Urgent Carotid Endarterectomy in a COVID-19 Patient: Standard Approach With Some Adjustments
Carotid endarterectomy is a very common vascular surgical procedure done to prevent strokes in high-risk patients.1-3 Surgical approaches have been tested and improved over the years to ensure high technical success, and set the standard for low morbidity and mortality.4-7 We describe the unique case of a symptomatic carotid endarterectomy that challenged our standard operative planning and technical approach during the COVID-19 pandemic.8-10
Case Report
A 71-year-old man developed acute left-sided weakness on February 5, 2020, on the Diamond Princess Cruise ship (Figure 1), which was under quarantine off the coast of Japan due to an outbreak of coronavirus cases among passengers. His past medical history included hypertension and hyperlipidemia; however, he did not take his anti-hypertensive medications regularly nor daily aspirin. He was seen on the ship medical clinic on February 6th when his symptoms did not improve, and transported emergently to Yokohama City University Medical Center in Yokohama, Japan.
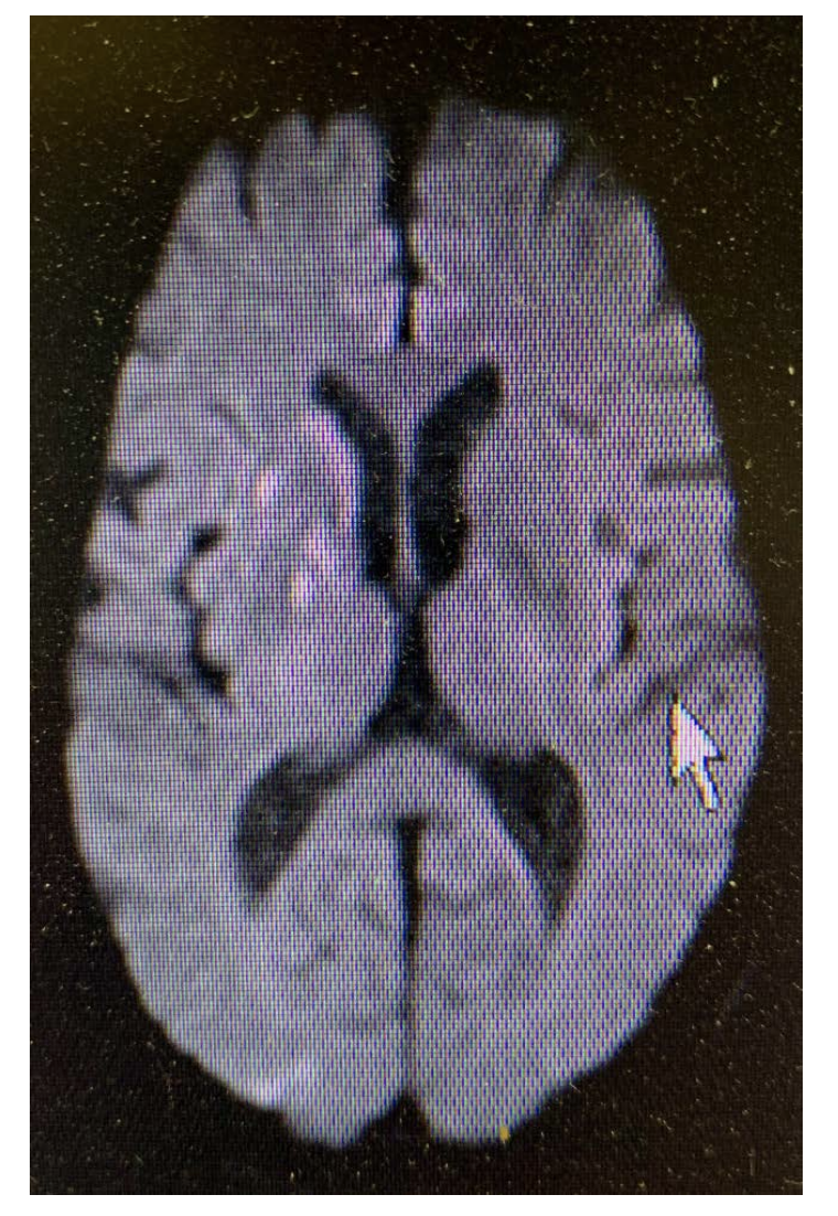
He had mild left face, arm, and leg weakness. Magnetic resonance imaging (MRI) confirmed multiple small areas of acute ischemia in the right frontal and parietal lobes (Figure 2). MR angiography showed a right internal carotid artery stenosis. He was treated with aspirin, argatroban, and edaravone.
Due to his low-grade fever and the widespread COVID-19 outbreak on the ship, the patient was tested for SARS-CoV-2, which returned positive. He did not initially have respiratory symptoms, but during the hospitalization, developed mild dyspnea and oxygen desaturation requiring oxygen supplementation. Chest x-ray and a computed tomography (CT) scan confirmed COVID-19 pneumonia. He was treated with lopinavir/ritonavir for 10 days and amoxicillin and clavulanic acid for 7 days. His clinical condition improved and he was discharged on March 9th on aspirin and atorvastatin, after having two negative tests for SARS-CoV-2.
The patient returned to Silicon Valley, California, on March 10th, which by then was also in the midst of the COVID-19 outbreak at our hospital, located in Santa Clara County. He was seen by his neurologist in a video consultation on March 26th. The neurologist noted that the patient had improvement in his left-sided weakness, but had mild residual gait imbalance. She prescribed aspirin therapy and scheduled an urgent carotid duplex ultrasound examination. The duplex ultrasound exam showed an 85% right internal carotid stenosis with a soft, homogeneous plaque and a mobile intramural filling defect (Figure 3).
The results prompted an urgent referral to vascular surgery for timely right carotid endarterectomy. After careful consideration and a risk-benefit assessment, a carotid endarterectomy was advised and scheduled in 2 weeks to allow for proper procedural planning and post-operative care to ensure maximum safety for the patient and medical staff.
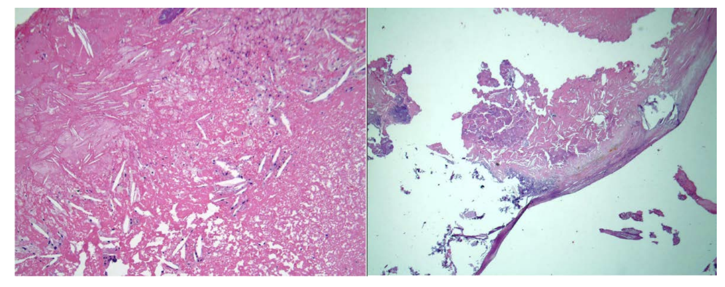
A carotid endarterectomy was performed on April 8th, 2 months after the patient’s stroke and 1 month after he had documented recovery from his COVID-19 illness. A standard operating approach was planned with a dedicated, experienced vascular surgery operating room team. Particular attention was paid to personal protective equipment (PPE) and procedures. The procedure was performed in an operating room that was equipped with a separate air-circulation machine (HEPA filter) for airborne/droplet isolation, in addition to the negative pressure setting. Surgical attire was upgraded to full PPE with modified Stryker orthopedic hoods (toga gown) ventilated suits and N95 masks (Figure 4). The operation was performed under modified general anesthesia with carotid shunting and possible patching if needed. General anesthesia was induced with fentanyl, lidocaine, propofol, and succinylcholine. Mask ventilation was not attempted in order to minimize spreading aerosols. Oral intubation was performed using video laryngoscopy to avoid excessive airway manipulation. With dissection and exposure of the carotid bifurcation (Figure 5), it was apparent that the patient had significant inflammation of the carotid artery. We anticoagulated with a larger dose of intravenous heparin. Upon opening the carotid bifurcation, a soft, friable plaque was encountered (Figure 6, Video 1). Microscopic examination of the plaque revealed fibrocalcific change with predominantly blood, fibrin, and focal acute and chronic inflammation. Definitive vasculitis, microorganisms, and viral inclusions were not identified (Figure 7).
The distal internal carotid artery was large and accommodated an intraluminal shunt. Endarterectomy was performed in standard fashion; however, due to the perivascular inflammation, the residual carotid wall was thin and friable. There was no distal intimal flap and tacking sutures were not needed. The vessel was closed primarily, without a patch, because of concern for foreign-body infection. Final gross pathology revealed a pink-yellow tan, hemorrhagic, and calcified cut surface with further special staining pending.
The patient awoke neurologically intact, was monitored in the recovery room, and was sent to the neurologic monitoring floor for isolated post-operative recovery in order to avoid potential exposure to the ICU and its staff. The patient recovered uneventfully and was discharged to home on the first post-operative day. He has fully recovered from COVID-19 pneumonia and has experienced no further neurologic events.
Discussion
Much is unknown about the vascular effects of COVID-19, which is caused by a highly transmissible virus that has made a vivid impression on humanity while precipitating a worldwide pandemic. It is especially virulent, with high mortality rates among patients with pre-existing cardiovascular disease (10.5% death rate), diabetes (7.3%), and hypertension (6.0% death rate).11 The COVID-19 global health crisis has swiftly led to massive shortages of PPE and respirators, which in turn has prompted hospitals to react with caution, fearful of being overwhelmed. The exceedingly rapid spread of this virus has led to unprecedented group efforts, including vast government-mandated stay-at-home “shelter-in-place” strategies, and implementation of physical distancing, hand washing, and face masks, with colossal ramifications on medical care. The medical community has responded by judiciously cancelling elective surgeries and clinic visits, and emptying hospitals in anticipation of critical surges of COVID-19 patients. In many parts of the United States, hospitals have executed restrictions on proceduralists, allowing only emergent and urgent surgical procedures to be performed. At El Camino Hospital (Mountain View, Calif.), all elective procedures are postponed based on the clinical judgment of the proceduralist involved. Santa Clara County mandated sheltering in place of all county residents, except for essential needs, and further limited business activities to those deemed essential.
This pandemic is testing our abilities as vascular surgeons to quickly adapt during a time when we need to act in the interest and well-being of entire communities, when seemingly overnight, the pandemic upended our daily routines as vascular surgeons, changing our roles within our institutions and the treatment of our patients with vascular disease.12
This case highlights the standard approach for a successful high-grade symptomatic carotid plaque treatment, but also describes some of the “on the fly” decision making required to approach a COVID-19 patient. The symptoms and clinical workup were standard practice aside from the quarantine delay and antiviral treatment needed. This COVID-19 patient presented our vascular surgery service with a multifaceted problem with many unknowns, including the following:
1. Recovery from a recent stroke with ominous findings on duplex ultrasound. This patient was at high risk for recurrent stroke and death.
2. Survivor of recent COVID-19 pneumonia. Although the patient tested negative for SARS-CoV-2 on two occasions, how reliable were these tests? Was he still infectious? Could the patient still transmit disease to healthcare workers? Is our hospital and staff ready to accept these challenges?
The neurologist involved in the care of this patient started him on aspirin, which has clinical advantages in this patient population.13-17 The patient was referred for a high-quality duplex exam at a vascular lab, which was still open for high-risk, symptomatic cases. The carotid duplex ultrasound findings confirmed the presence of soft plaque and its friable nature. Surgery was offered and delayed based on the COVID-19 surge in our hospital and since the patient was stable.
Our strategy as physicians was, as always, to do everything possible to care for the patient. Since the patient was already 8 weeks post stroke, was postponement of carotid endarterectomy with continued medical treatment appropriate in the milieu of the coronavirus? We think not, based on the following:
1. The patient’s neurologic deficit was relatively mild (he had much to lose from recurrent stroke);
2. The duplex ultrasound findings were very compelling, suggesting high risk for embolization/thrombosis of the carotid artery with ensuing recurrent stroke and/or death.
Once we made the decision to proceed with carotid surgery in order to deliver optimal care for the patient, we instituted precautions and best practices in planning for the procedure. Careful thought was devoted to mobilizing our OR team to actualize an isolation procedure. This entailed selection of a well-equipped operating room, PPE-reinforced toga gowns, education, and coordination of staff. We were extremely fortunate to have such a well-educated and prepared OR team of brave nurses, operating room staff, and dedicated anesthesiologists, all with the courage to put themselves at risk for the well-being of the patient.
We partnered with our operating room team to ensure we had all the appropriate PPE equipment to perform the case safely with minimal risks to all involved. We enacted a dry run a week prior to the scheduled carotid surgery. After discussion with our anesthesiologist team, we committed to a standard general anesthetic. Careful induction and intubation was performed.18-21
While regular surgical technique was applied in approaching this carotid endarterectomy, the one main difference was the use of the one-piece toga gown hood, which is commonly used by orthopedic surgeons, but is unfamiliar to vascular surgeons. The hood worked surprisingly well, with good freedom of motion, visibility, splash guard, and ventilation. The main issue in wearing the hood was in restricted hearing. We overcame this limitation by shouting in order to be heard through the head gear. We also announced to the team at the beginning of the case that raising voices would be necessary. Our OR staff responded with a keen attunement to our needs, allowing the entire team to work with sharp focus and synchronicity throughout.
Upon the dissection of the carotid artery, we realized the abnormally inflamed characteristics of the vessel and the low bifurcation. We carefully identified the adhered vagus and hypoglossal nerves in addition to large lymph nodes over the bifurcation. We elected to shunt per our routine approach.22-28 After the plaque was safely removed, we elected to avoid a patch and do a primary closure in the face of possible future infection of any foreign material.29-33 Two main observations emerged during the operation:
1. The amount of perivascular inflammation required extra care in dissection and resulted in the thinnest of endarterectomized carotid wall. Fortunately, we were able to do primary closure. Changes to the carotid artery or vascular plaques during COVID-19 are not fully understood. At the cellular level, the coronavirus uses the angiotensin-converting enzyme 2 (ACE2) receptor and TMPRSS2 protease to enter into host cells and proliferate. Activation of ACE2 receptors, which are widely expressed, and TMPRSS2 proteases in endothelial and smooth muscle cells of the vasculature, is thought to be involved in triggering the diffuse endothelial inflammation, vasculitis, thrombosis, and microangiopathy of vascularized tissues seen in COVID-19 patients.34,35 Endothelial dysfunction associated with cell death, injury, and inflammation can result from the recruitment of immune cells, leading to vascular derangements and increased atherosclerotic risk.35,36 Widespread endothelial dysfunction results in vasoconstriction, ischemia, inflammation, and a procoagulant state.36 We were reluctant to use an autogenous vein, since the presence of its endothelial and smooth muscle cells would make it prone to possible inflammation and thrombosis in COVID-19.
2. The fragile nature of the pedunculated lesion could have embolized during the procedure, dissection and/or mobilization of the plaque. Gentle, minimal manipulation of the carotid bifurcation was required. We placed the distal clamp first, ensured that we were past the lesion, and then placed the shunt.
We are still in the early stages of this pandemic. There is still much to be discovered about the nature of vascular manifestations of COVID-19 and how to approach treatment. Outcomes of COVID-19 infected patients who have undergone vascular surgery have not been previously described. We join others worldwide in calling for research initiatives amidst and after the COVID-19 pandemic.35,37
Conclusion
Carotid artery endarterectomy post COVID-19 treatment can be done safely with novel case planning, flexibility of the surgeons, attention to surgical skill/precision, team adaptability, and adaptation of the standard technical approach to ensure high-quality outcomes. A standard surgical approach paired with important safety modifications and adjustments is highly encouraged. Surgeons must be prepared, plan accordingly, and protect all involved with the care, especially the patient.
Disclosures: The authors report no conflicts of interest regarding the content herein.
Manuscript submitted April 18, 2020, final version accepted April 21, 2020.
Address for correspondence: Tej M. Singh, MD, MBA, Director, Vascular Center, Palo Alto Medical Foundation, El Camino Hospital, 701 E El Camino Real 3rd Floor, Mountain View, California 94040. Email: pamfvascular@gmail.com
REFERENCES
1. Knappich C, Kuehnl A, Haller B, et al. Associations of perioperative variables with the 30-day risk of stroke or death in carotid endarterectomy for symptomatic carotid stenosis. Stroke. 2019; 50:3439.
2. Gasecki AP, Eliasziw M, Ferguson GG, et al. Long-term prognosis and effect of endarterectomy in patients with symptomatic severe carotid stenosis and contralateral carotid stenosis or occlusion: results from NASCET. North American Symptomatic Carotid Endarterectomy Trial (NASCET) Group. J Neurosurg. 1995; 83:778.
3. Landercasper J, Merz BJ, Cogbill TH, et al. Perioperative stroke risk in 173 consecutive patients with a past history of stroke. Arch Surg. 1990; 125:986.
4. Counsell CE, Salinas R, Naylor R, Warlow CP. A systematic review of the randomised trials of carotid patch angioplasty in carotid endarterectomy. Eur J Vasc Endovasc Surg. 1997; 13:345.
5. Gasparis AP, Ricotta L, Cuadra SA, et al. High-risk carotid endarterectomy: fact or fiction. J Vasc Surg. 2003; 37:40.
6. Brott TG, Brown RD Jr, Meyer FB, et al. Carotid revascularization for prevention of stroke: carotid endarterectomy and carotid artery stenting. Mayo Clin Proc. 2004; 79:1197.
7. Sharpe R, Sayers RD, London NJ, et al. Procedural risk following carotid endarterectomy in the hyperacute period after onset of symptoms. Eur J Vasc Endovasc Surg. 2013; 46:519.
8. Kragsterman B, Logason K, Ahari A, et al. Risk factors for complications after carotid endarterectomy — a population-based study. Eur J Vasc Endovasc Surg. 2004; 28:98.
9. Wong JH, Findlay JM, Suarez-Almazor ME. Regional performance of carotid endarterectomy. Appropriateness, outcomes, and risk factors for complications. Stroke. 1997; 28:891.
10. Halm EA, Hannan EL, Rojas M, et al. Clinical and operative predictors of outcomes of carotid endarterectomy. J Vasc Surg. 2005; 42:420.
11. Bonow RO, Fonarow GC, O’Gara PT and Yancy CW. Association of coronavirus disease 2019 (COVID-19) with myocardial injury and mortality. JAMA Cardiol. 2020; Mar 27 (Epub ahead of print).
12. Schneider DB. “An unprecedented challenge”: vascular surgery in New York during COVID-19. Vascular News. Apr 14, 2020. Available online at https://vascularnews.com/an-unprecedented-challenge-vascular-surgery-in-the-time-of-covid-19.
13. Engelter S, Lyrer P. Antiplatelet therapy for preventing stroke and other vascular events after carotid endarterectomy. Cochrane Database Syst Rev. 2003 (3);CD001458.
14. Lindblad B, Persson NH, Takolander R, Bergqvist D. Does low-dose acetylsalicylic acid prevent stroke after carotid surgery? A double-blind, placebo-controlled randomized trial. Stroke. 1993; 24:1125.
15. Chaturvedi S, Bruno A, Feasby T, et al. Carotid endarterectomy--an evidence-based review: report of the Therapeutics and Technology Assessment Subcommittee of the American Academy of Neurology. Neurology. 2005; 65:794.
16. Taylor DW, Barnett HJ, Haynes RB, et al. Low-dose and high-dose acetylsalicylic acid for patients undergoing carotid endarterectomy: a randomised controlled trial. ASA and Carotid Endarterectomy (ACE) trial collaborators. Lancet. 1999; 353:2179.
17. Alonso-Coello P, Bellmunt S, McGorrian C, et al. Antithrombotic therapy in peripheral artery disease: antithrombotic therapy and prevention of thrombosis, 9th ed: American College of Chest Physicians evidence-based clinical practice guidelines. Chest. 2012; 141:e669S.
18. GALA Trial Collaborative Group, Lewis SC, Warlow CP, et al. General anaesthesia versus local anaesthesia for carotid surgery (GALA): a multicentre, randomised controlled trial. Lancet. 2008; 372:2132.
19. Leichtle SW, Mouawad NJ, Welch K, et al. Outcomes of carotid endarterectomy under general and regional anesthesia from the American College of Surgeons’ National Surgical Quality Improvement Program. J Vasc Surg. 2012; 56:81.
20. Schechter MA, Shortell CK, Scarborough JE. Regional versus general anesthesia for carotid endarterectomy: the American College of Surgeons National Surgical Quality Improvement Program perspective. Surgery. 2012; 152:309.
21. Gürer O, Yapıcı F, Yapıcı N, et al. Comparison between local and general anesthesia for carotid endarterectomy: early and late results. Vasc Endovascular Surg. 2012; 46:131.
22. Hertzer NR, Beven EG, Greenstreet RL, Humphries AW. Internal carotid back pressure, intraoperative shunting, ulcerated atheromata, and the incidence of stroke during carotid endarterectomy. Surgery. 1978; 83:306.
23. Rerkasem K, Rothwell PM. Routine or selective carotid artery shunting for carotid endarterectomy (and different methods of monitoring in selective shunting). Cochrane Database Syst Rev. 2009; CD000190.
24. Chongruksut W, Vaniyapong T, Rerkasem K. Routine or selective carotid artery shunting for carotid endarterectomy (and different methods of monitoring in selective shunting). Cochrane Database Syst Rev. 2014; CD000190.
25. Halsey JH Jr. Risks and benefits of shunting in carotid endarterectomy. The International Transcranial Doppler Collaborators. Stroke. 1992; 23:1583.
26. Whitney DG, Kahn EM, Estes JW, Jones CE. Carotid artery surgery without a temporary indwelling shunt. 1,917 consecutive procedures. Arch Surg. 1980; 115:1393.
27. Bond R, Rerkasem K, Counsell C, et al. Routine or selective carotid artery shunting for carotid endarterectomy (and different methods of monitoring in selective shunting). Cochrane Database Syst Rev. 2002 (2); CD000190.
28. Aburahma AF, Mousa AY, Stone PA. Shunting during carotid endarterectomy. J Vasc Surg. 2011; 54:1502.
29. Huizing E, Vos CG, van den Akker PJ, et al. A systematic review of patch angioplasty versus primary closure for carotid endarterectomy. J Vasc Surg. 2019; 69:1962.
30. Rerkasem K, Rothwell PM. Patches of different types for carotid patch angioplasty. Cochrane Database Syst Rev. 2010 (3); CD000071.
31. AbuRahma AF, Robinson PA, Saiedy S, et al. Prospective randomized trial of carotid endarterectomy with primary closure and patch angioplasty with saphenous vein, jugular vein, and polytetrafluoroethylene: long-term follow-up. J Vasc Surg. 1998; 27:222.
32. Rerkasem K, Rothwell PM. Patch angioplasty versus primary closure for carotid endarterectomy. Cochrane Database Syst Rev. 2009 (4); CD000160.
33. AbuRahma AF, Khan JH, Robinson PA, et al. Prospective randomized trial of carotid endarterectomy with primary closure and patch angioplasty with saphenous vein, jugular vein, and polytetrafluoroethylene: perioperative (30-day) results. J Vasc Surg. 1996; 24:998.
34. Liu PP, Blet A, Smyth, Li H. The science underlying COVID-19: implications for the cardiovascular system. Circulation. April 15, 2020 (Epub ahead of print).
35. Varga Z, Flammer AJ, Steiger P, et al. Endothelial cell infection and endotheliitis in COVID-19. Lancet. April 2020;pii: S0140-6736(20)30937-5 (Epub ahead of print).
36. Bonetti PO, Lerman LO, Lerman A. Endothelial dysfunction - a marker of atherosclerotic risk. Arterioscl Throm Vas. 2003; 23: 168–175.
37. Björck M, Boyle JR, Dick F. The need of research initiatives amidst and after the covid-19 pandemic: a message from the editors of the European Journal of Vascular and Endovascular Surgery. Eur J Vasc Endovasc Surg. April 10 2020; (Epub ahead of print).


