External Iliac Artery Stenosis as Etiology of Renal Failure Post-Kidney Transplant
ABSTRACT: Transplanted renal artery stenosis is the most common vascular complication of transplanted kidney, which causes refractory hypertension and can result in allograft dysfunction, presenting with renal insufficiency and failure. We present a patient with transplanted renal artery stenosis that was successfully treated with percutaneous angioplasty and stenting.
VASCULAR DISEASE MANAGEMENT 2012:9(6):E87-E89
____________________________________________________
Case Report
A 67-year-old female with history of end-stage renal disease secondary to diabetic nephropathy on hemodialysis (HD) eventually underwent renal transplantation with normalization of creatinine off HD. However, her renal function gradually worsened (from Cr 0.9 to 3-4) over the next several months and eventually ended up again on HD. Her renal dysfunction was initially thought to be secondary to immunosuppressants. Although renal ultrasounds indicated normal velocities in the transplanted renal artery, some studies noted suboptimal visualization of the transplanted renal artery (TRA) anastomosis.

She subsequently presented with non-ST elevation myocardial infarction prompting a coronary angiogram, which revealed a ruptured plaque in the mid left anterior descending artery requiring percutaneous coronary intervention with placement of a 3 mm x 18 mm Cypher stent (Cordis Corporation) and excellent angiographic result. At the time of her percutaneous coronary intervention, an aortogram in the anterior-posterior projection showed extensive overlap of the right external iliac artery and TRA with no obvious abnormalities (Figure 1).
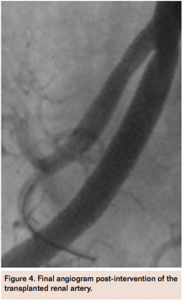
However, it was not until selective right external iliac artery angiogram from the left common femoral artery in the left anterior oblique view was performed that a significant stenosis of the TRA at the anastomosis site was visualized (Figure 2). An 8 Fr MP guide was used to selectively engage the TRA and a guidewire advanced across the lesion into the distal vessel (Figure 3). After predilation with a compliant balloon, an Express 5 mm x 16 mm stent (Boston Scientific) was deployed and post-dilated using a 6 mm x 20 mm balloon with excellent angiographic result and brisk flow (Figure 4).
The patient tolerated the procedure well without any complications and by the following day, she was producing 75-100 cc of urine/H. Two weeks post-procedure, her renal function had significantly improved with creatinine of 1.4 off HD. More recently at 1-year follow-up, the patient was clinically stable off HD and with baseline creatinine of 0.9.
Discussion
The incidence of TRAS varies between 2% and 23%, being the most common vascular complication following renal transplantation.1 TRAS usually becomes apparent 3 months to 2 years after transplantation.2 Some of the clinical manifestations of TRAS include refractory hypertension, congestive heart failure with edema, recurrent bouts of flash pulmonary edema, deterioration of renal function after initiation of angiotensin converting enzyme inhibitors or angiotensin receptor blockers, erythrocytosis, vascular bruit in the iliac fossa, and unexplained failure of transplant.
TRAS pathology is defined in relation to the arterial anastomotic site: proximal stenosis secondary to recipient atherosclerotic arterial disease; anastomotic stenosis due to surgical trauma in combination with postoperative fibrosis; and distal stenosis etiology not well defined, but mechanical and immunological factors implicated as possible causes.3 The most common causes of TRAS are technical with trauma of surgical technique, donor or recipient atherosclerosis, immunological injury, turbulent flow with angulation in end-to-side anastomosis and prolonged cold ischemia causing vascular damage and fibrosis.
Isotope renography (basal or after renin-angiotensin system stimulation) was previously a popular non-invasive screening procedure for TRAS, with relatively good sensitivity (75%), but poor specificity (67%). Color Doppler evaluation has 94%-97% sensitivity and 86%-100% specificity, but is dependent on operator skill and experience. Other modalities include spiral computed tomography and magnetic resonance angiography with the gold standard being angiogram.
Treatment options include conservative approach in the presence of stable renal function and peak systolic Doppler velocity of <180 cm/s, percutaneous treatment with angioplasty and stenting, and surgery with resection and revision of anastomosis, patch graft, saphenous vein graft or localized endarterectomy.4 Recently, percutaneous transluminal angioplasty and stenting has become the preferred approach for amelioration of graft function and hypertension.5
A 10-year case cohort study revealed that both the long-term graft and patient survival were as good in TRAS patients treated with primary percutaneous stenting as in patients without TRAS.6 The reduction in stenosis resulted in immediate improvement in blood pressure control and graft function, which persisted throughout the 6-year follow-up period. The technical success was 100%, and minor complication occurred in only one case. Although restenosis occurred in one patient, it was not the cause of graft failure.
As seen in this case, the patient had both excellent angiographic result and significant clinical benefit after prompt recognition and percutaneous management of TRAS.
References
- Ochoa C, Breda A, Martí J, de La Torre P, Villavicencio H. Endovascular treatment of stenosis of the renal artery in transplanted kidney. Actas Urol Esp. 2012;36(5):325.329. [Epub ahead of print].
- Lovaria A, Nicolini A, Meregaglia D, et al. Interventional radiology in the treatment of renal artery stenosis. Ann Urol. 1999;33(3):146-155.
- Rengel M, Gomes-Da-Silva G, Incháustegui L, et al. Renal artery stenosis after kidney transplantation: diagnostic and therapeutic approach. Kidney Int Suppl. 1998;68:S99-S106.
- Bruno S, Remuzzi G, Ruggenenti P. Transplant renal artery stenosis. J Am Soc Nephrol. 2004;15(1):134-141.
- Leonardou P, Gioldasi S, Pappas P. Transluminal angioplasty of transplanted renal artery stenosis: a review of the literature for its safety and efficacy. J Transplant. 2011;Epub Apr 14.
- Su CH, Lian JD, Chang HR, et al. Long-term outcomes of patients treated with primary stenting for transplant renal artery stenosis: a 10-year case cohort study. World J Surg. 2012;36(1):222-228.
____________________________________________________
From the Division of Interventional Cardiology and Endovascular Medicine, Deborah Heart and Lung Center, Browns Mills, New Jersey.
Disclosure: The authors have completed and returned the ICMJE Form for Disclosure of Potential Conflicts of Interest. Dr. George reports money earned for consultancy from Boston Scientific. The other authors report no conflicts of interest regarding the content herein.
Manuscript submitted March 13, 2012, final version accepted March 30, 2012.
Address for correspondence: Jon C. George, MD, Director of Clinical Research, Division of Cardiovascular Medicine, Deborah Heart and Lung Center, 200 Trenton Road, Browns Mills, NJ, 08015, USA. Email: georgej@deborah.org


