Utilization of a Tibio-Pedal Artery Minimally Invasive Approach to Treat Complex Below-Knee Disease in a High Transfemoral Risk Patient
With the evolution of endovascular techniques, historically untreated patients now have options. The tibio-pedal artery minimally invasive (TAMI) approach is safe and feasible when patients are at risk of transfemoral access complications.1-3
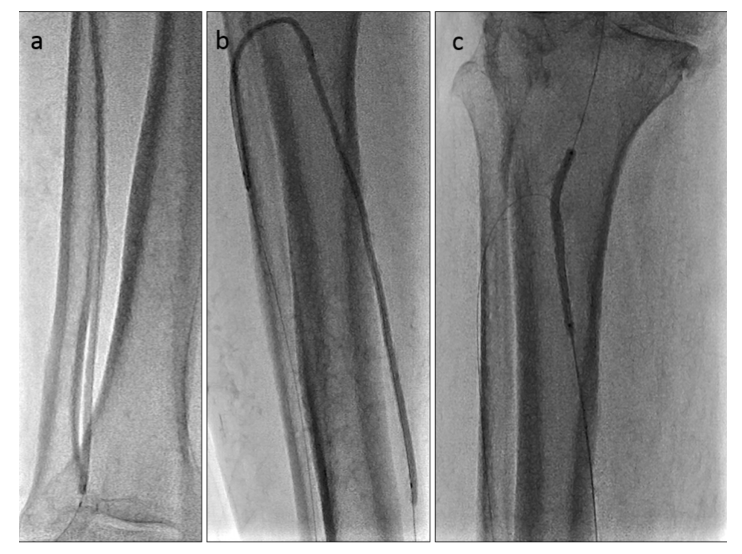
Case Report
A 66-year-old male with a past medical history of hypertension, hyperlipidemia, insulin-dependent diabetes mellitus Type 2 for more than 20 years, coronary artery disease previously treated with multivessel percutaneous coronary intervention (PCI), ischemic cardiomyopathy with ejection fraction of 35%, morbid obesity with body mass index (BMI) of 52, and sleep apnea, presented with chronic limb-threatening ischemia (CLTI) and necrotizing fasciitis requiring an urgent debridement for infection control. His non-invasive vascular workup included an abnormal ankle brachial index (ABI), an abnormal arterial ultrasound, and tissue oximetry.
The patient had a right transradial aortogram with selective right leg angiogram. His angiogram revealed adequate inflow with patent aorto-iliac, common femoral, superficial femoral, profunda, and popliteal vessels. Distally he had a chronically occluded (CTO) right anterior tibial (AT) with a hibernating dorsalis pedis artery (DP) that faintly filled from a peroneal (PER) collateral, 90% tibial peroneal trunk (TPT) stenosis, multiple 75% lesions in the proximal and mid posterior tibial artery (PT), and a patent lateral plantar artery (LP) (Figure 1).
Anticipating a high risk of complications related to transfemoral access, we decided to proceed with a TAMI approach utilizing transradial guidance. A 4 to 5 French (Fr) Glidesheath Slender sheath (Terumo) was inserted in the right radial artery for visualization of the proximal vessels. We placed a 2.9 Fr Cook pedal sheath (Cook Medical) in the AT and advanced an .018-inch CXI support catheter (Cook Medical) over an .018-inch Command ST wire (Abbott Vascular). The CXI catheter and wire were advanced through the course of the ATA intraluminally, except for the ostium of the ATA, where the wire entered a subintimal space. Thereafter, we gained access in the right PT with a 4 to 5 Fr Glidesheath Slender sheath to serve as an antegrade access to cross the ATA CTO (Figure 2). An .018-inch CXI support catheter was telescoped within a 4 Fr Berenstein catheter (Boston Scientific) with an .018-inch Command wire advanced into the proximal AT (Figure 3). The antegrade equipment was advanced into the distal AT. The retrograde CXI catheter was pulled back in the distal AT, where the antegrade wire was inserted for externalization. Subsequently, the antegrade CXI catheter was externalized through the retrograde 2.9 Fr sheath placed in the distal AT (Figure 4). The .018-inch Command wire was exchanged for an .014-inch ViperWire (Cardiovascular Systems, Inc. [CSI]) guidewire to perform atherectomy using a 1.5 mm classic crown Diamondback 360 catheter (CSI) in the PT, TPT, and AT (Figure 5). Thereafter, based on extravascular ultrasound (EVUS) measurements, we performed balloon angioplasty of the proximal DP, AT, and PT with a 3.5 x 300 mm Ultraverse balloon (BD), and TPT with a 4.0- x 60-mm Lutonix drug-coated balloon (BD) with an excellent result (Figure 6).
A 3.0 x 80 mm Advance Micro 14 2.5 Fr balloon (Cook Medical) was inserted through the retrograde AT 2.9 Fr sheath over the ViperWire, which was exchanged for an .014-inch Fielder XT (Asahi Intecc) and advanced distally to the 4 to 5 Fr Glidesheath Slender sheath PT access for intraarterial balloon tamponade to obtain hemostasis (Figure 7). Finally, the retrograde 2.9 Fr AT sheath was removed, and hemostasis was achieved with manual pressure (Figure 8). The patient tolerated the procedure well and ambulated an hour later. He underwent additional debridement and placement of a wound vac.
The TAMI approach has been well documented and can be utilized as an alternative in patients with high risk of complications related to transfemoral access. In other cases, we have used up to 5 to 6 and 6 to 7 Glidesheath Slender sheaths. To reduce the risk of access-related complications, we usually perform balloon tamponade with a 2.5 or 3.0 mm Advance Micro 14 2.5 Fr balloon through a distal 2.9 Fr sheath that can safely be closed with minimal manual pressure (Figure 9). We always utilize a hockey stick ultrasound probe to obtain access. We maintain an activated clotting time (ACT) >250 seconds during the case. We inject between 200 and 400 mcg of intra-arterial nitroglycerin for vasodilation and repeat the same process every thirty minutes.
Disclosures: The authors report no conflicts of interest regarding the content herein.
Manuscript submitted April 16, 2020, final version accepted May 7, 2020.
Address for correspondence: Zola N’Dandu, MD, Ochsner Health Center - Kenner, 200 West Esplanade Ave., Ste 205, Kenner, LA 7006. Zola N’Dandu, MD can be reached via email at zola.ndandu@gmail.com. Jonathan Bonilla, MD, can be reached via email at bonillajon@gmail.com.
REFERENCES
1. Mustapha JA, Saab F, McGoff TN, et al. Tibiopedal arterial minimally invasive retrograde revascularization (TAMI) in patients with peripheral arterial disease and critical limb ischemia. On behalf of the Peripheral Registry of Endovascular Clinical Outcomes (PRIME). Catheter Cardiovasc Interv. 2020;95(3):447-454. Epub 2019 Dec 13.
2. Mustapha JA, Saab F, McGoff T, et al. Tibio-pedal arterial minimally invasive retrograde revascularization in patients with advanced peripheral vascular disease: the TAMI technique, original case series. Catheter Cardiovasc Interv. 2014;83:987-994.
3. Welling RHA, Bakker OJ, Scheinert D, et al. Below-the-knee retrograde access for peripheral interventions: a systematic review. J Endovasc Ther. 2018;25:345-352.


