concerned about in that situation. Shockwave M5+ is even better because it increases efficiency with 50% quicker cycle time. And having longer shaft lengths allows me to be able to do these procedures transradially very effectively.
The biggest benefit of IVL for our patients is the safety. Many physicians use it for the reasons intended, which is to make vessels more compliant and treat the medial calcification to get better luminal gain. I think the corollary to that, in spaces where we didn’t have a way to treat calcified lesions, is in the iliac arteries. IVL has changed the landscape in iliac arteries to be able to do the procedures safely for our patients with the lower risk access site, and it avoids the need for more expensive or larger-diameter supplies, such as covered stents. The most important advantage of IVL is that it’s a safety tool for my patients when I’m using transradial, transfemoral, or pedal access.
Case Report
Treating Further-Alternate Access With the New Shockwave M5+ 135cm
Amit Srivastava, MD, FACC, FABVM
Bay Area Heart Cardiac, Vascular, and Vein Center, St. Petersburg, Florida
An 80-year-old man was referred for evaluation of persistent lower extremity claudication status post lumbar spinal surgery. His medical history was significant for chronic tobacco abuse, chronic obstructive pulmonary disease, lumbar spinal stenosis, hypertension, and hyperlipidemia. The patient complained of left worse than right lower extremity hip, thigh, and buttock claudication that was limiting within 100 feet of walking. He noted dorsal left pedal rest pain that awakened him at night over the previous month. He continued to smoke cigarettes.
For further evaluation of suspected peripheral arterial disease (PAD) with aortoiliac involvement, abdominal aortic ultrasound and bilateral lower extremity arterial ultrasound examinations were ordered. Abdominal aortic ultrasound revealed a 3.1-cm abdominal aortic aneurysm with severe bilateral aortoiliac inflow stenosis involving the common femoral arteries (CFAs). Lower extremity arterial ultrasound demonstrated severely calcified bilateral CFA stenosis with dampened and monophasic left aortoiliac spectral doppler waveforms consistent with severe left aortoiliac inflow stenosis. The right lower extremity ankle-brachial index (ABI) was 0.75 with a left lower extremity ABI of 0.35.
Given bilateral CFA PAD with evidence of bilateral aortoiliac inflow stenosis, the decision was made to proceed with peripheral angiography and intervention via the transradial approach. This approach was selected to avoid the diseased CFAs and treat both lower extremities in the same setting. The procedural plan involved intravascular lithotripsy (IVL) due to the severely calcified nature of the CFA lesions. This was the first case where IVL via the transradial approach was done using the Shockwave M5+ IVL catheter.
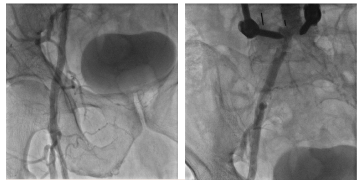
Peripheral angiography revealed moderate abdominal aortic aneurysm, severely calcified and stenotic right common as well as external iliac artery stenoses, and total occlusion of the left CFA (Figure 1). Collaterals were noted to reconstitute to the distal left CFA. No opacification was noted in the left common or external iliac arteries via collateralization. The right CFA was also noted to have a severely calcified mid-vessel stenosis. The remainder of the infrainguinal vessels were free of significant stenosis. A plan was made for right iliac and CFA intervention with surgical right-to-left femoral-to-femoral bypass grafting with left common femoral endarterectomy.
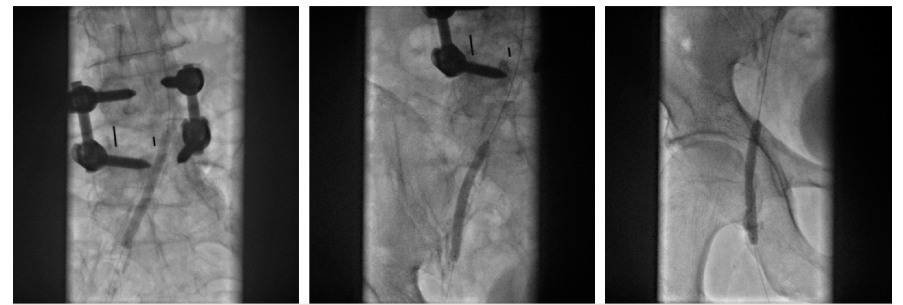
The patient was on baseline medical therapy with clopidogrel 75 mg orally daily. Anticoagulation was administered using unfractionated heparin intravenously. A 105-cm R2P Slender sheath (Terumo) was advanced into the right common iliac artery. A 0.14” wire was advanced into the distal right CFA. Over this wire, a 6-mm Shockwave M5+ IVL balloon was used to perform IVL to the right common iliac, external iliac, and common femoral arteries (Figures 2-4).
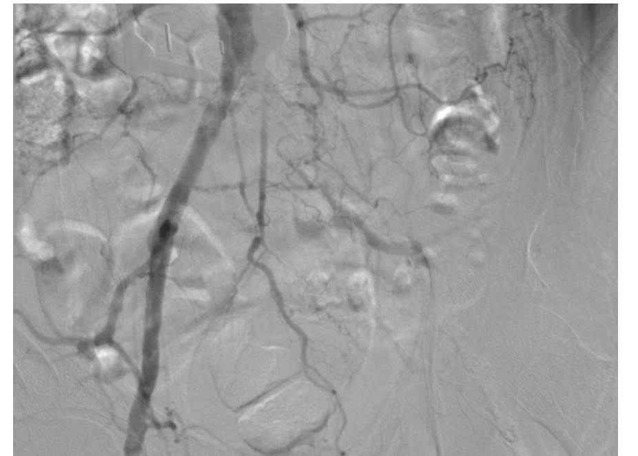
One month after this endovascular procedure, the patient underwent left common femoral endarterectomy with right-to-left femoral-to-femoral bypass grafting (Figure 5 and Figure 6).
Conclusions
This case demonstrates the first in-human experience of transradial IVL for calcific lower-extremity PAD. The length and profile of this new catheter makes it compatible with a transradial approach with excellent efficacy. IVL makes iliac artery intervention safer due to its ability to fracture intimal and medial calcium. This translates into less potential for vascular perforation due to refractory calcific plaque. In our case example, left external iliac artery stenting was unnecessary due to the excellent result achieved with IVL alone. As more endovascular cases are being performed from alternate access sites, IVL is a viable treatment option from these novel approaches.
This interview was supported by Shockwave Medical.
Dr. Srivastava is a paid consultant for Shockwave Medical and opinions expressed are those of the speaker and not necessarily those of Shockwave Medical.
In the United States: Rx only.
Indications for Use. The Shockwave Medical Intravascular Lithotripsy (IVL) System is intended for lithotripsy-enhanced balloon dilatation of lesions, including calcified lesions, in the peripheral vasculature, including the iliac, femoral, ilio-femoral, popliteal, infra-popliteal, and renal arteries. Not for use in the coronary or cerebral vasculature.
Contraindications. Do not use if unable to pass 0.014 guidewire across the lesion. Not intended for treatment of in-stent restenosis or in coronary, carotid, or cerebrovascular arteries.
Warnings. Only to be used by physicians who are familiar with interventional vascular procedures. Physicians must be trained prior to use of the device. Use the generator in accordance with recommended settings as stated in the Operator’s Manual.
Precautions. Use only the recommended balloon inflation medium. Appropriate anticoagulant therapy should be administered by the physician. Decision regarding use of distal protection should be made based on physician assessment of treatment lesion morphology.
Adverse effects. Possible adverse effects consistent with standard angioplasty include access site complications; allergy to contrast or blood thinner; arterial bypass surgery; bleeding complications; death; fracture of guidewire or device; hypertension/hypotension; infection/sepsis; placement of a stent; renal failure; shock/pulmonary edema; target vessel stenosis or occlusion; vascular complications. Risks unique to the device and its use: allergy to catheter material(s); device malfunction or failure; excess heat at target site.
Prior to use, please reference the Instructions for Use for more information on indications, contraindications, warnings, precautions, and adverse events. www.shockwavemedical.com
Please contact your local Shockwave representative for specific country availability and refer to the Shockwave S4, Shockwave M5, and Shockwave M5+ instructions for use containing important safety information.


