Mycotic Pulmonary Artery Pseudoaneurysm in a Child Treated by Endovascular Coil Embolization
Abstract
Mycotic pulmonary artery pseudoaneurysms can arise in patients with hematologic malignancies and in those who are immunocompromised. The treatment of this condition involves a multidisciplinary approach involving interventional radiologists, oncologists, surgeons, and infectious disease specialists. Endovascular treatment can be an effective approach in the treatment of mycotic pseudoaneurysms and avoid the morbidity associated with more invasive surgery. We present a case of a child with B-lymphoblastic lymphoma of the kidneys with a mycotic pseudoaneurysm of the pulmonary artery treated with endovascular coil embolization and also present a review of the literature.
VASCULAR DISEASE MANAGEMENT 2015;12(12):E242-E246
Key words: pesudoaneurysm, endovascular therapy
Introduction
Pulmonary artery aneurysms and pseudoaneurysms are uncommon and can be a serious cause of morbidity and mortality. Because pseudoaneurysms lack an adventitial wall, they are more prone to enlargement and rupture.1 Mycotic aneurysms are pseudoaneurysms that arise due to focal damage to a vessel wall by an invasive microbial organism causing an infective arteritis. They are rare and constitute only 1% to 3% of all arterial aneurysms.2 Immunocompromised patients, including those with hematologic malignancies, are at increased risk of infections and can develop mycotic aneurysms. The most common organisms responsible for mycotic aneurysms are bacterial; gram-positive cocci predominate, with Staphylococcus aureus accounting for around 45% of cases and streptococci for 10%.3
Although there are many case reports of endovascular intervention in the treatment of mycotic aneurysms of the pulmonary artery in adults, there are no reports of this treatment in children. We present a case of a mycotic aneurysm of the pulmonary artery in a child, which was treated with endovascular coil embolization. We also present a review of literature of other mycotic pulmonary artery aneurysms and a discussion of other available options to treat pulmonary pseudoaneurysms.
Case Report
A 13-year-old female with neutropenia secondary to treatment of B-lymphoblastic lymphoma of the kidneys, had been previously diagnosed with Aspergillus fungal pneumonia by bronchoalveolar lavage, for which she had received 4 weeks of intravenous Amphotericin B and 6 weeks of oral voriconazole. Three and a half months from the diagnosis of fungal pneumonia, she presented with history of fever for 3 days, acute onset of dyspnea, and one episode of massive hemoptysis. On general examination, she was febrile (38 C), had clinical pallor with tachycardia and tachypnea, and had cold peripheries. Systemic examination revealed bilateral diffuse crepitations over both lung fields. Laboratory tests showed that she had anemia with a hemoglobin of 8.1 g/d and her sputum culture grew Pseudomonas aeruginosa.
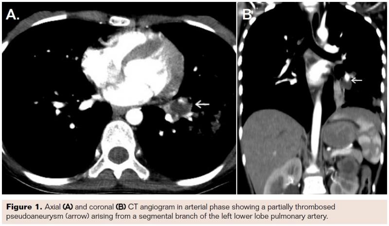
A computed tomography (CT) angiogram of the thorax was done, which showed a partially thrombosed pseudoaneurysm arising from a segmental branch of the left lower lobe pulmonary artery (Figure 1A and 1B), measuring approximately 10 mm. There were also multiple cavitating nodules in both the lungs, consistent with the past history of fungal pneumonia. A diagnosis of postinfectious mycotic pseudoaneurysm of the pulmonary artery was made and a catheter angiogram was planned with intent of endovascular intervention.
The approach for the intervention was from a right side common femoral vein access using an 11cm, 5 Fr Avanti sheath (Cordis Corporation). A combination of 0.035˝ stiff Radifocus glidewire (Terumo) and 5 Fr Infiniti pigtail catheter (Cordis Corporation) was used to catheterize the right heart and the left main pulmonary artery. An angiogram was performed, which showed a wide-necked aneurysm arising from the proximal part of the left medial/anterior basal segmental lower lobe pulmonary artery (Figure 2).
The pigtail catheter was exchanged for a 4 Fr Infiniti cobra catheter (Cordis Corporation) over the stiff glide wire. Using the 4 Fr cobra catheter as a guiding catheter, the segmental left lower lobe pulmonary artery branch was selectively catheterized using a hydrophilic 3 Fr Progreat microcatheter (Terumo). The microcatheter was placed within the sac of the aneurysm and multiple 0.018˝ platinum coils (Hilal embolization micro-coils; Cook Medical) with sizes ranging from 6 mm to 10 mm were deployed to fill the sac and the proximal feeding artery. After completion of the procedure, check angiograms were performed with the microcatheter and guiding catheter, which showed complete occlusion of the pseudoaneurysm and its feeding artery with preserved flow in the other segmental arteries (Figure 3).
Post procedure, the patient was managed with intravenous antibiotics and other conservative measures. The patient did not have any further episodes of significant hemoptysis and was discharged in a stable condition.
Discussion
Pulmonary artery pseudoaneurysms can be caused by trauma, most commonly iatrogenic injury from pulmonary artery catheterization or placing Swan-Ganz catheters too far distal in the pulmonary artery.4 They can also be caused by erosion of the vascular wall by neoplasms or infections. Infectious processes leading to the formation of mycotic pulmonary artery aneurysms include right-sided endocarditis, necrotizing pneumonia, tuberculosis (Rasmussen pseudoaneurysm) and syphilis.5
Because pulmonary artery pseudoaneurysms lack an adventitial wall, they are more prone to rupture than true aneurysms. The most common manifestation of rupture is hemoptysis and it is often massive, with mortality in up to 50% of patients.5
In the evaluation of hemoptysis, CT angiography is an invaluable tool to detect the cause and in the planning of treatment. Although catheter angiography is considered the gold standard in the diagnosis of pulmonary artery pseudoaneurysms, CT may demonstrate pseudoaneurysms not detectable on catheter angiography.6 In addition, CT angiography allows the detection of synchronous lesions, which are especially common in mycotic aneurysms. On CT angiography, pulmonary artery pseudoaneurysms will appear as a focal out-pouching of contrast adjacent to a branch of the pulmonary artery, which follows the same contrast density as the pulmonary artery on all phases of the study. On catheter angiography, pulmonary artery pseudoaneurysms show delayed emptying of contrast material from the sac due to the lack of an elastic aneurysmal wall.
The traditional treatment offered to patients with pulmonary artery aneurysms was open thoracotomy followed by resection of the aneurysm and the involved lobe. Since treatment with open repair has an increased morbidity and mortality, various percutaneous and endovascular techniques have been developed to treat pulmonary artery aneurysms and pseudoaneurysms.
A brief review of the current literature showed that embolization using coils is the most popular technique reported.5,7,8 This is because of the relative low cost and easy availability of coils in most interventional suites. Since pulmonary arteries are end arteries, simple proximal occlusion of the feeding artery may be sufficient to embolize small pseudoaneurysms, while larger aneurysms can be treated by directly filling the aneurysm sac with coils. However, it must be noted that coils in themselves are inefficient at causing complete occlusion of the feeding artery. They rely on an intact intrinsic coagulation mechanism and reducing the arterial pressure head, which promotes stasis and thrombosis. Some patients with mycotic aneurysms who are in sepsis will have coagulopathies that will require correction for complete thrombosis of the aneurysm to be achieved. In such situations, balloon embolization has been used as an alternative to coils.9
The use of liquid embolic agents in the pulmonary circulation involves a potential risk of systemic artery embolization via pulmonary-systemic shunts. Nonetheless, there are a few reports in the literature of their safe use in treating pulmonary artery aneurysms.10
Patients with wide-necked aneurysms are a potential challenge for endovascular treatment and can be treated with the use of covered stents.11,12 However, the potential risk of graft infection while using stent grafts in mycotic aneurysms must be borne in mind with appropriate use of antibiotic cover.
Finally, pulmonary artery pseudoaneurysms that are inaccessible to an endovascular approach or that have failed coil embolization have been treated by direct percutaneous thrombin injection.13 Again, the potential risks of pneumothorax, hemothorax, and systemic shunting of thrombus must be weighed against the benefit of the procedure.
There are no randomized controlled trials or standard guidelines for the optimal antibiotic treatment of mycotic aneurysms. As most patients are acutely unwell, an intravenous route of administration is preferred and empirical antibiotics are started soon after diagnosis, which can be modified based on drug sensitivity of the organism. The choice and duration of antibiotic cover is tailored to the individual patient and depends on several factors including the source of infection, site of aneurysm, immune status of the patient, and the antibiotic sensitivity of the microorganism. It is recommended to start empirical antibiotic treatment to cover a broad spectrum of gram-negative and gram-positive organisms; additional cover to include fungal, treponemal, and mycobacterial agents may be considered in immunocompromised individuals.14 Although urgent endovascular treatment must not be delayed in patients who are hemodynamically unstable from a ruptured pseudoaneurysm, in patients with unruptured aneurysms, endovascular treatment can be deferred for a week after the initiation of appropriate antibiotic cover. There is no consensus on the overall duration of treatment. Antibiotics are administered for at least 6 weeks, longer in immunocompromised individuals, and continued until inflammatory markers are normalized and blood cultures are sterile.
In summary, pulmonary artery pseudoaneurysms are a rare but serious complication of pulmonary infections. They most commonly present with rupture as massive hemoptysis and their early diagnosis can be made with CT angiography. Endovascular intervention is the first-line option for the treatment of pulmonary artery pseudoaneurysms. The use of coils as an embolic agent is safe even in children with mycotic aneurysms.
Editor’s note: The authors have completed and returned the ICMJE Form for Disclosure of Potential Conflicts of Interest. The authors report no disclosures related to the content herein.
Manuscript received June 13, 2015; provisional acceptance given August 3, 2015; manuscript accepted August 10, 2015.
Address for correspondence: Gaurav Sundar, MD, Christian Medical College Department of Radiology, Ida Scudder Road, Vellore, Tamil Nadu, India. Email: gauravsundar@gmail.com
REFERENCES
- Ungaro R, Saab S, Almond CH, Kumar S. Solitary peripheral pulmonary artery aneurysms. Pathogenesis and surgical treatment. J Thorac Cardiovasc Surg. 1976;71(4):566-571.
- Parkhurst GF, Dekcer JP. Bacterial aortitis and mycotic aneurysm of the aorta; a report of twelve cases. Am J Pathol. 1955;31(5):821-735.
- Malouf JF, Chandrasekaran K, Orszulak TA. Mycotic aneurysms of the thoracic aorta: a diagnostic challenge. Am J Med. 2003; 115(6):489-496.
- Dieden JD, Friloux LA 3rd, Renner JW. Pulmonary artery false aneurysms secondary to Swan-Ganz pulmonary artery catheters. AJR Am J Roentgenol. 1987;149(5):901-906.
- Santelli ED, Katz DS, Goldschmidt AM, Thomas HA. Embolization of multiple Rasmussen aneurysms as a treatment of hemoptysis. Radiology. 1994;193(2):396-398.
- Shin MS, Ceballos R, Bini RM, Ho KJ. CT diagnosis of false aneurysm of the pulmonary artery not demonstrated by angiography. J Comput Assist Tomogr. 1983;7(3):524-526.
- Sbano H, Mitchell AW, Ind PW, Jackson JE. Peripheral pulmonary artery pseudoaneurysms and massive hemoptysis. AJR Am J Roentgenol. 2005;184(4):1253-1259.
- Mouas H, Lortholary O, Lacombe P, et al. Embolization of multiple pulmonary arterial aneurysms in Behcet’s disease. Scand J Rheumatol. 1996;25(1):58-60.
- Renie WA, Rodeheffer RJ, Mitchell S, Balke WC, White RI Jr. Balloon embolization of a mycotic pulmonary artery aneurysm. Am Rev Respir Dis. 1982;126(6):1107-1110.
- Khalil A, Parrot A, Fartoukh M, Djibre M, Tassart M, Carette MF. Pulmonary artery occlusion with ethylene vinyl alcohol copolymer in patients with hemoptysis: initial experience in 12 cases. AJR Am J Roentgenol. 2012;198(1):207-212.
- Park A, Cwikiel W. Endovascular treatment of a pulmonary artery pseudoaneurysm with a stent graft: report of two cases. Acta Radiol. 2007;48(1):45-47.
- Chou MC, Liang HL, Pan HB, Yang CF. Percutaneous stent-graft repair of a mycotic pulmonary artery pseudoaneurysm. Cardiovasc Intervent Radiol. 2006;29(5):890-892.
- Hovis CL, Zeni PT Jr. Percutaneous thrombin injection of a pulmonary artery pseudoaneurysm refractory to coil embolization. J Vasc Interv Radiol. 2006;17(12):1943-1946.
- Hot A, Mazighi M, Lecuit M, et al. Fungal internal carotid artery aneurysms: successful embolization of an Aspergillus-associated case and review. Clin Infect Dis. 2007;45(12):e156-e161.


