Tibio-Pedal Artery Access: Alternative Access Reaches Maturity
In the not too distant past, alternative access for lower-extremity arterial intervention (LEAI) was making a decision about which femoral or brachial artery to access. Antegrade femoral artery access was perhaps considered “alternative.” Fast forward to the current state of endovascular intervention and we find ourselves considering things like radial artery access for LEAI, primary tibial artery treatment from a pedal approach, and even metatarsal artery access. There is no doubt about the advantages we now have as interventionalists with regard to better technology. Improved guidewires, dedicated crossing devices, support catheters, and ultra-low profile balloons have enabled us with the ability to access, cross, and treat obstructive lesions that were previously untreatable. Adjunctive therapies like atherectomy and stents are still finding their way in the treatment of tibial artery disease and critical limb ischemia (CLI).
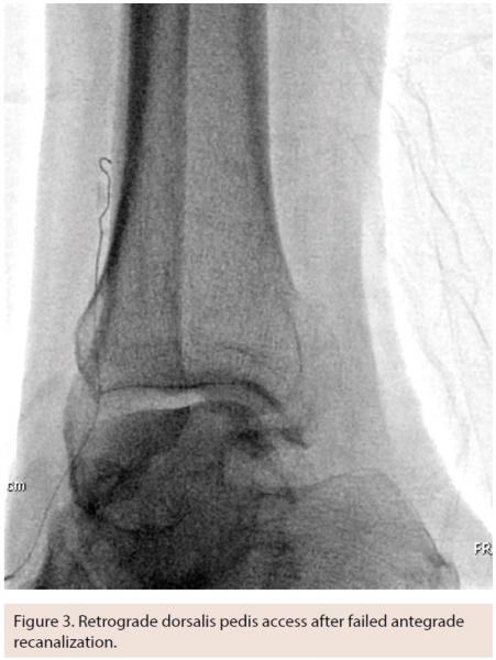
Tibio-pedal artery access (TPAA) is being used with increasing frequency as alternative access to facilitate procedural success in LEAI. This technique is usually employed in the setting of CLI and tibial artery intervention, but may offer potential practical advantages for popliteal artery and even superficial femoral artery (SFA) intervention in unique situations. While others have described TPAA access for intervention for claudication, we have not found it to be necessary in patients with claudication and primarily femoropopliteal disease. In our practice, TPAA is only used in the setting of CLI and in only 5%-10% of those patients. That said, our threshold for moving to an alternative access site with failed antegrade recanalization in tibial arteries has been lowered.
Technical Considerations
As our knowledge of pedal anatomy has improved and our understanding of the need for focused or directed revascularization has increased, so too has the importance of case planning. Clinical success in terms of limb salvage is based on procedural success and of course wound care if needed. Procedural success hinges on entry and exit strategies. Basic concepts are discussed below, with our typical preferences.
Patient Prep: Set Yourself Up For Success
Patient position and comfort are issues that will be important initially during access since the pedal vessels can be quite small, and incidental patient movement during access can be frustrating. Depending on the access vessel of choice, the leg can be positioned in a neutral position or externally rotated at the hip and/or foot to allow good visualization of the artery. It is important to support the foot in the chosen position such that the patient will be still during access. This can be achieved through use of towels or pillows beneath the sterile drape and also use of straps to secure the limb in ideal position. Judicious use of conscious sedation to minimize untimely patient movement can be invaluable in anxious patients. Many have described using deep sedation and/or general anesthesia in some patients.
Operator position and comfort is also a key consideration. I am a big believer in maximizing your ability for success by doing the right work up front. There is mounting evidence on the orthopedic and radiation impact we have from being interventionalists. These are potentially long cases and attention to operator position prior to starting the procedure can improve comfort, minimize direct radiation exposure, and still allow adequate visualization of the appropriate monitors. In order to secure stable TPAA, attention should be given to where the operator will stand during access and possible treatment, the position of the image intensifier (II) and monitors, position of ultrasound (if used), and access to any antegrade access that may be needed as well.
Sterile preparation of the access site may be considered to be routine, however there are a few unique considerations to be taken into account. In the presence of obvious infection, ischemic ulceration, or an open wound, meticulous technique is necessary and should include a sterile prep of the entire foot, even if the access site may be somewhat removed from the ulcer/wound. In our lab, a wide, double prep using chlorhexidine is employed. The toes are covered with a sterile towel if there is active ulceration and a drape place across the intended access site. Prior to the prep, nitroglycerin paste is sometimes applied to the access site to maximize vasodilatation. If this is chosen, it is applied a few minutes prior to application of the chlorhexidine, so that it is not immediately cleared away.
Entry Strategy: Ideal Access
Choosing which artery to access with regard to the various philosophies (angiosome-directed therapy, focused revascularization, etc.) is beyond the scope of this article and varies from physician to physician. Numerous techniques have been described and all are equally useful. I will simply describe our technique once the decision has been made regarding the specific artery to be accessed.
Imaging guidance for obtaining access into the target vessel is either by ultrasound or fluoroscopy. The major advantage of ultrasound is real-time imaging without ionizing radiation. Linear, high-frequency transducers (7 or 12 MHz) are used most frequently, depending on target-vessel depth. Choice of using a transverse (axial) or a sagittal (longitudinal, “in-plane”) orientation for puncture is a matter of operator choice. Once the artery is punctured, ultrasound can be used to follow the guidewire to the point of obstruction; total recanalization of the lesion by ultrasound guidance has been described. Fluoroscopy provides real-time imaging, but operator radiation exposure can be significant in pedal access cases due to the need to have “working room” while accessing the vessel which may require the II to be raised, thereby increasing radiation scatter. If present, vessel calcification can provide a target. Roadmapping can be used as well and may even be advantageous if the target vessel is deep (eg, peroneal artery); however, this technique is often compromised by patient motion.
Micropuncture access is universally used due to the size of the native pedal vessels. Several device makers have specific pedal access kits, typically consisting of a 21 gauge needle and a coaxial dilator system. If the primary intervention is planned from below, dedicated sheaths have been designed for this purpose. Our practice is to perform pedal access for lesion crossing only, with rare exception. Our preferred imaging modality is ultrasound, with use of roadmapping for retrograde peroneal artery puncture, due its usual depth.
Exit Strategy: “Getting Out of Dodge”
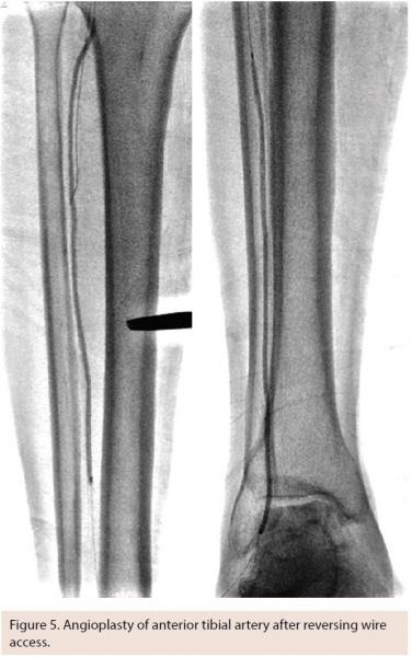
Equally as important to vessel access is an exit strategy that avoids local complications. Acute occlusion, thrombosis, or dissection can be a devastating outcome after a complex tibial intervention. Manual pressure is most commonly used at the level of the foot; however, prolonged balloon inflation is also very commonly used if any kind of wire-reversal technique has been employed. This is the standard approach in our practice.
Use of radial artery bands and blood pressure cuffs are also used, especially if direct manual pressure cannot be reasonably applied to the access site.
Conclusion
TPAA provides alternative access for LEAI when routine antegrade access has failed, or in some practices as primary access for below-the-knee intervention. Well thought out case planning is imperative to ensure successful entry and exit in this challenging patient population. ISET 2017 offers several sessions to learn more about these techniques in greater detail.
References
- El-Sayed HF. Retrograde pedal/tibial artery access for treatment of infragenicular arterial occlusive disease. Methodist Debakey Cardiovasc J. 2013;9:73-78.
- Wiechmann BN. Alternative access for tibial intervention. Endovascular Today. 2012;11:30-36.
- Rogers RK, Dattilo PB, Garcia JA, et al. Retrograde approach to recanalization of complex tibial disease. Catheter Cardiovasc Interv. 2011;77:915-925.


