Giant Abdominal Aortic Aneurysm
Abstract
Abdominal aortic aneurysms (AAA) occur in up to 9% of adults older than 65 years of age, and the most important risk factors for the development of AAA are smoking, male sex, and advancing age. Aneurysm size is the strongest predictor of the risk of rupture with 30% to 50% annual risk of rupture for AAAs >8.0 cm in size. We report a case of asymptomatic giant AAA that measured 14 cm in diameter.
VASCULAR DISEASE MANAGEMENT 2013:10(6):E114-E115
Key words: abdominal aortic aneurysm, peripheral vascular disease
________________________________________________
Three weeks after undergoing uneventful coronary artery bypass grafting, a 70-year-old male was seen in his cardiologist’s office. His medical history was significant for coronary artery disease, hyperlipidemia and 80 pack-years of smoking. He was completely asymptomatic but on examination a pulsatile mass was felt in the middle of his abdomen along with the presence of a bruit.
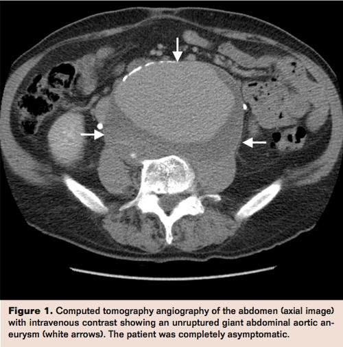
Computed tomographic angiography of the abdomen after administration of intravenous contrast showed a giant juxtarenal abdominal aortic aneurysm (AAA) measuring 14 cm in diameter (Figures 1 and 2, arrows) without any evidence of rupture. He was sent to the hospital for urgent vascular surgical treatment. On admission, his exam was unchanged and the laboratory data showed mild chronic anemia and normal creatinine.
Urgent repair of the aortic aneurysm was done with 22 mm collagen-impregnated knitted Dacron graft. The patient had an uneventful recovery and was discharged from the hospital 3 days after the surgery. Our case highlights the importance of a detailed physical exam.
Discussion
AAAs occur in up to 9% of adults older than 65 years of age. The most important risk factors for the development of AAA are smoking, male sex, and advancing age.1 Aneurysm size is the strongest predictor of the risk of rupture with 30% to 50% annual risk of rupture for AAAs >8.0 cm in size, and there may be a high risk of AAA rupture after coronary artery bypass grafting or other major surgeries.2,3 According to the United States Preventive Services Task Force, men who are ages 65 to 75 with a history of smoking should be screened one time for AAA by abdominal ultrasonography.4
References
- Baxter BT, Terrin MC, Dalman RL. Medical management of small abdominal aortic aneurysms. Circulation. 2008;117(14)1883-1889.
- Brewster DC, Cronenwett JL, Hallett JW Jr, et al. Guidelines for the treatment of abdominal aortic aneurysms. Report of a subcommittee of the Joint Council of the American Association for Vascular Surgery and Society for Vascular Surgery. J Vasc Surg. 2003;37(5):1106-1117.
- Blackbourne LH, Tribble CG, Langenburg SE, et al. Optimal timing of abdominal aortic aneurysm repair after coronary artery revascularization. Ann Surg. 1994;219(6):693-696.
- U.S. Preventive Services Task Force. Screening for abdominal aortic aneurysm: recommendation statement. Ann Intern Med. 2005;142(3):198-202.
___________________________________________
Editor’s Note: Disclosure: The authors have completed and returned the ICMJE Form for Disclosure of Potential Conflicts of Interest. The authors report no disclosures related to the content of this manuscript.
Manuscript received December 7, 2012; provisional acceptance given December 21, 2012; final version accepted January 30, 2013.
Address for correspondence: Vishesh Kumar, MD, Massachusetts General Hospital, Center for Systems Biology, 185 Cambridge Street, Suite 5.220, Boston, MA 02114, USA. Email: kumar.vishesh@mgh.harvard.edu


