Hybrid Open and Endovascular Treatment of Type A and Type B Aortic Dissection with Mesenteric Malperfusion
Abstract
Purpose. The objective of this report is to present a novel technical hybrid (open/endovascular) approach to mesenteric malperfusion in patients with either acute type A or acute type B aortic dissection. Case Report #1. The patient presented with a type B aortic dissection with mesenteric malperfusion. This was treated by endovascular stenting and re-capture of the true lumen of the thoracic aorta without successful reperfusion of the SMA. Immediate laparotomy with retrograde stenting of the superior mesenteric artery (SMA) proved life-saving for the patient. Case Report #2. The patient presented with a type A aortic dissection and mesenteric malperfusion of the intestines and right leg. Due to the patient’s clinical presentation and a high suspicion of severe intestinal ischemia, exploratory laparotomy instead of ascending arch repair was undertaken. We were able to improve mesenteric perfusion by accessing the SMA in a retrograde fashion. The dissecting intimal flap was fenestrated and stented. The patient eventually succumbed to the disease despite a patent SMA. Conclusion. A hybrid open and endovascular approach can be performed when one is required to visualize the intestines to evaluate its viability in a type A or type B aortic dissection.
VASCULAR DISEASE MANAGEMENT 2011;8(5):E105–E108
__________________________________________________
Introduction
Acute aortic dissection, particularly type A, is a devastating event with very high mortality and morbidity rates.1 In the contemporary era, endovascular intervention for aortic dissection has become available. This includes stent repair as well as endovascular fenestration.2–4 We present the cases of a type A and type B acute aortic dissection with perfusion deficits to the mesenteric circulation. The patients were both treated with exploratory laparotomy and retrograde access of the superior mesenteric artery (SMA). Prior reports in the literature have described the endovascular treatment of both type A and B dissections.5–7 Slonim and colleagues have published a series of 40 patients with dissection treated with stenting, fenestration or a combination of both.8 While retrograde SMA access and stenting of the SMA orifice has been described, to our knowledge this is the first report of a case using a hybrid open and endovascular technique to treat mesenteric ischemia from acute aortic dissection.9,10
Case Report #1
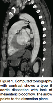
The patient was a healthy 36-year-old Hispanic male who presented with 5 days of lower back and abdominal pain. He noticed back pain while working at a construction site after he turned suddenly. At this time, he subsequently developed abdominal pain and was taken to an outside hospital and identified to have a descending aorta dissection with possible compromise of bowels. The patient was then transferred to our institution. At the time of admission, his white count was 30,000 and hemoglobin was 14. He had significant shift with 23 bands. His sodium was 128, potassium 3.3, chloride 87 with elevated liver enzymes and an amylase of 132 with a lactic acid of 3.3. At this time, he was not complaining of any lower extremity discomfort. On the left side, his pulses were completely intact. On the right side, they were present but decreased. He had some vague abdominal pain; however, he had received a significant amount of narcotics. He had no other complaints. A computed tomography (CT) scan of the chest, abdomen, and pelvis demonstrated a type B aortic dissection involving the celiac axis, SMA, and right renal artery (Figure 1). Diffuse small bowel dilatation seen on the CT scan was concerning for early small bowel ischemia.
The patient was urgently brought to the operating suite. Both common femoral arteries were cannulated and a 6 French (Fr) sheath was inserted on the left side. Two 6 Fr ProGlide closing devices (Abbott Vascular, Abbott Park, Illinois) were deployed in pre-close technique and an 11 Fr sheath was inserted. A 0.035˝ wire supported by a 5 Fr vertebral catheter was advanced without difficulty to the ascending aorta. A pigtail catheter was inserted and an angiogram of the aortic arch and descending thoracic aorta was obtained. The tear was identified to be at the level of the subclavian artery. There was no flow into the right renal artery. The left renal artery was the only blood major vessel which was visualized. The superior mesenteric and celiac arteries were not visualized. At this time, 100 units of heparin per kilogram were administered, and a Lunderquist pre-curved wire was placed via the pigtail catheter. We proceeded to deploy a 34 mm Cook Zenith TX2 graft, 142 cm in length. Under road-map guidance, the graft was deployed just distal to the left common carotid artery. The subclavian artery was covered. From the right side, a wire had been advanced through the 6 Fr sheath, which entered the true lumen and was in the ascending aorta. At this time, an angiogram was obtained that showed the innominate artery and left common carotid artery to be widely patent. The left renal artery was well visualized. The right renal artery was somewhat visualized. The SMA and celiac artery could not be visualized. At this time, we decided to deploy a second piece. A Zenith TX2 endovascular graft (Cook Medical, Bloomington, Indiana) with Pro-Form distal extension, which was 34 mm x 77 mm, was deployed after one stent was overwrapped. This was the most appropriate piece available at the time for deployment. A repeat angiogram showed significantly improved flow into the right renal artery as well as the right iliac artery. However, there was no brisk flow into the SMA or celiac artery on multiple lateral views.
At this time, we decided to perform an exploratory laparotomy and the abdomen was opened. There was no free fluid in the abdomen. The small bowel appeared to be somewhat compromised, particularly in one segment. The base of the superior mesenteric artery was identified and encircled. A micropuncture needle was used and access was obtained with a 0.035˝ wire into the true lumen. A vertebral catheter was then inserted and confirmed to be in the true lumen. We proceeded to use an 8 mm x 4 cm balloon expandable stent Express LD (Boston Scientific, Natick, Massachusetts). The origin of the SMA and the junction between the true lumen and false lumen underwent stent angioplasty. In addition, a 7 mm x 8 cm, self-expandable Sentinel stent (Boston Scientific) was deployed with much of it into the abdominal aorta (Figure 2). Repeat angiogram revealed excellent flow into the SMA and a strong pulse was palpated. A 5-0 Prolene suture was used to close the arteriotomy in the SMA. The patient returned to the operating room after 48 hours for a second look operation and the bowel was healthy. He made an uneventful full recovery and was doing well at his 3-month post-operative visit.
Case Report #2
The patient was a 48-year-old Caucasian male who presented with acute chest pain. He underwent work-up at an outside facility where a CT scan of the chest, abdomen, and pelvis showed a type A aortic dissection. The dissection extended into the mesenteric vessels, the right renal artery, and right leg. Perfusion was from the true lumen, which was severely compromised with little contrast filling. The patient was transferred by flight to our facility. Unfortunately, there was a 5-hour delay between initial presentation and operative intervention. His history was significant for recent cocaine usage. A thorough discussion was held with our cardiac surgery team, and the decision was made to revascularize the mesenteric circulation prior to repair of the ascending aorta. This decision was based upon a high clinical suspicion of mesenteric ischemia. This was supported by the patient’s physical examination and laboratory findings. His creatinine was 1.7 mg/dl, CO2 level was 14 mEq/L, base deficit was 11 mEq/L and lactate level was 5.7 mEq/L. The patient’s right leg was clinically ischemic with no palpable pulses. Laparotomy was intended to be a temporizing measure with definitive aortic root repair to follow.
During exploratory laparotomy, the small and large bowels were ischemic with patchy areas of gray discoloration consistent throughout the entire SMA distribution. No frank gangrene of the bowel was identified. The SMA was exposed and controlled at the root of the mesentery. We accessed the SMA below the pancreas in a retrograde fashion by puncture with an entry needle. A 6 Fr sheath was inserted with the end directed toward the aorta. Systemic heparin was administered with 5,000 units. Aortography revealed that the sheath was positioned in the true lumen of the aortic dissection at the level of the mesenteric vessels (Figure 3).
A KMP catheter (Cook Medical) and a 0.035˝ stiff-angled glide wire (Terumo Corporation, Tokyo, Japan) were used to penetrate into the false lumen of the aorta. The wire position was secured with a wire and the 6 Fr sheath was exchanged for an 8 Fr sheath. Fenestration of the aorta was performed with a 14 mm x 4 cm balloon (Boston Scientific) to enlarge the intimal flap window. A 9 mm x 57 mm balloon-expandable stent (Boston Scientific) was then placed from the false lumen, crossing the intimal flap, and into the origin of the SMA. Completion angiogram demonstrated trans-septal reentry with brisk flow into the SMA and aorta (Figure 4). The operative time was approximately 1 hour. Examination of the small and large bowel revealed markedly improved perfusion. The SMA and middle colic arteries were palpable and the small bowel arterial arcades had Doppler signals. A standard femoral-femoral bypass with an 8 mm externally-supported graft was performed for the right leg ischemia. Doppler signals were restored in the right pedal positions.
The patient was transferred to the ICU in critical condition. He remained acidotic and continuous renal replacement therapy was initiated. He required constant pressor and ventilator support. On post-operative day 1, his abdomen was distended and the general surgery service performed a repeat laparotomy. The right colon was noted to be non-viable and was resected segmentally, but the rest of the bowel appeared healthy and well perfused. The SMA had a strong palpable pulse. By 48 hours, the patient was still in critical condition and the patient’s family withdrew care.
Discussion
In aortic dissection with end-organ malperfusion, time is of the essence. Traditional repair of type A dissection consists of replacement of the aortic root. In the second case, however, the delayed diagnosis and transfer as well as clinical signs of intestinal ischemia prompted us to first pursue revascularization of the mesentery. This patient’s degree of intestinal ischemia would not have tolerated another several hours for the repair of the aorta under circulatory arrest. The patient’s overall moribund condition and persistent acidosis were an impetus to revascularize the SMA as soon as possible. Stenting could be performed faster without the need for extensive dissection and operative trauma that would be associated with bypass. We were aware that this technique had been used for occlusive disease and decided to try it in this case of dissection. Patel et al have recognized this dilemma and published the largest series of percutaneous approaches in this population of patients. Seventy out of 196 patients underwent percutaneous fenestration or branch vessel stenting. Those patients that survived the initial insult of malperfusion had similar peri-operative and late outcomes compared with those patients presenting with an uncomplicated dissection.11
In both cases, the SMA at the site of access was healthy, easy to control, and held sutures well. In the first case (type B), stenting was sufficient to restore flow into the SMA. In the second case (type A), fenestration was required, since the origin of the dissection was not addressed during the initial operation. The fenestration wire was passed from the malperfused true lumen into the false lumen. The septum in acute dissection is likely to be soft and should be easy to cross with a wire and catheter support. Intravascular ultrasound may help delineate the true and false lumens. The deployment of the stent across the dissection flap is also important, in our opinion. This minimizes the possibility of further ischemia from a dynamic dissection flap, in case the fenestration was not adequate in the equalization of pressures between the true and false lumens. Endovascular repair allowed us to avoid clamping and suturing of an acutely dissected aorta with associated hematoma, tears, and physiologic blood pressure changes. It was relatively quick to perform, in a case where time to revascularization was critical. All of the catheters, wires, and balloons are widely used and should be readily available at most institutions. Percutaneous femoral approach was considered, but would not have afforded the ability to inspect the intestines. An alternative repair option is via iliac-SMA bypass or by combination antegrade and retrograde access with antegrade fenestration and stenting via a brachial approach. As far as technical considerations are concerned, use of a stiff wire such as a stiff-angled glide wire to puncture the septum is recommended. Balloon dilatation of the channel followed by stenting of the channel is advised. We found the retrograde endovascular approach to be relatively uncomplicated, requiring less than 1 hour in both cases, with good immediate results.
In the first case, expeditious restoration of flow into the SMA with immediate visual confirmation of well-perfused bowel proved to be life-saving. While it is true that attempt at antegrade stenting of the SMA may have been tried, there was a risk of failure, increased ischemia time and increased contrast volume and radiation exposure. Unfortunately, the second patient expired due to overwhelming acidosis. A second exploratory laparotomy found the SMA territory to be well-perfused and the SMA had a palpable pulse. The patient required a right colon resection, which may be attributed to several factors. Based on normal anatomical blood flow, one would not expect the right colon to be ischemic while the small bowel and left colon were well perfused. Although not obvious at the time of the initial operation, in retrospect, definitive resection of the right colon could have prevented ongoing ischemia and sepsis. However, it remains unclear whether initial resection would have prevented the patient’s death. Cocaine-associated vasoconstriction and thrombosis are known to occur and could have played a role.12 Embolization to the ileocolic or right colic artery is another possibility.
Conclusion
A hybrid open and endovascular approach with retrograde SMA access and aortic fenestration for acute mesenteric ischemia secondary to aortic dissection is novel and technically feasible. This approach should be considered in such cases where the viability of the intestines is in question. This method provides a quick solution to revascularize the ischemic end organ, and avoids clamping and suturing of an acutely dissected aorta. Restoration of circulation to the ischemic end-organ may provide a more stable physiology, and does not preclude any definitive aortic surgery to repair the dissection. This is easily performed if the SMA entry point is accessible and free of disease. In the case of dissection extension into the SMA, intra-operative duplex or intravascular ultrasound might be required to identify the true lumen. Femoral or brachial access is not mandatory for the intra-abdominal approach. Laparotomy allows thorough visualization of the SMA and the intestines in its entirety. Experiencing the success of this technique and the rapidity with which revascularization can be achieved, consideration should be given to stenting based upon the comfort level of the vascular surgeon. We feel this technique should be included in the armamentarium of surgical revascularization options.
References
- Rasmussen TE, Panneton JM. Ischemic complications of distal aortic dissections: Open surgical or endovascular management? Perspect Vasc Surg Endovasc Ther 2001;14:57–71.
- Passman MA, Marston WA, Farber MA, et al. Percutaneous balloon fenestration and endovascular stent placement for type B acute aortic dissection with renal ischemia. Vasc Endovascular Surg 2000;34:459–465.
- Slonim SM, Nyman U, Semba CP, et al. Aortic dissection: Percutaneous management of ischemic complications with endovascular stents and balloon fenestration. J Vasc Surg 1996;23:241–251; discussion, pp. 251–253.
- Desai TR, Davidovich RI, Schwartz LB, McKinsey JF. Transaortic septectomy as treatment for chronic mesenteric ischemia after aortic dissection. Vasc Endovascular Surg 2000;34:451–458.
- Verhoye JP, Miller DC, Sze D, et al. Complicated acute type B aortic dissection: Midterm results of emergency endovascular stent-grafting. J Thorac Cardiovasc Surg 2008;136:424–430.
- Thompson JK, Reed AB, Crafton CJ, et al. Endovascular fenestration for relief of chronic mesenteric ischemia from chronic type B aortic dissection. Ann Vasc Surg 2006;20:518–520.
- Kurimoto Y, Morishita K, Kawaharada N, et al. Immediate endovascular stent-grafting for leg ischemia secondary to acute aortic dissection: Report of a case. Ann Vasc Surg 2007;21:515–518.
- Slonim SM, Miller DC, Mitchell RS, et al. Percutaneous balloon fenestration and stenting for life-threatening ischemic complications in patients with acute aortic dissection. J Thorac Cardiovasc Surg 1999;117:1118–1127.
- Wyers MC, Powell RJ, Nolan BW, Cronenwett JL. Retrograde mesenteric stenting during laparotomy for acute occlusive mesenteric ischemia. J Vasc Surg 2007;45:269–275.
- Milner R, Woo EY, Carpenter JP. Superior mesenteric artery angioplasty and stenting via a retrograde approach in a patient with bowel ischemia — A case report. Vasc Endovasc Surg 2004;38:89–91.
- Patel HJ, Williams, DM, Dasika, NL, et al. Operative delay for peripheral malperfusion syndrome in acute type A aortic dissection: A long-term analysis. J Thorac Cardiovasc Surg 2008;135:1288–1296.
- Hsue PY, Salinas CL, Bolger AF, et al. Acute aortic dissection related to crack cocaine (see comment). Circulation 2002;105:1592–1595.


