TEVAR for Ruptured Saccular Thoracic Aneurysm with Aortobronchial Fistula with Overnight Hospitalization
Abstract
Purpose. We report a case of saccular thoracic aortic aneurysm with contained rupture and aortobronchial fistula, repaired using thoracic endovascular aortic repair. Methods and Results. A 73-year-old male presented with hemoptysis. CT angiogram revealed 4.9 cm saccular aneurysm involving the descending thoracic aorta with evidence of contained rupture and possible communication with the bronchial tree. The patient was taken to the operating room and thoracic endovascular aortic repair was successfully performed. He was clinically and hemodynamically stable postoperatively and was discharged home on postoperative day 1. Conclusion. Aortobronchial fistula is a rare, potentially fatal condition that was traditionally repaired using open surgical repair, which carried high operative mortality and morbidity. Case reports and small series reported in literature reveal promising short-term outcomes for endovascular repair of aortobronchial fistulas. Limitation of this approach is the unknown long-term outcome.
VASCULAR DISEASE MANAGEMENT 2012:9(10):E175-E178
Key words: aortic aneurysm, aortobronchial fistula, endovascular repair, hemoptysis, endovascular grafting
Aortobronchial fistula (ABF) is a rare, potentially fatal condition that results from an abnormal communication between the aorta and the adjacent bronchial system.1 The etiology of development of ABF is not fully understood, and can be either aortic or pulmonary. Most reported ABF are aortic in nature secondary to previous aortic surgery, graft placement, anastomotic line pseudoaneurysms, or aortic aneurysms.1-3 ABF can also be secondary to pulmonary pathologies including pulmonary tuberculosis, aspergillus infection, and lung transplantation.4-7 The most common presenting symptom in patients with ABF is hemoptysis, which can be intermittent or acute and massive. Other symptoms include chest pain, cough, and dyspnea.1-8
Case Report
A 73-year-old male presented with a 10-day history of recurrent hemoptysis. The patient described having expectorated around 2 tablespoons of gross blood with each episode along with blood tinged coughing. Patient was otherwise asymptomatic with no chest pain, shortness of breath, or chronic cough. His medication history consisted mainly of furosemide, antihypertensives, vitamins, and aspirin. The patient had a past medical history of coronary artery bypass graft for coronary artery disease and endovascular abdominal aortic aneurysm repair. Patient is a former smoker who quit 8 years ago with a 40-pack/year history. Upon evaluation, the patient was hemodynamically stable with unremarkable physical examination.
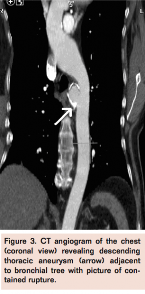
Laboratory studies performed were unremarkable except for hyponatremia with a sodium level of 127 mEq/L. Hemoglobin level was 13 g/dL. Spiral CT angiogram with 3D reconstruction (Figures 1, 2, and 3) revealed saccular descending thoracic aortic aneurysm approximately 4.9 cm in diameter with evidence of contained rupture.
The patient was brought to the operating room. We performed aortic arch and descending aorta angiography and saw the origin of great vessels, innominate, and left subclavian artery. We also noted the origin of the saccular aneurysm was in close proximity to left subclavian artery takeoff (Figure 4). Intravascular ultrasound was used and the aneurysm was found to be approximately 2.5 cm distal to the takeoff of the left subclavian artery consistent with the CT angiogram. We inserted a 30 mm x 30 mm x 115 mm Talent thoracic endograft (Medtronic) through the right groin and deployed barely adjacent to the distal edge of the left subclavian artery. The graft was ballooned. Intravascular ultrasound confirmed graft position and deployment, which we found adequate. Completion angiogram revealed successful exclusion of the aneurysm (Figure 5). A spinal catheter was inserted intraoperatively to decrease risk of spinal cord ischemia. Also note that prophylactic preoperative antibiotics were given with cefazolin and discontinued postoperatively.
The patient was clinically and hemodynamically stable at postoperative follow-up. He was kept overnight for observation. The spinal catheter was pulled out on postoperative day 1 and he was discharged home, less than 24 H from admission time.

The patient presented postoperatively with another episode of hemoptysis on postoperative day 12. He was otherwise asymptomatic and hemodynamically stable with unremarkable physical examination. Bronchoscopy revealed necrotic residues with no active bleed. CT angiography revealed adequate graft position with aneurysm exclusion. Hemoptysis resolved and patient continued to do well upon 4 months follow-up. Since there are no guidelines upon follow-up, patient was seen 1 month and 4 months postoperatively, and will be seen at 6-month intervals thereafter for a repeat CT scan and a physical exam.
Discussion
ABF is a rare condition commonly presenting with nonspecific symptoms such as hemoptysis, chest pain, and dyspnea.1-8 Given the nonspecific nature of symptoms and the low index of suspicion, the condition can be become rapidly fatal secondary to massive hemoptysis.9 When left untreated, the condition carries a 100% mortality rate.10,11
Another setback with the diagnosis of ABF is the lack of noninvasive modalities that can effectively make the diagnosis. CT angiography rarely demonstrates the ABF but can reveal findings consistent with the diagnosis such as parenchymal hemorrhage with adjacent aortic aneurysmal dilatation.12,13
In our case the information provided from the CT angiography put in the clinical context of hemoptysis hinted at the diagnosis of ABF. Aortography does not demonstrate the fistula tract either.13 On the other hand, bronchoscopy can hint at the site of the fistula but should be conducted very carefully as clot dislodgement of the fistula tract can potentially result in massive hemorrhage.13
It should also be noted that recurrent hemoptysis after TEVAR for ABF as was the case with our patient is not uncommon with 12% incidence. It frequently warrants diagnostic modalities to evaluate adequacy of aneurysm exclusion, but often it is attributable to residual hematoma being expectorated, as with our patient.11
Traditionally, management of ABF involves open surgical repair with mortality rate ranging from 15% to 41%.8,10 With endovascular stent graft repairs becoming a more established entity of arterial aneurysmal repairs, thoracic endovascular aortic repair (TEVAR) for ABF offers a minimally invasive approach with less morbidity and mortality than traditional open repair.8 In our case the patient was admitted overnight and discharged home less than 24 H after the endovascular repair. The short-term efficacy of TEVAR for ABF is mostly derived from small case series and individual case reports as the paucity of the event makes it extremely difficult to conduct large-scale studies.11
A concern with endovascular management for ABF has been graft infection given the potential exposure of the graft to bronchial secretions. However, the data available reveals minimal risk of infection following TEVAR for ABF, which is poorly understood and might be due to minimizing the trauma to contaminated tissue planes as compared to open repair.7
In his series of 11 patients followed up at a mean of 8.8 months, Bailey et al8 reports a technical success rate of 91% (10 patients) with only one reported endoleak requiring further intervention. It is important to mention that 6 of the 11 patients in the reported series had previous thoracic aortic surgery. Reisenman et al11 reports 32 cases in the literature for endovascular repair of aortobronchial fistulas with 55% of patients having had previous thoracic aortic surgery. No intraoperative mortalities were reported and 30-day mortality rate was 1.5%. The recurrence rate was 9% with a mean follow-up of 21.5 months. Only 3 cases required further interventions. Reported average length of stay was 11.5 days.11
Conclusion
Finally, outcomes of TEVAR for ABF seem to be promising, with low short-term mortality and morbidity as compared to open surgery for a traditionally high-risk condition. Other advantages that minimally invasive surgery provides and should not be overlooked include shorter hospitalization, less postoperative pain, and faster recovery. However, long-term follow-up studies need to be conducted to further demonstrate the durability of this approach in treating ABF.
References
- MacIntosh EL, Parrott JC, Unruh HW. Fistulas between the aorta and tracheobronchial tree. Ann Thorac Surg. 1991;51(3):515-519.
- Favre JP, Gournier JP, Adham M, Rosset E, Barral X. Aortobronchial fistula: report of three cases and review of the literature. Surgery. 1994;115(2):264-270.
- Kokotsakis J, Misthos P, Athanasiou T, et al. Endovascular stenting for primary aortobronchial fistula in association with massive hemoptysis. Tex Heart Inst J. 2007;34(3):369-372.
- Islam S, Williams DM, Teitelbaum DH. Aortobronchial fistula from invasive Aspergillus infection of the lung: an endovascular approach to repair. J Pediatr Surg. 2005;40(12):e19-e22.
- Hoff SJ, Johnson JE, Frist WH. Aortobronchial fistula after unilateral lung transplantation. Ann Thorac Surg. 1993;56(6):1402-1403.
- Masjedi MR, Davoodian P, Forouzesh M, Abttahi SJ. Broncho-aortic fistula secondary to pulmonary tuberculosis. Chest. 1988;94(1):199-200.
- Wheatley GH 3rd, Nunez A, Preventza O, et al. Have we gone too far? Endovascular stent-graft repair of aortobronchial fistulas. J Thorac Cardiovasc Surg. 2007;133(5):1277-1285.
- Bailey CJ, Force S, Milner R, Kasirajan K, Veeraswamy RK. Thoracic endovascular repair as a safe management strategy for aortobronchial fistulas. J Vasc Surg. 2011;53(5):1202-1209.
- Wheeler AP, Loyd JE. Fatal hemoptysis: aortobronchial fistula as a preventable cause of death. Crit Care Med. 1989;17(11):1228-1230.
- Picichè M, De Paulis R, Fabbri A, Chiariello L. Postoperative aortic fistulas into the airways: etiology, pathogenesis, presentation, diagnosis, and management. Ann Thorac Surg. 2003;75(6):1998-2006.
- Riesenman PJ, Brooks JD, Farber MA. Thoracic endovascular aortic repair of aortobronchial fistulas. J Vasc Surg. 2009;50(5):992-998.
- Ferretti GR, Choplin RH, Haponik EF, Hudspeth AS. Case report. Aortic pseudoaneurysm with aortobronchial fistula: diagnosis with CT angiography. J Comput Assist Tomogr. 1996;20(6):975-978.
- Graeber GM, Farrell BG, Neville JF Jr, Parker FB Jr. Successful diagnosis and management of fistulas between the aorta and the tracheobronchial tree. Ann Thorac Surg. 1980;29(6):555-561.
___________________________________________________________
From the Department of Surgery, Inova Fairfax Hospital, Falls Church, Virginia.
Disclosure: The authors have completed and returned the ICMJE Form for Disclosure of Potential Conflicts of Interest. The authors report no conflicts of interest regarding the content herein.
Manuscript received February 5, 2012, provisional acceptance given February 23, 2012, final version accepted March 26, 2012.
Address for correspondence: Elias Kfoury, MD, 3300 Gallows Road, Dept of Surgery, Inova Fairfax Hospital, Falls Church, Virignia, 22042, USA. Email: elias.kfoury@hotmail.com


