Predictors of Major Adverse Anatomical Events After Elective Endovascular Abdominal Aortic Aneurysm Repair at a Tertiary Referral Center
Abstract
Objectives. We aim to identify the predictors for major adverse anatomical events (MAAE) post-EVAR. Methods. A retrospective observational study was conducted by analyzing the records of all the patients who had undergone EVAR for non-ruptured infra-renal abdominal aortic aneurysm (AAA) from January 2013 to March 2015 in our tertiary referral vascular center. Results. We analyzed the records of 103 patients based on our study objectives with the mean age of 74.43 ± 6.73 years (range: 62 to 90). Total incidence of MAAE was 12.5% (n=13). Thirty-day mortality was 1%. Type II endoleak incidence was 14.6% (n=15). The most common cause of mortality was related to malignancy (5.8%, n=6). Overall five-year survival was 87.4%. Five-year primary and secondary clinical success rates were 77.7 and 87.4%, respectively. Multivariate logistic regression analysis identified female gender (P=0.021), aneurysm maximum transverse diameter (P=0.010), shorter neck length (P=0.015), and iliac angulation (ipsilateral iliac angulation, P=0.019 and contralateral iliac angulation, P=0.045) to be significant predictors of MAAE. Conclusion. Although females are less likely to suffer from AAA, they seem to do worse with elective EVAR. Aneurysm maximum transverse diameter and hostile anatomy are strongly associated with the long-term development of endoleaks and device malfunction.
VASCULAR DISEASE MANAGEMENT 2020;17(10):E194-E202
Key words: Abdominal aortic aneurysm, endovascular aortic aneurysm repair, major adverse anatomical events
Introduction
Endovascular aortic aneurysm repair (EVAR) for abdominal aortic aneurysm (AAA) has seen a rapid increase in the last decades despite anatomical limitations. Anatomical considerations for EVAR represent the main factor in determining its feasibility. Neck angulation, length, shape (conical and reverse conical), inadequate distal landing zones, and femoral access all represent difficult challenges.1-3 The possibility of graft failure, migration, and development of endoleaks, combined with the lack of long-term data necessitate continued observation of EVAR using both clinical examination and imaging modalities.4-6
Reports of high EVAR re-intervention rates at five years lead to the ongoing debate about the continued long-term benefit of EVAR, and whether re-interventions will gradually eliminate the use of EVAR. The draft of the NICE AAA guidelines had anticipated these problems in complex EVAR, mainly for the fenestrated endovascular aneurysm repair (FEVAR) and branched endovascular aneurysm repair (BEVAR), and recommended that they should only be performed as experimental devices under a fully controlled clinical trial study. The continued evolution and improvement of these endovascular devices and surgeons’ experiences have shown better outcomes.7-12 With improved experience, surgeons have been performing an increasing number of procedures outside the intended instructions for use (IFU) for endovascular stent grafts.13-15 However, complications remain a significant concern, necessitating life-long surveillance.
Objectives
The objective of this study is to identify the predictors for adverse anatomical outcomes following EVAR, and their impact on re-intervention rates and clinical outcomes.
Methods
Study type: This is a retrospective observational study based on clinical data analyses of the patients who underwent elective endovascular repair for an infrarenal AAA from January 2013 to March 2015.
Inclusion criteria: All patients who underwent EVAR at the first instance for fusiform AAAs, measuring at least 4.6 cm in females and 5 cm in males, or saccular aneurysms irrespective of size, were considered for inclusion. Symptomatic fusiform aneurysms with smaller sizes were included if symptoms were confirmed to be related to the AAA. Anatomical suitability for EVAR was the prerequisite for inclusion in all cases. Only classic non-fenestrated or branched EVARs with anatomy falling within IFU for the used devices were considered.
Exclusion criteria: Patients with incomplete data and those with previous aortic surgery, thoracic, thoracoabdominal, supra, or juxta-renal aneurysms, inflammatory and mycotic aneurysms confirmed with computed tomography angiography (CTA), and raised inflammatory markers were excluded. Similarly, patients with confirmed rupture on CTA and those who were brought to the operative theatre without preoperative CTA on an emergency basis for suspected ruptured AAA were also excluded from the study.
Outcomes: Outcomes were defined according to the Society for Vascular Surgery (SVS) reporting standards.16
The primary endpoint is the development of MAAE. Secondary endpoints are re-intervention rates, clinical success, major adverse clinical events (MACE), aneurysm-related mortality, and all-cause mortality.
The primary endpoint of MAAE was defined as any occurrence of endoleak, graft thrombosis, migration or graft dilatation ≥20%, aneurysm sac expansion by ≥5mm, aneurysm rupture, or ankle-brachial pressure index (ABPI) reduction by ≥0.2. Re-intervention was considered if the patient underwent any endovascular or open surgical procedure to rectify any of the MAAEs mentioned above. MACE were described as any systemic complications or death. Clinical success was defined as the absence of death, infection, thrombosis, expansion, endoleak (Type I or III), rupture, conversion to open, 20% graft dilatation, graft migration, or device failure. Aneurysm-related mortality was considered if the patient died in the perioperative period, or if the death was related to a MAAE, re-intervention, or if the cause of death was unknown.
Ethical consideration
Ethical approval was obtained from the Galway Clinical Research Ethics Committee, Galway, Ireland. All data records were kept on an encrypted drive in the department.
Imaging and follow up
All patients with clinical suspicion or radiological evidence on the duplex ultrasound scan of an AAA measuring 5 to 5.5 cm underwent a contrast-enhanced thin sliced (0.5 to 2 mm cuts) computed tomography angiography (CTA), starting from the level of the aortic arch and ending below the common femoral artery bifurcation. All images were processed through the 3D reconstruction software, 3Mensio®, and full measurements were obtained.
Before discharge, antero-posterior and lateral plain x-ray films were obtained as a baseline for graft position. The ankle-brachial index (ABI) was routinely measured before discharge. The first follow-up visit was routinely planned for six weeks after discharge. Subsequent visits were scheduled at three, six, twelve months, and yearly after that. At each visit, the patient had a follow-up aortic duplex measuring sac diameter to determine graft patency, aortic sac diameter, and possible endoleaks. Contrast-enhanced CTA was performed if there was an increase in aortic sac diameter, an endoleak, or velocity in any limb below 28 cm/sec or tight stenosis in any iliac vessels; all were denoted the need for further intervention.
Ninety days postoperative CTA scans were only performed for patients with the large abdomen, rendering duplex scans very difficult and inconclusive. All follow up CTA images were processed with the 3Mensio software for comparison with preoperative images.
Two vascular surgeons, as well as an interventional radiologist, independently reviewed all preoperative and postoperative CT scans. Size, anatomical suitability for EVAR, and the presence of complications post-operatively were reported.
Statistical analysis
Statistical analysis was performed using the Statistical Package for the Social Sciences (SPSS® 23) statistics software (IBM®, Armonk, New York, United States). Basic descriptive statistics were used to describe demographics, comorbidities, operative details, and outcomes of EVAR. The Kaplan-Meier curves were plotted for survival functions. Multivariate binary logistic regression was performed to identify independent variables predicting MAAEs and mortality. A positive Beta Coefficient (B) indicates increased risk, and negative Beta Coefficient (B) indicates decreased risk. P<0.05 was considered statistically significant.
Results
In total, 103 patients met our inclusion criteria amongst 189 EVARs (136 elective and 53 emergency procedures) performed between Jan 2013 and March 2015 in our center. Patient follow-up data was collected until March 2018 with a mean follow-up time of 38.58 ± 2.32 months (range: 1 to 63 months). Baseline demographics of the patients are given in Table 1.
The anatomical criteria of all infrarenal AAAs are given in Table 2. The maximum transverse diameter of the aneurysms ranged from 30 to 120 mm. Neck diameters ranged from 17 to 32 mm and neck length from 8 to 140 mm.
Table 3 tabulates the intraoperative details of all our EVAR. The total operative success rate was 98.1% (n=101), primary technical success 91.3% (n=94), assisted primary success 6.8% (n=7), and secondary success 1% (n=1). No conversion to open surgery was needed throughout the duration of the study.
Thirty-day mortality was 1%, as one case died seventeen days postoperatively due to myocardial infarction (MI) (Table 4). Thirty-day total local complications rate was 23.3% (n=24). Three cases of mild colonic ischemia were reported, which were manifested with delayed recovery of bowel function. These cases were confirmed with colonoscopy. No surgical intervention was needed for these three cases except intravenous heparin for 72 hours, and all had documented patent IMA pre-operatively. One post-operative renal impairment requiring dialysis was observed in a patient with preoperative chronic renal impairment.
The most commonly detected endoleak was type II, with an incidence of 14.6% (n=15). There was one case of graft limb thrombosis. There were two cases of graft migration; one upward and one downward migration of implanted devices. All of them required re-intervention.
There were nine cases (8.7%) of ABI reduction (more than 0.2) and ten cases (9.6%) of aneurysm sac expansion detected through the follow-up period. There were 12 (11.6%) mortalities during the follow-up time. General practitioners and patients or their next of kin were contacted at the end of the follow-up period to confirm the survival or mortality of those who were lost to follow-up. The most common cause of mortality was malignancy-related (5.8%, n=6). The total incidence of MAAE was 12.5% (n=13) and MACE 26% (n=27) during follow-up.
Freedom from re-intervention (FFRI) reached 92.2% with a mean intervention time at 44.3 months (95% CI: 42.68-46.94). Five-year survival was 87.4%, with a mean 5-year survival of 43.06 months (95% CI 40.41-45.72) (Figure 1). Five-years primary clinical success was 77.7%, with a mean time of 40.41 months (95% CI: 37.35-43.47) (Figure 2A). Five-year-assisted primary clinical success was 83.5%, with a mean time of 41.71 months (95% CI: 38.82-44.60) (Figure 2B). Five-years secondary clinical success was 87.4%, with a mean time of 43.32 months (95% CI: 40.78-45-86) (Figure 2C).
Multivariate binary logistic regression analysis identified female gender, preoperative aneurysm maximum transverse diameter, neck length, and iliac angulation to be significant predictors of MAAE. Details of statistical significance and odds ratio (OR) are shown in Table 5.
Discussion
Various score models have been developed to predict mortality more accurately after EVAR.17-19 There are many obstacles, which will interfere with an effective stent-graft placement. The challenge of finding a suitable track for the passage of the stent-graft may necessitate several pre or intra-operative adjunctive maneuvers to facilitate deployment. Identification of these limitations provides an insight into the expected difficulties during stent-graft deployment posed by unhealthy iliac arteries. As such, the incidence of significant concomitant peripheral vascular disease with AAA in our cohort was 26.2%. This was reflected in our study, where we used endo-paving, coupling, endo-quilting, or a groin hidden treasure by a Dacron graft from the common iliac artery to common femoral artery bypass, which is tunneled anatomically. The numbers of such maneuvers reached a total of 64 procedures, with a ratio of 0.62 procedures per patient.
The maximum aneurysm diameter in our patients’ cohort ranged from 3 cm for saccular AAA and up to 12 cm for symptomatic aneurysms. This represents a large difference that is possibly explained by the absence of a national Irish screening program, allowing for such large aneurysms to pass unnoticed for a long time. The neck diameters ranged from 17 to 32 mm, which falls within the IFUs of most available devices in the market. However, this was not the case in terms of neck angulation, as it ranged from zero to 95 degrees. This suggests with further experience; more angulated necks could be straightened and treated with EVAR, using a variety of techniques including our Design Reconfigure Elongate Straighten Stiffen (DRESS) technique.2 Supra-renal fixation stent-graft systems were more commonly used in our cohort (72.8%). No effect on outcome was demonstrated, compared to infra-renal fixation.
These results differ from recent reports20,21 that suggest poorer renal functions after supra-renal fixation. However, previous studies have confirmed the safety of such devices.22-24 The choice was based on neck length and angulation, with a preference towards supra-renal fixations in short and/or significantly angulated neck situations after the DRESS technique.
The open conversion was required in one case after upward device migration resulted in renal artery coverage. One case of a technical failure of persistent type of endoleak was not amenable for further intervention or open conversion due to severe co-morbidities and high risk of open surgery.
Thirty-day mortality was one percentage, as one case died 17 days postoperatively due to severe MI. Cardiac complications remain the most feared and commonly fatal complications after EVAR.7,25 Sac expansion was associated with an evident endoleak in half of the cases, mostly type II. The other half of these cases did not demonstrate any evident endoleak at the time of initial diagnosis using ultrasound duplex scans. Subsequent triple phase CTA-scans showed these cases of endotension to be a result of a hidden true endoleak in all but one case. These findings are consistent with the results of recent studies confirming that not all type II endoleaks are benign,26-28 and attributed that such concealed true endoleak as the cause of the suggested endotension.29 Our strategy was to treat type II endoleak with coiling or embolization only when sac expansion was detected, as recommended by numerous studies.26,28,30-35
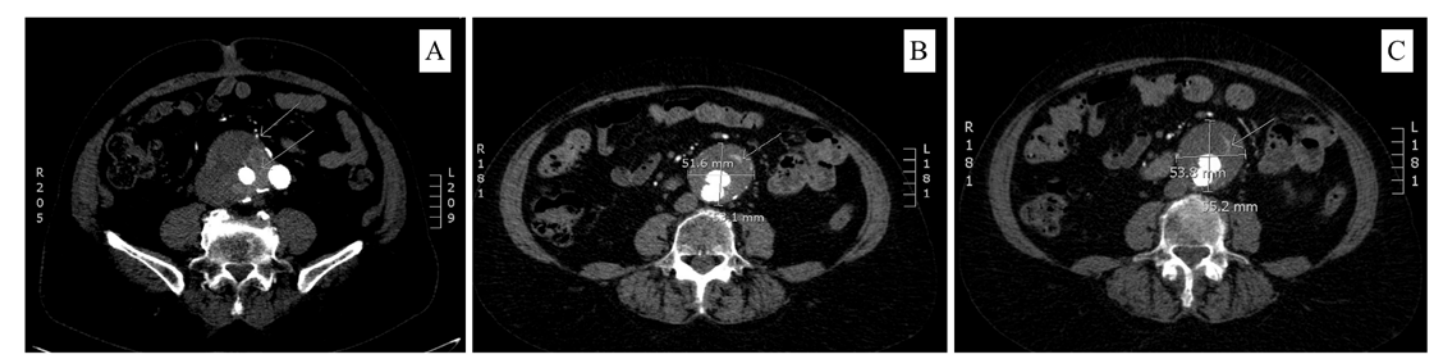
The total incidence of postoperative endoleak was 24.3%, with type II representing 60% of these cases. All other types of endoleak represented an indication for re-intervention (Figure 3, 4). Type II endoleak was an indication for intervention only when sac expansion was detected. We adopted a conservative management approach with a close follow-up strategy with the rest of the cases (Figure 5). This strategy proved safe and effective, with no reported adverse events or ruptures related to this type of endoleak. This is consistent with the Eurostar registry and the report published by Sidloff et al36 after following up on 175 cases of type II endoleak among a cohort of 904 cases of EVAR done in the UK between 1995 and 2013.
Five-year survival was more than 85%. The mid-term mortality rate was 12.6% over five years, with half of the cases related to malignancy. Late rupture of AAA post-EVAR resulted in one death. Persistent endoleak and sac expansion were detected before rupture, but re-intervention was abandoned due to severe comorbidities and lack of quality of life.
The FFRI reached 92.2%; this low rate of re-intervention reflects the current advances in device development and technology. It also reflects improved results with large-center experience and extended learning curve for this type of intervention in recent years. Notably, endovascular re-interventions have been shown to have high clinical success rates. This is reflected in our results, as the 5-year primary clinical success was 77.7%, and assisted primary clinical success reached 83.5%. Although EVAR requires increased follow-up and the likelihood of re-intervention compared to OSR, benefits such as its minimally invasive technique and decreased risk of mid- to long-term adverse events should be considered.
Logistic regression analysis demonstrated that the female gender is the only patient-related factor predicting adverse anatomical events (P=0.21, OR 1.176, 95% CI=1.012-2.587). Although AAA is less common in females, they seem to do worse compared to males. Females have reduced arterial diameters compared to males, which explain the complexity of delivering the endograft to the targeted area. These results concur with findings by Preiss et al37, which demonstrated higher 5-year mortality among female patients after EVAR compared to males (37.5 % vs 5%, P=0.03), with a trend toward an increased rate of re-interventions (25% females vs 5% males, P=0.45).
Aneurysm maximum diameter, neck length, neck angulation, and iliac artery angulation were significant disease-related factors predicting adverse anatomical events. Aneurysm diameter was the most significant factor amongst these predictors, with a P-value of 0.01 and an odds ratio of 1.149 (95% CI = 1.034-1.276). Previous studies investigating AAA diameter as a predictor of adverse events divided patients into those with aneurysms less than or more than 6 cm.38,39 Results from this study indicate an increase in aneurysm diameter, which was measured, as a continuous variable is a significant predictor of adverse anatomical events, with a linear correlation between AAA diameter and the risk of adverse events. This may pave the way for repairing AAA at a smaller diameter less than 5 cm but greater than 4.4 cm in diameter, so patients will not lose the endovascular advantage. Several studies suggest patients with aneurysms and hostile necks are more likely to experience negative clinical outcomes following EVAR and tend to have less long-term survival.14,22,40-46 Numerous reports suggest worse outcomes with severely tortious or dilated iliac arteries.47,48
Based on our observation, the EVAR is a relatively safe and effective procedure, and complementary for elective treatment of infrarenal AAA. Although females have a decreased likelihood of suffering from an AAA, they may have an increased likelihood of major adverse anatomical events when undergoing EVAR. Hostile anatomy is strongly associated with the long-term development of endoleaks and device malfunction. Graft measurement with proper oversizing and deployment techniques are necessary for the superior outcome with minimal, modular part configurations, and graft choice based on individual patient specifications should be utilized to avoid future MAAE.
Study limitations
This retrospective observational study had a small number of patients compared to the number of postoperative adverse events. There is no control group, and we did not compare EVAR to our open AAA cases as we were looking at the EVAR specific adverse anatomical events, such as migration and endoleaks. Similarly, patients with more than 3 mm of thrombus at the implantation site, complex hostile neck, or severely angulated calcific iliac underwent OSR, which could have enhanced the superior EVAR outcome.
Conclusion
Female gender, maximum aneurysm diameter, aneurysmal neck length and angulation, and iliac artery angulation are the significant predictors of MAAE post-EVAR. Although females are less common to suffer from AAA, they seem to do worse with elective EVAR. Aneurysm maximum transverse diameter and hostile anatomy are strongly associated with the long-term development of endoleaks and device malfunction.
Disclosure: The authors have completed and returned the ICMJE Form for Disclosure of Potential Conflicts of Interest. They report no conflicts of interest regarding the content herein.
Address for correspondence: Prof. Sherif Sultan, MCh, MD, FRCS, FACS, PhD, Professor of Vascular Surgery, National University of Ireland, Galway, Ireland. Telephone: +35391720122; Fax: +35391785871; Email: sherif.sultan@hse.ie
REFERENCES
1. Sailer AM, Nelemans PJ, van Berlo C, et al. Endovascular treatment of complex aortic aneurysms: prevalence of acute kidney injury and effect on long-term renal function. Eur Radiol. 2016;26(6):1613-1619.
2. ElKassaby M, Alawy M, Zaki M, et al. Total endovascular management of ruptured aortocaval fistula: technical challenges and case report. Vascular. 2014;22(4):306-309.
3. McManus C, Badger S, Reid J. The role of palmaz stent-grafts in evar. Int J Surg. 2013;11(8):737-738.
4. Karanikola E, Dalainas I, Karaolanis G, et al. Duplex ultrasound versus computed tomography for the postoperative follow-up of endovascular abdominal aortic aneurysm repair. Where do we stand now? Int J Angiol. 2014;23(3):155-164.
5. Godfrey AD, Morbi AH, Nordon IM. Patient compliance with surveillance following elective endovascular aneurysm repair. Cardiovasc Intervent Radiol. 2015;38(5):1130-1136.
6. Dellagrammaticas D, Baderkhan H, Mani K. Management of aortic sac enlargement following successful EVAR in a frail patient. Eur J Vasc Endovasc Surg. 2016;51(2):302-308.
7. Stather PW, Sidloff D, Dattani N, et al. Systematic review and meta-analysis of the early and late outcomes of open and endovascular repair of abdominal aortic aneurysm. Br J Surg. 2013;100(7):863-872.
8. Sweeting MJ, Balm R, Desgranges P, Ulug P, Powell JT, Ruptured Aneurysm Trialists. Individual-patient meta-analysis of three randomized trials comparing endovascular versus open repair for ruptured abdominal aortic aneurysm. Br J Surg. 2015;102(10):1229-1239.
9. Khashram M, Williman JA, Hider PN, Jones GT, Roake JA. Systematic review and meta-analysis of factors influencing survival following abdominal aortic aneurysm repair. Eur J Vasc Endovasc Surg. 2016;51(2):203-215.
10. Hammond CJ, Shah AH, Snoddon A, Patel JA, Scott JA. Mortality and rates of secondary intervention after EVAR in an unselected population: Influence of simple clinical categories and implications for surveillance. Cardiovasc Intervent Radiol. 2016;39(6):815-823.
11. Burgers LT, Vahl AC, Severens JL, et al. Cost-effectiveness of elective endovascular aneurysm repair versus open surgical repair of abdominal aortic aneurysms. Eur J Vasc Endovasc Surg. 2016;52(1):29-40.
12. White V, Wyatt M. Endovascular treatment of abdominal aortic aneurysms. Surgery (Oxford). 2015;33(7):334-339.
13. De Bock S, Iannaccone F, De Beule M, et al. What if you stretch the IFU? A mechanical insight into stent graft Instructions For Use in angulated proximal aneurysm necks. Med Eng Phys. 2014;36(12):1567-1576.
14. Lee JT, Ullery BW, Zarins CK, et al. EVAR deployment in anatomically challenging necks outside the IFU. Eur J Vasc Endovasc Surg. 2013;46(1):65-73.
15. Nakai M, Sato M, Sato H, et al. Midterm results of endovascular abdominal aortic aneurysm repair: comparison of instruction-for-use (IFU) cases and non-IFU cases. Jpn J Radiol. 2013;31(9):585-592.
16. Chaikof EL, Blankensteijn JD, Harris PL, et al. Reporting standards for endovascular aortic aneurysm repair. Journal of Vascular Surgery. 2002;35(5):1048-1060.
17. Brown LC, Greenhalgh RM, Powell JT, et al. Use of baseline factors to predict complications and reinterventions after endovascular repair of abdominal aortic aneurysm. Br J Surg. 2010;97(8):1207-1217.
18. Baas AF, Janssen KJ, Prinssen M, et al. The Glasgow Aneurysm Score as a tool to predict 30-day and 2-year mortality in the patients from the Dutch Randomized Endovascular Aneurysm Management trial. J Vasc Surg. 2008;47(2):277-81.
19. Bohm N, Wales L, Dunckley M, et al. Objective risk-scoring systems for repair of abdominal aortic aneurysms: Applicability in endovascular repair? Eur J Vasc Endovasc Surg. 2008;36(2):172-177.
20. Saratzis A, Sarafidis P, Melas N, et al. Suprarenal graft fixation in endovascular abdominal aortic aneurysm repair is associated with a decrease in renal function. J Vasc Surg. 2012;56(3):594-600.
21. Siani A, Accrocca F, De Vivo G, et al. Suprarenal fixation resulting in intestinal malperfusion after endovascular aortic aneurysm repair. Interact Cardiovasc Thorac Surg. 2016;22(5):685-687.
22. Setacci F, Sirignano P, de Donato G, et al. AAA with a challenging neck: early outcomes using the Endurant stent-graft system. Eur J Vasc Endovasc Surg. 2012;44(3):274-279.
23. Stokmans RA, Teijink JA, Forbes TL, et al. Early results from the ENGAGE registry: real-world performance of the Endurant Stent Graft for endovascular AAA repair in 1262 patients. Eur J Vasc Endovasc Surg. 2012;44(4):369-375.
24. Weale AR, Balasubramaniam K, Macierewicz J, et al. Outcome and safety of Aorfix stent graft in highly angulated necks - a prospective observational study (arbiter 2). Eur J Vasc Endovasc Surg. 2011;41(3):337-343.
25. Powell JT, Sweeting MJ, Thompson MM, et al. Endovascular or open repair strategy for ruptured abdominal aortic aneurysm: 30 day outcomes from IMPROVE randomised trial. BMJ. 2014;348:f7661.
26. Chung R, Morgan RA. Type 2 Endoleaks Post-EVAR: Current Evidence for Rupture Risk, Intervention and Outcomes of Treatment. Cardiovasc Intervent Radiol. 2015;38(3):507-522.
27. Yang X, Chen YX, Zhang B, et al. Contrast-enhanced ultrasound in detecting endoleaks with failed computed tomography angiography diagnosis after endovascular abdominal aortic aneurysm repair. Chin Med J (Engl). 2015;128(18):2491-2497.
28. Dobes D, Hajek M, Raupach J, et al. Surgical treatment of the progressive endoleak type II after EVAR. European Surgery. 2016;48(S2):141-143.
29. Habets J, Zandvoort HJ, Moll FL, et al. Magnetic resonance imaging with a weak albumin binding contrast agent can reveal additional endoleaks in patients with an enlarging aneurysm after EVAR. Eur J Vasc Endovasc Surg. 2015;50(3):331-340.
30. Marjot T, Choong A, Patel K, et al. Laparoscopic ligation of type II endoleaks post endovascular aneurysm repair (EVAR): Current evidence for practice – A systematic review. International Journal of Surgery. 2013;11(8):733.
31. Khaja MS, Park AW, Swee W, et al. Treatment of type II endoleak using Onyx with long-term imaging follow-up. Cardiovasc Intervent Radiol. 2014;37(3):613-622.
32. Abularrage CJ, Patel VI, Conrad MF, et al. Improved results using Onyx glue for the treatment of persistent type 2 endoleak after endovascular aneurysm repair. J Vasc Surg. 2012;56(3):630-636.
33. Yanaka Ki, Iida O, Nanto K, et al. TCTAP C-207 successful coil embolization for type 2 endoleak after EVAR. JACC. 2015;65(17):S430-S3.
34. Brown A, Saggu GK, Bown MJ, et al. Type II endoleaks: challenges and solutions. Vasc Health Risk Manag. 2016;12:53-63.
35. Pippin K, Hill J, He J, et al. Outcomes of type II endoleaks after endovascular abdominal aortic aneurysm (AAA) repair: a single-center, retrospective study. Clin Imaging. 2016;40(5):875-879.
36. Sidloff DA, Gokani V, Stather PW, et al. Type II endoleak: conservative management is a safe strategy. Eur J Vasc Endovasc Surg. 2014;48(4):391-399.
37. Preiss JE, Arya S, Duwayri Y, et al. Late mortality in females after endovascular aneurysm repair. J Surg Res. 2015;198(2):508-514.
38. Zarins CK, Crabtree T, Bloch DA, et al. Endovascular aneurysm repair at 5 years: Does aneurysm diameter predict outcome? J Vasc Surg. 2006;44(5):920-929.
39. Tsilimparis N, Mitakidou D, Hanack U, et al. Effect of preoperative aneurysm diameter on long-term survival after endovascular aortic aneurysm repair. Vasc Endovascular Surg. 2012;46(7):530-535.
40. Oliveira NF, Bastos Goncalves FM, de Vries JP, et al. Mid-term results of EVAR in severe proximal aneurysm neck angulation. Eur J Vasc Endovasc Surg. 2015;49(1):19-27.
41. Stather PW, Sayers RD, Cheah A, Wild JB, et al. Outcomes of endovascular aneurysm repair in patients with hostile neck anatomy. Eur J Vasc Endovasc Surg. 2012;44(6):556-561.
42. Chaudhuri A. Commentary on 'EVAR deployment in anatomically challenging necks outside the IFU'. Eur J Vasc Endovasc Surg. 2013;46(1):74.
43. Broos PP, Mannetje YW, Cuypers PhWM, et al. Endovascular treatment of ruptured abdominal aortic aneurysms with hostile aortic neck anatomy. Eur J Vasc Endovasc Surg. 2015;50(3):313-319.
44. Zeng Q, Huang L, Huang X, et al. Endovascular repair of abdominal aortic aneurysm with severely angulated neck and tortuous artery access: case report and literature review. BMC Surg. 2015;15:20.
45. AbuRahma AF, Yacoub M, Mousa AY, et al. Aortic neck anatomic features and predictors of outcomes in endovascular repair of abdominal aortic aneurysms following vs not following Instructions for Use. J Am Coll Surg. 2016;222(4):579-589.
46. Le TB, Moon MH, Jeon YS, et al. Evaluation of aneurysm neck angle change after endovascular aneurysm repair clinical investigations. Cardiovasc Intervent Radiol. 2016;39(5):668-675.
47. Rancic Z. Commentary on: "endograft limb occlusion in EVAR: iliac tortuosity quantified by three different indices on the basis of preoperative CTA". Eur J Vasc Endovasc Surg. 2014;48(5):534-535.
48. Stather PW, Rhema IA, Sidloff DA, et al. Short-term outcomes of management of endovascular aneurysm Repair in Patients With Dilated Iliacs. Vasc Endovascular Surg. 2015;49(3-4):75-78.


