Micropuncture Access of Femoral Artery: Micro-Wires Leading to Macro-Complications
VASCULAR DISEASE MANAGEMENT 2020;17(12):E217-E220
Abstract
The increasing prevalence of vascular, cardiac, and valvular disease has resulted in greater development and utilization of percutaneous interventions. The common femoral artery access is of critical importance and remains the most widely utilized site for arterial access when performing diagnostic and percutaneous transluminal angioplasty of either the coronary or peripheral arterial tree. Though routine, knowledge of anatomical landmarks, aided by radiography, are essential to avoid potentially devastating complications. Furthermore, if complications do arise, it is vital to recognize when and how to intervene. We report a perforation of the right superficial iliac artery by J-angle tip microwire which inadvertently accessed this artery at the time of vascular access. This complication required treatment with embolization and coiling after prolonged balloon inflations failed to stop the bleeding. We discuss anatomical landmarks and treatment options of this complication as well as steps to avoid this mishap.
History of Present Illness
A 76-year-old female who developed sudden and severe left calf and foot pain after recent travel was found to have subtotal occlusion of the left popliteal artery and critical limb ischemia. Vascular access in the right common femoral artery with a micropuncture needle and wire was obtained. Fluoroscopy images of the J-tip micropuncture guide wire indicated that the wire was in the distal branch of the right superficial iliac artery which originates from the right common femoral artery. The wire was redirected into the external iliac artery and the planned procedure of the left popliteal occlusion ensued. Successful percutaneous transluminal angioplasty of the occluded left popliteal artery was performed without complication. That evening the patient experienced excruciating pain in the right lower quadrant.
Learning Objectives
• Micropuncture wire types
• Femoral artery anatomy
• Origin of the superficial iliac artery (SIA) with relationship to the femoral head and inguinal ligament
• SIA vascular territory and anastomoses
• Prevention and treatment of vascular access complications
Medical History
The patient had a history of osteoarthritis, previous gastrointestinal bleed due to peptic ulcer disease and hypothyroidism.
Differential Diagnosis
Common femoral artery access site hematoma
Common femoral artery pseudoaneurysm
Second order arterial bleeding/hematoma
Investigations
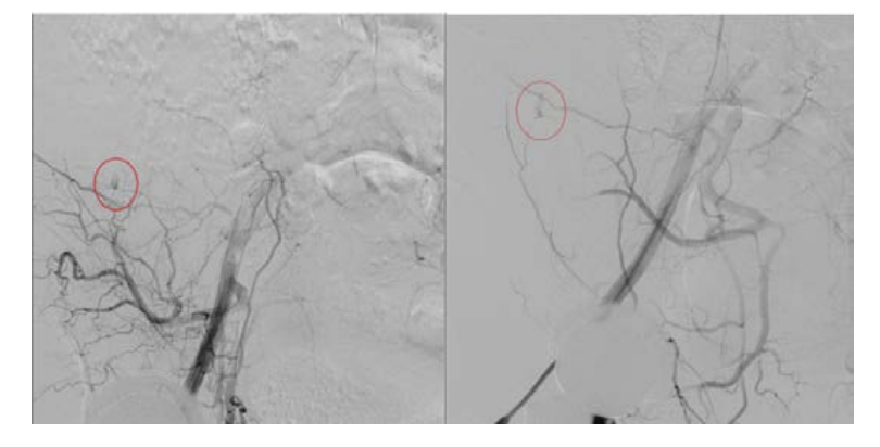
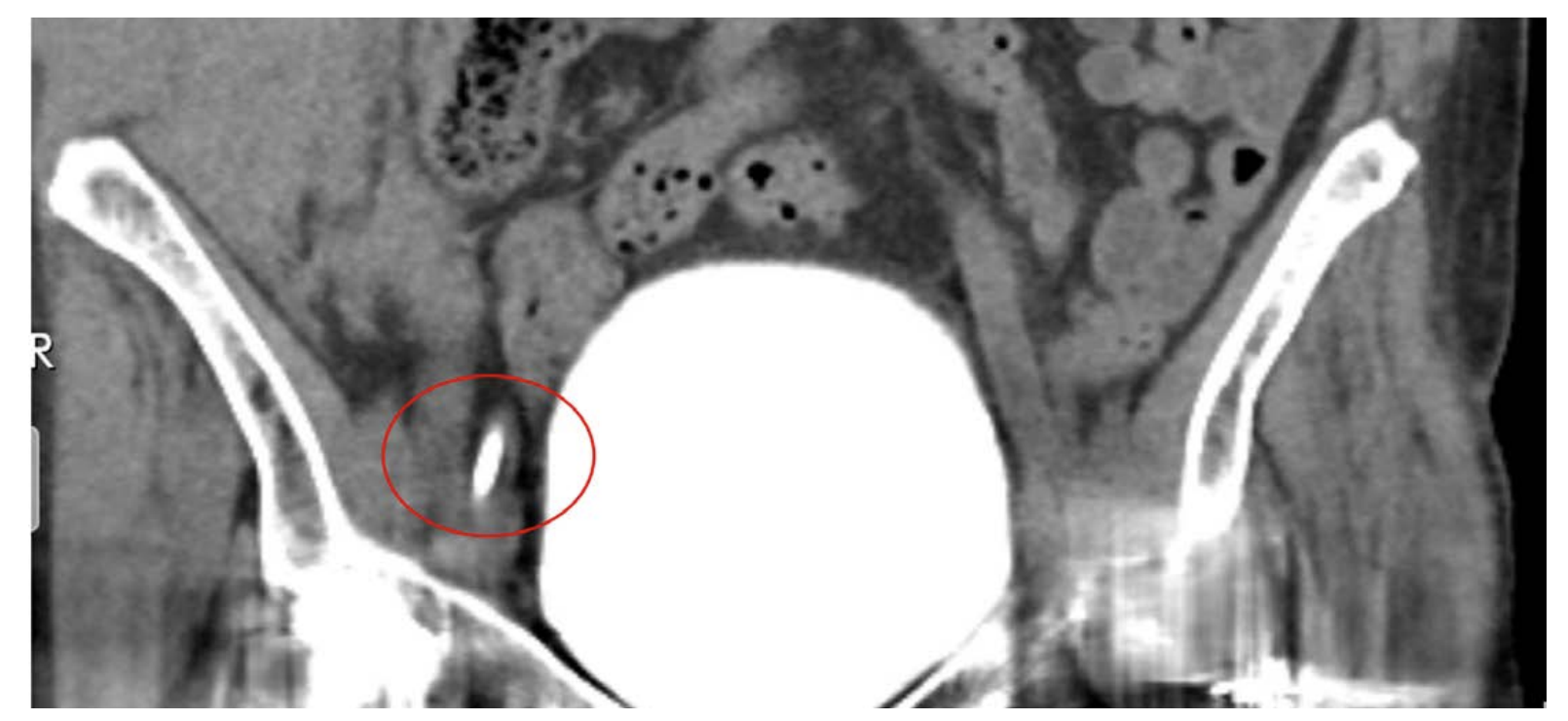
Urgent abdominal CT scan was obtained and revealed a 21 cm right anterolateral abdominal wall intramuscular hematoma that extended to the level of the pelvis with a smaller hematoma in the right groin surrounding the femoral line (Figure 2). The patient was taken back to the catheterization lab and using the retained right common femoral sheath in place, repeat angiography with digital subtraction revealed perforation of a distal branch of the right superficial iliac artery (Figure 3).
Management
Contralateral left femoral access was obtained. An up-over sheath was advanced to the right external iliac artery. The right superficial iliac artery, a branch of the right common femoral artery, was selectively cannulated and hemostasis/tamponade of the perforated vessel was attempted using prolonged balloon inflations; however, bleeding continued. Gelfoam embolization and 2 coils were finally required for complete obliteration of the vessel and cessation of the bleeding (Figure 4).
Discussion
While trans-radial access is being increasingly adopted and used for coronary angiography and percutaneous coronary intervention (PCI) as part of a “radial-first” strategy in cardiac catheterization laboratories worldwide, transfemoral access remains the most frequent access site in percutaneous interventions of the lower extremities. The risk of major bleeding with femoral access for PCI is 1-3%.1
Common femoral artery punctures have been made safer with the combined use of ultrasound and fluoroscopy guided access.2,3-4 The advent of the micropuncture technique, utilizing a 21-gauge needle and 0.018-inch wire provoked interest as the small-bore needle could potentially decrease complications. Furthermore, it was posited that the smaller bore needle allowed for greater chances of obtaining hemostasis with manual compression if complications arose during initial arterial access. Several single center reports have failed to prove that routine use of micropuncture needles will reduce the risk of femoral access site complication.5,6,7 However, recently, Ben-Dor et al studied over 17,844 patients from their center and found that patients who underwent PCI with femoral access via micropuncture technique experienced less access-site complications (58 [2.5%]) versus standard needle (558 [3.6%], P = .005). Additionally, they found that the micropuncture group had a significantly lower rate of hematoma than standard needle (32 [1.4%] vs 309 [1.9%], P = .03).8
Micropuncture guidewires are available with a J-angled-tip or straight tip. Micropuncture guidewires with an angled tip are very maneuverable yet they can inadvertently access branches of the common femoral and iliac arteries when advanced without fluoroscopic guidance. This risk is lower with straight-tip micropuncture guidewires and with 0.035” J-wires. The J-tip of the 0.035” wires is commonly larger than the ostium diameter of the common femoral artery branches.
We recommend fluoroscopic guidance of angled micropuncture guidewires as they are advanced from the tip of the needle to the aortic bifurcation. If not done, the inadvertent placement of the wire in a small branch can lead to severe vessel perforation and hemorrhage when the larger dilator and sheath are delivered. Bedside femoral access without fluoroscopic guidance using micropuncture wires, should preferentially involve the use of straight-tip micropuncture guidewires to avoid accidental small branch injuries.
The superficial iliac artery (SIA), the smallest of the cutaneous branches of the femoral artery, arises inferiorly to the superficial epigastric artery, at the mid-to-upper portion of the femoral head (Figure 5). It then runs in a lateral fashion, parallel with the inguinal ligament to the crest of the ilium. The distal branches of the SIA form cruciate anastomoses with branches arising from the internal iliac artery, typically from the superior and inferior gluteal arteries. The presence of these arterial anastomoses illustrates the failure of prolonged balloon inflations alone to stop the bleeding. Embolization of SIA branches complemented by arterial coiling, if warranted, should be the interventional technique of choice. Surgical intervention is reserved for embolization and coiling failures.
The authors have completed and returned the ICMJE Form for Disclosure of Potential Conflicts of Interest. The authors report no financial relationships or conflicts of interest regarding the content herein.
Address for Correspondence: Oscar R. Rosales, MD; Email: orosales@HoustonCardiovascular.com
REFERENCES
1. Doyle BJ, Ting HH, Bell MR, et al. Major femoral bleeding complications after percutaneous coronary intervention: incidence, predictors, and impact on long-term survival among 17,901 patients treated at the Mayo Clinic from 1994 to 2005. JACC Cardiovasc Interv. 2008;1(2):202-209.
2. Fitts J, Ver Lee P, Hofmaster P, Malenka D, Northern New England Cardiovascular Study Group. Fluoroscopy-guided femoral artery puncture reduces the risk of PCI-related vascular complications. J Interv Cardiol. 2008;21(3):273-278.
3. Abu-Fadel MS, Sparling JM, Zacharias SJ, et al. Fluoroscopy vs. traditional guided femoral arterial access and the use of closure devices: a randomized controlled trial. Catheter Cardiovasc Interv. 2009;74(4):533-539.
4. Huggins CE, Gillespie MJ, Tan WA, et al. A prospective randomized clinical trial of the use of fluoroscopy in obtaining femoral arterial access. J Invasive Cardiol. 2009;21(3):105-109.
5. Seto AH, Abu-Fadel MS, Sparling JM, et al. Real-time ultrasound guidance facilitates femoral arterial access and reduces vascular complications: FAUST (Femoral Arterial Access With Ultrasound Trial). JACC Cardiovasc Interv. 2010;3(7):751-758.
6. Bangalore S, Bhatt DL. Femoral arterial access and closure. Circulation. 2011;124:e147-e156.
7. Ambrose JA, Lardizabal J, Mouanoutoua M, Buhari CF, et al. Femoral micropuncture or routine introducer study (FEMORIS). Cardiology. 2014;129(1):39-43.
8. Ben-Dor I, Sharma A, Rogers T, et al. Micropuncture technique for femoral access is associated with lower vascular complications compared to standard needle. Catheter Cardiovasc Interv. 2020 Oct 16. doi: 10.1002/ccd.29330. Online ahead of print.
9. Turi ZG. An evidence-based approach to femoral arterial access and closure. Rev Cardiovasc Med. 2008;9(1):7-18.


