Optimizing Excimer Laser Atherectomy Technique for Treatment of Femoropopliteal In-Stent Restenosis
Abstract
Endovascular treatment of symptomatic peripheral artery disease has traditionally been performed with percutaneous transluminal angioplasty (PTA), although long-term patency in femoropopliteal arteries remains unsatisfactory. The use of bare metal stents in the femoropopliteal arteries has led to improved safety and patency compared to PTA although neointimal hyperplasia proliferation leading to in-stent restenosis (ISR) remains a common risk. Atherectomy is a promising treatment for femoropopliteal ISR because it removes plaque and neointimal hyperplasia, increasing procedural blood flow, which may improve long-term treatment outcomes. FDA approval was recently received for atherectomy with the Turbo-Tandem excimer laser catheter system for treatment of femoropopliteal ISR (the Spectranetics Corporation). The purpose of this paper is to describe the procedural technique of excimer laser atherectomy within ISR and to highlight the clinical utility of this technology in challenging case examples.
VASCULAR DISEASE MANAGEMENT 2016;13(1):E17-E30
Key words: atherectomy, atherosclerosis, claudication, in-stent restenosis
_____________________________________________________________
Peripheral artery disease (PAD) affects up to 10 million Americans and is associated with serious complications, including claudication, rest pain, ischemic ulcers, gangrene, and amputation. Patients with PAD are also at elevated risk for heart disease, aortic aneurysm, stroke, and mortality.1 Endovascular treatment of symptomatic PAD has traditionally been performed with percutaneous balloon angioplasty (PTA) and, more recently, with various modes of atherectomy and stenting. While satisfactory procedural safety with PTA has been established, long-term patency in femoropopliteal arteries ranges from 35% to 61% at 1 year.2-7
The use of bare metal stents (BMS) in the femoropopliteal arteries has reduced the risk of PTA-related complications, including elastic recoil, significant dissection, and residual stenosis. BMS has also demonstrated improved patency rates compared to PTA alone, with values ranging from 68% to 90% at 1 year.4,8-13 However, a limitation of BMS is neointimal hyperplasia proliferation, leading to in-stent restenosis (ISR). Iatrogenic vessel injury during stent implantation, which can be exacerbated by stent fractures,14-17 may trigger the restenosis cascade and lead to symptom recurrence. Malapposed and under-expanded stents have also been shown to expedite this process.18-20
PTA and cutting balloons have been used for the treatment of femoropopliteal ISR, yet long-term outcomes are unsatisfactory, with 6-month restenosis rates of 73% and 65%, respectively.21 Paclitaxel-eluting balloons22 and stents23 have shown promising results in femoropopliteal ISR although evidence remains limited. Atherectomy is a promising treatment for femoropopliteal ISR with somewhat different therapeutic goals compared to the treatment of de novo lesions. The primary goal of atherectomy in de novo lesions is to improve vessel compliance so the vessel responds favorably to subsequent treatments (e.g. angioplasty, stent placement) and to optimize the potential for positive remodeling. The primary goal of atherectomy in ISR lesions is maximum debulking, because a stented vessel cannot remodel like a nonstented vessel and, therefore, the best chance of enlarging the lumen is to remove as much restenotic material as possible. Atherectomy removes plaque and neointimal hyperplasia, increasing procedural blood flow, and reduces the outward forces exerted on the vessel wall during PTA, which may improve long-term treatment outcomes by reducing the damage imparted to the vessel wall. In 2014, the first excimer laser catheter system received FDA approval for treatment of femoropopliteal ISR. Given this recent approval and widespread clinical adoption of this technology, this paper was developed to educate vascular specialists by describing the procedural technique in detail and to highlight the clinical utility of laser atherectomy in challenging ISR case examples.
Devices
The atherectomy technologies described in this report pertain to the Turbo-Elite (TE) laser ablation catheter and Turbo-Tandem (TT) laser guide catheter with laser atherectomy catheter, in conjunction with the CVX-300 excimer laser (the Spectranetics Corporation). Unlike PTA, which modifies obstructions through a disruptive stretching process, excimer laser catheters photoablate lesions consisting of plaque, thrombus, neointimal hyperplasia, and calcium. The catheters contain optical fibers to transmit pulses of ultraviolet light at 308 nm from the excimer laser to the target obstruction. The ultraviolet pulses ablate the lesion as the catheter tip is slowly advanced through the blockage. The treatment application site is at the distal tip of the laser catheters enabling a forward photoablation/atherectomy capability unlike other interventional devices. With this capability, excimer laser catheters can recanalize vascular blockages that are uncrossable or refractory to PTA.
Turbo-Elite Ablation Catheter
Turbo-Elite over-the-wire excimer laser catheters are percutaneous intravascular devices constructed of multiple optical fibers arranged around a guidewire lumen (Figure 1). The laser catheter is connected to the CVX-300 excimer laser system by means of an optical coupler and tail tubing. The multifiber laser catheters transmit ultraviolet energy from the CVX-300 excimer laser system to the obstruction in the artery. A luer adapter located at the proximal end of the usable length facilitates the use of the laser catheter over the appropriate sized guidewire (0.014˝ and 0.018˝). The laser catheters have a lubricious coating to facilitate trackability through arteries. The TE catheters may be utilized independently for treatment of PAD, and prior to the use of a TT catheter when a ≥2.0 mm pilot channel is not angiographically evident.
Turbo Tandem Laser Guide Catheter with Laser Atherectomy Catheter
The TT laser atherectomy catheter is constrained within a laser guide catheter to facilitate the offset (biased position) of the laser atherectomy catheter. The TT catheter is designed to directionally ablate infrainguinal concentric and eccentric lesions in femoropopliteal vessels ≥5 mm diameter. The TT is not designed to be used in total or subtotal occlusions; therefore, a ≥2 mm pilot channel must be created with a TE laser catheter or be angiographically evident in the target treatment segment prior to the use of the device. The TT is 7 Fr sheath compatible with a maximum crossing profile of .160˝ (4.0 mm) with the laser catheter extended in the offset position. The incorporated laser catheter is similar to the TE in that it is constructed of multiple optical fibers arranged circumferentially around a 0.014˝ (0.35 mm) guidewire compatible lumen and has a fiberoptic surface area similar to a 2.0 mm TE. The laser catheter is connected to the CVX-300 excimer laser system by means of an optical coupler and tail tubing. The guiding catheter portion of the TT is comprised of a handle with an incorporated flush port, proximal coupler, tail tubing, strain relief tubing, braided shaft with a hydrophilic coating, two radiopaque marker bands in the distal tip with a platform, and one radiopaque marker band at the distal end of the laser catheter. During use, the laser ablation catheter is advanced from the inner lumen of the guiding catheter to sit on the platform of the distal tip, which offsets the laser catheter (Figure 2). The hydrophilic coating on the outside of the guiding catheter reduces friction during navigation of the TT through the vasculature. The braided shaft portion of the guiding catheter transfers torque applied to the proximal end of the device to the distal tip resulting in system rotation around the guidewire axis. Offsetting the distal end of the laser catheter and providing torque capability allows for the system to be directed to the desired treatment plane within the vessel.
Excimer Laser Atherectomy Best Practices
With the patient sedated, locally anesthetized, and in the supine position, a standard femoral puncture technique is used to insert a 7 Fr introducer sheath into the common femoral artery in antegrade or retrograde fashion. Heparin is administered intravenously to ensure adequate anticoagulation. Baseline angiography is performed by injecting contrast medium through the introducer sheath or guiding catheter. Images are obtained in multiple projections, delineating anatomical variations and morphology of the lesion(s) to be treated. A .014˝ guidewire is introduced through the intended treatment site via the introducer sheath or guiding catheter. In the presence of a wire-refractory obstruction or occlusion, a TE laser catheter may be used to assist recanalization of the target treatment site.
The reference vessel diameter must be ≥5.0 mm for the 7 Fr TT. A ≥2 mm lumen should be created with a TE laser catheter or be angiographically evident in the target treatment segment prior to the use of the TT System. If an appropriately sized lumen is not evident, then an appropriately sized TE can be used to create one. A 2.0 mm (or larger) TE is recommended for creating a lumen ≥2 mm. When using any laser catheter, care should be taken when removing the catheter from its packaging. Although rare, placing kinks, knots, or sharp bends in the catheter may damage the laser fibers and negatively affect device performance. Attempt to keep the laser catheters as straight as possible after removal from packaging and during use.
After selecting the appropriately sized TE, the outer jacket of the catheter is hydrated to activate the hydrophilic coating by dipping the catheter in a basin or wiping with wet gauze using sterile solution. The guidewire lumen of the laser catheter is flushed using 5 mL to 10 mL of heparinized saline. The distal tip of the laser catheter is inserted over the selected guidewire, which is guided to the lesion using fluoroscopic visualization. A radiopaque band marker indicates the position relative to the lesion. Contrast medium solution is injected through the introducer sheath or guiding catheter to verify the positioning of the laser catheter under fluoroscopy. Following confirmation that the laser catheter position is in contact with the target lesion, normal saline solution is used to flush all residual contrast media from the introducer sheath/guide catheter, in-line connectors, the lasing site, and vascular structures adjacent to the lasing site, prior to activating the CVX-300 excimer laser. Care should be taken to avoid lasing in the presence of contrast.
Begin treatment of the stenosis with the default settings of 45 fluence and 25 frequency. The laser catheter should be advanced through the stenosis slowly at a rate of less than 1 mm per second, not to exceed 20 seconds of continuous lasing. Additional laser passes may be performed over the wire to achieve greater debulking of the lesion. If resistance to catheter advancement is met (e.g., calcium), the fluence and repetition rates may be increased. Continue to slowly advance the catheter while lasing. Following each pass with the TE, contrast medium solution may be injected through the introducer sheath or guiding catheter to assess if adequate lumen has been created for the TT. If not, flush the contrast medium with normal saline and perform another pass with the TE. If adequate lumen is created, remove the TE catheter as the lesion has been appropriately prepped for the TT System.
Next, advance the distal tip of the TT system over the proximal end of the .014˝ guidewire. Once the guidewire advances through the laser catheter tip, continue advancing the guidewire through the TT system until it is accessible at the proximal end. Under fluoroscopic control, guide the TT to the lesion. The laser catheter tip should be in the retracted position to minimize damage to the catheter during advancement to the lesion. Similarly, the laser catheter should be in a retracted state whenever advancing or retracting the TT without lasing.
Set up a saline infusion pressurized system and connect it to the introducer sheath or crossover sheath hub. Although a manual balloon catheter pump or syringe may be used to infuse saline through the wire lumen of the TT, the instructions for use recommend infusing through the introducer or crossover sheath. Flush the system and ensure all lines are flushed and then closed until laser ablation is initiated. Once the tip of the TT is located at the lesion, the laser catheter is advanced onto the distal tip platform by depressing both the proximal and distal disks until the laser catheter is advanced onto the desired location along the tip ramp. Contrast media is injected through the introducer sheath or crossover sheath to verify the location of the laser catheter under fluoroscopy. Next, saline is flushed via the infusion pressurized system to clear the intended laser treatment field of contrast media.
Under fluoroscopic control, begin lasing and slowly advance the TT over the guidewire at a rate of less than 1 mm per second through the entire length of the intended treatment site, allowing the laser energy to photoablate the desired material. Adjust torque to the system to maintain tip orientation. The system should only be advanced under fluoroscopic guidance to confirm location and orientation of the tip.
After ablating the length of the lesion, the laser catheter is retracted from the distal tip platform and repositioned to the proximal edge of the lesion. The device is rotated 60° to 90° and lasing is repeated until the desired effect is accomplished. Four passes with the TT are typically sufficient to adequately debulk and prepare the lesion for PTA. A target of <30% diameter stenosis pre-balloon is desired. The laser catheter is retracted from the distal tip platform and the TT is removed from the patient. Finally, the lesion is treated with PTA using standard techniques.
Case Examples
Case 1. Long Partial Stenosis
A 74-year-old white male presented with severe claudication (Rutherford class III; TASC A; ABI 0.81) in the right leg. Comorbidities included hypertension, hyperlipidemia, diabetes, coronary artery disease, atrial fibrillation, chronic kidney disease, and smoking history. Stent placement by PTA of the right femoral artery extending from the proximal to distal segments was performed less than 1 year prior. Angiographic imaging revealed a significant reduction in blood flow through the stented SFA (Figure 3). The imaging core laboratory identified a 75% diameter stenosis, a minimum lumen diameter of 1.2 mm within a reference vessel diameter of 4.8 mm. Calcification was not evident and the lesion length was 101 mm with an overall stented length of 220 mm.
Prior to performing laser atherectomy, a guidewire was passed through the lesion. The 2.3 mm TE was advanced over the guidewire and placed just proximal to the lesion. One pass was made with the TE to ensure an adequate lumen for the TT (settings of 60 fluence, 80 Hz). Higher initial settings were utilized within a stent to provide improved debulking capabilities. Multiple passes may be performed if there is any question that the lumen diameter is inadequate to comfortably accommodate the TT.
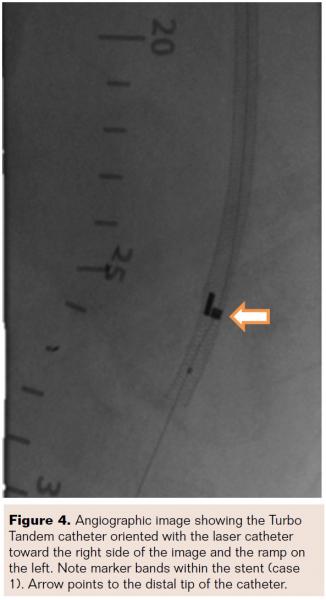
After the TE was removed, the 7 Fr TT was then positioned at the proximal portion of the lesion. Settings were adjusted to 40 fluence and 30 Hz, but were raised after 4 initial passes to 80 fluence and 80 Hz because higher laser settings allow more efficient ablation and tissue removal. The stent provides added structural support to the vessel so the higher settings appear to have a minimal effect on patient safety in these cases. Eight passes were made with the TT catheter, rotating 90° after each pass and increasing the settings for the final 4 passes. Catheter orientation was identified using fluoroscopy to ensure that each orientation was maintained throughout the entire pass (Figure 4). This allows for maximum debulking, preventing the catheter from falling back into a channel that has already been ablated.
Following the 8 passes (Figure 5), the TT was removed and the angioplasty balloon was inserted to the lesion site. One inflation with the balloon at 18 atm for 120 seconds reduced the diameter stenosis to 24% (Figure 6). Long, slow inflations are recommended to prevent vessel dissections and tissue recoil. The procedure was successful with no adverse device-related events. This patient was followed for 12 months without the need for revascularization.
Case 2. Total Occlusion
A 78-year-old white female complained of ischemic rest pain in the left leg (Rutherford Class IV; TASC D; ABI 0.40). The patient presented with hypertension, hyperlipidemia, and coronary artery disease. She previously underwent stenting of the mid SFA, distal SFA, and popliteal (P1) arteries 4 months prior. According to core laboratory angiographic analysis, ISR had completely occluded the stented segment with mild calcification present (Figure 7). Lesion length was 350 mm with a vessel with a RVD of 4.21 mm.
Prior to laser atherectomy treatments, an embolic filter was guided through the occlusion and deployed downstream of the lesion. Although the risk of generating embolic debris is low when lasing at slow speeds, the use of embolic filters may improve patient safety and reduce overall procedure time. After placing the filter, multiple angiographic views were utilized to ensure that the filter remained in the true lumen with no interference from stent struts. In cases where a filter or guidewire is unable to pass through the occluded vessel, the step-by-step procedure using the TE (described below) may be used to cross and prep the lesion for the TT.
Once the filter/guidewire was placed, the TE was advanced to the proximal edge of the occlusion. The laser was set to 45 fluence and 25 Hz. Two passes were made with the 1.7 mm TE in order to debulk the lesion enough to accommodate the 7 Fr TT. The key to successful debulking with the TE, or any laser catheter, is to move slowly and allow the catheter to ablate the tissue. Minimal force should be required while lasing to advance the catheter. However, if resistance is encountered, the laser settings may be increased, provided the catheter is within the true lumen of a stent.
After an appropriately sized lumen was created, the TE was removed and the TT inserted to the proximal edge of the lesion. The laser was again set to 45 fluence at 25 Hz. Five passes were made with the TT to satisfactorily debulk the lesion and prepare it for PTA (Figure 8). The catheter was rotated after each pass in order to remove as much material as possible. Angioplasty was then performed in a step-wise fashion, using three inflations along the length of the lesion, working from proximal to distal. Inflations were between 6 atm and 10 atm for 2 minutes to 3 minutes with a 5 mm x 200 mm balloon. The result was a reduction of the ISR from 100% to 23% diameter stenosis. The procedure was successful with no adverse device-related events (Figure 9). This patient was followed for 12 months without the need for revascularization.
In the event that a guidewire cannot be passed through a fully occluded lesion, the step-by-step method may be attempted. First, advance the guidewire beyond the distal tip of the laser catheter as far into the occlusion as possible while maintaining position within the true lumen. Multiple angiographic projections are used to confirm true lumen positioning. The TE is positioned at the edge of the total occlusion and slowly (<1 mm per second) advanced 2 mm to 3 mm into the lesion. Then, the guidewire is advanced beyond the distal tip of the laser catheter another 2 mm to 3 mm further into the occlusion and the process is repeated until the catheter reaches the last 3 mm to 5 mm of the occlusion. Next, cross the remainder of the occlusion and enter the patent distal vessel with the guidewire first. Slowly (<1 mm per second) advance the activated laser catheter over-the-wire until the lesion has been crossed. Leaving the guidewire in position, retract the laser catheter and inject contrast medium through the guiding catheter to examine the lesion via fluoroscopy. Additional laser passes may be performed over-the-wire to achieve greater debulking of the lesion. If resistance to catheter advancement is encountered (e.g. calcium), the fluence and repetition rates may be increased.
Case 3. Stent Fracture
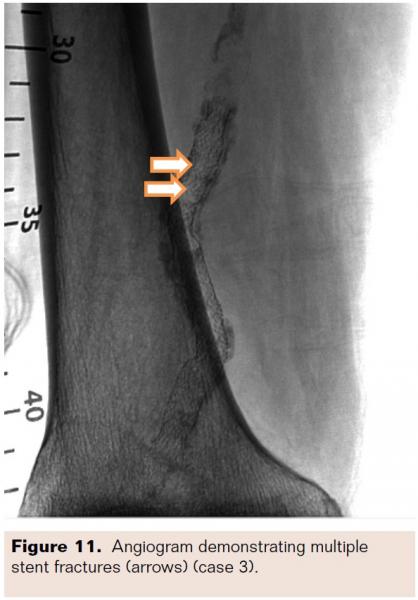
An 80-year-old black male with a history of hypertension, hyperlipidemia, and diabetes noted severe claudication in his right leg (Rutherford Class III; TASC A; ABI 0.86). The patient received a stent in the SFA 16 months prior. Angiography revealed reduced flow through the stented segment. Core laboratory adjudication measured 61% diameter stenosis, with a reference vessel diameter of 5.96 mm and a minimum lesion diameter of 2.32 mm (Figure 10). The lesion length was 29 mm within a 110 mm stent. Mild calcification was observed as well as a class 2 stent fracture (Figure 11). In the presence of a stent fracture, caution must be exercised since fractures increase the risk of suboptimal guidewire placement by sandwiching the guidewire between the stent and the vessel wall. Multiple angiographic views should be utilized to ensure proper guidewire placement. Stent fractures may impede the advancement of treatment devices, which may prolong procedure time and increase risk for vessel trauma, stent damage, and device damage. Stent fractures may also rupture PTA balloons, reducing treatment effectiveness and contributing to additional treatment time and cost.
After ensuring that the guidewire was placed in the true lumen, the 2.0 mm TE was advanced to the proximal side of the lesion. Settings were adjusted to 45 fluence and 25 Hz before making a single pass. Special attention was paid to ensure slow but constant advancement of the laser catheter as it passed fractured struts. In cases where the laser catheter is halted by the stent, lasing should be stopped, the catheter repositioned, and lasing reattempted. If still unsuccessful, a smaller catheter may be used to create more space to maneuver the guidewire, which may allow for larger catheters to pass. If using the TT, attempt to rotate the catheter to a new orientation to allow it to pass.
As with all laser catheters, constant saline infusion should be provided while lasing. Iodinated contrast and blood absorb the excimer laser energy to a much higher degree than saline. Consequently, if the laser is activated in contrast (and to a lesser extent blood), the large pressure gradients generated substantially increase the risk for dissection. Therefore, it is imperative that contrast is removed from the treatment site prior to lasing.
Following treatment with the TE, the lumen was checked angiographically to assure sufficient room for the TT. The TE was then removed and the TT placed at the site of the occlusion. The laser settings were adjusted to 60 fluence and 45 Hz, an increase from the nominal settings to provide additional debulking capabilities. Four passes were made with the TT, rotating the catheter after each pass to prep the vessel for PTA. One inflation at 10 atm for 120 seconds reduced the diameter stenosis to 28% (Figure 12). No device-related adverse events were reported. This patient was followed for 12 months without the need for revascularization.
Discussion
The EXCITE ISR randomized controlled trial evaluated the safety and efficacy of excimer laser atherectomy with adjunctive PTA compared to PTA alone for the treatment of peripheral ISR in patients with Rutherford class I-IV lesions within bare nitinol stents. Results demonstrated superiority for excimer laser atherectomy with adjunctive PTA in procedural success, safety, and efficacy. These subjects demonstrated superior procedural success (93.5% vs 82.7%; P=.01) with significantly fewer procedural complications. Freedom from TLR at 6 months was 73.5% vs 51.8% (P<.005), and 30-day major adverse event rates were 5.8% vs 20.5% (P<.001), respectively.24
The EXCITE protocol stated that when the TE was used to create a pilot channel, the laser treatment process was to begin with a laser energy level of 45 fluence and a pulse repetition rate of 25 Hz. If there was no stent interference, but the restenotic tissue was resistant to laser treatment, the protocol recommended increasing the laser energy settings to 60 fluence and 40 Hz for the remainder of the TE process. Once a pilot channel ≥2 mm was present, the protocol recommended that 4 passes (with rotations of 60° to 90° after each pass) be performed with the TT at settings of 60 fluence and 40 Hz.
Although these settings have been shown to produce effective outcomes, experienced laser users suggest that higher laser setting may be employed to maximize debulking efforts. Maximal final settings (60 fluence, 80 Hz) may be used within the stent by experienced users without much concern, because the structural support provided by the stent reduces the risk of perforation. However, a progressive approach to increasing settings is still recommended to assess how the lesion ablates. If adequate debulking can be achieved at lower settings, there may be no need for further lasing. If the lesion is resistant to ablation, users should feel comfortable increasing the settings in-stent, beginning with frequency. Increasing frequency is analogous to “sharpening the knife” and is thought to be less impactful on a vessel, compared to increasing fluence, which is analogous to “selecting a larger knife.”
While the results of the FDA-IDE trial are encouraging, successful outcomes were not realized in all patients. The primary complications included residual stenosis >30% (5%) and flow-limiting dissection (2%), both of which can be managed with stent placement. Slow catheter advancement rate, multiple passes, proper laser settings, saline infusion during lasing, and true lumen guidewire placement are important aspects of the technique that may improve procedural and long-term success. Although embolism is uncommon when lasing at slow speeds, use of distal embolic protection may reduce embolism risk. Although the relationship is unclear, there may be an increased risk of adverse events when these procedural guidelines are not followed. Overall, dissemination of proper procedural technique with the excimer laser atherectomy catheters and highlighting treatment tips in real-world cases remains an important endeavor. This manuscript serves as the most comprehensive resource available on excimer laser atherectomy best practices in patients with femoropopliteal ISR.
Editor’s note: Disclosure: The authors have completed and returned the ICMJE Form for Disclosure of Potential Conflicts of Interest. Dr. Miller reports consultancy to the Spectranetics Corporation. Dr. Kovach reports consultancy, grants pending, honoraria, speaker payments, and reimbursements from the Spectranetics Corporation. Dr. Beasley reports that he is a trainer with the Spectranetics Corporation. Hailey Austin and Dr. Schneider report employment with the Spectranetics Corporation. Dr. Goldstein reports no disclosures.
Manuscript received August 23, 2015; manuscript accepted October 21, 2015.
Address for correspondence: Larry E. Miller, PhD, Miller Scientific Consulting, 1854 Hendersonville Road, #231, Asheville, North Carolina 28803, United States. Email: larry@millerscientific.com
References
- Norgren L, Hiatt WR, Dormandy JA, et al; TASC II Working Group. Inter-society consensus for the management of peripheral arterial disease (TASC II). J Vasc Surg. 2007;45 Suppl S:S5-67.
- Minar E, Pokrajac B, Maca T, et al. Endovascular brachytherapy for prophylaxis of restenosis after femoropopliteal angioplasty: results of a prospective randomized study. Circulation. 2000;102(22):2694-2699.
- van der Zaag ES, Legemate DA, Prins MH, Reekers JA, Jacobs MJ. Angioplasty or bypass for superficial femoral artery disease? A randomised controlled trial. Eur J Vasc Endovasc Surg. 2004;28(2):132-137.
- Krankenberg H, Schluter M, Steinkamp HJ, et al. Nitinol stent implantation versus percutaneous transluminal angioplasty in superficial femoral artery lesions up to 10 cm in length: the femoral artery stenting trial (FAST). Circulation. 2007;116(3):285-292.
- Pokrajac B, Potter R, Wolfram RM, et al. Endovascular brachytherapy prevents restenosis after femoropopliteal angioplasty: results of the Vienna-3 randomised multicenter study. Radiother Oncol. 2005;74(1):3-9.
- Schillinger M, Mlekusch W, Haumer M, Sabeti S, Ahmadi R, Minar E. Angioplasty and elective stenting of de novo versus recurrent femoropopliteal lesions: 1-year follow-up. J Endovasc Ther. 2003;10(2):288-297.
- Schillinger M, Sabeti S, Loewe C, et al. Balloon angioplasty versus implantation of nitinol stents in the superficial femoral artery. N Engl J Med. 2006;354(18):1879-1888.
- Sabeti S, Schillinger M, Amighi J, et al. Primary patency of femoropopliteal arteries treated with nitinol versus stainless steel self-expanding stents: propensity score-adjusted analysis. Radiology. 2004;232(2):516-521.
- Dearing DD, Patel KR, Compoginis JM, Kamel MA, Weaver FA, Katz SG. Primary stenting of the superficial femoral and popliteal artery. J Vasc Surg. 2009;50(3):542-547.
- Ferreira M, Lanziotti L, Monteiro M, et al. Superficial femoral artery recanalization with self-expanding nitinol stents: long-term follow-up results. Eur J Vasc Endovasc Surg. 2007;34(6):702-708.
- Schlager O, Dick P, Sabeti S, et al. Long-segment SFA stenting--the dark sides: in-stent restenosis, clinical deterioration, and stent fractures. J Endovasc Ther. 2005;12(6):676-684.
- Zeller T, Tiefenbacher C, Steinkamp HJ, et al. Nitinol stent implantation in TASC A and B superficial femoral artery lesions: the Femoral Artery Conformexx Trial (FACT). J Endovasc Ther. 2008;15(4):390-398.
- Dosluoglu HH, Cherr GS, Lall P, Harris LM, Dryjski ML. Stenting vs above knee polytetrafluoroethylene bypass for TransAtlantic Inter-Society Consensus-II C and D superficial femoral artery disease. J Vasc Surg. 2008;48(5):1166-1174.
- Umeda H, Kawai T, Misumida N, et al. Impact of sirolimus-eluting stent fracture on 4-year clinical outcomes. Circ Cardiovasc Interv. 2011;4(4):349-354.
- Umeda H, Gochi T, Iwase M, et al. Frequency, predictors and outcome of stent fracture after sirolimus-eluting stent implantation. Int J Cardiol. 2009;133(3):321-326.
- Ino Y, Toyoda Y, Tanaka A, et al. Predictors and prognosis of stent fracture after sirolimus-eluting stent implantation. Circ J. 2009;73(11):2036-2041.
- Iida O, Nanto S, Uematsu M, Ikeoka K, Okamoto S, Nagata S. Influence of stent fracture on the long-term patency in the femoro-popliteal artery: experience of 4 years. JACC Cardiovasc Interv. 2009;2(7):665-671.
- Santos MC, Lin T, Barlis P. In-stent restenosis associated with stent malapposition: seven year optical coherence tomography findings. Int J Cardiol. 2011;147(1):149-151.
- Liu X, Doi H, Maehara A, et al. A volumetric intravascular ultrasound comparison of early drug-eluting stent thrombosis versus restenosis. JACC Cardiovasc Interv. 2009;2(5):428-434.
- Doi H, Maehara A, Mintz GS, et al. Impact of post-intervention minimal stent area on 9-month follow-up patency of paclitaxel-eluting stents: an integrated intravascular ultrasound analysis from the TAXUS IV, V, and VI and TAXUS ATLAS Workhorse, Long Lesion, and Direct Stent Trials. JACC Cardiovasc Interv. 2009;2(12):1269-1275.
- Dick P, Sabeti S, Mlekusch W, et al. Conventional balloon angioplasty versus peripheral cutting balloon angioplasty for treatment of femoropopliteal artery in-stent restenosis: initial experience. Radiology. 2008;248(1):297-302.
- Liistro F, Angioli P, Porto I, et al. Paclitaxel-eluting balloon vs. standard angioplasty to reduce recurrent restenosis in diabetic patients with in-stent restenosis of the superficial femoral and proximal popliteal arteries: the DEBATE-ISR study. J Endovasc Ther. 2014;21(1):1-8.
- Zeller T, Dake MD, Tepe G, et al. Treatment of femoropopliteal in-stent restenosis with paclitaxel-eluting stents. JACC Cardiovasc Interv. 2013;6(3):274-281.
- Dippel EJ, Makam P, Kovach R, et al. Randomized Controlled Study of Excimer Laser Atherectomy for Treatment of Femoropopliteal In-Stent Restenosis: Initial Results From the EXCITE ISR Trial (EXCImer Laser Randomized Controlled Study for Treatment of FemoropopliTEal In-Stent Restenosis). JACC Cardiovasc Interv. 2015;8(1 Pt A):92-101.


