Hybrid Endovascular and Surgical Approach to Management of Complex Iliofemoral Disease
Abstract
Current guidelines favor a surgical approach for treatment of complex peripheral arterial disease that is diffuse and severe in nature. However, standard open surgical therapies, although durable, are associated with increased perioperative morbidity. Hybrid procedures allow patients, who are poor candidates for surgery, to undergo a limited surgical endarterectomy combined with endovascular treatment under conscious sedation for complete revascularization with significantly lower risk. Herein, we present a successful hybrid procedure of endovascular iliac repair via brachial access combined with a surgical common femoral endarterectomy for a patient who was deemed high-risk for extensive vascular surgery.
VASCULAR DISEASE MANAGEMENT 2011;8(11):E179–E181
_________________________________________
Introduction
Hybrid procedures combine endovascular and open surgical techniques for multilevel revascularizations of complex peripheral arterial disease (PAD). The TransAtlantic Inter-Society Consensus (TASC) guidelines1 currently favor either an endovascular or surgical approach for PAD lesions as classified by the document on the basis of anatomic location, length of lesion, and severity of disease. While either one of the strategies continues to dominate the care of most patients with PAD, there are clearly patients who benefit from a combination of these approaches.2 Although there are few published reports of hybrid procedures in management of PAD,3,4,5 the benefits of a combined strategy are substantial in select patients. We present a patient with severe lifestyle-limiting claudication, found to have significant unilateral iliofemoral disease involving the common femoral artery, who was also deemed high risk for extensive vascular surgery and underwent a hybrid procedure of endovascular iliac repair via brachial access combined with a surgical common femoral endarterectomy.
Case Report
A 54-year-old African American male with history of nonischemic cardiomyopathy, insulin-dependent diabetes mellitus, dyslipidemia, and chronic obstructive pulmonary disease secondary to longstanding tobacco-use, presented with severe lifestyle-limiting left calf claudication that has been progressive over the course of one year to the point of not being able to perform his occupation as a mailman. Physical examination was remarkable for nonpalpable pulses in the left femoral, dorsalis pedis, and posterior tibial segments. Laboratory analysis was unremarkable with normal renal function.
Further noninvasive diagnostic testing was performed:
- Electrocardiogram showed normal sinus rhythm with intraventricular conduction delay and nonspecific ST-segment changes.
- Echocardiogram showed depressed left ventricular function with estimated ejection fraction of 35%.
- Nuclear single photon emission computed tomography (SPECT) demonstrated a fixed inferoapical perfusion defect.
- Ankle-brachial index measured 0.55 with a 30 mmHg drop in pressure from brachial to high thigh and a subsequent 20 mmHg drop to the calf in the left lower extremity.
Aortography with runoffs revealed a long segment of total occlusion from the proximal left common iliac artery (CIA) to the distal common femoral artery (CFA) (Figure 1). However, there was reconstitution of the left profunda femoris artery via extensive collaterals, which further supplied collaterals to a patent popliteal artery and one vessel runoff into the left foot. The patient was discharged the following day with medical therapy including dual antiplatelet therapy, statin, nicotine replacement, exercise rehabilitation, and outpatient follow up scheduled in vascular medicine and surgery clinics. After 6 months of failed conservative therapy, patient returned for a hybrid endovascular and surgical procedure due to high risk of isolated surgical approach related to medical comorbidities.

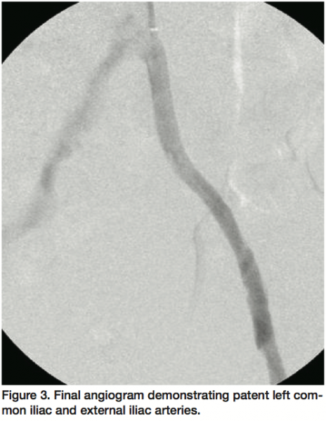
The procedure was performed in the surgical suite with a portable C-arm fluoroscopic imaging unit with the patient under regional anesthesia. A 7 Fr 90 cm Shuttle sheath (Cook Medical) was used to cannulate the left CIA via high right brachial artery access and the lesion crossed using a Frontrunner® XP CTO catheter (Cordis). Meanwhile, an open surgical common femoral endarterectomy (duplex ultrasound prior to the procedure confirmed a short segment of patent but diseased CFA with retrograde flow from the collaterals) and profunda femoris profundoplasty was performed to allow inflow into the left foot via the profunda femoris and collaterals to the popliteal artery. A Micro Guide Catheter XP (Cordis) was advanced over the Frontrunner catheter; a 260 cm 0.035 inch straight tip stiff Aquatrack® wire (Cordis) was directed through the Micro Guide catheter; the wire exteriorized through the common femoral endarterectomy site; and the femoral artery clamped over the wire at the inguinal ligament (Figure 2). Balloon angioplasty was performed in the left CIA and left external iliac arteries (EIA) using a 6 x 100 mm Powerflex balloon (Cordis) with multiple inflations at a maximum pressure of 8 atmospheres. A 10 x 38 mm iCAST™ covered stent (Atrium Medical) was deployed in the left CIA with one inflation at 10 atmospheres followed by post-dilatation using a 9 x 40 mm Powerflex balloon (Cordis) with 2 inflations at a maximum pressure of 12 atmospheres. An adjacent self-expanding SMART® nitinol stent (Cordis) was placed overlapping the CIA stent and extending to the inguinal ligament followed by post-dilatation using a 9 x 40 mm Powerflex balloon (Cordis) with 5 inflations at a maximum pressure of 10 atmospheres. The distal end of the exteriorized wire was directed into the profunda femoris artery and the femoral artery unclamped, the endarterectomy perfected, and the surgical site irrigated and closed in layers. Subsequent angiography confirmed patent left CIA and EIA (Figure 3) and good single vessel runoff into the foot. The patient was monitored for 36 hours and discharged home on postoperative day 2 with minimal restrictions and wound care instructions. Patient was seen at 1 month follow-up with significant improvement in symptoms and patent common femoral and profunda femoris arteries by arterial duplex ultrasonography with an improved ankle-brachial index of 0.79.
Discussion
The TASC II document1 classifies EIA disease involving the CFA as either TASC C or D depending on the extent of iliac involvement; for TASC D lesions, open surgical bypass remains the recommended treatment with consideration of endovascular options for only TASC C lesions in high-risk patients.4 Standard open surgical therapies, although durable, are associated with increased perioperative morbidity.6 Endovascular treatment has been shown to be a comparable option for iliac occlusive disease; however, it is not suitable as sole therapy in the presence of significant CFA disease.7 Hybrid procedures allow patients who are poor candidates for general anesthesia or extensive high-risk surgeries due to associated comorbidities, to undergo a limited surgical endarterectomy of CFA under conscious sedation and local anesthesia or short duration of general anesthesia, combined with endovascular treatment of iliac or SFA disease2 for complete revascularization of in-flow to the extremity in the setting of CLI or lifestyle-limiting claudication. Although published reports of hybrid procedures are few,3-5 utilization of these combined strategies are increasing with experience of endovascular interventions by vascular surgeons. Moreover, performing hybrid procedures in a single setting, compared to staged procedures, greatly reduces hospital charges and length of stay.8 In the patient presented herein, we performed an interdisciplinary hybrid procedure with an open surgical common femoral endarterectomy and an endovascular iliac angioplasty and stenting with minimal risk and a favorable outcome.
References
- Adam DJ, Bradbury AW. TASC II document on the management of peripheral arterial disease. Eur J Vasc Endovasc Surg. 2007 Jan;33(1):1-2.
- Reed AB. Endovascular as an open adjunct: Use of hybrid endovascular treatment in the SFA. Semin Vasc Surg. 2008 Dec;21(4):200-203.
- Cotroneo AR, Iezzi R, Marano G, Fonio P, Nessi F, Gandini G. Hybrid therapy in patients with complex peripheral multifocal steno-obstructive vascular disease: Two-year results. Cardiovasc Intervent Radiol. 2007 May-Jun;30(3):355-361.
- Chang RW, Goodney PP, Baek JH, Nolan BW, Rzucidlo EM, Powell RJ. Long-term results of combined common femoral endarterectomy and iliac stenting/stent grafting for occlusive disease. J Vasc Surg. 2008 Aug;48(2):362-367.
- Dougherty MJ, Young LP, Calligaro KD. One hundred twenty-five concomitant endovascular and open procedures for lower extremity arterial disease. J Vasc Surg. 2003 Feb;37(2):316-322.
- deVries SO, Hunink MG. Results of aortic bifurcation grafts for aortoiliac occlusive disease: A meta-analysis. J Vasc Surg. 1997 Oct;26(4):558-569.
- Bosch JL, Hunink MG. Meta-analysis of the results of percutaneous transluminal angioplasty and stent placement for aortoiliac occlusive disease. Radiology. 1997 Jul;204(1):87-96.
- Ebaugh JL, Gagnon D, Owens CD, Conte MS, Raffetto JD. Comparison of costs of staged versus simultaneous lower extremity arterial hybrid procedures. Am J Surg. 2008 Nov;196(5):634-640.
_________________________________________
From the Division of Cardiovascular Medicine, Temple University Hospital, Philadelphia, Pennsylvania.
Disclosure: The authors have completed and returned the ICMJE Form for Disclosure of Potential Conflicts of Interest. The authors report no conflicts of interest regarding the content herein.
Manuscript submitted September 27, 2011, provisional acceptance given September 28, 2011, final version accepted October 17, 2011.
Corresponding author: Jon C. George, MD, Adjunct Research Instructor, Temple University School of Medicine, Cardiovascular Research Center, 3500 North Broad Street, MERB 1040, Philadelphia, PA 19140. Email: jcgeorgemd@hotmail.com


