Use of Vascular Closure Device After Access of Common Femoral Artery Through an Existing Stent
ABSTRACT: A 91-year-old male with history of peripheral vascular disease and existing stent in the common femoral artery presented with contralateral critical limb ischemia. Our case demonstrates the successful closure of a femoral access site through a stent utilizing an active extravascular closure device.
VASCULAR DISEASE MANAGEMENT 2012:9(5):E68-E70
______________________________________________
Case Report
A 91-year-old male with history of peripheral arterial disease, coronary artery disease, hypertension, dyslipidemia, chronic kidney disease, and ischemic heart disease presented with critical limb ischemia and rest pain of the left lower extremity. He had previously undergone cutting balloon angioplasty and stenting of the right common femoral artery (CFA), as well as atherectomy, cryoplasty, and angioplasty of the right superficial femoral artery (SFA) into the popliteal artery for in-stent restenosis almost 1 year prior. He was admitted on this encounter for treatment of the left SFA.
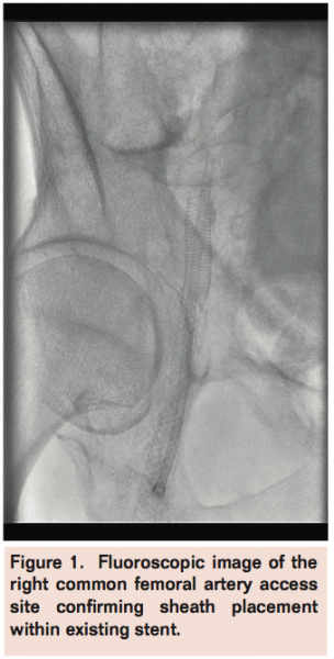
Access was obtained through the existing stent in the right femoral artery using a micro-puncture access kit and upsized to a 7 Fr sheath (Figure 1). After crossing the aortoiliac bifurcation into the left external iliac artery using a Rim catheter (Cordis Corporation), a 7 Fr Ansel sheath (Cook Medical) was advanced over an Amplatz stiff wire (Cook) into the left external iliac artery. Angioplasty was performed on the left SFA with good angiographic result and brisk flow into the left foot.
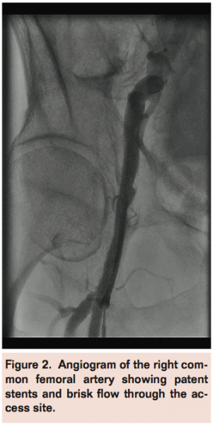
Selective angiogram of the right CFA showed patent stents (Figure 2) with mild-to-moderate disease in the distal SFA and 2-vessel runoff into the right foot. A Mynx with Grip Technology (AccessClosure, Inc) vascular closure device (VCD) was deployed in the right CFA with adequate hemostasis and the patient discharged home the following day without complications.
The patient was seen in follow up 4 months later and findings from duplex arterial Doppler showed no stenosis within the access site in the right CFA (Figure 3).
Discussion
The increasing prevalence of peripheral arterial disease and treatment of the CFA and SFA with stents creates a challenge when repeat access is required. Although there is limited published literature on this clinical scenario, some risks may be assumed during hemostasis of such access sites. Manual compression may result in crushing of the stent, and VCDs may disrupt the integrity of the existing stent. VCDs with intra-arterial components may disturb the flow dynamics within the stent, increasing the likelihood of restenosis.1-9 Those with extravascular clips may fail to capture sufficient tissue at the arteriotomy in a vessel stiffened by an existing stent and suture-based VCDs may likewise be unable to adequately penetrate the stented access site. However, VCDs, if successfully deployed, present a desirable alternative as they reduce time to hemostasis and ambulation as well as improve patient comfort.10-26 Therefore, an extravascular VCD with minimal impact on the vessel and stent integrity would offer the best possibility of a positive outcome.27,28
The Mynx with Grip Technology VCD is an extravascular, bioabsorbable system (Figure 4) that utilizes a polyethylene glycol (PEG) hydrogel sealant in 2 different formulations. The formulation of the proximal segment contains PEG components that have been reacted, cross-linked, and freeze-dried, creating a porous structure.29 The porous structure absorbs blood and subcutaneous fluids, expanding 3-4 times its original size and filling the tissue tract. In the distal segment, the PEG components are combined, but are not reacted or cross-linked, triggering them to react and cross-link when exposed to the Ph level and temperature inside the body. This cross-linking causes the PEG to soften and interlock with the contours of the vessel wall. Hemostasis is achieved through the combination of sealant expansion and active adherence to the artery wall. Early studies evaluating the Mynx VCD confirmed the hemostatic safety and efficacy of the device in diagnostic and interventional catheterization procedures.23 A prospective randomized trial of patient comfort following closure with the Mynx VCD revealed less pain than with other intravascular anchoring VCDs.24
Our case demonstrates a unique application of the active extravascular VCD in the successful closure of a rare femoral access site through an existing stent.
References
- Scheinert D, Scheinert S, Sax J, et al. Prevalence and clinical impact of stent fractures after femoropopliteal stenting. J Am Coll Cardiol. 2005;45(2):312-315.
- Rosenfield K, Schainfeld R, Pieczek A, Haley L, Isner JM. Restenosis of endovascular stents from stent compression. J Am Coll Cardiol. 1997;29(2):328-338.
- Duda SH, Bosiers M, Lammer J, et al. Drug-eluting and bare nitinol stents for the treatment of atherosclerotic lesions in the superficial femoral artery: long-term results from the SIROCCO trial. J Endovasc Ther. 2006;13(6):701-710.
- Iida O, Soga Y, Hirano K, et al. Long-term outcomes and risk stratification of patency following nitinol stenting in the femoropopliteal segment: retrospective multicenter analysis. J Endovasc Ther. 2011;18(6):753-761.
- Rits J, van Herwaarden JA, Jahrome AK, Krievins D, Moll FL. The incidence of arterial stent fractures with exclusion of coronary, aortic, and non-arterial settings. Eur J Vasc Endovasc Surg. 2008;36(3):339-345.
- Tellez A, Cheng Y, Yi GH, et al. In vivo intravascular ultrasound analysis of the absorption rate of the Angio-Seal vascular closure device in the porcine femoral artery. EuroIntervention. 2010;5(6):731-736.
- Gargiulo NJ 3rd, Veith FJ, Ohki T, et al. Histologic and duplex comparison of the perclose and angio-seal percutaneous closure devices. Vascular. 2007;15(1):24-29.
- Shaw JA, Gravereaux EC, Winters GL, Eisenhauer AC. An unusual case of claudication. Catheter Cardiovasc Interv. 2003:60(4):562-565.
- Thalhammer C, Joerg GR, Roffi M, Husmann M, Pfammatter T, Amann-Vesti BR. Endovascular treatment of Angio-Seal-related limb ischemia- primary results and long-term follow-up. Catheter Cardiovasc Interv. 2010;75(6):823-827.
- Muller DW, Shamir KJ, Ellis SG, Topol EJ. Peripheral vascular complications after conventional and complex percutaneous coronary interventional procedures. Am J Cardiol. 1992;69(1):63-68.
- Chandrasekar B, Doucet S, Bilodeau L, et al. Complications of cardiac catheterization in the current era: a single-center experience. Catheter Cardiovasc Interv. 2001;52(3):289-295.
- Kussmaul WG 3rd, Buchbinder M, Whitlow PL, et al. Rapid arterial hemostasis and decreased access site complications after cardiac catheterization and angioplasty: results of a randomized trial of a novel hemostatic device. J Am Coll Cardiol. 1995;25(7):1685-1692.
- Slaughter PM, Chetty R, Flintoft VF, et al. A single center randomized trial assessing use of a vascular hemostasis device vs. conventional manual compression following PTCA: what are the potential resource savings? Cathet Cardiovasc Diagn. 1995;34(3):210-214.
- Gwechenberger M, Katzenschlager R, Heinz G, Gottsauner-Wolf M, Probst P. Use of a collagen plug versus manual compression for sealing arterial puncture site after cardiac catheterization. Angiology. 1997;48(2):121-126.
- Ward SR, Casale P, Raymond R, Kussmaul WG 3rd, Simpfendorfer C; for the Angio-Seal Investigators. Efficacy and safety of a hemostatic puncture closure device with early ambulation after coronary angiography. Am J Cardiol. 1998;81(5):569-572.
- Gerckens U, Cattelaens N, Lampe EG, Grube E. Management of arterial puncture site after catheterization procedures: evaluating a suture-mediated closure device. Am J Cardiol. 1999;83(12):1658-1663.
- Noguchi T, Miyazaki S, Yasuda S, et al. A randomised controlled trial of Prostar Plus for haemostasis in patients after coronary angioplasty. Eur J Vasc Endovasc Surg. 2000;19(5):451-455.
- Chevalier B, Lancelin B, Koning R, et al; for the HEMOSTASE Trial Investigators. Effect of a closure device on complication rates in high-local-risk patients: results of a randomized multicenter trial. Catheter Cardiovasc Interv. 2003;58(3):285-291.
- Nasu K, Tsuchikane E, Sumitsuji S; for the PARADISE Investigators. Clinical effectiveness of the Prostar XL suture-mediated percutaneous vascular closure device following PCI: results of the Perclose AcceleRated Ambulation and DISchargE (PARADISE) Trial. J Invasive Cardiol. 2003;15(5):251-256.
- Amin FR, Yousufuddin M, Stables R, et al. Femoral haemostasis after transcatheter therapeutic intervention: a prospective randomised study of the angio-seal device vs. the femostop device. Int J Cardiol. 2000;76(2-3):235-240.
- Duffin DC, Muhlestein JB, Allisson SB, et al. Femoral arterial puncture management after percutaneous coronary procedures: a comparison of clinical outcomes and patient satisfaction between manual compression and two different vascular closure devices. J Invasive Cardiol. 2001;13(5):354-362.
- Rickli H, Unterweger M, Sütsch G, et al. Comparison of costs and safety of a suture-mediated closure device with conventional manual compression after coronary artery interventions. Catheter Cardiovasc Interv. 2002;57(3):297-302.
- Scheinert D, Sievert H, Turco MA, et al. The safety and efficacy of an extravascular, water-soluble sealant for vascular closure: initial clinical results for Mynx. Catheter Cardiovasc Interv. 2007;70(5):627-633.
- Fargen KM, Hoh BL, Mocco J. A prospective randomized single-blind trial of patient comfort following vessel closure: extravascular synthetic sealant closure provides less pain than a self-tightening suture vascular compression device. J Neurointerv Surg. 2011;3(3):219-223.
- Marso SP, Amin AP, House JA, et al; for the National Cardiovascular Data Registry. Association between use of bleeding avoidance strategies and risk of periprocedural bleeding among patients undergoing percutaneous coronary intervention. JAMA. 2010;303(21):2156-2164.
- Sanborn TA, Ebrahimi R, Manoukian SV, et al. Impact of femoral vascular closure devices and antithrombotic therapy on access site bleeding in acute coronary syndromes: The Acute Catheterization and Urgent Intervention Triage Strategy (ACUITY) trial. Circ Cardiovasc Interv. 2010;3(1);57-62.
- Noor S, Meyers S, Curl R. Successful reduction of surgeries secondary to arterial access site complications: a retrospective review at a single center with an extravascular closure device. Vasc Endovasc Surg. 2010;44(5):345-349.
- Fargen KM, Velat GJ, Lawson MF, et al. Occurrence of angiographic femoral artery complications after vascular closure with Mynx and AngioSeal. J Neurointerv Surg. 2012 Jan 21. [Epub ahead of print]
- Mynx with Grip Technology Vascular Closure Device Instructions for Use.
______________________________________________
From the Division of Interventional Cardiology and Endovascular Medicine, Deborah Heart and Lung Center, Browns Mills, New Jersey.
Disclosure: The authors have completed and returned the ICMJE Form for Disclosure of Potential Conflicts of Interest. The author reports no conflicts of interest regarding the content herein.
Manuscript submitted March 13, 2012, final version accepted March 30, 2012.
Address for correspondence: Jon C. George, MD, Director of Clinical Research, Division of Cardiovascular Medicine, Deborah Heart and Lung Center, 200 Trenton Road, Browns Mills, NJ, 08015, USA. Email: georgej@deborah.org


