Hybrid Approach for Treatment of Middle Aortic Syndrome: Multidisciplinary Teamwork
Abstract
Middle aortic syndrome (MAS) is a challenging pathology that can cause severe complications such as renovascular hypertension and left ventricular dysfunction. Many interventional and surgical techniques have been described for treating MAS. We report one of the first successful cases of a hybrid surgical and interventional approach to treat MAS in a 22-month-old infant, using re-expandable stents to avoid the need for further interventions. Our aim is to emphasize the utility of a multidisciplinary strategy to effectively treat this pathology.
VASCULAR DISEASE MANAGEMENT 2019;16(11):E158-E160
Key words: endovascular, aortic coarctation, stenting
Middle aortic syndrome (MAS) is a rare disease characterized by coarctation of the mid-aorta, located between the aortic arch and bifurcation. MAS may cause life-threatening, severe renovascular hypertension. We report one of the first cases of a successful hybrid approach to treat MAS in a pediatric patient.
Case Report
A 22-month-old infant boy presented to the emergency department (ED) with suspicion of aortic coarctation. Physical examination revealed a systolic cardiac murmur, no femoral pulse, and severe hypertension of 210/120 mm Hg in the upper limb. Transthoracic echocardiography showed a left ventricular hypertrophy with mild dysfunction, and a maximal systolic acceleration of 426 cm/s in the distal part of the thoracic aorta. The patient was admitted, and antihypertensive treatment was initiated.
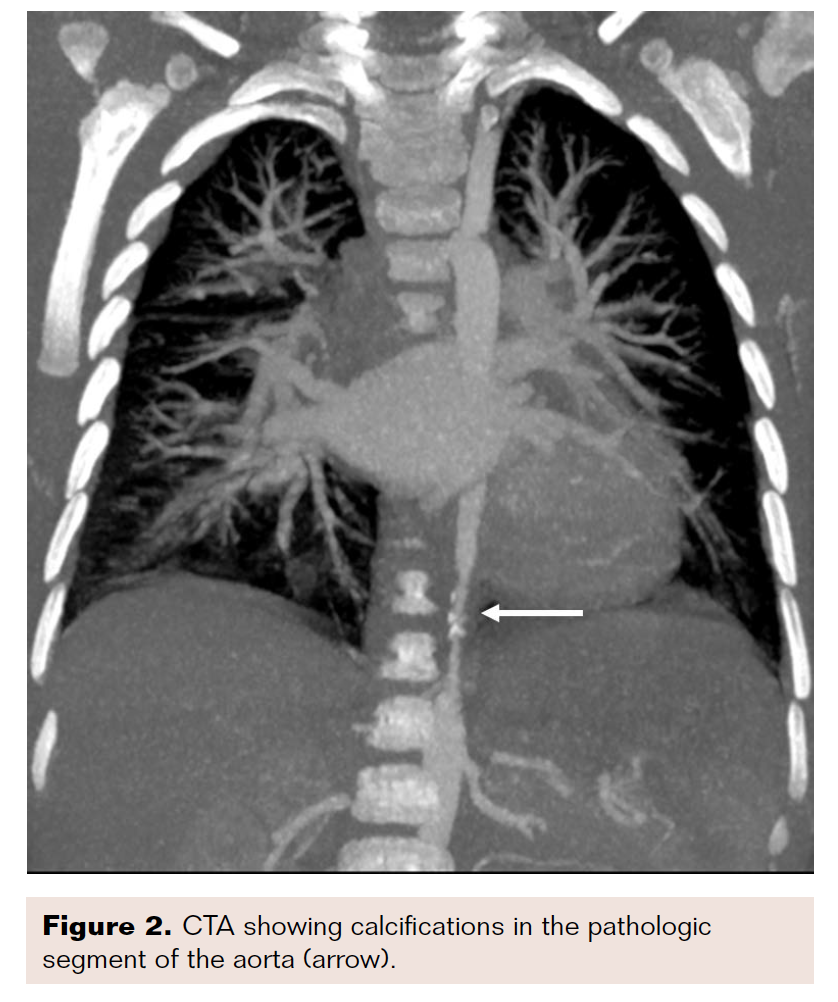
Computed tomography angiography (CTA) confirmed a diagnosis of a thoraco-abdominal aortic coarctation that was 38.6 mm in length, along with calcifications and obstruction of the celiac artery (CA), which was retrogradely perfused. The renal arteries (RA) and the superior mesenteric artery (SMA) were permeable (Figures 1-2).
Three days after the patient presented in the ED, he was admitted to the intensive care unit (ICU) in cardiogenic shock with severe acidosis, which necessitated treatment with intubation, mechanical ventilation, and a high dose of dobutamine.
We had an immediate meeting to discuss the most effective and sustainable therapeutic option for this patient, with consideration given to his age and weight. We chose endovascular stenting using re-expandable stents that would be introduced through the abdominal aorta, as his femoral and carotid arteries were small.
The procedure took place in a hybrid room and was conducted by a multidisciplinary team while the patient received general anesthesia. We performed a short, 3-4 cm laparotomy to access the abdominal aorta. A purse-string suture was made above the aortic bifurcation, through which we could introduce a hydrophilic .035-inch guidewire (Terumo) and diagnostic catheter to the ascending aorta. We injected contrast dye to delimit the lesion and localize the SMA and RA. Due to severe stenosis, we carried out a dotterization and predilatations with 4 mm and 6 mm Mustang balloons (Boston Scientific) to allow us to advance a 12 French Check-Flo sheath (Cook Medical). While advancing the sheath, we observed a dissection in the pathologic part of the aorta. We released a covered, 3.9 cm, CP stent (Numed) in the lower part of the coarctation, crimped in a balloon-in-balloon catheter (diameter 12 mm). Next, we released a bare, 3.9 cm CP stent in the upper part of the coarctation, which overlapped 50% of the first CP stent. The last angiographic control showed no coarctation, no dissection, and good permeability of the SMA and RA.
Due to the risk of aortic stenosis, the punctate abdominal aorta was repaired by an end-to-end suture. At the end of the procedure, we observed a good femoral pulse with no significant pressure gradient between the upper and lower limb. The patient was readmitted to the ICU for stabilization of his left heart insufficiency and hypertension. He was discharged home after 1.5 months. His most recent echocardiography showed good left ventricular contractility and good blood flow in the descending aorta and its visceral branches.
Discussion
MAS, or thoraco-abdominal aortic coarctation, is rare and is often associated with splanchnic (22%) and RA (80%) occlusive disease.1 Untreated, it has been associated with stroke, progressive left ventricular hypertrophy with congestive heart failure and flash pulmonary edema, and, less often, with renal insufficiency.1 After 40 years of age, the reported survival rate is less than 20%.2
The most commonly performed treatments are open interventions, including patch aortoplasties, thoraco-abdominal bypasses, and interposition of aorto-aortic grafts. Patch aortoplasty was not technically feasible in our patient, because of calcifications and long and severe narrowing of the aorta. Thoraco-abdominal bypass and interposition of aorto-aortic grafts expose young patients to many potential complications, such as degeneration and outgrowing the grafts. These complications can lead to insufficient distal body perfusion and risks of kinking, and may necessitate reinterventions to replace the grafts.1
Our aim was to provide our patient with a definitive solution that would allow us to remove the stenosis without the need for further operations, which is why our first preference was to defer the intervention to an older age. However, even though our patient was initially asymptomatic, the control of his severe renovascular hypertension led to poor perfusion of the lower body and eventually cardiogenic shock, prompting urgent intervention.
Studies have reported that stenting is a safe and effective treatment strategy for patients with MAS, with excellent immediate and long-term results compared with surgical procedures.3,4 We agree with the studies, though only if the coarctation does not involve the CA, SMA, or RA, which was true in the case of our patient.
CP stents can be redilated up to 22 mm in distance from the first procedure. We chose stenting over balloon angioplasty alone to ensure effective relief of the obstruction and avoid elastic recoil of the aorta.5 The choice of a covered stent was due to safety concerns associated with the dissection we observed. The aortic wall in the area of the dissection was too fragile, and a rupture in the retroperitoneum would have been fatal.
After the success of the procedure, the plan for further treatment is to control hypertension and closely follow the patient to program a redilation of the stents percutaneously.
Conclusion
To the best of our knowledge, the report herein is the first description of a hybrid approach to treat MAS in a pediatric patient using redilatable CP stents. MAS remains a very challenging pathology. A multidisciplinary management strategy, including surgical and catheter-based interventions, can lead to adequate stenosis relief with fewer complications and better outcomes.
Acknowledgements
We would like to thank Professor Didier Revel, MD, PhD, from the interventional radiology department in Louis Pradel Cardiologic Hospital of Lyon, France, and Thomas Perouse, MD, from pediatric cardiology department in the same hospital, for their participation and collaboration in this work.
Disclosure: The authors report no financial relationships or conflicts of interest regarding the content herein.
Manuscript submitted June 11, 2019; Manuscript accepted July 2, 2019
Address for correspondence: Kaoutar Benjaout, Service de Cardiopathies Congénitales, Hopital Louis Pradel, Hospices Civils de Lyon, Groupement Hospitalier Est, 28 avenue Doyen Lépine, 69677 BRON Cedex, France. Email: Benjaout_kawtar@hotmail.fr
REFERENCES
1. Stanley JC, Criado E, Eliason JL, Upchurch GR Jr, Berguer R, Rectenwald JE. Abdominal aortic coarctation: surgical treatment of 53 patients with a thoracoabdominal bypass, patch aortoplasty, or interposition aortoaortic graft. J Vasc Surg. 2008;48(5):1073-1082.
2. Porras D, Stein DR, Ferguson MA, et al. Midaortic syndrome: 30 years of experience with medical, endovascular and surgical management.. Pediatr Nephrol. 2013;28(10):2023-2023.
3. Che W, Xiong H, Jiang X, et al. Stenting for middle aortic syndrome caused by Takayasu arteritis-immediate and long-term outcomes. Catheter Cardiovasc Interv. 2018;91(S1):623-663.
4. Agrawal H, Moodie D, Qureshi AM, et al. Interventions in children with renovascular hypertension: a 27-year retrospective single-center experience. Congenit Heart Dis. 2018;13(3):349-356.
5. Hascoët S, Baruteau A, Jalal Z, et al Stents in paediatric and adult congenital interventional cardiac catheterization. Arch Cardiovasc Dis. 2014;107(8-9):462-475.


