Superior Mesenteric Artery Embolism Treated Successfully With Rheolytic Thrombectomy and Subsequent Papaverine Infusion
VASCULAR DISEASE MANAGEMENT 2016;13(10):E236-E242
Abstract
Purpose: To define the potential role of endovascular approach in management of embolic acute mesenteric ischemia. Methods: An 83-year-old male with a history of atrial fibrillation presented with acute abdominal pain and was diagnosed to have acute mesenteric ischemia from superior mesenteric artery embolism on computerized tomography angiography. His clinical symptoms worsened, with increasing levels of biomarkers, and he was treated urgently with angiography and rheolytic thrombectomy. Angiography showed branch vessel occlusion due to arterial spasm, which was treated with intra-arterial papaverine infusion. Results: Angiographically guided percutaneous treatment resulted in rapid clinical recovery and resolution of elevated laboratory biomarkers. Conclusion: Angiographically guided percutaneous treatment appears to be an effective alternative to open embolectomy in select cases of superior mesenteric artery embolism.
Embolic acute mesenteric ischemia (EAMI) is an uncommon abdominal emergency, but is associated with a high mortality rate.1 It results from sudden interruption to intestinal blood flow and leads to bowel infarction. Early diagnosis and treatment with prompt laparotomy and embolectomy is the standard treatment. There are reports using percutaneous catheter-based thrombolytic and mechanical clot extraction strategies. One of these methods involves the use of the Angiojet rheolytic thrombectomy system (Boston Scientific), which has been used successfully in other peripheral and visceral arteries in thrombotic conditions.2-4 Stenosis due to spasm has been treated with vasodilator therapy with local infusion of intravenous papaverine. We report a case of acute mesenteric ischemia, which was treated with rheolytic thrombectomy followed by local infusion of papaverine.
Case Report
An 83-year-old male presented to the emergency room with complaints of mid abdominal pain starting about an hour prior to presentation. Initially pain was rated at 7/10. He admitted to nausea and vomiting at the onset of pain. His past history was significant for hypertension, hyperlipidemia, paroxysmal atrial fibrillation, and hypothyroidism. His temperature was 98.2°F, heart rate 72 beats per minute, blood pressure 154/80 mmHg, respiratory rate 25 per minute, and blood oxygen saturation 95%. He was stable hemodynamically but was in discomfort. His abdominal exam in the emergency department showed mild periumbilical tenderness without rebound.
Laboratory evaluation in the emergency department showed a white blood cell (WBC) count of 9,600/μL with 82.9% neutrophils, creatinine 1.3 mg/dL, glucose 152 mg/dL, bilirubin 1.2 mg/dL, lipase 119 U/L, INR 1.6, plasma thromboplastin time 27 seconds, and lactate 0.92 mmol/L. A computerized tomography (CT) scan of the abdomen and pelvis with and without contrast and with 3D reconstruction was performed (Figure 1). There was no abdominal aneurysm or dissection. There was a filling defect in the superior mesenteric artery consistent with thrombus. There was no bowel wall thickening or evidence of pneumatosis. The patient was treated with intravenous fluids, intravenous heparin 4000 U bolus followed by heparin drip, intravenous hydromorphone 0.5 mg every 4 hours as needed, intravenous levofloxacin 500 mg daily, intravenous metronidazole 500 mg every 8 hours, and ondansetron 4 mg every 4 hours as needed.
The patient initially was treated conservatively due to his stable status, lack of evidence of necrosis, and normal biomarkers. His symptoms resolved nearly completely with intravenous analgesics. Laboratory evaluation was repeated 4 hours later and showed plasma thromboplastin time 55 seconds, INR 1.8, WBC count 12,800/μL with 88% neutrophils, and lactate level 2.5 mmol/L.
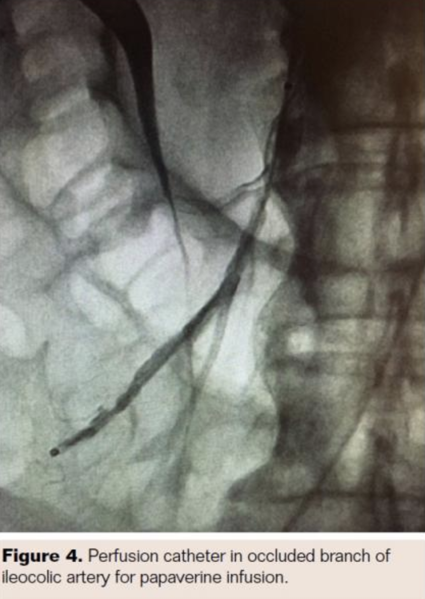
The patient was taken for urgent angiography due to rapid rise in biomarkers reflecting early bowel necrosis. Right femoral artery access was obtained and cannulated with a 6 Fr sheath. A 4 Fr internal mammary catheter was used to cannulate the superior mesenteric artery (SMA). The catheter was advanced into the proximal segment of the vessel over a Glidewire (Terumo). Angiography via the internal mammary catheter confirmed the CT angiographic findings. This catheter was exchanged for a 6 Fr, 55 cm Ansel guiding sheath (Cook Medical). Activated clotting time was 177 seconds, and heparin 3,000 U bolus was administered intravenously. A 0.014˝ wire was advanced through the occluded distal SMA and thrombectomy was done using an Angiojet XVG thrombectomy catheter with complete resolution of the thrombus (Figure 2). The wire was then advanced into the ileocolic artery, which was treated with a similar technique (Figure 3). The proximal segment of the ileocolic artery showed thrombus resolution but a large branch of this vessel was still occluded. Thrombectomy in this branch did not re-establish flow in the vessel, and the angiographic appearance was consistent with diffuse spasm. A 135 cm Cragg-Mcnamara Valved Infusion Catheter (Medtronic) with 10 cm infusion length was then advanced into this branch (Figure 4) and intra-arterial papaverine was administered via this catheter at 30 mg/hr. An intravenous heparin drip was administered peripherally at 500 U/hr.

The patient was observed in the intensive care unit overnight. Six hours after the procedure, repeat laboratory investigation showed lactate levels were 1.1 mmol/L and WBC count was 5,400/μL with 63.6% neutrophils. His abdomen was distended. After 6 more hours the papaverine drip was stopped and the sheath was removed. His course was complicated by ileus, which was treated conservatively. Anticoagulation with warfarin was resumed and he was discharged on day 6. He has remained stable and asymptomatic for the ensuing 6 months.
Discussion
Embolic acute mesenteric ischemia results in sudden interruption of blood flow to the intestine and leads to bowel infarction. Our patient had a classical presentation, as he was elderly, had a history of atrial fibrillation with subtherapeutic anticoagulation, and presented with sudden onset abdominal pain with a paucity of clinical signs. Mortality from EAMI has declined in the last 50 years but remains unacceptably high at 50% to 69%.5 Early diagnosis and treatment before bowel infarction improves survival.6 Options for treatment are surgical revascularization, percutaneous approaches for thrombus management with intra-arterial thrombolysis or mechanical approaches, intra-arterial vasodilators, and simple systemic anticoagulation.
The two most important factors that guide the management of this condition are the presence or absence of peritoneal signs indicating bowel necrosis and availability of interventional resources. In the absence of peritoneal signs, surgical embolectomy has been the standard approach. This procedure adds significant morbidity and may not be necessary if there is no concern regarding gut viability. We feel that percutaneous interventional procedures have a major role to play in this situation, because these can be done expeditiously, at low risk, and with favorable outcomes.7,8
Exploratory laparotomy with resection of the infarcted bowel is essential when peritoneal signs are present. In this situation, the embolus can be treated surgically or interventionally, but nevertheless, we feel that angiography is still justified for local administration of intra-arterial vasodilators.9 Vasoconstriction of both the obstructed and unobstructed branches of the SMA occurs with SMA embolus even after the embolus has been removed.10,11 And, if the vasoconstriction persists long enough, it can become permanent.12 Infusion of papaverine into the SMA has been used as the sole therapy and as an adjunct to surgical embolectomy.9 Historically, best survival rates have been associated with papaverine infusions.6,10
In the absence of interventional resources, laparotomy with exploration of the SMA and embolectomy along with assessment of bowel viability and resection is usually done urgently.1 This approach has the benefit of being able to address both the SMA occlusion and bowel viability. Some operators have used laparoscopy as an initial diagnostic modality and initial therapeutic technique for bowel resection but mostly for a second look post open laparotomy and embolectomy. The advantage is that it is minimally invasive and prevents critically ill patients from the trauma and risk of repeat laparotomy.13,14
Percutaneous treatment in reported cases has predominantly been the administration of thrombolytic therapy with urokinase, streptokinase, or recombinant tissue plasminogen activator in multiple case reports and small series.15-17 Adjunctive treatments with fragmentation,18 aspiration thrombectomy,19 mechanical thrombectomy,20 and the Angiojet system3 have also been used. Endovascular treatment for EAMI has not been studied prospectively but reported cases have demonstrated predominantly positive results. This could also be attributed to the use of this treatment earlier in the disease process before bowel necrosis or due to reporting bias. We used the Angiojet rheolytic thrombectomy system, which expedites clot removal and has been used in various visceral and peripheral vessels. There are two prior case reports with Angiojet rheolytic thrombectomy and they have both utilized adjunctive thrombolytic therapy. Thrombolytic therapy has several disadvantages. It has unpredictable efficacy and requires prolonged infusion times, during which bowel ischemia may progress. A second look angiogram is mandatory to ensure adequate thrombus mitigation. And the biggest drawback of thrombolytic therapy when used in any vascular bed has been a high risk of attendant hemorrhagic complications. We felt that this patient was at high risk of hemorrhagic complications due to his age, hypertension, and elevated pulse pressure. Also, our thrombectomy procedure resulted in near complete evacuation of thrombus as a standalone modality and we felt that the risk of thrombolytic therapy was not justified. This is the first case report of thrombus extraction from the mesenteric circulation without the use of thrombolytic therapy.
Retrospective studies have also shown improved outcomes with routine angiography.21 Angiography has the advantage of being able to diagnose the etiology of occlusion. A large branch of the ileocolic artery was persistently occluded despite thrombectomy. Based on the angiography, this was felt to be secondary to severe spasm rather than residual thrombus. Therefore, we decided to forgo further attempts at thrombectomy or thrombolytic therapy and instead used intra-arterial papaverine along with intravenous heparin.
The mortality of EAMI remains very high and the most important historical predictors are age and the duration of symptoms before diagnosis.22-24 Peritoneal signs predict worse prognosis, and renal failure, acidosis from sepsis, and shock are obvious poor prognostic indicators.25 Treatment variables associated with improved outcomes are routine angiography, intra-arterial papaverine, early surgery with resection of nonviable bowel, and a liberal approach to second-look procedures.6,26 Our index patient had a favorable response as he had an early presentation, obtained an early diagnosis, and was treated before the onset of bowel infarction. He responded well to treatment with a marked decline in his biomarkers within 6 hours of the procedure. With the clinical improvement, negative biomarkers and no evidence of bowel necrosis, the decision was made to treat conservatively without repeat angiography or exploratory laparotomy.
Conclusion
The current case illustrates the use of the Angiojet rheolytic thrombectomy system for clot extraction from the SMA in a patient with EAMI due to embolism from atrial fibrillation with subtherapeutic anticoagulation. Residual spasm diagnosed angiographically was treated with local papaverine infusion. This appears to be a promising technique as it can be performed rapidly, with low procedural risk. It avoids general anesthesia and the morbidity of major surgery. One limitation is the availability of qualified personnel who can perform this expeditiously. There are now multiple case studies demonstrating the efficacy of clot mitigation via different devices.
Angiographically directed therapy with stand-alone thrombectomy20 or additional thrombolysis3 or additional papaverine as in the current study can further improve outcomes. Catheter directed treatment may be the preferred approach, when available, in a patient who presents early without signs of acute abdomen. Even though there are no data comparing an interventional approach to open surgery, it stands to reason that urgent surgery would be essential in anyone with peritoneal signs or when bowel viability is in question. It is unlikely that a randomized trial or a large-scale clinical study will be done to validate this concept, but current and future case reports can corroborate these treatment options.
Editor’s note: Disclosure: The authors have completed and returned the ICMJE Form for Disclosure of Potential Conflicts of Interest. The authors report no disclosures related to the content herein.
Manuscript received March 26, 2016; provisional acceptance given June 2, 2016; manuscript accepted July 7, 2016.
Address for correspondence: Sundeep Das, MD, St. Louis Heart & Vascular, 12277 DePaul D, Suite 503, Bridgeton, MO 63044, United States. Email: sdas@slhv.com
REFERENCES
- Coulter TD, Maurer JR, Miller MT, Mehta AC. Chest wall 1. Chang RW, Chang JB, Longo WE. Update in management of mesenteric ischemia. World J Gastroenterol. 2006;12(20):3243-3247.
- Hirota S, Matsumoto S, Yoshikawa T, et al. Simultaneous thrombolysis of superior mesenteric artery and bilateral renal artery thromboembolisms with three transfemoral catheters. Cardiovasc Intervent Radiol. 1997;20(5):397-400.
- Ballehaninna UK, Hingorani A, Ascher E, et al. Acute superior mesenteric artery embolism: reperfusion with AngioJet hydrodynamic suction thrombectomy and pharmacological thrombolysis with the EKOS catheter. Vascular. 2012;20(3):166-169.
- Lee MS, Sing V, Wilentz JR, Makkar RR. AngioJet thrombectomy. J Invasive Cardiol. 2004;16(10):587-591.
- Tsai MS, Lin CL, Chen HP, Lee PH, Sung FH, Kao CH. Long-term risk of mesenteric ischemia in patients with inflammatory bowel disease: A 13-year nationwide cohort study in an Asian population. Am J Surg. 2015;210(1):80-86.
- Boley SJ, Sprayregan S, Siegelman SS, Veith FJ. Initial results from an agressive roentgenological and surgical approach to acute mesenteric ischemia. Surgery. 1977;82(6):848-855.
- Beaulieu RJ, Arnaoutakis KD, Abularrage CJ, Efron DT, Schneider E, Black JH 3rd. Comparison of open and endovascular treatment of acute mesenteric ischemia. J Vasc Surg. 2014; 59(1):159-164.
- Acosta S, Bjorck M. Modern treatment of acute mesenteric ischemia. Br J Surg. 2014;101(1):e100-e108.
- Murano, JU Harrison, RB. Mesenteric ischemia: angiographic diagnosis and intervention. Clin Imaging. 1991;15(2):91-98.
- Clark RA, Gallant TE. Acute mesenteric ischemia: angiographic spectrum. Am J Radiol. 1984;142(3):555-562.
- Laufman H, Martin WB, Tuell SW. The pattern of vasospasm following acute arterial and venous occlusions; a micrometric study. Surg Gynecol Obstet. 1948;87(6):641-651.
- Boley, SJ, Regan, JA, Tunick, PA, et al. Persistent vasoconstriction—a major factor in nonocclusive mesenteric ischemia. Curr Top Surg Res.1971;3:425-433.
- Tshomba Y, Coppi G, Marone EM, et al. Diagnostic laparoscopy for early detection of acute mesenteric ischemia in patients with aortic dissection. Eur J Vasc Endosvasc Surg. 2012;43(6):690-697.
- Yanar H, Taviloglu K, Ertekin C, et al. Planned second-look laparoscopy in the management of acute mesenteric ischemia. World J Gastroenterol. 2007;13(24):3350-3353.
- Boyer L, Delorme JM, Alexandre M, et al. Local fibrinolysis for superior mesenteric artery thromboembolism. Cardiovasc Intervent Radiol. 1994;17(4):214-216.
- Flickinger EG, Johnsrude IS, Ogburn NL, Weaver MD, Pories WJ. Local streptokinase infusion for superior mesenteric artery thromboembolism. AJR Am J Roentgenol. 1983;140(4):771-772.
- Vujic, I, Stanley J, Gobien RP. Treatment of acute embolus of the superior mesenteric artery by topical infusion of streptokinase. Cardiovasc Intervent Radiol. 1984;7(2):94-96.
- Turegano FF, Simo MG, Echenagusia BA, et al. Successful intraarterial fragmentation and urokinase therapy in superior mesenteric artery embolism. Surgery. 1995;117(6):712-714.
- Kim BG, Ohm JY, Bae MN, et al. Percutaneous aspiration thrombectomy for acute mesenteric ischemia in a patient with atrial fibrillation despite optimal anticoagulation therapy. Can J Cardiol. 29(10):1329.e5-e7.
- Kuhelj D, Kavcic P, Popovic P. Percutaneous mechanical thrombectomy of superior mesenteric artery embolism. Radiol Oncol. 2013;47(3):239-243.
- Brandt LJ, Boley SJ. AGA technical review on intestinal ischemia. Gastroenterol. 2000;118(5):954-968.
- Lobo Martinez E, Carvajosa E, Sacco O, Martínez Molina E. Embolectomy in mesenteric ischemia. Rev Esp Enferm Dig. 1993;83(5):351-354.
- Wadman M, Syk I, Elmstahl S. Survival after operations for ischaemic bowel disease. Eur J Surg. 2000;166(11):872-877.
- Aliosmanoglu I, Gul M, Kapan M, et al. Risk factors affecting mortality in acute mesenteric ischemia and mortality rates: a single center experience. Int Surg. 2013;98(1):76-81.
- Huang HH, Chang YC, Yen DH, et al. Clinical factors and outcomes in patients with acute mesenteric ischemia in the emergency department. J Chin Med Assoc. 2005;68(7):299-306.
- Park WM, Gloviczki P, Cherry KJ Jr, et al. Contemporary management of acute mesenteric ischemia: Factors associated with survival. J Vasc Surg. 2002;35(3):445-452.


