Periaortic Ligature Technique to Treat Type 1A Endoleak During Emergent Endovascular Repair of a Ruptured Aortic Aneurysm
Abstract
An 84-year-old female presented with a ruptured abdominal aortic aneurysm. Multiple comorbidities deemed her unsuitable for open surgical repair. Emergency endovascular aortic aneurysm repair was undertaken with a standard infrarenal graft despite unfavorable proximal aortic neck anatomy. She predictably developed a brisk type IA endoleak. Through a limited midline laparotomy incision two nylon bands were tied and tightened around the proximal aneurysm neck to provide a seal and exclude blood flow from the leaking sac. In this single operative case, aortic banding was achieved safely and effectively, facilitating endovascular aortic repair in the emergency setting.
VASCULAR DISEASE MANAGEMENT 2012:9(11):E201-E205
Key words: endoleak, ruptured abdominal aortic aneurysm, aortic banding
___________________________________________
Endovascular aortic aneurysm repair (EVAR) in the elective setting has evolved to be the mainstay of treatment for abdominal aortic aneurysm (AAA). This has been driven by lower morbidity and mortality compared to open repair (OR) as well as patient preference for less invasive surgery.1-3 The treatment of ruptured AAA with EVAR has also become the preferred option for many surgeons with a body of evidence emerging to support its efficacy and demonstrate a number of advantages over open surgical aneurysmorrhaphy in the emergency setting.4,5
EVAR is limited by challenging proximal neck anatomy, including angulation, calcification and thrombus in a significant proportion of patients.6 Although open surgery may be preferred in those with such challenging anatomy a number of these patients will not be suitable candidates due to the high risk of aortic cross clamping and blood loss in the presence of severe medical comorbidities.7
If no open surgical options exist but hostile neck anatomy makes proceeding with EVAR likely to result in a proximal type 1A endoleak, the surgeon has few alternatives.8 Here we present an adjunctive technique that can be used to facilitate successful EVAR when few treatments exist for a ruptured AAA.
Case Report
An 84-year-old female collapsed at home after developing abdominal pain and syncope. She was taken by ambulance to the emergency department, hypotensive with a blood pressure of 80/60 mm Hg and tachycardic with a heart rate of 120 bpm. Fluid resuscitation was initiated with some improvement in blood pressure enabling a computed tomography angiography scan to be performed.
The scan revealed a bilobed, infrarenal aortic aneurysm with a contained, retroperitoneal rupture from the proximal aneurysm toward the patient’s right side (Figure 1). The neck anatomy was high risk for endoleak during EVAR, 5 mm long and angulated 100 degrees (Figure 2).
She had a known aortic aneurysm but had previously declined open surgery due to her high perioperative risk. Discussion with her family took place and a decision was made to attempt endovascular repair of the AAA.
In the operating theatre under local anesthetic infiltration (20 mL Lignocaine 1%) and intravenous sedation (5 mg Midazolam), percutaneous puncture of both common femoral arteries was followed by the insertion of 8 Fr bright tip sheaths (Cordis) followed by two Perclose Proglide suture mediated closure devices (Abbott Vascular) in each vessel using the “preclose” technique.9 Diagnostic angiography demonstrated the location of the rupture, as well as challenging neck anatomy (as described) and diseased iliac access vessels (Figure 2).
An Endurant 23/13 mm x 145 mm bifurcated aortic stent graft prosthesis (Medtronic) was inserted via the right femoral approach and deployed precisely at the ostial edge of the right renal artery (Figure 3). This was followed by the deployment of an Endurant 16/10 mm x 93 mm contralateral limb extension (Medtronic) and an Endurant 13/13 mm x 93 mm ipsilateral iliac limb extension (Medtronic) to achieve a satisfactory distal seal. Junctions and sealing zones were molded using a Reliant compliant balloon (Medtronic).
Completion angiography clearly demonstrated a brisk type IA endoleak seen as a jet of contrast arising from the right side of the proximal graft sealing zone despite the fabric-covered portion of the endograft abutting the right renal ostium (Figure 3). Prolonged balloon molding resulted in no improvement to the degree of endoleak.
With the femoral sheaths still in place and wire access maintained, a 20 cm upper midline incision was performed to facilitate a minilaparotomy. The retroperitoneal hematoma was left undisturbed during mobilization of the duodenum and careful dissection of the proximal AAA neck. This was followed by the passage of two 5 mm nylon tapes around the aorta at approximately 5 mm intervals. These were individually tied with enough tension to snug the dilated aneurysm neck around the most proximal covered stent of the graft prosthesis without luminal compromise (Figure 4).
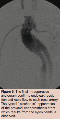
This maneuver effectively plicated the infrarenal neck and excluded blood flow from the sac. Aortography was performed to confirm the endoleak resolution and perfusion of the adjacent renal arteries (Figure 5) before a mass wound closure was performed and the patient was transferred to the intensive care unit for ongoing resuscitation, correction of coagulopathy, and warming.
Unfortunately over the next 4 days the patient developed respiratory failure followed by cardiac failure and then renal failure. Ultrasound confirmed that the aneurysm remained sealed and that flow to her renal arteries was not compromised. She died of multiorgan failure on day 4.
Discussion
Almost all vascular surgeons have faced this challenging clinical dilemma. A patient with a ruptured AAA is too frail for open surgery whose hostile neck anatomy makes the chances of a proximal seal unlikely. Here we present just such a case, which exemplifies a hybrid surgical technique that was used to treat the condition, excluding the inevitable type 1 endoleak through the application of open surgical banding.
Since EVAR was first used to seal a ruptured AAA in 199410,11 it has demonstrated several advantages over OR. It is less invasive, avoids damage to periaortic structures, results in less blood loss, and can be performed under local anesthesia.12 The aortic cross clamping required for OR together with significant blood loss results in considerable hemodynamic strain on all physiologic systems, which is reflected in high morbidity.5 Its avoidance during EVAR makes that technique possible even in the very frail. Where once a patient with serious comorbidities would be considered only for palliation there are now very few who would not tolerate EVAR in the context of an aortic leak.
As a direct result this less invasive technique is more likely to be found unsuitable for patients on anatomical grounds rather than comorbidities. The most common anatomical challenge to achieving complete aneurysm exclusion is unfavorable neck anatomy.13,14 A short sealing zone, angulation, calcification, tapered aorta, mural thrombus, and large aneurysms increase the risk of type 1A endoleak.6
Even in the controlled environment of an elective EVAR procedure with favorable morphologic features, intraoperative type 1A endoleak may occur in as many as 22.6% of patients.15 Many of these can be treated during the procedure using the conventional techniques of reballooning, proximal aortic cuffs, and Palmaz stents (Cordis, Johnson&Johnson), however up to 2% will persist.15 Some evidence exists that these endoleaks can be observed with reduced aneurysm expansion and rupture rates in the elective setting and others have found high rates of resolution with this conservative approach.16 However, in the presence of loss of aortic wall integrity any ongoing sac perfusion must be addressed at the time of surgery to avoid ongoing bleeding and abdominal compartment syndrome.
Those conventional maneuvers performed through the femoral sheaths should be considered as the primary strategy to seal the endoleak. Reballooning of all the sealing zones with particular attention to the proximal graft edge is relatively simple and may result in molding of the graft to the aortic wall. Palmaz stents may be placed to provide additional radial force at the proximal sealing zone and stent-graft cuffs can be used to extend the seal as proximal as the lowest visceral branch will allow. More aggressive treatment options such as “chimney” grafts, where covered stents are placed into the abdominal visceral branches followed by a proximal extension of the sealing zone with a further aortic endoprosthesis, are also possible. They require upper limb access, the availability of stent graft devices suitable for visceral arteries and considerable technical expertise on the part of the operator therefore may not be applicable to all. Hybrid visceral bypass is another option, performed by providing retrograde inflow to visceral from iliac arteries or antegrade inflow from the proximal aorta followed by proximal aortic endoprosthesis extension. Although possible such procedures are a major undertaking in themselves with similar morbidity to OR. In our view this option should be reserved for a more extensive thoracoabdominal aneurysm in a medically stable patient.
Periaortic banding is a technique that has been described in the elective treatment of type 1A endoleak.17-19 It involves a limited laparotomy and careful dissection around the aorta immediately below the renal arteries. In the rupture setting, care must be taken to avoid any retroperitoneal hematoma so as not to exacerbate bleeding. A large right-angle clamp can be passed around the aortic neck taking care to avoid injury to adjacent structures, particularly the renal arteries, veins, and lumbar vessels. Once around the aorta nylon tapes can be tied to snug and seal the aortic wall against the stent graft. Care must be taken to avoid over tightening which may result in stent-graft collapse and involution. The length of aortic neck will determine how many tapes can be accommodated. Normally the placement of 2 to 3 is possible and sufficient to provide a seal. The femoral access sheaths are left in place and final angiography performed to confirm flow through the aortic graft, renal arteries, and the resolution of endoleak (Figure 5). If there is suspicion of bowel ischemia or compartment syndrome, the abdominal cavity may be left open to facilitate a second look laparotomy as well as decompress.
We had previously described this technique in a case of ruptured AAA secondary to late type 1A endoleak.20 That patient was awaiting the manufacture of a custom-made fenestrated endograft cuff when catastrophe struck. Here we revisit the technique, broadening its application as an adjunct for the treatment of de novo ruptured AAA with unfavorable neck where no other treatment option is feasible. This undoubtedly represents a surgical option that incurs greater morbidity than simple EVAR but likely less than OR. We feel that it may have a role to play in emergency EVAR but suggest further study to determine its safety before widespread application can be recommended. With time we predict the expansion of off-the-shelf fenestrated technology which is likely to make techniques such as this one redundant. In the interim creative options such as this will be required to complement our endovascular armamentarium.
Conclusion
In an era of minimally invasive vascular surgery being applied to all possible clinical scenarios, the challenge is to facilitate the application of current endovascular technology across the board. This case exemplifies an accepted method of hybrid endovascular surgery utilized to apply EVAR to the ruptured aneurysm with proximal sealing challenges. In this single case, periaortic banding was performed effectively, achieving a proximal seal when no other feasible option existed.
References
- Akkersdijk GJ, Prinssen M, Blankensteijn JD. The impact of endovascular treatment on in-hospital mortality following non-ruptured AAA repair over a decade: a population based study of 16,446 patients. Eur J Vasc Endovasc Surg. 2004;28(1):41-46.
- Greenhalgh RM, Brown LC, Kwong GP, Powell JT, Thompson SG. Comparison of endovascular aneurysm repair with open repair in patients with abdominal aortic aneurysm (EVAR trial 1), 30-day operative mortality results: randomised controlled trial. Lancet. 2004;364(9437):843-848.
- Prinssen M, Verhoeven EL, Buth J, et al. A randomized trial comparing conventional and endovascular repair of abdominal aortic aneurysms. N Engl J Med. 2004;351(16):1607-1618.
- Rayt HS, Sutton AJ, London NJ, Sayers RD, Bown MJ, London NJM. A systematic review and meta-analysis of endovascular repair (EVAR) for ruptured abdominal aortic aneurysm. Eur J Vasc Endovasc Surg. 2008;36(5):536-544.
- Veith FJ, Lachat M, Mayer D, et al. Collected world and single center experience with endovascular treatment of ruptured abdominal aortic aneurysms. Ann Surg. 2009;250(5):818-824.
- Sampaio SM, Panneton JM, Mozes GI, et al. Proximal type I endoleak after endovascular abdominal aortic aneurysm repair: predictive factors. Ann Vasc Surg. 2004;18(6):621-628.
- Holzenbein TJ, Kretschmer G, Thurnher S, et al. Midterm durability of abdominal aortic aneurysm endograft repair: a word of caution. J Vasc Surg. 2001 Feb;33(2 Suppl):S46-54.
- White GH, Yu W, May J. Endoleak--a proposed new terminology to describe incomplete aneurysm exclusion by an endoluminal graft. J Endovasc Surg. 1996;3(1):124-125.
- Lee WA, Brown MP, Nelson PR, Huber TS. Total percutaneous access for endovascular aortic aneurysm repair (“Preclose” technique). J Vasc Surg. 2007;45(6):1095-1101.
- Yusuf SW, Whitaker SC, Chuter TA, Wenham PW, Hopkinson BR. Emergency endovascular repair of leaking aortic aneurysm. Lancet. 1994;344(8937):1645.
- Marin ML, Veith FJ, Cynamon J, et al. Initial experience with transluminally placed endovascular grafts for the treatment of complex vascular lesions. Ann Surg. 1995;222(4):449-465.
- Moore R, Nutley M, Cina CS, Motamedi M, Faris P, Abuznadah W. Improved survival after introduction of an emergency endovascular therapy protocol for ruptured abdominal aortic aneurysms. J Vasc Surg. 2007;45(3):443-450.
- Albertini J, Kalliafas S, Travis S, et al. Anatomical risk factors for proximal perigraft endoleak and graft migration following endovascular repair of abdominal aortic aneurysms. Eur J Vasc Endovasc Surg. 2000;19(3):308-312.
- Slater BJ, Harris EJ, Lee JT. Anatomic suitability of ruptured abdominal aortic aneurysms for endovascular repair. Ann Vasc Surg. 2008;22(6):716-722.
- Sampaio SM, Shin SH, Panneton JM, et al. Intraoperative endoleak during EVAR: frequency, nature, and significance. Vasc Endovasc Surg. 2009;43(4):352-359.
- Venermo MA, Arko FR 3rd, Salenius JP, Saarinen JP, Zvaigzne A, Zarins CK. EVAR may reduce the risk of aneurysm rupture despite persisting type Ia endoleaks. J Endovasc Ther. 2011;18(5):676-682.
- May J, White GH, Yu W, et al. Conversion from endoluminal to open repair of abdominal aortic aneurysms: a hazardous procedure. Eur J Vasc Endovasc Surg. 1997;14(1):4-11.
- Younis G, Messner G, Gregoric I, Krajcer Z. Aortic wrap as a novel technique of type I endoleak repair. Ann Vasc Surg. 2006;20(5):690-695.
- Tzortzis E, Hinchliffe RJ, Hopkinson BR. Adjunctive procedures for the treatment of proximal type I endoleak: the role of peri-aortic ligatures and Palmaz stenting. J Endovasc Ther. 2003;10(2):233-239.
- Varcoe RL, Laird MP, Frawley JE. A novel alternative to open conversion for type 1 endoleak resulting in ruptured aneurysm. Vasc Endovasc Surg. 2008;42(4):391-393.
______________________________________
Editor’s Note: Disclosure: The authors have completed and returned the ICMJE Form for Disclosure of Potential Conflicts of Interest. The authors report no conflicts of interest regarding the content herein.
Manuscript received June 18, 2012, provisional acceptance given September 22, 2012, final version accepted September 11, 2012.
Address for correspondence: Ramon L. Varcoe MBBS, MS, FRACS, The Vascular Institute, Prince of Wales, Suite 8, Level 7, Prince of Wales Private Hospital, Barker St, Randwick, Sydney, NSW 2031, Australia. Email: r.varcoe@unsw.edu.au


