Rapid Endovascular Control of Hemorrhage Secondary to Malignant Carotid Erosion with Airway Compromise
Abstract
Purpose. Two cases of exsanguinating cervical hemorrhage with sudden airway compromise secondary to recurrent tumor erosion into the left common carotid artery treated expeditiously (<30 minutes) with covered stent placement are presented. Materials and methods. A 41-year-old male patient with previous history of chemoradiation therapy followed by transhiatal esophagectomy for squamous cell cancer approximately 6 months prior presented with massive pharyngeal and left cervical hemorrhage from the site of a previously closed cutaneous fistula. He was intubated and taken to the OR where an iCast covered stent (Atrium Medical) was placed across the common carotid fistula at the thoracic inlet, controlling the hemorrhage. He was discharged home neurologically intact with arrangements to receive adjuvant radiotherapy 5 days later. A 65-year-old female patient with a prior history of treated laryngeal cancer including laryngectomy and radical neck dissection followed by radiation in February 2005 and partial glossectomy for recurrence in February 2007, presented to the ER with acute onset massive pharyngeal hemorrhage. Her airway was secured by intubation and she underwent placement of an iCast covered stent through a percutaneous transfemoral approach across the carotid fistula (low cervical), achieving control of the hemorrhage. She was then discharged home the following day neurologically intact with arrangements for adjuvant therapy. Results. Successful control of exsanguinating cervical hemorrhage with airway compromise from malignant carotid erosion was accomplished rapidly using covered stents placed percutaneously with excellent short-term recovery and no morbidity and mortality. Conclusion. Percutaneous endovascular placement of a covered stent across the carotid fistula is the preferred method for rapid control of exsanguinating hemorrhage with airway compromise in these cases of low cervical or intrathoracic malignant carotid erosion. Surgical approaches to the low cervical and intrathoracic carotid artery for emergency hemorrhage control remains a challenge fraught with significant morbidity.
VASCULAR DISEASE MANAGEMENT 2012;9(5):E71-E75
Key words: carotid artery, head and neck cancer, hemorrhage, carotid blowout, endovascular, palliative care, stenting
____________________________________________________
Although rare, carotid blowout is a dramatic and devastating complication for head and neck cancer patients and their families. Patients at risks are those with large tumor masses or metastases of the head and neck region, or those who have had previous disease treatment with major flap and/or neck dissection or radiation or chemotherapy. Clinical presentation can range from acute hemorrhage versus asymptomatic exposure of the carotid artery with threatened or impending blowout.1
Some patients with acute blowout do not survive long enough to receive treatment. Of those who make it to the hospital, the traditional surgical treatment is technically difficult and associated with high morbidity and mortality. Historically, emergency treatment has consisted of flow removal from the carotid. Open surgical techniques usually consist of ligation of the common carotid or internal carotid artery and endovascular techniques usually involve carotid occlusion. Both of these techniques can cause major neurologic comorbidities in approximately 60% of patients and mortality rates of 40%.2
Reconstructive endovascular therapy may offer a better option for treatment of impending or acute carotid blowout syndrome in patients who might not otherwise be a surgical candidate due to comorbidities. Two cases of exsanguinating hemorrhage with sudden airway compromise secondary to recurrent tumor erosion into the left common carotid artery treated expeditiously (<30 minutes) with covered stent placement are presented. The particular challenges of treating hemorrhage secondary to malignant carotid erosion are discussed and the clear superiority of endovascular repair emphasized.
Case Reports
Case Report 1. A 41-year-old male patient presented to the emergency department with massive pharyngeal and left neck hemorrhage. Approximately 6 months earlier, the patient had previously undergone chemoradiation therapy followed by transhiatal esophagectomy for squamous cell cancer. Now there was bleeding from the site of a previously closed cutaneous fistula. He was intubated in the emergency department and taken directly to the operating room.
Case Report 2. A 65-year-old female patient presented to the emergency department with acute onset of massive pharyngeal hemorrhage. Her history was remarkable for prior treatment of laryngeal cancer. She had a laryngectomy and radical neck dissection followed by radiation in February 2005 and then partial glossectomy for recurrence in February 2007. Her airway was secured by intubation in the emergency department. She was taken emergently to the operating room.
Interventional Management
In the operating room, both groins were sterilely prepped and draped while pressure was applied over the area of hemorrhage in the neck. The right femoral artery was then percutaneously cannulated using Seldinger technique and a 6 Fr short sheath was placed. An angled glidewire was then passed to the level of the aortic arch under fluoroscopic guidance and exchanged for a pigtail catheter. A 30° left anterior oblique aortic arch angiography was performed. This revealed patent innominate left common carotid and left subclavian arteries. The pigtail catheter was exchanged for a vertebral catheter, which was guided in from the left external carotid artery. The glidewire was then removed and a stiff exchange Amplatz guidewire (Boston Scientific) was placed, followed by removal of the vertebral catheter and the 6 Fr short sheath. A 6 Fr Shuttle Select sheath (Cook) was then placed in the left common carotid artery. Selective left carotid and bifurcation angiographic views were obtained.
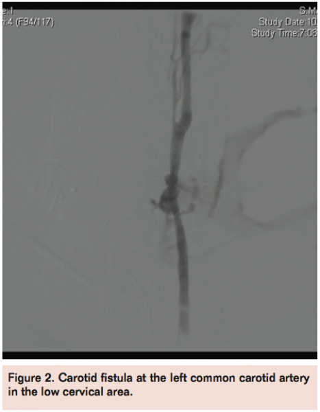
For the male patient, extravasation was visualized at the left common carotid artery at the thoracic inlet (Figure 1). For the female patient, carotid fistula was visualized at the left common carotid artery in the low cervical area (Figure 2).
In both cases, an iCast covered stent (Atrium Medical) (no cerebral protection used) was deployed across the common carotid at the area of extravasation. The hemorrhage was controlled. Completion left carotid angiography was performed and revealed widely patent left carotid stent with free flow of contrast noted intracranially (Figures 3 and 4). Intracranial views confirmed free flow of contrast without evidence of large-vessel intracranial obstruction. The procedure was then completed and the wire and sheath removed, followed by deployment of a 6 Fr Angio-Seal device (St. Jude Medical) achieving hemostasis. The patient was then taken to the recovery room.
The male patient was then discharged home 5 days later neurologically intact with arrangements to receive adjuvant radiation therapy. The female patient was discharged home the following day neurologically intact with arrangements for adjuvant therapy.
Results
Successful control of exsanguinating cervical hemorrhage with airway compromise from malignant carotid erosion was accomplished rapidly using covered stents placed percutaneously. Both patients had excellent short-term recovery and no associated morbidity and mortality.
Discussion
Carotid blowout syndrome (CBS) was first described in 1962.3 It happens when damage has occurred to the carotid artery wall and weakening of the wall results in impending or acute bleeding from the disrupted vessel. It still remains a dreaded complication of head and neck cancer due to the associated high morbidity and mortality. CBS can occur as an acute episode of transoral or transcervical hemorrhage. Threatened blowout is defined as an artery being exposed. This can occur from wound dehiscence and without coverage by healthy vascularized tissue, the vessel will dry out and rupture will eventually occur. Impending blowout presents with intermittent episodes of acute hemorrhage from a pseudoaneurysm.1
Many factors have been implicated that damage the arterial wall. Factors include radiation therapy, radical operative resection, flap necrosis with carotid exposure, wound infection, pharyngocutaneous fistula, and recurrent or persistent carcinoma.4,5 Incidence of carotid rupture after radical neck dissection is 4.3%.6 When the arterial wall damage occurs, the artery will rupture if thrombosis of vasa vasorum occurs. Factors that contribute to thrombosis of the vasa vasorum include drying secondary to exposure, radiation, stripping of the sheath, and contact with saliva.6 Ischemic damage to the arterial wall is likely because the carotid artery receives 80% of blood supply from its adventitia.3 Radiation therapy-induced arterial injury was first studied in 1942 and subsequent experimental evidence suggests ionizing radiation produces high concentrations of free radicals that damage all layers of the arterial wall.7 Pseudoaneurysms form due to weakening of the wall.
Options of treatment for CBS vary and are dependent on the patient’s condition. Historically, you could provide adequate analgesia to a dying patient or perform immediate neck exploration and ligation of vessels. Perioperative management was complicated by hemodynamic instability, profound hypotension, global cerebral ischemia, consumptive coagulopathy, and extreme blood loss. Surgical revascularization was not possible because of time pressure, poor tissue quality, and hemodynamic instability. Thus surgical management was limited to carotid ligation. Major neurologic complications occurred due to failure of cerebral collateral reserve and thromboembolic phenomena caused by propagation of thrombus within the large intravascular dead space distal to the site of ligation.2
Endovascular techniques were introduced and occlusion using coil embolization was performed. Endovascular therapy, such as with permanent balloon occlusion of the diseased carotid artery, improved outcomes. However, as many as 15%-20% with CBS who were treated with permanent carotid occlusion experienced immediate or delayed cerebral ischemia,8 which highlights the limitations of endovascular occlusion therapy. Both surgery and endovascular occlusion present unacceptable morbidity rates.9
Poor outcomes have been improved by use of endovascular stenting techniques that repair/reconstruct vessels for blood flow of the internal carotid artery (ICA) or common carotid artery (CCA) rather than occluding flow through the artery. Stent grafting preserves the diseased carotid artery and achieves immediate hemostasis. Compared with surgical options such as autogenous tissue reconstruction, endovascular stent graft reconstruction is less invasive. It can be performed under local anesthesia if there is no airway compromise. No exploration is necessary in an irradiated neck region. Carotid stenting offers the potential to initiate anticoagulation therapy immediately with fewer risks. There is no interruption of carotid flow since there is no temporary or permanent occlusion or clamping of the artery. Therefore, the risk of cerebral ischemia is reduced. Endovascular stent techniques achieve immediate hemostasis and can be lifesaving. The 2 cases that were performed at our institution are examples where immediate reconstruction with endovascular stent graft for acute hemorrhage was lifesaving.
These 2 cases illustrate an endovascular approach for treating carotid hemorrhage with an endoprosthesis/balloon-expandable stent graft. In these cases a balloon-expandable stent graft (iCast, Atrium) was chosen. Other options are self-expanding covered stents. Self-expanding stents differ from balloon expandable in that they spontaneously expand once the containing delivery system is retracted. If properly oversized, secure fixation is immediately achieved within the vessel. If undersized for the vessel they are deployed in, they may not make adequate wall contact. Self-expanding stents cannot be overdilated to achieve secure fixation unless an oversized stent is placed within them. This limitation makes accurate size selection more critical than balloon-expandable stents. Self-expanding stents are more flexible and usually recommended in areas subject to significant motion, or potentially compressible locations such as in the internal carotid or popliteal arteries. In these 2 case presentations, precise placement and adequate fixation to cover the bleeding vessel was essential, which is why balloon-expandable stents were chosen.
Long-term patency is a limitation of endovascular carotid stent placement. The mean duration of stent graft patency is 3 ± 2.6 months.8 In CBS, the risk of thromboembolic complications is potentially high as no antiplatelet medication or heparinization is undertaken before stent deployment in the context of life-threatening hemorrhage.9 Appropriate antithrombotic medications are not always effective in acute or advanced clinical states due to the thrombogenic character of stent grafts and hypercoagulable state in cancer patients. Deployment of stent graft in contaminated field remains a controversial topic. It can result in infection and is a possible source for septic thrombosis of the carotid artery.10 Distal stenosis is a cause of recurrent vascular narrowing or occlusion after stent graft deployment as vascular remodeling occurs due to high radial force of self-expandable stent grafts.11,12,13
Conclusion
We presented 2 cases of head and neck patients with acute carotid blowout that were managed with endovascular placement of a covered stent. These interventions allowed preservation of the vessel, prevented death, and hospital discharge without any neurologic incidents.
Percutaneous endovascular placement of a covered stent across the carotid fistula is the preferred method for rapid control of exsanguinating hemorrhage with airway compromise in these cases of low cervical or intrathoracic malignant carotid erosion. Surgical approaches to the low cervical and intrathoracic carotid artery for emergency hemorrhage control remains a challenge fraught with significant morbidity.
Limitations of stent graft treatment in CBS are recognized, but the benefit of immediate hemostasis is undeniable in an acute hemorrhage situation. In a patient with a poor prognosis, the long-term complications may not be considered a limitation.
References
- Chaloupka JC, Putman CM, Citardi MJ, Ross DA, Sasaki CT. Endovascular therapy for the carotid blowout syndrome in head and neck surgical patients: diagnostic and managerial considerations. AJNR Am J Neuroradiol. 1996;17(5):843-852.
- Koutsimpelas D, Pitton M, Külkens C, Lippert BM, Mann WJ. Endovascular carotid reconstruction in palliative head and neck cancer patients with threatened carotid blowout presents a beneficial supportive care measure. J Palliat Med. 2008;11(5):784-789.
- Borsanyi SJ. Rupture of the carotids following radical neck surgery in irradiated patients. Eye Ear Nose Throat Mon. 1962;41:531-533.
- Citardi MJ, Chaloupka JC, Son YH, Ariyan S, Sasaki CT. Management of carotid artery rupture by monitored endovascular therapeutic occlusion (1988-1994). Laryngoscope. 1995;105(10):1086-1092.
- Chang FC, Lirng JF, Luo CB, et al. Carotid blowout syndrome in patients with head-and-neck cancers: reconstructive management by self-expandable stent-grafts. AJNR Am J Neuroradiol. 2007;28(1):181-188.
- Maran AG, Amin M, Wilson JA. Radical neck dissection: a 19-year experience. J Laryngol Otol. 1989;103(8):760-764.
- Francfort JW, Gallagher JF, Penman E, Fairman RM. Surgery for radiation-induced symptomatic carotid atherosclerosis. Ann Vasc Surg. 1989;3(1):14-19.
- Chang FC, Lirng JF, Luo CB, et al. Patients with head and neck cancers and associated postirradiated carotid blowout syndrome: endovascular therapeutic methods and outcomes. J Vasc Surg. 2008;47(5):936-945.
- Desuter G, Hammer F, Gardiner Q, et al. Carotid stenting for impending carotid blowout: suitable supportive care for head and neck cancer patients? Palliat Med. 2005;19(5):427-429.
- Chang FC, Lirng JF, Tai SK, Luo CB, Teng MM, Chang CY. Brain abscess formation: a delayed complication of carotid blowout syndrome treated by self-expandable stent-graft. AJNR Am J Neuroradiol. 2006;27(7):1543-1545.
- Gercken U, Lansky AJ, Bullesfeld L, et al. Results of the Jostent coronary stent graft implantation in various clinical settings: procedural and follow-up results. Cathet Cardiovasc Interv. 2002;56(3):353-360.
- Tanaka N, Martin JB, Tokunaga K, et al. Conformity of carotid stents with vascular anatomy: evaluation in carotid models. AJNR Am J Neuroradiol. 2004;25(4):604-607.
- Berkefeld J, Turowski B, Dietz A, et al. Recanalization results after carotid stent placement. AJNR Am J Neuroradiol. 2002;23(1):113-120.
_____________________________________________________
From the West Virginia University Medical Center, Morgantown, West Virginia.
Disclosure: The authors have completed and returned the ICMJE Form for Disclosure of Potential Conflicts of Interest. The authors report no conflicts of interest regarding the content herein.
Manuscript received October 6, 2011, provisional acceptance given November 3, 2011, final version accepted March 8, 2012.
Address for correspondence: Pamela M. Zimmerman, MD, West Virginia University, Department of Surgery, PO Box 9238, Morgantown, WV 26506, USA. Email: pzimmerman@hsc.wvu.edu


