Description of a New Angiographic Sign: Dynamic Left Subclavian Artery Obstruction
Introduction
With the increase in the use of endovascular treatment of peripheral arterial disease, the heretofore underappreciated dynamics of arterial movement are now known to be important in long-term outcomes. Several forces are known to exert torsion and strain on the superficial femoral artery (SFA), particularly the distal portion. Diaz et al demonstrated that the area of greatest flexion is at the upper edge of the patella (aligned with the medial supracondylar tubercle of the femur).1 Considerable amount of force is applied to stents implanted in this region. Indeed, stent fractures are thought to result from these forces. These fractures have been shown to be associated with a high restenosis rate, including complete occlusion.2 Other vascular territories are subject to similar forces, but are even less understood. The proximal left subclavian artery is thought to be shielded from excessive forces from nearby joints, however, there may be cyclical respiratory forces which contribute to arterial torsion and kinking. This report describes two cases of proximal left subclavian artery kinking during expiration, which completely resolved during inspiration.
Case 1
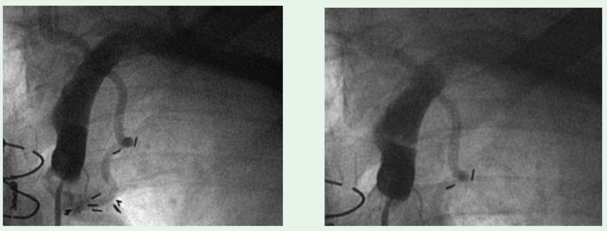
A 74-year-old gentleman with a history of coronary artery bypass grafting using the left internal mammary artery (LIMA) developed recurrent chest pain after a recent coronary intervention. During diagnostic angiography, the left subclavian was engaged with a 6-Fr Judkins 4-right catheter (JR4). Attempts at passage of an 0.035” guidewire were unsuccessful. An angiogram was performed, which demonstrated severe kinking of the proximal ascending portion of the left subclavian artery. Since there was no obvious atherosclerotic disease of the artery it was thought unlikely to represent a true stenosis. The patient was asked to take a deep breath and during inspiration, the guidewire was advanced without difficulty.
Case 2
A 63-year-old woman with a history of CABG with the use of the LIMA developed recurrent angina with abnormal myocardial imaging and was referred for coronary artery angiography. To engage the left subclavian artery, a JR4 catheter was used to engage the ostium of the left subclavian. Initial attempts at passing an 0.035" J-tipped guidewire into the left subclavian were unsuccessful with resistance met in the proximal ascending portion of the artery. The patient was asked to take a deep inspiration. During inspiration, the guidewire easily crossed the area of resistance and the catheter was advanced.
Discussion
The left subclavian artery is generally the third branch of the aortic arch. It extends from the aorta to the outer edge of the first rib, at which point it is termed the axillary artery. The left subclavian artery can be divided into three portions based on the scalenus anterior muscle. The ascending, or first portion, ascends to the base of the neck before angling towards the medial aspect of the scalenus anterior muscle. With advancing age, the aorta becomes angulated, tortuous, and elongated. Consequently, the normal anatomy of the left subclavian may become distorted. With these anatomical changes, the relatively tethered aorta at the ligamentum arteriousum may transmit more respiratory motion of the aorta to the arch vessels, particularly the left subclavian artery. With inspiration, the aorta and the proximal left subclavian may become unfolded. It is unlikely that the use of the LIMA as a bypass graft contributed to the proximal left subclavian artery folding during expiration.
We describe two cases of patients who had dynamic ascending left subclavian artery kinking. Angiography was indicated for the evaluation of the LIMA bypass graft in both cases. The folding was initially diagnosed when the guidewire was unable to traverse the proximal (not ostial) left subclavian. Interestingly, although both demonstrated physical obstruction to the guidewire, neither case had a translesional gradient during respirations. This would suggest that the anatomic kinking did not have physiological consequences, and these lesions should not be invasively treated. Aside from the anatomic stenosis without physiological consequence, these cases highlight the forces on the proximal left subclavian artery. This region has previously been thought to be a relatively fixed and immobile arterial segment. The clinical consequences of the forces imparted on this segment following endovascular stent implantation are unknown. There are no reported cases of left subclavian artery stent fracture. However, it is doubtful that this has been adequately evaluated. The restenosis rates for subclavian artery stenting are low, with five year patency usually above 85%,3,4 but the cases of restenosis may be related to the regular forces transmitted to this region.
Conclusion
The ascending portion of the left subclavian artery is not a fixed arterial segment. There is considerable movement during respiration, with kinking seen during expiration, and relief with inspiration. Clinicians should be aware of this process, both during diagnostic catheterization in making the diagnosis of left subclavian artery stenosis as well as during endovascular treatment of such. Prospective studies are underway to determine the prevalence and clinical significance of this finding.
References
1. Diaz JA, Villegas M, Tamashiro G, et al. Flexions of the popliteal artery: Dynamic angiography. J Invasive Cardiol 2004;16:712–715.
2. Scheinert D, Scheinert S, Sax J, et al. Prevalence and clinical impact of stent fractures after femoropopliteal stenting. J Am Coll Cardiol 2005;45:312–315.
3. Dieter RS, Laird JR. General overview of restenosis in peripheral arterial interventions. Endovascular Today 2004;3:36–38.
4. Fergus T, Pacanowski JP Jr, Dieter RS. Subclavian-coronary steal: Diagnosis and treatment, Angiology, in press.


