Temporary Balloon Occlusion to Facilitate Vascular Plug Occlusion of a Reopened Left Superior Caval Vein After Surgery for Congenital Heart Disease
Abstract
Post-Glenn venous circulation can lead to the development of collateral connections between the higher-pressure superior vena cava system and the atrium or the lower-pressure inferior vena cava system, and should be suspected in any patient suffering progressive cyanosis after the Glenn procedure. They may increase in size over time, and are usually dealt with by percutaneous occlusion devices. We report the concomitant use of a balloon catheter with an Amplatzer vascular plug occluder to completely occlude a vertical vein after a bidirectional Glenn anastomosis.
VASCULAR DISEASE MANAGEMENT 2011;8(5):E102–E104
Case Report
We report a 3-year-old male with a diagnosis of a double-outlet right ventricle, mitral atresia, a non-restrictive atrial septal defect and aortic coarctation. At the age of 3 months, a pulmonary artery-ascending aortic anastomosis (Damus-Kaye-Stansel) and a bidirectional Glenn anastomosis were performed. Twenty months later, cardiac catheterization was planned after findings of exercise limitation, progressive desaturation and polycythemia.
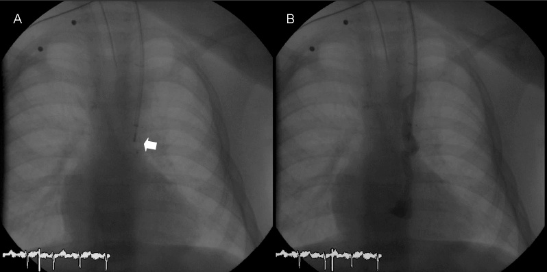
Under general anaesthesia, right heart catheterization was performed using a left internal jugular vein approach. Heparin was administered following our institutional protocol (100 IU per kilogram). A 6 French (Fr) sheath was inserted and a 5 Fr Berman catheter was used for hemodynamic assessment. Angiography showed a tortuous vessel (maximum diameter 6 mm) arising from the innominate vein and draining into the right atrium, corresponding with a left-sided superior vena cava (SVC) with high probability (Figure 1). A multipurpose catheter (MP1 4 Fr) was used to selectively cannulate the vessel and a 0.035 inch exchange wire was then positioned far into it. Over the wire, a 5 Fr guiding catheter was placed and an 8 mm Amplatzer vascular occluder (AGA Medical Corp., Plymouth, Minnesota) was deployed into the narrowest point of the vein (Figure 2A). Before releasing it, control angiography (Figure 2B) showed a significant residual shunt, and it was decided to use a larger device. A new 6 Fr guiding catheter was positioned into the vessel, and a 10 mm device was placed. An angiography performed 5 minutes later showed significant residual patency of blood flow. Thus, a 5 Fr Berman angiography catheter was positioned proximal to the plug and inflated for 10 minutes in order to interrupt the flow in the collateral vein (Figures 3A and 4). A new angiogram confirmed the absence of blood flow (Figure 3B). Subsequent control angiograms excluded the presence of other relevant collateral vessels. A significant rise in arterial blood saturation was noted (from 83% to 97%) immediately after the procedure.
The patient was discharged from the hospital the day after the procedure and on outpatient follow up, he was well, without cyanosis and had a significant improvement in his quality of life and exercise capacity following the occlusion of the collateral vein.
Discussion
Collateral systemic venous vessels seem to be a common finding after bidirectional cavopulmonary anastomoses, with an incidence varying from 20% to 43% according to published series.1–4 Although several factors were identified as being associated with the development of collateral vessels, the only independent factor was the postoperative gradient between the SVC and the right atrium,2 indicating that the pressure gradient could reopen channels that are present during embryonic development. This gradient could be increased in several situations: anatomic residual defects after surgery (pulmonary branch stenosis, stenosis at the SVC-pulmonary artery anastomosis) or hemodynamic disturbances (high atrial pressure or restriction of ventricular filling). If these channels are large enough they can lead to progressive cyanosis with arterial blood desaturation,5,6 which are indications for closure in order to increase oxygen saturation and to optimize cardiac function by reducing the amount of the shunting.
Recently, excellent results in terms of safety and feasibility were reported with the Amplatzer plug occluder to close large venous vessels in patients with congenital heart disease.7,8 In our case both 8 mm and 10 mm devices were used without achieving full angiographic vascular closure 10 minutes after placement of the device. We then resorted to a technical maneuver previously reported as a useful technique in the closure of coronary fistulas,9 but to the best of our knowledge, not described before in this setting, to aid in accomplishing total occlusion of the vessel. A Berman angiographic balloon catheter was inflated proximal to the Amplatzer plug deployed and 10 minutes of additional occlusion provided by the balloon were sufficient to achieve the desired goal of complete absence of blood flow through the vessel. We believe that the venous stasis produced by the inflated balloon favored the thrombosis around the device and achieved the vascular occlusion.
It could be questioned whether it was time alone that was responsible for the vessel closure rather than the effect of the inflated balloon. However, more than a reasonable amount of time had passed between the deployment of the devices and the control angiography, so we believe that the contribution of the balloon technique was significant in achieving the vascular closure.
Conclusion
Collateral vessels can develop after systemic bidirectional cavopulmonary connections, leading in some cases to profound desaturation and cyanosis. Transcatheter closure is strongly recommended in such cases, but sometimes total vessel closure is not achieved with standard closure devices. We report a new technique to enhance vessel closure by inflating a balloon proximal to the point of device deployment with excellent results and no complications. It can be used in several procedures of vascular occlusion when patency of blood flow is observed despite adequate device deployment.
References
- Heinemann M, Breuer J, Steger V, et al. Incidence and impact of systemic venous collateral development after Glenn and Fontan procedures. Thorac Cardiovasc Surg 2001;49:172–178.
- Magee AG, McCrindle BW, Mawson J, et al. Systemic venous collateral development after the bidirectional cavopulmonary anastomosis. Prevalence and predictors. J Am Coll Cardiol 1998;32:502–508.
- McElhinney DB, Reddy VM, Hanley FL, Moore P. Systemic venous collateral channels causing desaturation after bidirectional cavopulmonary anastomosis: Evaluation and management. J Am Coll Cardiol 1997;30:817–824.
- Weber HS. Incidence and predictors for the development of significant supradiaphragmatic decompressing venous collateral channels following creation of Fontan physiology. Cardiol Young 2001;11:289–294.
- Gatzoulis MA, Shinebourne EA, Redington AN, et al. Increasing cyanosis early after cavopulmonary connection caused by abnormal systemic venous channels. Br Heart J 1995;73:182–186.
- Stumper O, Wright JG, Sadiq M, De Giovanni JV. Late systemic desaturation after total cavopulmonary shunt operations. Br Heart J 1995;74:282–286.
- Hares DL, Tometzki AJ, Martin R. Use of the Amplatzer vascular occluder to occlude large venous vessels in adults and children with congenital heart disease: A case series. Catheter Cardiovasc Interv 2007;69:33–39.
- Narula N, Wilson N, Kumar RS. Transcatheter closure of persistent unligated vertical vein after TAPVC surgery using the Amplatzer PDA device. Catheter Cardiovasc Interv 2007;70:117–119.
- Qureshi SA. Coronary artery fistulas. Orphanet J Rare Dis 2006;1:51.
_____________________________________________________________________________
From the Cardiology Department, Complejo Hospitalario Universitario A Coruña, Spain.
The authors report no financial relationships or conflicts of interest regarding the content herein.
Manuscript submitted October 20, 2010, provisional acceptance given November 22, 2010, final version accepted November 29, 2010.
Address for correspondence: Rodrigo Estévez Loureiro, MD, Cardiology, As Xubias 84, Complejo Hospitalario Universitario A Coruña, Spain 15006. E-mail: roiestevez@hotmail.com


