Trans-Subclavian Implantation of the Acurate Neo Transcatheter Aortic Prosthesis
Abstract
Transcatheter aortic valve implantation is commonly performed via transfemoral access. However, severe iliofemoral arteriopathies preclude transfemoral access in approximately one-third of patients. Subclavian access represents an alternative option for these patients. We report the case of an 87-year-old woman treated with the Symetis Acurate neo valve via subclavian access.
VASCULAR DISEASE MANAGEMENT 2017;15(1):E3-E5.
Key words: aortic stenosis, TAVI, transcatheter, subclavian, Acurate, Symetis
Transcatheter aortic valve implantation is commonly performed via transfemoral access. However, severe peripheral artery disease with severe vessel calcification, vessel tortuosity, small vessel diameters, and aneurysms hamper transfemoral (TF) access in about one-third of patients.1 Subclavian access has had a non-inferior survival rate compared with TF, whereas transapical and transaortic have had worse outcomes.2 The subclavian approach for transcatheter aortic valve implantation has already been well studied using the CoreValve prosthesis,3 and data are available for devices such as the Sapien4 and Lotus prostheses.5
Case Report
An 87-year-old obese woman (BMI, 31 kg/m2) with previous inferior myocardial infarction and New York Heart Association (NYHA) class III was admitted for acute heart failure. Logistic EuroSCORE and Society of Thoracic Surgery risk score were both 11%. An electrocardiogram (ECG) showed sinus rhythm with a right bundle branch block and left anterior hemiblock.
Transthoracic echocardiography revealed severe aortic stenosis with a mean gradient of 56 mm Hg and preserved left ventricle ejection fraction. Computed tomography (CT) showed severe calcification of the aortic cusps, a perimeter-derived annulus diameter of 24.0 mm², and an area-derived diameter of 21.4 mm² (Figure 1). The femoral arteries were severely calcified, with a minimum diameter of 2.9 mm on the right artery and 3.4 mm on the left artery. The subclavian artery was moderately calcified (Figure 2). Coronary angiography showed a critical calcified ostial stenosis of the left circumflex artery (LCx) and chronic total occlusion of the right coronary artery. We tried to treat the ostial LCx-lesion, but the balloon and the burr of the rotational atherectomy device could not cross the lesion due to severe angulation and calcification of the vessel.
The procedure was performed under conscious sedation. Through a 5-cm incision in the left deltopectoral groove, the fibers of the pectoral muscles were split and retracted. The subclavian artery was isolated, and the vessel loops were passed around. Caution was taken regarding the superiorly related brachial plexus. The arterial anterior wall was punctured in the center of a purse string suture, and it was cannulated initially with a 6 Fr sheath and subsequently replaced with a 20-Fr Cook Check-Flo introducer sheath, which was advanced over a Boston Scientific Amplatz Super Stiff Guidewire through the subclavian artery into the aortic arch. A kinking of the sheath was observed, but it didn’t hamper the procedure (Figure 3). A 23-mm Bard True Dilatation balloon catheter for valvuloplasty was used for predilatation.
and trivial leak.
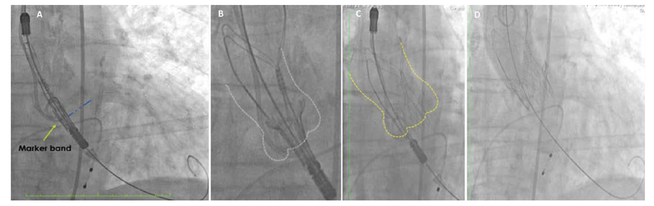
The Symetis Acurate TF delivery system (Boston Scientific) navigated easily through the introducer sheath and aortic arch, and, once positioned, oriented itself to the outer curvature of the ascending aorta (Figure 4A). When the marker band was well aligned on the virtual basal ring, we started with the top-down deployment (Figures 4B/C). Here it was crucial to handle the Acurate TF Delivery System only on the positioning sheath to avoid any unintentional movement that might have led to an uneven deployment of the prosthesis (Figure 5). The release of the Acurate neo (medium size) was as uncomplicated and straightforward as for the transfemoral approach, and after deployment, the Acurate TF delivery system could be easily removed. Angiography showed a good positioning of the prosthesis with trivial paravalvular leak (Figure 4D). Pressure measurements in the aorta and in the left ventricle did not show any gradient, and the subclavian artery was closed with sutures. The previously prepared purse string facilitated the removal of the delivery system from the subclavian artery and the final closure of the vessel with sutures.
The time “catheter in – catheter out” was 15 minutes, and the total procedure time was 110 minutes. Postprocedural echocardiography revealed good prosthesis positioning, good prosthetic function (mean gradient 7 mm Hg), and trivial regurgitation. The patient’s hospital stay was uncomplicated by any rhythm disturbances or vascular complications, and she was discharged after 3 days in rehabilitation. At 30 days of clinical follow-up, the surgical wound was totally healed, NYHA class was II, and the prosthesis showed good function (mean gradient 5 mm Hg) and trivial regurgitation.
Discussion
This is the first report of an Acurate neo transcatheter heart valve via a surgically isolated subclavian artery. We chose to implant the Acurate neo mainly because of the low height of the coronary ostium. Due to its peculiar shape, the prosthesis does not interfere with the left coronary ostium even though the height of the coronary ostium in this case was even lower than recommended by the instructions for use (7.4 mm compared to ≥ 8 mm). Furthermore, because of the critical LCx stenosis, we wanted to perform a straightforward and fast procedure, without protection of the left coronary ostium. Both femoral arteries were critically diseased. Moreover, obesity can complicate percutaneous puncture and hemostasis of the femoral artery, as well as the healing process of a surgical wound. Therefore, we preferred subclavian access.
The good trackability and flexibility of the Symetis delivery system enabled us to navigate easily through the introducer sheath and the ascending aorta. We obtained a good alignment of the system along the outer curvature of the aorta, which is fundamental for correct valve positioning and valve release. Although we expect that correct alignment can be challenging in difficult aortic anatomies such as horizontal aortas, the valve release control in our case was easy and comparable to the transfemoral approach. Notably, during deployment it is critical to only handle the Acurate TF Delivery System on the positioning sheath.
The final results were good. As shown in Figure 4D, the lower crown of the Acurate neo valve protrudes only minimally into the left ventricular outflow tract. Accordingly, we did not observe any conduction disturbance despite baseline right bundle branch block and left anterior hemiblock.
Conclusion
Although the transfemoral Acurate TF was not conceptualized for the subclavian approach, the technique was feasible. The procedure was successful, relatively fast, and without complications. It is advisable to develop a more dedicated system to facilitate subclavian access. Clinical studies should corroborate our findings.
Disclosure: The authors have completed and returned the ICMJE Form for Disclosure of Potential Conflicts of Interest. The authors report no conflicts of interest regarding the content herein.
Manuscript submitted October 23, 2017; accepted December 8, 2017.
Address for correspondence: Arnaldo Poli, MD; Cardiovascular Department-ASST Ovest Milanese, Legnano Hospital, Milan, Italy. Email: arnaldopoli@gmail.com
REFERENCES
1. Petronio AS, De Carlo M, Bedogni F, et al. 2-year results of CoreValve implantation through the subclavian access: a propensity-matched comparison with the femoral access. J Am Coll Cardiol. 2012;60(6):502-507.
2. Fröhlich GM, Baxter PD, Malkin CJ, et al. Comparative survival after transapical, direct aortic, and subclavian transcatheter aortic valve implantation (data from the UK TAVI registry). Am J Cardiol. 2015;116(10):1555-1559.
3. Petronio AS, De Carlo M, Bedogni F, et al. Safety and efficacy of the subclavian approach for transcatheter aortic valve implantation with the CoreValve revalving system. Circ Cardiovasc Interv. 2010;3(4):359-366.
4. Blumenstein J, Van Linden A, Kempfert J, et al. Retrograde, transsubclavian implantation of a SAPIEN XT aortic valve prosthesis with the Edwards NovaFlex+ system. Clin Res Cardiol. 2012;101(9):773-775.
5. Bastug S, Aslan AN, Sari C, Suygun H, Bozkurt E. First trans-subclavian transcatheter aortic valve replacement using Lotus valve system. Turk Kardiyol Dern Ars. 2016;44(6):507-510.


