Hybrid Management of Post-traumatic Pseudoaneurysms of the Gluteal Arteries
Abstract
Gluteal aneurysms are rare and usually secondary to trauma. A purely operative approach to treat these aneurysms and the control of haemorrhage is technically difficult and potentially dangerous, which makes hybrid techniques more appealing. We report the case of two patients who underwent endovascular embolization of the feeding branches of the pseudoaneurysms. Twenty-four hours after the procedure, surgical drainage was performed in order to relieve compression symptoms and prevent nerve injury. In each case, the post-operative course was uneventful, with complete relief of each of the patient’s symptoms. Endovascular therapy is currently the first step in the approach of gluteal aneurysms with the need for a surgical complement in persistent symptomatic cases.
VASCULAR DISEASE MANAGEMENT 2020;17(8):E161-E164
Key words: Post-traumatic pseudoaneurysm; gluteal artery; hybrid management
Aneurysms of the gluteal arteries are very rare and can arise from the superior or inferior branches. Pseudoaneurysms are more common and are usually associated with trauma. Taking a purely operative approach to treat these aneurysms and the control of haemorrhage is technically difficult and potentially dangerous, which makes hybrid techniques more appealing. We report hybrid management of two cases of post-traumatic symptomatic pseudoaneurysms of the gluteal arteries in two young male patients. Informed consent has been obtained from the patients for publication of the case report and accompanying images.
Case Report
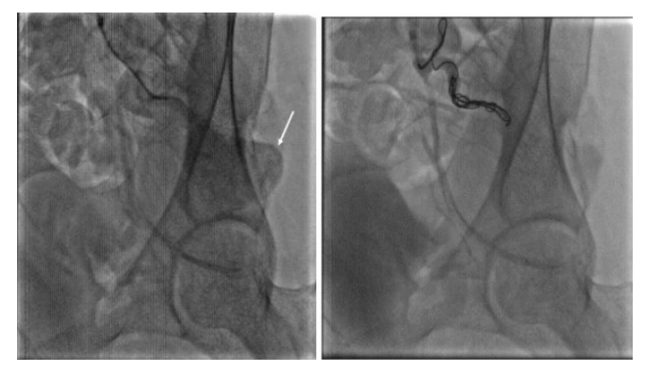
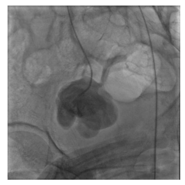
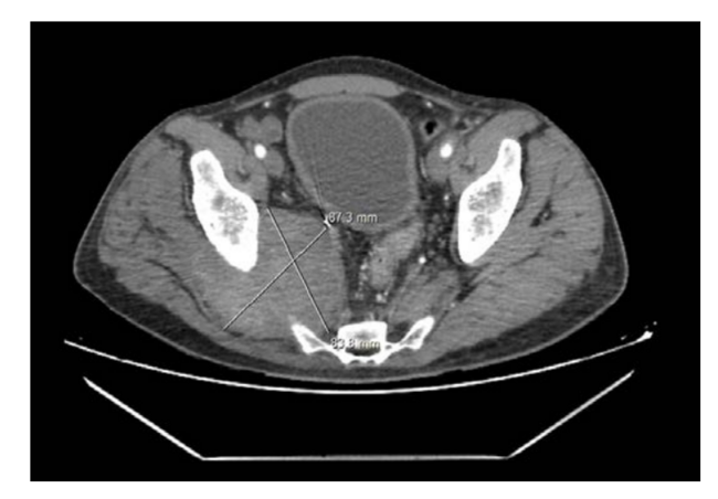
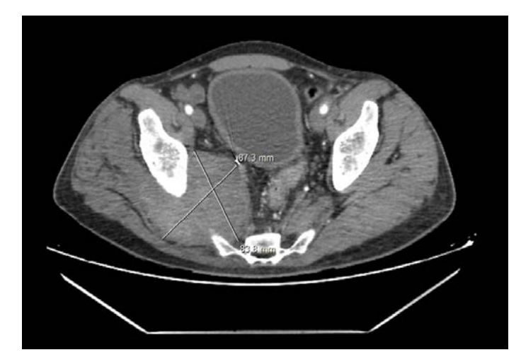
The first patient was a 44-year-old male without medical history, who developed an acute pain the day following an intramuscular injection in the right gluteal muscles, with paraesthesia and paresis of the right inferior limb. Three months later the patient presented in the emergency department due to worsening pain. Computed tomography scan (CT scan) identified a pseudoaneurysm in the right gluteal region arising from a branch of the right internal iliac artery which was most likely the inferior gluteal artery (IGA) (Figure 1). We performed a cross-over catheterisation and angiography of the right internal iliac artery which showed a contrast leakage of the IGA (Figure 2). We performed an embolization of the pseudoaneurysmal sac using 15x20 cm and 20x30 cm coils and embolization of the origin of the IGA using 12x30 cm and 10x20 cm coils (Figure 3). A CT scan was done 48 hours after and showed a profound hematoma of the right gluteal region without signs of contrast media extravasation. The day after, the patient benefited from drainage of the hematoma through a right retroperitoneal anterior incision (Figure 4). Transfusion of 2 units of blood was necessary after surgery. He had an uneventful recovery.
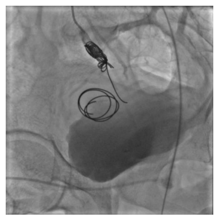
The second patient was a 22-year-old male without medical history, who sustained a knife stab wound to the left buttock 3 months prior to his presentation with disabling pain and paraesthesia in the left lower limb. Physical examination found a pulsatile mass in the lateral left gluteal region. A magnetic resonance angiography (MRA) was performed and confirmed the diagnosis of a pseudoaneurysm in the left gluteal region of 52x94 mm with sciatic nerve reactional inflammation (Figure 5). A cross-over catheterisation of the left femoral artery was performed allowing opacification of the branch of the superior gluteal artery feeding the pseudoaneurysm. An embolization of this branch is done using a 35 Azur detachable coil and two Nester coils of 10 mm (Figure 6). Twenty-four hours later the patient underwent a drainage of the pseudoaneurysm content via a gluteal incision (Figure 7) with good outcome and no residual pain.
Discussion
The superior and inferior gluteal arteries are branches of the internal iliac artery and present multiple anastomosis between them. The incidence of gluteal artery aneurysms is suspected to account for less than 1% of all arterial aneurysms. Most of them are pseudoaneurysms due to trauma (pelvic fractures, penetrating injuries, and intramuscular injections) with the injury of the inferior branch being rarer than that of the superior branch. True aneurysms are rare and often secondary to atherosclerosis, infections, or polyarteritis nodosa.1 Treatment is recommended when the diameter is >25mm (compression and risk of rupture), when they are symptomatic, and if there is risk of injury to the sciatic nerve.2 If a high-flow haemorrhage is being considered, vascular injuries should be evaluated and treated urgently.
Symptoms can be a pulsatile masse in the gluteal region, sciatic pain due to sciatic nerve compression, or limb ischemia due to thrombosis or distal embolism.3 There may also be symptoms of venous occlusion, urological outflow obstruction or bowel dysfunction.4,5 Diagnostic imaging includes ultrasound, CT scan with 3D reconstruction which provides detailed information about the location, diameter, and extension of the aneurysm and allows prompt treatment,6 MRA which is beneficial in patients with renal failure, in pregnancy and if a sciatic inflammation or compression is suspected,7 and catheter-based angiography which allows diagnosis and treatment as well.
Compared to open surgery, endovascular treatment has a decreased risk of infection or iatrogenic nerve or arterial injuries and allows the avoidance of opening the retroperitoneal space.8 Endovascular techniques are a less invasive and effective alternative to surgical repair and generally represent the first line of treatment—they include coil embolization, embolic agent injections, and stent-graft placement. Coil embolization was used in the majority of reported cases in the literature, with the main reported complications being coil dislodgement and migration due to difficulty of packing coils into a large arterial lumen as well as high arterial blood flow.9 These complications can be reduced by the use of long and/or stiff coils which are easier to pack inside the arterial lumen, or detachable coils which can be deployed more precisely and can be repositioned inside the artery.10 Embolic agents such as opacified thrombin or glue can be used alone or in combination with coils to control bleeding and ensure a complete occlusion of the feeding branch; however, care must be taken when injecting into the aneurysm sac due to the high risk of embolization.9,11 When the aneurysm is saccular in morphology with a small neck, the utter can be covered and the aneurysm then excluded using a covered stent. This technique preserves flow in the gluteal artery, therefore preventing potential gluteus muscle ischemia. However, there is a risk of stent graft occlusion due to cramping, secondary to external forces.12
Open surgery can be used when endovascular therapy fails or when it’s not sufficient to control compressive symptoms. In our case report we preferred to embolize the feeding branches of the pseudoaneurysms to avoid haemorrhage when we drain the content surgically to treat compression symptoms.
Conclusion
Aneurysms of the gluteal arteries remain a rare and challenging problem. Endovascular therapy is currently the first step in the treatment approach for these lesions and in persistent symptomatic cases a surgical complement is needed. n
Disclosure: The authors have completed and returned the ICMJE Form for Disclosure of Potential Conflicts of Interest. They report no conflicts of interest regarding the content herein. This research did not receive any specific grant from funding agencies in the public, commercial, or not-for-profit sectors.
Address for correspondence:
Benjaout Kaoutar
Vascular Surgery Department, University Hospital of Oujda
BP 4806 Oujda University 60049
Oujda, Morocco
Email: Benjaout_kawtar@hotmail.fr
+212 7.62.32.70.77
REFERENCES
1. Williams W, Jackson Jr GF, Green C. Superior gluteal artery aneurysm. J Trauma. 1977;17(6):477-479.
2. Schorn B, Reitmeier F, Falk V, Oestmann JW, Dalichau H, Mohr FW. True aneurysm of the superior gluteal artery: case report and review of the literature. J Vasc Surgery. 1995;21(5):851-854.
3. Fried JA, Wright LM. True superior gluteal artery aneurysm. J Vasc Surg Cases. 2015;1(3):221-223.
4. Taif S, Derweesh A, Talib M. Superior gluteal artery pseudoaneurysm presenting as a gluteal mass: Case report and review of literature. J Clin Imaging Sci. 2013;3:49.
5. Melissano G, Venturini M, Baccellieri D, Calliari F, Del Maschio A, Chiesa R. Distal embolization and proximal stent-graft deployment: A dual approach to endovascular treatment of ruptured superior gluteal artery aneurysm. Tex Heart Inst J. 2008;35(1):50-53.
6. Sakamoto I, Sueyoshi E, Hazama S, et al. Endovascular treatment of iliac artery aneurysms. Radiographics. 2005;25(Suppl1):S213-S227.
7. Jesinger RA, Thoreson AA, Lamba R. Abdominal and pelvic aneurysms and pseudoaneurysms: Imaging review with clinical, radiologic, and treatment correlation. Radiographics. 2013;33(3):E71-E96.
8. Salcuni P, Azzarone M, Cento M, et al. A Giant pseudoaneurysm of the gluteal artery. EJVES Extra. 2002;3(1):8-11.
9. Johnson SP, Wang W-S, Peyton BD, Whitehill T. Endovascular therapy of superior gluteal artery aneurysms: Case report and review of literature. Semin Intervent Radiol. 2007;24(1):29-33.
10. Esposito A, Menna D, Salcuni M, et al. First case of two synchronous gluteal arteries aneurysms treated by endovascular plug embolization: Case report and literature review. Ann Vasc Surg. 2018;47:282.e1-e282.e5.
11. Crespy V, Chevallier O, Dominguez J, et al. Endovascular management of a giant symptomatic gluteal artery aneurysm with selective arterial embolization. Quant Imaging Med Surg. 2017;7(1):163-165.
12. Western CE, Stasinou T, Kinsella D, Guinness R, Watkinson A, Thompson JF. Lone stent-graft treatment of symptomatic gluteal artery aneurysm. Ann Vasc Surg. 2016;35:205.e1-4.


