Streamliner Multilayer Flow Modulator for Thoracoabdominal Aortic Pathologies: Recommendations for Revision of Indications and Contraindications for Use
Abstract
The Streamliner Aortic Multilayer flow modulator (SMFM) proposes a physiological solution rather than a physical barrier for treatment of the aortic wall through its four-dimensional mechanism. The purpose of this review is to evaluate the current aortic SMFM indications for use and construct new clinical recommendations, based on outcomes from a global registry and evidence gathered from published literature. The MFM Global Registry was formed for the purpose of understanding the outcomes of thoracoabdominal aortic pathology patients managed by the SMFM. Our published data and prospective analysis have confirmed the superiority of the SMFM in managing aortic dissection, saccular aneurysms, and patients who had a previous aortic intervention, regardless of the method of intervention. Conversely, thoracoabdominal aortic aneurysms (TAAAs) with a diameter >6.5 cm, aortas lined with eccentric thrombus (ie, shaggy aortas), and patients with a history of or active malignancy or myeloproliferative disorders, are an absolute contraindication to the use of this flow-laminating technology. To date, poor outcomes from the MFM Global Registry are almost invariably explained by a lack of appreciation of the device’s limitations and its application outside its instructions for use. Care is always required when diffusing innovation into modern clinical practice, particularly when the innovation is a complete departure from existing technologies. We must be adaptable and flexible, and change our practice according to the dictates of scientific evidence. This practice includes outright restriction to firm contraindications and widespread use in indicated complex pathologies.
VASCULAR DISEASE MANAGEMENT 2017;14(4):E90-E99.
Key words: Multilayer flow modulator, indications, contraindications, thoracoabdominal, aneurysm, dissection
__________________________________________________________________________
The Streamliner Aortic Multilayer Flow Modulator (SMFM; Cardiatis) (Figure 1) is an endovascular, multilayered, cobalt-alloy, bare-metal stent-graft. The four-dimensional nature of the SMFM utilizes time as its fourth dimension. Its novel design comprises multiple interlocked layers of cobalt metal wire, braided together to create a mesh. It utilizes the innate physiological mechanism of the body to modulate and physiologically manage the aortic aneurysm sac rather than excluding it by traditional methods. This mesh design alters blood flow from turbulent to laminar as it permeates through to the aneurysm sac, inducing positive shear stresses along the aortic wall, which promotes endothelialization and thrombosis of the aneurysm.
This device differs from conventional endoluminal grafts given that it does not exclude blood flow due to its porosity and permeability; rather, its design alters the rate and direction of blood flow. Native branch arteries would normally become occluded by a covered endoluminal graft, and require branches or fenestration to maintain visceral and spinal perfusion.1 The SMFM allows blood to flow through the mesh wall into native branch arteries, negating the need for surgical branches or fenestration.
The SMFM has been used in the management of aneurysms in the aorta and in visceral and peripheral arteries.2-15 It has generated much scepticism, fueled by reports of rupture after device implantation.16-18 However, there have been positive reports, especially in larger series.12,19 Level-one evidence for the safety of SMFM has affirmed that when it is used in accordance with the Instructions For Use (IFU), the outcome is superior to any available technology during their short-term follow-up.20
The MFM Registry is a global registry, formed for the purpose of understanding the outcomes of patients treated for thoracoabdominal aortic pathology with the SMFM. The registry is collecting demographic, morphological, procedural, and follow-up data on patients treated with the SMFM. The device is currently approved in many countries with Conformité Européenne (CE) marking. It is to date not approved for use in the United States.
The purpose of this review is to evaluate the SMFM manufacturer’s IFU and make recommendations toward the revision of the indications and contraindications for use, based on outcomes from the Global Registry and evidence gathered from published literature.
Instructions for Use
The SMFM is indicated for the endovascular treatment of patients with thoracoabdominal aortic pathology. These indications include an aortic aneurysm or dissection involving any number of supraaortic or visceral branches, patients at high surgical risk, and morphology unsuitable for contemporary endograft repair. The basic morphology required to deploy the SMFM includes:
- adequate iliac/femoral arterial access compatible with the required delivery system;
- non-aneurysmal aortic segment proximal and distal to the diseased portion of aorta, with a lumen diameter at least 20% smaller than, and consistent with, the available diameter of 20-45 mm SMFM; and
- non-aneurysmal aortic segment with proximal and distal landing zones of at least 20 mm.
Contraindications to deploy the SMFM include:
- inadequate arterial access (due to tortuosity, calcifications, occlusion);
- absence of healthy landing zone;
- ruptured aneurysm;
- aortic root aneurysm;
- the use of the SMFM is contraindicated with stent-graft devices and previously implanted stent-grafts;
- aortic dissection;
- presence/suspicion of infection (eg, mycotic aneurysm);
- presence/suspicion of connective tissue disorders (eg, Marfan syndrome, Ehlers Danlos syndrome, Loeys-Dietz syndrome);
- patient undergoing chemotherapy treatment;
- history of coagulation problems;
- shaggy aorta;
- Takayasu’s arteritis;
- patients who cannot tolerate contrast agents;
- arteriovenous fistula;
- pregnant or breastfeeding woman;
- persons aged 18 and under; and
- pleural effusion.
SMFM Implantation Strategy
It is recommended to size the diameter of the flow modulator 20%-25% to the diameter of the target vessel. Prior to a procedure with the SMFM, a preoperative computerized tomographic angiography (CTA) scan in DICOM format (maximum 6 months prior) is performed. The CTA scan is then analyzed for sizing recommendation (diameter and length). When branches such as the left subclavian artery, left common carotid artery, brachiocephalic artery, renal arteries, celiac trunk, and superior mesenteric arteries are to be covered by the SMFM, the operator must verify that there is no stenosis, calcification, or thrombus on the preoperative CTA. If there is stenosis, calcification, or thrombus present, angioplasty and/or stenting of the branch should be carried out 2 to 4 weeks in advance of SMFM deployment.
When overlapping different diameter devices, the device with the smaller diameter must be deployed first, and then the larger diameter should be placed so as to overlap within the smaller diameter SMFM. It is advisable not to have SMFMs overlapping in curved areas to minimize failure mode I (endoleak type Ia and type Ib) and failure mode II (endoleak type III). Six centimeters is the minimum recommended overlap, but 8 cm is recommended in severe tortuosity of the aorta. During deployment, the SMFM must be in contact with at least one side of the wall and the device must be deployed using a process called “endo-quilting.” This deployment technique involves a firm, slow, and sustained release mechanism with forward traction. This technique avoids SMFM foreshortening and maximizes device alignment along the aortic wall. A postoperative CT scan or magnetic resonance imaging (MRI) should be carried out before patient discharge to check for failure mode I or II, and treat it as soon as possible.
Recommendations based on findings of the Global Registry
We have previously outlined patient cases that were contraindicated to SMFM implantation.20 In these patients, the SMFM did not perform as well as expected. These contraindications included: insufficient numbers of stents; undersizing; inadequate landing zones; failure to land from normal aorta to normal aorta; peripheral, visceral, and spinal branch stenosis; previous repair; mycotic lesions; and rupture. In this series, 10 patients presented with aortic rupture, and all died after SMFM implantation; in 4 cases, the rupture was associated with superior mesenteric artery (SMA) thrombosis, 2 occurred in mycotic aneurysms, and 2 had previous SMA angioplasty. All these cases were done outside the IFU and on compassionate grounds due to patient comorbidity and the lack of alternative treatment options that were as minimally invasive as the SMFM.
Aortic dissection. At present, aortic dissection is contraindicated for use with the SMFM. However, because there is no dedicated treatment for aortic dissection, the SMFM has now been investigated. Studies by the Global Registry, using morphological analyses,21,22 show that the SMFM promoted dissection remodeling by a reduction in longitudinal length of the dissected aorta, and a reduction in false lumen volume. Technical success was 97.4%, with 84.2% of procedures completed through a single groin approach. A mean of 1.96 ± 0.95 devices were deployed per patient and a mean of 3.87 ± 2.16 branches were covered per patient. Proximal landing zones ranged from zone 0 to zone 4, with distal landing zones varying from zone 4 to zone 10. A statistically significant reduction in false lumen index (P=.02) at 12 months, and increase in true lumen volume (P=.05) confirmed dissection remodeling. All-cause survival was 85.3%. Twelve-month freedom from neurological events was 100%, and there were no incidences of end-organ ischemia, paraplegia, or renal insult. The SMFM offers immense promise in the treatment of complicated pan-aortic dissection.
Chocron et al23 used the SMFM in the management of a Stanford type b dissection in a male patient with a previous aortic repair, which involved replacement of the ascending aorta extending to the aortic arch, with re-implantation of the innominate artery in a 30 mm tube-graft. An SMFM was subsequently used to treat a type b dissection 4 years later. CT scan performed 3 months after SMFM deployment showed that the thoracic false lumen was no longer patent.
We focused on the natural history of chronic symptomatic aortic dissection (CSAD) and need for the SMFM technology at our Global Registry. As we understand, an aggressive approach to intervention is driven by evidence that the majority of patients will fail medical therapy over time. Patients who undergo aortic intervention have a survival advantage over those treated with medical management alone.24,25
Published data have shown that patients who have complete thrombosis of the false lumen have superior survival versus patients with a fully patent false lumen who did not have a stent-graft.26,27 Partial false lumen, retrograde dissection, and extension to abdominal aorta are associated with worse outcomes.27 A double-digit rule exists that predicts poor outcome: false lumen >22 mm; estimated glomerular filtration rate <33 mL/min/1.73 m2; total aortic diameter >44 mm; and patient age >55 years. The SMFM technology bypasses all of these restrictions.
Advancing chronicity increases the complexity of CSAD, even when treated with the SMFM, due to increased septal rigidity and false lumen aneurysmal expansion. Multiple adjunctive procedures are necessary as there is no clear endpoint in therapy defined for patients with residual false lumen flow.
We examined the off-label use of the SMFM in patients for whom alternative treatment options, such as fenestration and branched aortic endografting or open surgical repair, were not feasible or available for the treatment of CSAD. We learned that we must equalize diastolic pressure between the true and false lumen, to enhance side-branch perfusion. The most crucial points in management of dissection are to stabilize the aortic wall along its entire length and to induce spiral flow from the sinotubular junction to the aortoiliac bifurcation. When applying such concepts, we return elastic recoil to the aorta and augment flow to the spinal cord, brain, and visceral branches.
The SMFM has a better patient risk/benefit ratio and improves quality of life without paraplegia or renal failure. It is particularly useful in “no-option patients,” with safety, simplicity, consistency, and reproducibility far superior to other existing technologies for aortic dissection.
Saccular aneurysms. The Global Registry conducted a computational study, investigating the use of the SMFM in aortic arch repair (the STAR study).28 Investigated cases included both fusiform and saccular aneurysms and patient-specific computational models of isolated aortic arch, and thoracoabdominal aortic arch aneurysms (Crawford type I). Various simulations of SMFM positioning and overlapping of 2 or more stents were conducted to determine the optimum deployment method that would ultimately lead to aneurysm sac stabilization and/or reduction in diameter, length, and volume.
Correct placement of the SMFM reduced the dynamic pressure on the aortic wall, while multiple overlapping of SMFMs increased distal perfusion. Overlapping of devices induced enhanced remodeling of the aortic arch, encouraged flow lamination recirculation, and reduced the saccular volume. These results affirmed the need for improved preoperative planning, in particular, SMFM sizing relative to the target artery size, adequate overlapping regions, and precise device deployment to avoid foreshortening or collapse.
Previous repair. Patients with previous repair are not currently indicated for use with the SMFM because it requires adequate landing zones, from normal healthy aorta to normal healthy aorta. However, initial results from the Global Registry show that the SMFM does perform well in patients with previous aortic repair, such as thoracic endovascular aortic repair (TEVAR), abdominal endovascular repair (EVAR), and open surgical repairs (OSR).29-31 Morphological analysis of patient pathologies demonstrated a reduction in the mean maximum aortic aneurysm transverse diameter of 1.6 cm (23.3%) in 36 months, an increase in mean total aneurysm length of 5.3 cm (29.8%), and a corresponding increase in total aortic aneurysm volume of 122.6 cm3 (29.1%). Aneurysm thrombus volume decreased by 48.1 cm3 (21.6%), while residual aneurysm flow volume increased by 172.6 cm3 (87%). A statistically significant increase in residual aneurysm flow volume of 344.6 cm3 (325.2%; P=.046) between 18 and 24 months furthermore confirmed aneurysm remodeling. All-cause survival was 83.9% (95% confidence interval, 69.4%-98.3%) at 12 months, with 7 patient deaths (14.3%) reported during the initial 12-month period. Aortic-related survival was 100% at 18 months.
Debing et al15 studied complex aortic aneurysms treated with the SMFM. The analysis included 3 patients with a previous repair within the cohort of 6 patients. Indications in these 3 patients included: an aortic arch aneurysm, post-Bentall procedure; a Crawford type III TAAA in a patient who was previously treated via OSR for an infrarenal abdominal aortic aneurysm (AAA); and a juxtarenal AAA in a patient who had a previous OSR for a ruptured infrarenal AAA. Unfortunately, the author did not discern the data for those who had a previous repair from those who were treated with the SMFM as a primary intervention. One patient died on the third postoperative day due to aneurysm rupture. Four aneurysms were completely thrombosed between 1 and 6 months after the procedure. Patency was 100% for all branches covered by the device. At 6 months, the sac volume was decreased in 2 patients, increased in 2 patients, and remained stable in 1 patient. There were no stent migrations, retractions, thrombosis, fractures, or re-interventions.
Chocron et al23 used the SMFM in the management of a Stanford type b dissection in a male patient with previous repair of the aortic arch, with positive results. Giovanni et al32 described their successful intervention using a combined repair approach of a hybrid treatment and the SMFM to treat a type II asymptomatic thoracoabdominal aneurysm. They performed a combined repair consisting of debranching of the supraaortic vessels, followed by TEVAR (10 days later) with a combined custom-made thoracic endoprosthesis and SMFM. No postoperative complications were observed. The patient was reported as surviving 24 months after discharge, and all collateral vessels arising from the aneurysm were patent. There was also an observed decrease in total aneurysm volume and flow volume, and an increase in thrombus volume.
These positive initial results provide evidence that the SMFM does, in fact, work well when implanted concomitantly with a covered endovascular stent-graft. It may act as an extension of a TEVAR, as it can cover arch or visceral arteries without fear of arterial occlusion, end-organ ischemia, paraplegia, and stroke. Cases that involve both a traditional endovascular stent-graft and the SMFM should be considered very carefully and analyzed on a case-by-case basis.
Thoracoabdominal aortic aneurysms. The SMFM is currently indicated for use in the treatment of TAAA. There are a sizeable number of positive results concerning its use in TAAAs reported in the literature.1,12-15,19,31 The Global Registry carried out a combined analysis of 55 patients with TAAA and type b dissections.14 The pathologies included 31 TAAAs (8 Crawford type I, 3 type II, 9 type III, and 11 type IV), 7 arch aneurysms, 3 infrarenal AAAs, 8 suprarenal aortic aneurysms, and 6 type B dissections. At 1 year, aneurysm-related survival was 93.7%, all-cause survival was 84.8%, intervention-free survival was 92.4%, and all of the 202 side branches were patent. There were no stent fractures. At 6 months, the mean rate of sac volume increase was 0.36% per month, resulting in a mean volume increase of 2.14%. At 12 months, the rate of increase had slowed to 0.28% per month, resulting in a total average increase in sac volume of 3.26%. The ratio of thrombus to total volume stayed almost constant over the 12 months at 0.48, while the ratio of flow to total volume fell from 0.21 to 0.12 at 12 months.
The registry previously reported results for 103 cases treated with the SMFM.33 These included 75 Crawford TAAAs (11 type I, 14 type II, 26 type III, and 24 type IV), 7 arch aneurysms, 15 suprarenal aortic aneurysms, and 6 type B dissections. Aneurysm-related survival was 91.7% at 1 year and no ruptures occurred. At 12 months, 95.1% of all visceral branches were patent. Results showed that increasing sac volume, thrombus, and diameter size were not associated with rupture. The registry also analyzed 172 TAAA cases (11 Crawford type II, 9 type III, and 6 type IV).13 Results showed no deaths at 6 months, no incidents of paraplegia, and no loss of visceral branches. Mean sac volume decreased by 8 %, with a 14% reduction in lumen volume.
Further analysis by the registry,13,14,29-31,33,34 shows that the use of the SMFM device under strict IFU benefits the patients with complex TAAA. However, there are exceptions, such as the case of an arch aneurysm with a volume greater than 400 cm3, which was treated on compassionate grounds.28 Based on an “extreme” case, it may be prudent to identify upper-threshold values for a combination of aortic arch aneurysm parameters. Caution is required when treating aneurysms with a length >20 cm, and an aneurysm volume >400 cm3. Aneurysms greater than this size have considerable adventitial elastolysis, which renders innate wall repair highly challenging.28 This finding may represent the upper clinical limit of using this device, which to date, has not been established.
The Global Registry used computational fluid dynamics (CFDs) to analyze patient-specific models of thoracic aortic arch aneurysms successfully treated with the SMFM. CFD showed increased flow through the brachiocephalic trunk, left carotid artery, and left subclavian artery by 24%, 11% and 26%, respectively, after implantation of the SMFM. Examination of aortic wall pressure showed a decrease of 32% after SMFM implantation.28
According to Polydorou et al,7 the SMFM is efficacious in treating aneurysms. However, the authors question the amount of time needed to exclude aneurysms in large arteries such as the thoracic and abdominal aorta. They postulated that this was related to the number and size of the branches within the aneurysm as well as the size of the target vessel itself.
Henry et al8 discussed their experience treating 18 thoracoabdominal aneurysms (10 TAAAs, 8 AAAs) with the SMFM. There were no complications or deaths at 30 days. Long-term follow-up (8 ± 7 months) demonstrated aneurysm-related survival to be 100%, and they reported 100% patency of all side branches, as well as a significant reduction in mean diameter reduction at 6 months.
Sfyroeras et al35 conducted a systematic review of the literature and identified 43 patients with abdominal and thoracoabdominal aneurysms treated with the SMFM. Thrombosis was achieved in all aneurysms. Volume reduction was observed and no branch vessel occlusion occurred. Better results regarding aneurysm thrombosis, reduction of the volume, and patency of collateral branches were reported at 12 months rather than at 6 months post operation. No aneurysm rupture occurred.
Vaislic et al12 reported their experience in treating patients with Crawford type II and type III thoracoabdominal aneurysms using the SMFM. There were no incidences of aneurysm rupture during the 1-year follow-up period. Three-year follow-up demonstrated aneurysm stabilization in 9 out of 11 patients, while mean ratio of aneurysm flow volume to total volume decreased by 83%.19
Tolva et al36 described a case of a 57-year-old female presented with a 58 mm thoracoabdominal aortic aneurysm. Three SMFM stents were subsequently implanted. Twenty-month CT scan follow-up showed complete exclusion of the TAAA, with normal patency of visceral vessels.
Bozzani et al37 used an SMFM in a 68-year-old male with an 18 mm blister-like aneurysm of the descending thoracic aorta, complicated by the thrombosis of a previous aorto-bi-iliac prosthesis. The postoperative period was uneventful and the 6-month CT scan showed complete thrombosis and remodeling of the aneurysm.
Pane et al38 examined 8 patients treated with the SMFM. Four patients presented with an aortic aneurysm (2 type II TAAAs, 1 type IV TAAA, and 1 juxtarenal abdominal aortic aneurysm), and 4 patients with an aneurysm involving the common iliac artery. Results showed no 30-day mortality or major complications. Mean follow-up was 22.1 months, survival rate was 87.5%, and 1 case of death unrelated to SMFM treatment was reported. During follow-up, SMFM and collateral vessel patency was observed in all cases. Volume analysis showed a slight increase and an overall trend of increase in thrombosis in all cases.
Natrella et al39 published a case report of an 81-year-old man with a juxtarenal aneurysm treated successfully with an SMFM. Twelve-month follow-up showed excellent stent and visceral artery patency and progressive reduction in the sac diameter and volume.
Infectious aneurysms. Currently, patients with infectious aortas that are aneurysmal or dissected are contraindicated for use with the SMFM. Benjelloun et al41 reported the case of a 16-year-old girl treated 4 years previously for a ruptured AAA of tuberculous origin. The girl presented with 4 rapidly evolving saccular aneurysms of the descending thoracic aorta and a fusiform aneurysm of the suprarenal aorta. An endovascular solution was chosen after the patient refused open surgery. Three SMFM stents were successively implanted despite being contraindicated in infectious aneurysms.
Flis et al9 described their experience with treating a primary infected juxtarenal aortic aneurysm with the SMFM. Follow-up imaging showed persistent aneurysm shrinkage of the sac until complete regression to a normal aortic configuration was seen at 1 year. At 24 months, the patient continued to do well, and there was no recurrence of infection.
Reijnen et al42 reported their successful treatment of an infected 56 mm saccular aneurysm of the aorta, located at the level of the SMA, with both renal arteries located within the aneurysm. At 18-month follow-up, the aneurysm was stable and mostly thrombosed, with adequate perfusion of the side branches and no signs of persistent infection.
Deaths After Implantation
There have been reports of death after implantation of the SMFM.16-18,43,44 In some cases, a definitive link between the SMFM and cause of death could not be established. Lazaris et al18 described an 82-year-old man who died 12 months post SMFM treatment for an anastomotic pseudoaneurysm. Antoniou et al16 reported another death in a TAAA patient.
Lowe et al17 reported that the SMFM devices failed to influence the natural history of TAAA and that 11 out of 14 patients were dead at 3-year follow-up. Deaths included 4 confirmed ruptures, 1 presumed rupture, and 1 confirmed dissection with rupture. Further investigation of this cohort highlighted a number of observations such as undersizing and inadequate overlap between devices. Ultimately, due to lack of experience, deployment of the SMFM in these cases was below standard.
Cavalcante et al43 described an experience of death after SMFM treatment of a type IV TAAA. They describe a 75-year-old woman who was admitted with an asymptomatic 62 mm TAAA. The patient was treated with the SMFM; after 4 months, a CT scan demonstrated stent patency and persistent flow in the aneurysm sac. Visceral branches were patent, without stenosis. Due to severe back pain, exploratory surgery was performed and showed severe visceral ischemia of the small and large colon, as well as the liver. The patient subsequently died as a result.
Ferrero et al44 reported their case of aortic arch rupture after multiple SMFMs were implanted to treat a TAAA. Three SMFMs were deployed from the aortic bifurcation to the origin of the subclavian artery. During the procedure, stent foreshortening occurred with loss of both central overlapping regions, and a fourth SMFM was deployed. However, during deployment, this SMFM retracted and dislocated with loss of proximal sealing. Finally, a fifth SMFM was deployed, covering the entire aortic arch and landing in the ascending aorta. The patient died on the day 5 post operation of hemorrhagic shock. Autopsy revealed a 6 cm tear of the aortic arch wall with a left hemothorax.
The above cases were all performed using the first-generation SMFM with minimal or no training in planning the approach or deployment. The devices were chosen with as little as 4%-8% oversizing, and 3-5 cm overlapping. In these cases, inappropriate sizing of the SMFM led to excessive foreshortening, Failure modes I and II, and a catastrophic clinical outcome as a result. There clearly are limitations to this device that must be respected when employing this technology.
Discussion
A consistent, reproducible, and clinically effective method to repair complex aortic pathologies has remained an unmet clinical need. Currently, there are no specific guidelines in place that dictate the type of technology that should be utilized from patient to patient, based on their specific comorbid status and anatomical needs. The mode of function of the SMFM is a complete departure from conventional repair of aortic pathology. The SMFM proposes a physiological solution rather than a physical barrier for treatment of the aortic wall. It restores the balance between wall strength and shear stress, and establishes an in vivo environment that can harness the body’s innate healing mechanisms, promoting controlled thrombosis formation and rapid endothelialization.
There have been mixed opinions on the use of the SMFM stent for treatment of TAAA, AAA, and aortic dissection. Initially, the SMFM was disseminated to the vascular community without the need for ardent operator knowledge. This resulted in improper use of the device in patients with multiple comorbidities, and in “no option” patients, who ultimately died due to another cause. Inadequate operator knowledge and improper use of the device outside of IFU have resulted in poor outcomes in some cases. The aim of the Global Registry is to examine each of the cases in greater detail, and identify how and why the SMFM was either successful or unsuccessful.
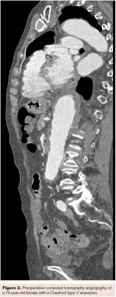
In the first patient-level meta-analysis of the SMFM, the authors established a 2.9% 30-day mortality rate with the SMFM when used in patients with complex thoracic aortic pathology. This outcome is superior to mortality demonstrated with other treatment modalities for similar pathology.31 Furthermore, there were no incidences of paraplegia, stroke, or renal failure. If the SMFM is used within the IFU, these outcomes persist with an aneurysm-related survival rate of 93.3% at 18 months.31 Figures 2-4 show a successful intervention in a 75-year-old female patient with a Crawford type V aneurysm. The patient was successfully treated with 3 SMFM devices.
With more evidence gathered by the Global Registry, new recommendations for the use of the SMFM can now be made (Tables 1-3). According to the IFU for the SMFM, the device requires oversizing of approximately 15%-25% relative to the diameter of the target vessel. This is dependant upon patient-specific aortic angulation and the particular pathology. The registry recommends a minimum 15% oversizing, and a maximum of 25% oversizing when the SMFM is used in TAAA, AAA, and aortic dissection. Oversizing is recommended to ensure there is adequate radial force of the device against the vessel wall, allowing the interstitials of the device to touch the wall. Undersizing, however, can lead to inadequate treatment of the zone in question, resulting in aneurysm expansion or endoleak between the SMFM and vessel.


Based on the results of the registry, aortic dissection should be a primary indication for use for the SMFM. Currently, IFU state that aortic dissection is a contraindication. However, positive morphological and survival results prove that the SMFM can now be strongly recommended for treatment of Stanford type b aortic dissection,21,22 with the caveat that use of the SMFM in aortic dissection is strictly on a case-by-case basis. The SMFM can be used at any point regardless of the chronicity of dissection, and its use is not dependant upon the number of visceral branches arising from false or true lumens or the thickness of the septum. However, if the dissection is associated with aneurysm, the sac diameter must be <6.5 cm for adequate modulation to take place. Additionally, patients with previous repair such as TEVAR or open repair were previously contraindicated for treatment with an SMFM. However, positive results are now emerging from the registry, as well as published reports in patients with previous repair.15,23,32
Technical success with this device is achieved if the SMFM is landed correctly, has adequate overlap between devices (should more than 1 device be deployed), and the device is adequately expanded, ie, the interstitials of the device are touching the vessel wall. These are assessed using completion angiography at the end of the procedure. In addition, another anecdotal tip that the authors have gained from deployment in 30 cases is that it is important to deploy the device slowly, to enable the SMFM to embed into the aortic wall and to offset the risk of foreshortening. With this in mind, preoperative planning using SMFM-specific software from EndoSize (Therenva SAS) is immensely valuable. It is recommended over other commercially available sizing software only because it has been specifically designed to inform accurate SMFM device size selection. It estimates the landing positions of various stent sizes within the specific patient anatomy.
Due to the infancy of SMFM treatment, it is essential that a close follow-up regime be strictly undertaken. This device should be followed up in a manner consistent with the treating physician. CTA is recommended at 1 month, 6 months, and 12 months post operation, and at yearly intervals thereafter. This is both to document the progression of the aneurysm treatment and to identify failure mode I and II, should migration occur due to foreshortening of the device. If an endoleak is left untreated, and the aneurysm expands to >6.8 cm, adventitial elastolysis will occur. If adventitial elastolysis does take place, no further intervention with the SMFM will be possible to salvage the situation.
From the registry’s experience in TAAA, we recommend that the SMFM must be contraindicated in patients with an aneurysm >6.5 cm in maximum transverse diameter. Large-volume aneurysms of >450 cm3 in pathologies such as Crawford type II, III, IV, and V should be labeled as a contraindication for use with the SMFM.29 The adventitial elastolysis that is associated with large aneurysms >6.5 cm in diameter or a volume >450 cm3 has a direct effect on the SMFM’s ability to remodel the aneurysm. It has also been noted that active malignancy renders patients hypercoagulable, and in these circumstances the SMFM is not recommended. In the current IFU, patients with a history of myeloproliferative disorders or coagulation problems are deemed unsuitable for the SMFM.
Based on results from the Global Registry, questions must now be answered in relation to arterial tortuosity. Can the SMFM effectively treat patients whose aortic anatomy is highly contorted? The registry advises against placing overlapping SMFMs in curved areas. The registry enrolled a case of a highly tortuous aorta in 1 patient suffering from an aortic arch aneurysm. The patient was initially treated with 2 SMFMs extending from the proximal innominate artery to the origin of the SMA. Two months after the initial procedure, CT scan showed a failure mode I due to inadequate sealing in the region of overlap between the SMFMs, and this region was in an area of angulation. The patient had a re-intervention with a further SMFM as a result, which also proved unsuccessful due to the aortic angulation. The “birdbeaking” phenomenon occurred, whereby the inner curve of the SMFM failed to make contact with the aortic wall and therefore inhibited modulation.
Tortuosity, in turn, relates to compliance. The stiffer the graft, the greater its inability to adhere to the anatomy of the aorta. Morris et al34 investigated SMFM compliance when implanted in the abdominal aortic region. Five devices (SMFM, Endurant II, Excluder, Zenith, and Fortron) were tested under physiological flow conditions within a flow-simulator system. The simulator comprised a patient-specific, thin-walled, flexible AAA perfusion model with a replicated intraluminal thrombus, supported by the spinal column. The SMFM was found to be the most compliant in the suprarenal region, while the Fortron device was the most compliant in the infrarenal region. Therefore, choosing the most compliant devices for treating aortic pathologies produces positive gains in the aortic elastic recoil, thus minimizing the device-related complications.
Conclusion
The SMFM technology has the ability to safely treat thoracoabdominal pathology including aneurysm and dissection. Studies highlight the positive use of the SMFM in patients with a previous aortic repair, as well as in patients with infectious aneurysms. These results, while positive, should be used in the context of operator adherence to strict deployment rules. Deaths after implantation of the SMFM ultimately resulted from lack of experience, inadequate overlapping of devices, and foreshortening.
The SMFM is a novel flow-modulating technology that has yet to undergo rigorous clinical trial assessment. More contemporary approaches arise from the diffusion of innovation into modern clinical practice. This review underscored that poor outcomes were invariably explained by a lack of appreciation of the device’s limitations and its application outside its IFU. Randomized clinical trials, registries, and continued assessment are essential before this flow-modulating technology can be widely disseminated.
Acknowledgments. Our thanks to the Global MFM collaborators: Ivo Petrov, Lachezar Grozdinski, Rainer Moosdorf, Ernö Remsey-Semmelweis, Klaus Mathias, Sidney Chocron, and Mohamed Nadjib Bouayad.
This paper/research is supported by the Competitiveness Operational Programme 2014-2020, financed from European Regional Development Fund and by the Romanian Government under the project, “Next-generation computer-aided research in cardiovascular disease management – NextCARDIO,” project code: COP P_37_701.
Disclosure: The authors have completed and returned the ICMJE Form for Disclosure of Potential Conflicts of Interest. The authors report no conflicts of interest regarding the content herein.
Manuscript submitted December 22, 2016, provisional acceptance given February 13, 2017, final version accepted February 24, 2017.
Address for correspondence: Prof Sherif Sultan, MCh, MD, FRCS, FACS, PhD, Galway Clinic, Vascular & Endovascular Surgery, Suite 24, Doughiska, Galway, Galway IRL, Ireland. Email: sherif.sultan@hse.ie
References
- Lioupis C, Corriveau MM, Mackenzie KS, et al. Paraplegia prevention branches: a new adjunct for preventing or treating spinal cord injury after endovascular repair of thoracoabdominal aneurysms. J Vasc Surg. 2011;54:252-257.
- Henry M, Polydorou A, Frid N, et al. Treatment of renal artery aneurysm with the Multilayer stent. J Endovasc Ther. 2008;15:231-236.
- Meyer C, Verrel F, Weyer G, et al. Endovascular management of complex renal artery aneurysms using the Multilayer stent. Cardiovasc Intervent Radiol. 2011;34:637-641.
- Sultan S, Alawy MB, Flaherty R, et al. Endovascular management of renal artery aneurysms using the Multilayer flow modulator. Open Heart. 2016:3;p.e000320.
- Ferrero E, Ferri M, Viazzo A, et al. Visceral artery aneurysms, an experience on 32 cases in a single center: treatment from surgery to Multilayer stent. Ann Vasc Surg. 2011;25:923-935.
- Balderi A, Antonietti A, Pedrazzini F, et al. Treatment of visceral aneurysm using Multilayer stent: two-year follow-up results in five consecutive patients. Cardiovasc Intervent Radiol. 2013;36:1256-1261.
- Polydorou A, Henry M, Bellenis I, et al. Endovascular treatment of aneurysm with side branches – a simple method. Myth or reality? Hospital Chronicles. 2010;5.
- Henry M, Benjelloun A, Henry I, Wheatley G. The Multilayer flow modulator stent for the treatment of arterial aneurysms. J Cardiovasc Surg (Torino). 2013;54:763-783.
- Flis V, Matela J, Breznik S, Kobilica N. Treatment of primary infected juxtarenal aortic aneurysm with the Multilayer stent. Vasc Endovascular Surg. 2013;47:561-565.
- Ruffino MA, Rabbia C. Endovascular repair of peripheral and visceral aneurysms with the Cardiatis Multilayer flow modulator: one-year results from the Italian multicenter registry. J Endovasc Ther. 2012;19:599-610.
- Antoniou GA, Schiro A, Smyth JV, et al. Multilayer stent in the treatment of popliteal artery aneurysms. Vasa. 2012;41:383-387.
- Vaislic CD, Fabiani JN, Chocron S, et al. One-year outcomes following repair of thoracoabdominal aneurysms with the Multilayer flow modulator: report from the STRATO trial. J Endovasc Ther. 2014;21:85-95.
- Sultan S, Hynes N. Disruptive endovascular technology with Multilayer flow modulator stents as a therapeutic option in the management of thoracoabdominal aortic aneurysms. Early results from the global independent MFM Registry. It J Vasc Endovasc Surg. 2012;19:215-228.
- Sultan S, Hynes N. One-year results of the Multilayer flow modulator stent in the management of thoracoabdominal aortic aneurysms and type B dissections. J Endovasc Ther. 2013;20:366-377.
- Debing E, Aerden D, Gallala S, et al. Stenting complex aorta aneurysms with the Cardiatis Multilayer flow modulator: first impressions. Eur J Vasc Endovasc Surg. 2014;47:604-608.
- Antoniou GA, Papas TT, Ioannis M, et al. Aortic aneurysm rupture following treatment with flow-diverting Multilayer stents. J Endovasc Ther. 2013;20:872-874.
- Lowe C, Worthington A, Serracino-Inglott F, et al. Multi-layer flow-modulating stents for thoraco-abdominal and peri-renal aneurysms: the UK pilot study. Eur J Vasc Endovasc Surg. 2016;51:225-231.
- Lazaris AM, Maheras AN, Vasdekis SN. A Multilayer stent in the aorta may not seal the aneurysm, thereby leading to rupture. J Vasc Surg. 2012;56:829-931.
- Vaislic CD, Fabiani JN, Chocron S, et al. Three-year outcomes with the Multilayer flow modulator for repair of thoracoabdominal aneurysms: a follow-up report from the STRATO trial. J Endovasc Ther. 2016;23:762-772.
- Sultan S, Hynes N, Sultan M, MFM Collaborators. When not to implant the Multilayer flow modulator: lessons learned from application outside the indications for use in patients with thoracoabdominal pathologies. J Endovasc Ther. 2014;21:96-112.
- Sultan S, Kavanagh EP, Stefanov F, et al. Endovascular management of chronic symptomatic aortic dissection with the Streamliner Multilayer Flow Modulator: twelve-month outcomes from the global registry. J Vasc Surg. 2017;65:940-50.
- Stefanov F, Sultan S, Morris L, et al. Computational fluid analysis of symptomatic chronic type B aortic dissections managed with the Streamliner Multilayer flow modulator. J Vasc Surg. 2017;65:951-963.
- Chocron S, Vaislic C, Kaili D, Bonneville JF. Multilayer stents in the treatment of thoraco-abdominal residual type B dissection. Interact Cardiovasc Thorac Surg. 2011;12:1057-1059.
- Geropapas G, Galyfos G, Stefanidis I, et al. Acute type B aortic dissection: update on proper management. J Acute Dis. 2014;3:258-264.
- Moulakakis KG, Mylonas SN, Dalainas I, et al. Management of complicated and uncomplicated acute type B dissection. A systematic review and meta-analysis. Ann Cardiothorac Surg. 2014;3:234-246.
- Trimarchi S, Tolenaar JL, Jonker FH, et al. Importance of false lumen thrombosis in type B aortic dissection prognosis. J Thorac Cardiovasc Surg. 2013 31;145:S208-212.
- Tolenaar JL, Eagle KA, Jonker FH, et al. Partial thrombosis of the false lumen influences aortic growth in type B dissection. Ann Cardiothorac Surg. 2014;3:275-277.
- Stefanov F, Morris L, Elhelali A, et al. Insights from complex aortic surgery with a Streamliner device for aortic arch repair (STAR). J Thorac Cardiovasc Surg. 2016;152:1309-1318.
- Sultan S, Kavanagh E, Stefanov F, et al. Streamliner Multilayer flow modulator stents as a therapeutic option in the management of complex thoraco-abdominal aortic pathology report from global SMFM registry. J Indian Coll Cardiol. 2016;6:77-84.
- Sultan S, Costache V, Elhelali A, et al. TCT-810 “The Phantom Streamlinear” as a therapeutic option in the management of total body thoraco-abdominal aortic pathology [TAAA]. Early results. J Am Coll Cardiol. 2015;66.
- Hynes N, Sultan S, Elhelali A, et al. Systematic review and patient-level meta-analysis of the Streamliner Multilayer flow modulator in the management of complex thoracoabdominal aortic pathology. J Endovasc Ther. 2016;23:501-512.
- Giovanni S, Bianca P, Gazzola V, et al. Combined repair using hybrid treatment and Multilayer flow modulator to treat a type A symptomatic thoracoabdominal aneurysm. Case Rep Surg. 2015.
- Sultan S, Sultan M, Hynes N. Early mid-term results of the first 103 cases of Multilayer flow modulator stent done under indication for use in the management of thoracoabdominal aortic pathology from the independent global MFM registry. J Cardiovasc Surg (Torino). 2014;55:21-32.
- Morris L, Stefanov F, Hynes N, et al. An experimental evaluation of device/arterial wall compliance mismatch for four stent-graft devices and a Multilayer flow modulator device for the treatment of abdominal aortic aneurysms. Eur J Vasc Endovasc Surg. 2016;51:44-55.
- Sfyroeras GS, Dalainas I, Giannakopoulos TG, et al. Flow-diverting stents for the treatment of arterial aneurysms. J Vasc Surg. 2012;56:839-846.
- 3Tolva VS, Bianchi PG, Cireni LV, et al. Multiple Multilayer stents for thoracoabdominal aortic aneurysm: a possible new tool for aortic endovascular surgery. Int J Gen Med. 2012;5:629-632.
- Bozzani A, Arici V, Bonalumi G, Argenteri, A. Descending thoracic aorta remodeling after Multilayer stent release. Ann Vasc Surg. 2015;29:1018.e9-1018.e11.
- Pane B, Spinella G, Perfumo C, Palombo D. A single-center experience of aortic and iliac artery aneurysm treated with Multilayer flow modulator. Ann Vasc Surg. 2016;30:166-174.
- Natrella M, Castagnola M, Navarretta F, et al. Treatment of juxtarenal aortic aneurysm with the Multilayer stent. J Endovasc Ther. 2012;19:121-124.
- Angiletta D, Maiellaro L, Marinazzo D, et al. Endovascular management of type Ib endoleak complicating a juxtarenal aortic aneurysm previously treated with a Multilayer stent. Ann Vasc Surg. 2014;28:1799.e9-1799.e13.
- Benjelloun A, Henry M, Ghannam A, et al. Endovascular treatment of a tuberculous thoracoabdominal aneurysm with the Multilayer stent. J Endovasc Ther. 2012;19:115-120.
- Reijnen MM, van Sterkenburg SM. Treatment of a salmonella-induced rapidly expanding aortic pseudoaneurysm involving the visceral arteries using the Cardiatis Multilayer stent. J Vasc Surg. 2014;60:1056-1058.
- Cavalcante RN, Nishinari K, Yazbek G, et al. Severe visceral ischemia and death after Multilayer stent deployment for the treatment of a thoracoabdominal aortic aneurysm. J Vasc Surg. 2015;62:1632-1635.
- Ferrero E, Gibello L, Ferri M, et al. Aortic arch rupture after multiple Multilayer stent treatment of a thoracoabdominal aneurysm. J Vasc Surg. 2014;60:1348-1352.


