Percutaneous Revascularization of the Pedal Arch of the Foot for Critical Limb Ischemia and Limb Salvage
Abstract
Gangrene is a serious and potentially life threatening condition that could result from ischemia to affected tissue. It often occurs in the toes and feet of the elderly, diabetics, and smokers. Treatment options include antibiotics, surgical debridement, and revascularization. We present a case involving percutaneous revascularization of the pedal arch of the foot for gangrenous toes with associated osteomyelitis.
VASCULAR DISEASE MANAGEMENT 2013:10(1):E2-E4
_____________________________________________
Case Report
A 57-year-old male presented with a nonhealing ulcer on the dorsal aspect of his left great toe, with associated purulent drainage. His past medical history was significant for diabetes, dyslipidemia, and tobacco abuse.
Pertinent physical examination findings included erythema, edema and gangrenous changes on the medial aspect of his great toe and plantar aspect of his fourth toe with eschar formation (Figure 1). Laboratory workup revealed an elevated white blood cell count of 12.2 x 103/mcL (normal <10 x 103/mcL), erythrocyte sedimentation rate of 98 mm/hr (normal <20 mm/hr), and fasting glucose of 262 mg/dL (normal <126 mg/dL). Bone scan noted diffuse uptake of his left great toe involving the proximal-distal phalanx consistent with osteomyelitis. Wound culture grew group B beta streptococcus with MRSA and he was prescribed intravenous piperacillin/tazobactam and vancomycin.
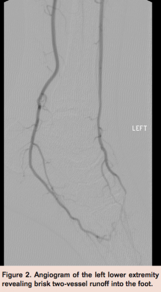
Left lower extremity angiography revealed brisk flow through the femoral and tibial segments with 2-vessel runoff (Figure 2). However, there was noted to be severe stenosis within the plantar arch of the left foot extending from the dorsalis pedis of the anterior tibial artery into the posterior tibial plantar segment (Figure 3).
A 300 cm 0.014" guidewire (Abbott) was used to cross the lesion from the anterior tibial artery into the posterior tibial artery (Figure 4).
A 2.5 x 60 mm Amphirion balloon (Medtronic) was used to predilate the lesion at 18 atm (Figure 5) for 3 minutes. Final angiogram revealed brisk flow through the entire plantar arch feeding the anterior and posterior tibial arteries (Figure 6).
The patient underwent surgical debridement of the left foot with incision and drainage, followed by an uncomplicated recovery and discharge to a rehabilitation facility in 3 days, where he received a 6-week course of intravenous antibiotics.
Discussion
Peripheral arterial disease symptoms can range from mild claudication to critical limb ischemia which includes pain at rest, nonhealing wound and/or gangrene.1 Patients with nonhealing wound or gangrene are at increased risk of developing osteomyelitis and should be evaluated for the presence of infection, which requires antibiotic therapy.2 Risk factor modification, including smoking cessation, blood pressure control, glycemic control, and reduction of lipid levels, should be instituted.2 If the etiology of the ulceration involves arterial insufficiency, surgical intervention including revascularization may prevent amputation and loss of limb.1
The pedal arch is defined as the area between the anterior and posterior circulation in the foot, composed of the deep perforating branches of the dorsal artery of the foot and the lateral plantar arteries.3 Optimal evaluation of the pedal arch is needed in patients with foot ulcers or ischemic changes. Recent advancement of endovascular techniques has enabled complete revascularization to the pedal arch, thereby improving limb salvage rates in critical limb ischemia.4
Conclusion
Herein we present a case of critical limb ischemia presenting with gangrene and osteomyelitis and found to have a severely diseased pedal arch, which was successfully treated with antibiotics, percutaneous revascularization, and surgical debridement with excellent results.
References
- Golledge J. Lower-limb arterial disease. Lancet. 1997;350(9089):1459-1465.
- Shammas NW. “Epidemiology, classification, and modifiable risk factors of peripheral arterial disease.” Vasc Health Risk Manag. 2007;3(2):229-234.
- Mousa AY, Dieter RS, Nanjundappa A. Anatomy of the pedal arch and implications for tibiopedal access. Endovasc Today. 2012;Jan:S3-S5.
- Iida O, Nanto S, Uematsu M, et al. Complete revascularization to the pedal arch may improve the survival of patient with critical limb ischemia. Abstract 3228.Circulation. 2006;114:II-684.
_________________________________
Editor’s Note: Disclosure: The authors have completed and returned the ICMJE Form for Disclosure of Potential Conflicts of Interest. Dr. Rosen reports no conflicts regarding the content herein. Dr. George reports consultancy for Covidien. Dr. Groben reports no conflicts regarding the content herein.
Manuscript received October 18, 2012; provisional acceptance given November 11, 2012; final version accepted November 26, 2012.
Address for correspondence: Jon C. George, MD, Director of Clinical Research, Division of Cardiovascular Medicine, Deborah Heart and Lung Center, 200 Trenton Road, Browns Mills, NJ, 08015, USA. Email: georgej@deborah.org


