Successful Nonoperative Management of Isolated Superior Mesenteric Artery Dissection
Abstract
Spontaneous dissection of the superior mesenteric artery occurs rarely. Management has not been standardized, but it includes observation, medical therapy, endovascular stenting, and open surgical approaches. Some patients may require a combination of the above therapies based on clinical presentation. We report a case of abdominal pain secondary to superior mesenteric artery dissection treated with observation and anticoagulation with resolution of symptoms.
VASCULAR DISEASE MANAGEMENT 2015;12(11):E221-E224
Key words: dissection, superior mesenteric artery
_____________________
Isolated superior mesenteric artery (SMA) dissection is an uncommon event for which an optimal treatment regimen has not yet been established. With the increasing availability and use of computed tomography (CT) in the workup of abdominal pain, the incidence of both symptomatic and asymptomatic SMA dissection is on the rise. Various methods of treatment have been described, including the use of antiplatelet or anticoagulant therapy, endovascular stenting, and open surgical techniques. In this report, we describe the case of a healthy, nonsmoking 66-year-old female with isolated SMA dissection treated successfully with anticoagulation therapy.
Case Report
A 66-year-old healthy white female presented to the emergency department with 1 day of worsening right lower quadrant pain. She denied trauma or undue abdominal strain prior to presentation. She had no significant medical or surgical history and was not a smoker. She denied use of hormone replacement therapy. Vital signs and laboratory values were normal, including a leukocyte count of 8,000 and a lactate level of 0.7.
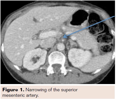
Abdominal exam revealed focal tenderness in the suprapubic region without rebound or guarding. There was no purpura or other abnormal skin findings. Vasculitis workup was not undertaken. A CT of the abdomen was performed, which showed SMA dissection within 1 centimeter from the takeoff and cecal wall thickening without signs of ischemia (Figures 1-3). No other dissection or vascular abnormality was noted. She was admitted to the vascular surgery service, made NPO, and started on a heparin infusion as well as ciprofloxacin and metronidazole for the typhlitis.
A
dedicated CT angiography of the abdomen was performed 24 hours after the initial CT due to the contrast load received on admission (as per institutional policy). The repeat scan was significant for long segment dissection of the SMA with focal contrast filling of the false lumen and a “mild-moderate” narrowing of the true lumen, which was most prominent in the mid portion of the vessel. All branches of the SMA arose from the true lumen, and again, the cecum was noted to be inflamed without pneumatosis. The patient’s abdominal exam improved over the next few days, and she was discharged home on hospital day 4 tolerating a regular diet. She was instructed to finish a course of antibiotics and to start taking warfarin after bridging with fondiparinux.
Discussion
Isolated dissection of the visceral arteries without involvement of the aorta is rare. It can occur in any visceral vessel, of which the SMA is the most common. Two-thirds of visceral artery dissections occur in the SMA, less than one-third involve the celiac artery, and even fewer involve the hepatic and splenic arteries.1 The etiology of spontaneous SMA dissection is often unknown. Review of case reports identifies risk factors such as history of blunt or iatrogenic trauma, atherosclerosis, medial cystic degeneration, pregnancy, fibromuscular disease, and connective tissue disorders.2-4 SMA dissections also occur more commonly in males and patients greater than 60 years of age.2,5 Unlike aortic dissection, which is often fatal without treatment, dissection of the SMA does not carry the same prognosis due to significantly less pressure throughout the vessel. A proposed theory for the cause of dissection is the shearing force placed upon the artery as it passes below the inferior border of the pancreas, similar to the forces that contribute to aortic transection at the ligamentum arteriosum seen in rapid deceleration injuries.1 However, a cause is often unidentified.
SMA dissection can present as abdominal pain, nausea/vomiting, bloody stools, and symptoms of intestinal obstruction.5 It can also be asymptomatic as is seen in cases where the diagnosis is made during workup of another problem. With improvements in the sensitivity of CT scanning, the diagnosis of asymptomatic as well as symptomatic SMA dissection has significantly increased. Abdominal plain films will often show paralytic intestinal gas or normal examinations.6 The gold standard in diagnosis of SMA dissection is arteriography. However, CT angiography was the most common diagnostic modality used for detection in all reported cases. Doppler ultrasonography has been documented as a diagnostic tool, but its use is limited by patient body habitus as well as technician variability and is therefore not recommended.
Given the rarity of SMA dissection, there is no standard therapy for its treatment. Reported cases have been managed with observation, antiplatelet or anticoagulation therapy, endovascular stenting, and open surgical techniques. Open surgery is indicated for the acute abdomen in the setting of arterial rupture or bowel necrosis. Surgical techniques include reimplantation of the SMA to the aorta, intimectomy, resection of the affected segment with interposition graft, intimal fixation, and bypass.7 However, more conservative approaches have been successful in the management of asymptomatic and even symptomatic SMA dissection without evidence of bowel ischemia. Ambo et al was the first to treat SMA dissection conservatively with bowel rest and intravenous heparin.8 Anticoagulants prevent clot and emboli formation, which help to recanalize the true lumen. Antiplatelet therapy is also used to prevent arterial thrombosis. Despite reports of effectiveness of both classes of medications, there are few data to support an optimal dosage and administration period for patients. Some conclude that medical treatment should continue until there is radiographic evidence of resolution of the dissection.7
Other groups have treated symptomatic patients with endovascular stenting. All of these have described mesenteric angiography via transfemoral approach. Froment et al report the use of Wallstent (Boston Scientific) in a patient presenting with abdominal pain without peritonitis. This patient’s dissection, like most others, started distal to the ostium and ended just before the takeoff of the ileocolic branch. He was started on anticoagulation post procedure as well as antiplatelet therapy. Follow-up of 18 months showed sustained resolution of symptoms.9
Many others report the successful use of endovascular stenting to treat patients presenting with abdominal pain due to SMA dissection.10-12 None of these patients, however, displayed signs of generalized peritonitis, and they were all reported to have had normal laboratory values. Some authors treated the patients with antiplatelet and or anticoagulant therapy; others did not mention medical therapy in addition to endovascular stenting.10-12
Cho et al and Carter et al have suggested algorithms for the management of SMA dissection based on patient presentation and clinical course.1,13 Symptomatic patients presenting with an acute abdomen are managed surgically. Asymptomatic patients are managed expectantly with follow-up imaging to evaluate for resolution or evolution of the SMA dissection. Patients who fail conservative therapy or those who develop symptoms undergo endovascular stenting and/or surgery.
Conclusion
Our experience with SMA dissection indicates that uncomplicated cases can be managed safely with anticoagulation and observation to ensure improvement of symptoms. If the patient’s clinical course worsens or bowel perfusion is compromised, more invasive intervention is warranted. Symptomatic patients who do not exhibit signs of bowel ischemia can be managed safely with endovascular stenting. If endovascular stenting is not feasible, open surgical options always remain available. We agree with the current literature that treatment of SMA dissection involves a spectrum of conservative management to emergent surgery based on the clinical situation. It is up to the surgeon’s clinical judgment and technical skills to decide which therapy is appropriate.
Editor’s note: The authors have completed and returned the ICMJE Form for Disclosure of Potential Conflicts of Interest. The authors report no disclosures related to the content herein.
Manuscript received February 8, 2015; provisional acceptance given March 23, 2015; manuscript accepted July 9, 2015.
Address for correspondence: Sharon Stanley, MD, 300 Community Drive, Manhasset, NY 11040. Email: sxstanley@gmail.com
References
- Carter R, O’Keeffe S, Minion DJ, Sorial EE, Endean ED, Xenos Es. Spontaneous superior mesenteric artery dissection: report of 2 patients and review of management recommendations. Vasc Endovascular Surg. 2011;45(3): 295-8.
- Choi JY, Kwon OJ. Approaches to the management of spontaneous isolated visceral artery dissection. Ann Vasc Surg. 2013;27(6):750-757.
- Foord AG, Lewis AD. Primary dissecting aneurysms of peripheral and pulmonary arteries. Arch Pathol. 1959;68:553-557.
- Murphy TP, Dorfman GS, Segall M, Carney WI Jr. Iatrogenic arterial dissection; treatment by percutaneous transluminal angioplasty. Cardiovasc Intervent Radiol. 1991;14(5):302-306.
- Hwang CK, Wang JY, Chaikof EL. Spontaneous dissection of the superior mesenteric artery. Ann Vasc Surg. 2010;24(2):254.e1-e5.
- Goueffic Y, Costargent A, Dupas B, Heymann MF, Chaillou P, Patra P. Superior mesenteric artery dissection: case report. J Vasc Surg. 2002;35(5):1003-1005.
- Nagai T, Torishima R, Uchida A, et al. Spontaneous dissection of the superior mesenteric artery in four cases treated with anticoagulation therapy. Internal Medicine. 2004;43(6):473-478.
- Ambo T, Noguchi Y, Iwasaki H, et al. An isolated dissecting aneurysm of the superior mesenteric artery: report of a case. Surg Today. 1994;24(10):933-936.
- Froment P, Alerci M, Vandoni RE, Bogen M, Gertsch P, Galeazzi G. Stenting of a spontaneous dissection of the superior mesenteric artery: a new therapeutic approach? Cardiovasc Intervent Radiol. 2004;27(5):529-532.
- Leung DA, Schneider E, Kubik-Huch R, Marincek B, and Pfammatter T. Acute mesenteric ischemia caused by spontaneous isolated dissection of the superior mesenteric artery: treatment by percutaneous stent placement. Eur Radiol. 2000;10:1916-1919.
- Casella IB, Bosch MA, Sousa Jr, WO. Isolated spontaneous dissection of the superior mesenteric artery treated by percuatneous stent: case report. J Vasc Surg. 2008;47(1):197-200.
- Lim EH, Jung SW, Lee SH, et al. Endovascular management for isolated spontaneous dissection of the superior mesenteric artery: report of two cases and literature review. J Vasc Interv Radiol. 2011;22(8):1206-1211.
- Cho B, Lee MS, Lee MK, et al. Treatment guidelines for isolated dissection of the superior mesenteric artery based on follow-up CT findings. In JL Cronenwett, KW Johnston, eds. 2010. Rutherford’s Vascular Surgery. Saunders, Philadelphia, Pennsylvania. 2010, p. 2448.


