Hyperattenuated Crescent Sign Observed During Endovascular Aneurysm Repair
Abstract
Background. Ruptured abdominal aortic aneurysms have a high mortality rate with only 50% of patients surviving to presentation at the emergency department.1 Of those who present, approximately one-third will demonstrate the classically described triad of sudden onset abdominal pain, shock, and pulsatile abdominal mass.1 With advancements in technology, radiographic studies have become an integral component of patient evaluation for rupture. Methods. Review of one case and corresponding radiographic findings. Results. Hyperattenuated crescent sign observed intraoperatively without direct correlation with rupture. Conclusions. The hyperattenuated crescent is an important radiographic finding that one should be alerted to in the evaluation of AAA patients. The presence of the sign does not mandate emergent surgery, but care should be taken to optimize the patient’s resuscitation and monitoring in preparation for rupture. Observation of the crescent is not limited to CT imaging and may serve as an important intraoperative finding that may guide operative decision-making.
VASCULAR DISEASE MANAGEMENT 2012;9(5):E76-E80
____________________________________________________
Several defining characteristics have been identified in the radiographic evaluation of the abdominal aortic aneurysm (AAA) patient. Abdominal lumbar and lumbar spine plain films may exhibit an “eggshell” ring of calcification, while ultrasound can efficiently illustrate vessel wall structure, atherosclerotic plaques, and size.1 One of the often discussed, but less often seen, radiographic findings is the hyperattenuated crescent sign. Most commonly observed on computed tomography (CT), the hyperattenuated crescent is an extravasation of contrast from the laminar flow into the surrounding thrombus.2,3 Historically, a crescent is taught as a herald sign of impending rupture, but is this truly the case? Should patients with this finding be monitored or operatively managed differently than patients not exhibiting this sign?
We present a series of 3 cases of symptomatic AAA, all with a preoperative hyperattenuated crescent sign. The significant clinical background, operative findings, and associated imaging are outlined below.
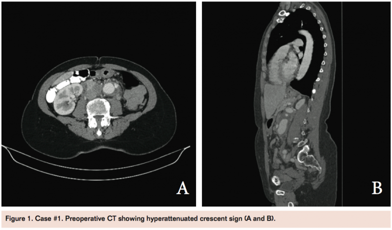
Case Report 1
A 64-year-old African American female with a past medical history significant for breast cancer, transient ischemic attack, and hypertension presented to her primary care physician with chief complaints of abdominal pain, nausea, and vomiting. The patient described the onset of symptoms approximately one week prior, with associated anorexia, non-bloody emesis, and decreased urine output. At the time of presentation, the patient was afebrile and hemodynamically stable. Upon examination, her abdomen was soft and nondistended with a tender, pulsatile, periumbilical mass.
Initial evaluation included an ultrasound and CT scan, both revealing a 5.7 cm infrarenal AAA with positive crescent sign noted on CT (Figure 1). The patient was transferred to a local tertiary care facility where she was evaluated by vascular surgery and critical care service. The patient was admitted to the intensive care unit (ICU) for blood pressure control (target systolic 90-120 mm Hg) with labetalol drip, as well as intravenous maintenance fluids, analgesics, and antiemetics. The patient was monitored with serial exams and prepared for endovascular repair the following day.
After an uneventful preoperative night, the patient was taken to the operating room (OR) the morning of hospital day 2 for a semi-urgent repair. The size and anatomy of the aneurysm were amenable to EVAR. After obtaining bilateral femoral access, a marker pigtail catheter was placed into the suprarenal abdominal aorta for aortography. Extravasation of contrast from the mid left lateral portion of aneurysm sac again demonstrated the same crescent sign noted on CT (Figure 2).
Despite these findings the patient remained hemodynamically stable without rupture and an uneventful EVAR with an Endurant endograft (Medtronic Medical) was completed. Subsequently, the patient was transferred to the recovery room for postoperative observation and then to the surgical intermediate care unit for overnight monitoring. The patient did well overnight requiring minimal analgesics and no further blood pressure regulation or deterioration in peripheral pulse exam. At the time of discharge on postoperative day 1, the patient was ambulating, voiding, tolerating regular diet, and requiring only minimal oral analgesics.
Case Report 2
A 73-year-old African American male presented to the emergency department after the acute onset of severe nausea and several episodes of emesis with additional complaints of bilateral cramping leg pains. Past medical history was significant for hypertension, squamous cell carcinoma of the tongue (treated with resection and chemoradiation), and a known 4.7 cm AAA followed by his primary care physician. The patient was hypertensive with a systolic blood pressure of approximately 160 mm Hg; all other vital signs were within normal limits. His physical exam was unremarkable as he had a soft and non-tender abdomen along with easily palpable distal extremity pulses. Laboratory evaluation revealed only a moderate hyponatremia of 129 mEq/L. Complete blood count, coagulation tests, and remainder of the serum chemistry panel were all within normal limits.
CT angiogram of the chest and abdomen demonstrated a 4.9 cm infrarenal aortic aneurysm with a hyperdense crescent in the anterior atheroma, suggesting acute hemorrhage into the plaque, as well as the lack of a sharply defined outer aneurysm border, concerning for leakage or impending rupture. Notably, no retroperitoneal hematoma was demonstrated (Figure 3). This patient was also transferred to the local tertiary care center and admitted to the ICU for blood pressure control and preoperative evaluation. He subsequently underwent endovascular aneurysm repair later on the day of admission. The repair was accomplished using bilateral percutaneous common femoral artery access and was uncomplicated. The patient was discharged on postoperative day 1 without further sequelae.
Case Report 3
An 84-year-old Caucasian male with a past medical history significant for hypertension, coronary artery disease, peripheral vascular disease, and prostate cancer was referred to a vascular surgery clinic from his cardiologist for the evaluation of a 4 cm infrarenal AAA. The patient denied nausea, emesis, and abdominal pain, but on examination exhibited significant periumbilical tenderness and a pulsatile abdominal mass. The remainder of his physical exam was unremarkable with stable vitals. Laboratory evaluation revealed no abnormalities and a creatinine of 0.8 mg/dL.
CT angiogram of the abdomen revealed a saccular 4 cm infrarenal AAA with hyperattenuated crescent sign (Figures 4 and 5). The patient’s cardiac history was significant for myocardial infarction in 1999 and 2006 requiring stenting and angioplasty with current angina on exertion intermittently treated with nitropaste. After cardiac risk stratification the patient was taken to the OR for attempted endovascular repair of his AAA. The anatomy of the aneurysm was not ideal for endovascular repair, but the patient would not consent to open repair.
After successful cannulation of both common femoral arteries, a 25 mm Medtronic Endurant stent graft was deployed just below the level of the renal arteries, with the contralateral gate opening at an acute angle within the saccular portion of the aneurysm. After multiple failed attempts to cannulate the gate, a 12 Fr sheath was advanced into the saccular portion of the aneurysm to allow for the placement of an angled catheter to gain a favorable angle for gate cannulation. Unfortunately, this maneuver resulted in wire perforation of the aortic sac, resulting in a modest amount of extravasation from the distal sac and hypotension. A Reliant balloon (Medtronic) was immediately inserted through the stent graft and inflated, which corrected the hypotension. The repair was converted to an aorto-uni-iliac repair with femoro-femoral bypass and occlusion of the left common iliac artery. The patient’s postoperative course was complicated by a prolonged ileus, upper respiratory infection, and urinary retention. He was discharged home 10 days after the operation after resumption of bowel function and resolution of respiratory symptoms.
Discussion
The cases highlight several interesting clinical findings associated with the evaluation and treatment of AAA. In patients presenting with abdominal pain a detailed physical examination is key to assuring the appropriate and efficient evaluation. Secondly, while the crescent sign can herald rupture, these are not directly correlated. Finally, the surgeon must remain vigilant intraoperatively to detect subtle findings that may foretell of a change in clinical status.
In review of these cases, appropriate preoperative measures were taken to assure patient safety. From the time of presentation through arrival in the OR for repair, there was no clinical evidence of acute rupture despite CT findings of the crescent sign. While there is little consensus on predictive clinical characteristics to determine outcome for ruptured AAA patients, these patients did not demonstrate any clinical deterioration indicative of acute rupture.4 Thus, appropriate monitoring, serial examination, and blood pressure control allowed for adequate preoperative resuscitation, avoiding an emergent surgical intervention.
As regards to the physiologic components of the thrombus in the AAA sac, it is a site of much fibrinolytic and proteolytic activity.3 The physiologic changes demonstrated by the crescent sign are explained by the fibrinolytic interactions amongst matrix metalloproteinases (MMP) and the aneurysm wall. Plasmin generated by fibrinolysis within the thrombus activates MMP.3,5 In addition, thrombus is associated with the weaker portion of the abdominal wall due to the increased proteolytic degradation. When hemorrhage into the thrombus occurs in the hyperattenuated crescent sign, the blood is placed in close proximity to a weaker wall compared to the non-thrombosed wall, thus rupture may ensue.3,5-7
The correlation between this phenomenon and AAA rupture was investigated by Roy et al in a retrospective study of 42 patients with ruptured infrarenal AAA. Compared to the control group of 38 age and size matched non-ruptured AAA, the crescent sign was more associated with rupture, but there was no statistical difference between the 2 groups.3 In addition, the most common site of wall rupture was the left lateral wall, but there was again no statistical difference between crescents observed at a particular wall site and rupture.3 Our findings are consistent with this study in that while there was a crescent sign present on CT there was no rupture at the site of the crescents. Most interestingly, in the first case the aortographic crescent findings were suggestive of rupture because the contrast “blushed” with clearing of contrast instead of retained contrast within the thrombus. Admittedly, while the patients exhibited neither clinical nor radiographic evidence of rupture, complete confirmation would have only been obtained had we pursued open repair. It is possible that the flow pattern within the aneurysm sac may be similar to a pseudoaneurysm where blood is tracking into the thrombus and then re-entering the flow lumen.
From the review of the current literature and our experience with this particular case, the crescent sign should be viewed as one additional piece of information in an overall clinical picture. While this radiographic finding may heighten one’s concern for ultimate rupture, the crescent itself does not warrant immediate surgical intervention. For the hemodynamically stable patient we suggest monitoring in the intensive care unit (ICU), with close blood pressure control and serial exams. Given the lower associated mortality for elective repair versus emergent repair, the option for a more elective management should be pursued.8 Any evidence of deterioration of clinical status either upon initial assessment or while in the ICU would warrant immediate surgical intervention.
In conclusion, the hyperattenuated crescent is an important radiographic finding that one should be alerted to in the evaluation of AAA patients. As demonstrated in this case, the presence of the sign does not mandate emergency surgery, but care should be taken to optimize the patient’s resuscitation and monitoring in preparation for rupture. Finally, observation of the crescent is not limited to CT imaging and may serve as an important finding that may guide operative decision-making.
References
- Abdominal Aneurysm. In: Townsend CM, Beauchamp RD, Evers BM, Mattox KL, eds. Sabiston’s Textbook of Surgery. 18th ed. Philadelphia, Pa: Saunders Elsevier; 2008:chap 39.
- Pillari GP. Crescent sign origin and the thrombus-to-lumen ratio in abdominal aortic aneurysms. Radiology. 2000;214(2):604.
- Roy J, Labruto F, Beckman MO, Danielson J, Johansson G, Swedenborg J. Bleeding into the abdominal aortic aneurysms is associated with rupture. J Vasc Surg. 2008;48(5):1108-1113.
- Tambyraja AL, Murie JA, Chalmers RT, Prediction of outcome after abdominal aortic aneurysm rupture. J Vasc Surg. 2008;47(1):222-230.
- Kazi M, Zhu C, Roy J, et al. Difference in matrix-degrading protease expression and activity between thrombus-free and thrombus-covered wall of abdominal aortic aneurysm. Arterioscler Thromb Vasc Biol. 2005;25(7):1341-1346.
- Vorp DA, Lee PC, Wang DH, et al. Association of intraluminal thrombus in abdominal aortic aneurysm with local hypoxia and wall weakening. J Vasc Surg. 2001;34(2):291-299.
- Kazi M, Thyberg J, Religa P, et al. Influence of intraluminal thrombus on structural and cellular composition of abdominal aortic aneurysm wall. J Vasc Surg. 2003;38(6):1283-1292.
- Cota AM, Omer AA, Jaipersad AS, Wilson NV. Elective versus ruptured abdominal aortic aneurysm repair: a 1-year cost-effectiveness analysis. Ann Vasc Surg. 2005;19(6):858-861.
____________________________________________________
From the 1Walter Reed National Military Medical Center, Bethesda, Maryland and 2INOVA Fairfax Hospital, Falls Church, Virginia.
Disclosure: The authors have completed and returned the ICMJE Form for Disclosure of Potential Conflicts of Interest. The authors report no conflicts of interest regarding the content herein.
Manuscript received October 6, 2011, provisional acceptance given October 17, 2011, final version accepted March 22, 2012.
Address for correspondence: Richard C. Webb, MD, Walter Reed National Military Medical Center, General Surgery, 8901 Rockville Pike, Bethesda, MD 20889, USA. Email: richardclarkwebb@gmail.com


