Postpartum Ruptured Splenic Artery Aneurysm Treated by Coil Embolization
Abstract
Comprising 60% of all visceral artery aneurysms, splenic artery lesions are associated with pregnancy, particularly multiparity, and have a 75% mortality rate when rupture occurs during pregnancy. This short report demonstrates a case of postpartum rupture of a splenic artery aneurysm (SAA) in a multiparous Jehovah’s Witness patient with an advanced health directive declining all blood products. Following transfer to a tertiary hospital, the aneurysm was successfully managed with coil embolization and the patient was discharged well on day 2 postoperatively. A brief summary of the key clinical features of SAA follows the case report.
VASCULAR DISEASE MANAGEMENT 2013:10(5):E89-E91
Key words: endovascular therapy, management, vascular intervention, interventional radiology
________________________________________________
Case Report
A 33-year-old female inpatient in a regional hospital developed sudden onset of severe epigastric pain with radiation to the right shoulder tip and associated nausea and vomiting 13 hours post spontaneous vaginal delivery. Relevant medical history included a laparoscopic cholecystectomy (complicated by postoperative pancreatitis) 2 years previously and multiple miscarriages (G10 P2 M8).
On examination at the onset of pain she was found to have tenderness in the epigastrium with a sinus tachycardia of 120 beats per minute and blood pressure of 70/38 mmHg. Computed tomography (CT) angiography of the abdomen was performed during the initial investigation. This showed an approximately 3cm diameter aneurysm of the mid-distal aspect of the splenic artery with free fluid surrounding the aneurysm, in the lesser sac and surrounding the spleen - features consistent with a contained rupture (Figures 1A and 1B). The patient’s treatment was complicated by the fact that she was a Jehovah’s Witness with an advanced health directive declining all blood products. Initially a fluid-resuscitation strategy of permissive hypotension was used and the patient’s systolic blood pressure gradually normalized with maintenance IV crystalloid. She was transferred to our hospital where on arrival her hemoglobin was 78g/L.
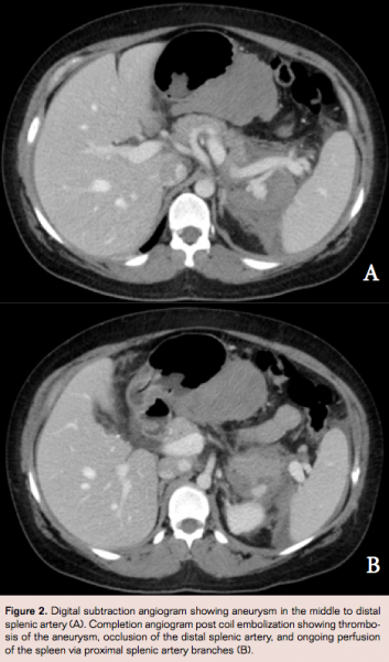
Under conscious sedation and using local anesthetic, arterial access was gained via the right common femoral artery using a 4 French sheath and Cobra C2 catheter (Cook Medical). Coil embolization of the aneurysm sac as well as the proximal and distal splenic artery was performed using Nester embolization coils (Cook Medical). Completion angiogram showed thrombosis of the aneurysm, occlusion of the distal splenic artery, and ongoing perfusion of the upper pole of the spleen via proximal splenic artery branches (Figures 2A and 2B). Postoperatively the hemoglobin was 76g/L and the patient was started on darbepoetin, iron, folic acid and B12 supplementation. A CT scan performed on day 1 post embolization showed no evidence of ongoing aneurysm leak, splenic infarction or pancreatitis. The patient was discharged well on day 2 and has elected not to attend postoperative follow-up due to her distance from the treating facility.
Discussion
Splenic artery aneurysms (SAA) have an incidence of 0.78%.1 They are the most common splanchnic aneurysm and the third most common intra-abdominal aneurysm.2 Risk factors for the development of SAA include female sex (4:1), pancreatitis, multiple previous pregnancies and portal hypertension.1,3,4 It is worth noting at this point that our patient had a history of both pancreatitis and multiple pregnancies. Rupture risk in asymptomatic SAA with a diameter less than 2 cm is considered low; however, those with a diameter equal to or greater than 2 cm should be referred for surgical treatment due to a risk of rupture of 2% to 3%.3,4
There is a strong link between late stages of pregnancy and SAA rupture,4 related to hemodynamic and hormonal changes.3 Ruptured SAA should be considered in the differential diagnosis of the acute abdomen both during and shortly after pregnancy, especially given that a missed diagnosis can be fatal, with a mortality rate for SAA rupture in pregnant women of 75% and fetal mortality of 95%.4
The clinical presentation of SAA rupture usually includes sharp epigastric or left hypochondrial pain with radiation to the left shoulder tip (Kehr sign).4 Associated features may include nausea, vomiting, syncope or presyncope. Vital signs suggesting shock are highly suggestive of SAA rupture.4 The presentation may mimic pulmonary embolism, placental abruption and uterine rupture and can be masked by epidural anesthesia.4
Radiologic diagnosis can be made using ultrasound or Doppler ultrasound if CT is not available. If CT is available, it can be used with relative safety for the fetus because teratogenesis is considered unlikely from the radiation dose received.4 Contrast media should be used only if absolutely necessary during pregnancy, and only after the risks are explained to the patient.4 In the postpartum setting these considerations are not relevant.
In cases of SAA rupture, the immediate aim of management should be fluid resuscitation and control of bleeding. In the last decade, transcatheter embolization of visceral aneurysms has increased in use5-8 while traditional treatment has been open surgery.2,7,8 Endovascular stent grafting is an alternative to coil embolization because it preserves splenic blood supply, but this requires favorable anatomy.9 In one series of 20 patients who required coil embolization for a ruptured splenic artery aneurysm, 40% developed splenic ischemia but none of these patients developed the hematologic sequelae of splenic insufficiency,6 most likely due to collateral supply from the short gastric arteries to the distal splenic artery.10,11 This case further demonstrates that coil embolization of a ruptured SAA is an excellent alternative providing that there are suitable equipment, facilities, and trained personnel available, and the patient’s hemodynamic status allows time to organize and perform the intervention.
References
- Stanley JC, Fry, WJ. Pathogenesis and clinical significance of splenic artery aneurysms. Surgery. 1974;76(6):898-909.
- Al-Habbal Y, Christophi C, Muralidharan V. Aneurysms of the Splenic Artery – A review. Surgeon. 2010;8(4):223-231.
- Berceli SA. Hepatic and Splenic Artery Aneurysms. Semin Vasc Surg. 2005;18(4):196-201.
- Sadat U, Dar O, Walsh S, Varty K. Splenic artery aneurysms in pregnancy – A systematic review. Int J Surg. 2008;6(3):261-265.
- Etezadi V, Gandhi RT, Benenati JF, et al. Endovascular treatment of visceral and renal artery aneurysms. J Vasc Interv Radiol. 2011;22(9):1246-1253.
- Tulsyan N, Kashyap V, Greenberg R, et al. The endovascular management of visceral artery aneurysms and pseudoaneurysms. J Vasc Surg. 2007;45(2):276-283.
- Mattar S, Lumsden A. The management of splenic artery- aneurysms: experience with 23 cases. Am J Surg. 1995;169(6):580-584.
- Spiliopoulos S, Sabharwal T, Kamabatidis D, et al. Endovascular treatment of visceral aneurysms and pseudoaneurysms: long-term outcomes from a multicenter European study. Cardiovasc Intervent Radiol. 2012;35(6):1315-1325.
- Ding X, Zhu J, Zhu M et al. Therapeutic management of hemorrhage from visceral artery pseudoaneurysms after pancreatic surgery. J Gastrointest Surg. 2011;15(8):1417-1425.
- Uberoi R, Chung D. Endovascular solutions for the management of visceral aneurysms. J Cardiovasc Surg (Torino). 2011;52(3):323-331.
- Selo-Ojeme DO, Welch CC. Review: spontaneous rupture of splenic artery aneurysm in pregnancy. Eur J Obstet Gynecol Reprod Biol. 2003;109(2):124-127.
_____________________________________
Editor’s Note: Disclosure: The authors have completed and returned the ICMJE Form for Disclosure of Potential Conflicts of Interest. The authors report no conflicts of interest related to the content of this article.
Manuscript received November 4, 2012; provisional acceptance given December 12, 2012; final version accepted February 1, 2013.
Address for correspondence: Steven J. Foster, BSc, BEd (Hons), MBBS, Department of Surgery, Royal Brisbane and Women’s Hospital, Herston, Brisbane, Queensland 4029, Australia. Email:
steven710@hotmail.com


