A Curious Case of Hypercoagulability
Abstract
The prevalence of peripheral artery disease (PAD) and coronary artery disease (CAD) due to a genetically induced hypercoagulable state is extremely rare and something healthcare providers should not be quick to dismiss when younger patients present with symptoms consistent with PAD and CAD. Here we present a case with a unique genetically induced hypercoagulable condition causing recurrent arterial and venous thrombi including thromboembolism of his coronary arteries.
VASCULAR DISEASE MANAGEMENT 2021;18(1):E2-E6.
Introduction
Peripheral artery disease (PAD) and coronary artery disease (CAD) are the onset of arterial occlusions leading to symptoms associated with claudication and angina, respectively. In most cases, the stenosis is due to the development of atherosclerotic plaques. However, certain genetically predisposed individuals have a propensity to be in a hypercoagulable state and have thrombotic or thromboembolic arterial and venous disease-causing symptoms consistent with PAD and CAD. The prevalence of atherosclerotic PAD and CAD is known to increase progressively after the age of 40. Premature PAD—the onset of symptoms before the age of 50 due to atherosclerotic causes—is extremely rare with prevalence less than 1%.1 Similarly, the prevalence of premature CAD (age <45) due to atherosclerotic causes is estimated to be about 4-10%.2,3 The prevalence of PAD and CAD due to a genetically induced hypercoagulable state is currently unknown. However, likely extremely rare and something healthcare providers should not be quick to dismiss when younger patients present with symptoms consistent with PAD and CAD.
Here we present a case with a unique hypercoagulable condition causing recurrent arterial and venous thrombi including thromboembolism of his coronary arteries. Although he has some of the risk factors commonly associated with atherosclerotic PAD and CAD (smoking and diabetes), these environmental risk factors are usually not associated with a higher prevalence of the disease until the ages of 40-50.4
Case Presentation
Our patient is currently a 37-year-old male with a past medical history significant for heart failure, diabetes mellitus, tobacco abuse (~12 pack-year smoking history), alcohol abuse, marijuana use, and obesity. Family history was significant for his mother who was diagnosed with “a clotting disorder”. He has an extensive history of both venous and arterial thrombi:
2010
• First found to have an unprovoked deep venous thrombosis (DVT) in his left lower extremity (LLE) in 2010, when he was just 26. However, was not started on anticoagulation at that time for reasons not known.
2011
• A year later, was found to have a DVT in his left arm and an echocardiography (echo) revealed a left ventricular (LV) thrombus.
• He underwent a left arm thrombectomy and was started on warfarin.
2015
• Unfortunately, in 2015, stopped taking Warfarin due to financial issues.
• September 2015
o Age of 31, was found to have a right lower extremity (RLE) arterial thrombus.
o Computerized tomography angiogram (CTA) of the abdominal aorta with runoff revealed a near-total occlusion of the right common, external, and internal iliac arteries with reconstitution at the level of the right external iliac artery.
– It also revealed a near-total occlusion of the right popliteal artery with reconstitution at the level of the tibioperoneal trunk.
o Subsequently underwent a right common and external iliac, popliteal, and tibioperoneal trunk thrombectomy.
o Was restarted on Warfarin as he needed to be on lifelong anticoagulation per hematology and oncology recommendations based on his hypercoagulable work up.
– Please see hypercoagulable work up separately at the end of the case discussion which was done by hematology and oncology at this time.
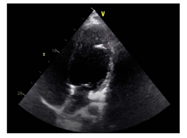
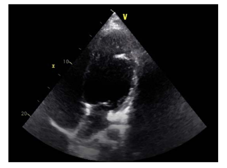
o Echo in September 2015 also revealed severe global LV hypokinesis with an estimated ejection fraction (EF) of 20-25% and an LV thrombus.
– Etiology of his cardiomyopathy leading to heart failure was attributed to his potential alcohol abuse by cardiology.
• November 2015
o A follow-up ultrasound (US) arterial doppler revealed no evidence of hemodynamically significant arterial stenosis in either of the lower extremities.
• December 2015
o Admitted again for complaints of RLE pain at rest with claudication.
– His international normalized ratio (INR) was subtherapeutic at this point as he was not compliant with his Warfarin.
– Underwent another thrombectomy of the right popliteal and posterior tibial artery (PTA) with angioplasty of the right PTA.
o Was continued on Warfarin on discharge with appropriate follow up.
2016
• November 2016
o Nearly a year later, was admitted once again for right posteromedial knee pain along with right foot pain.
o INR found to be subtherapeutic again.
o Bilateral lower extremity DVT US was negative for DVT.
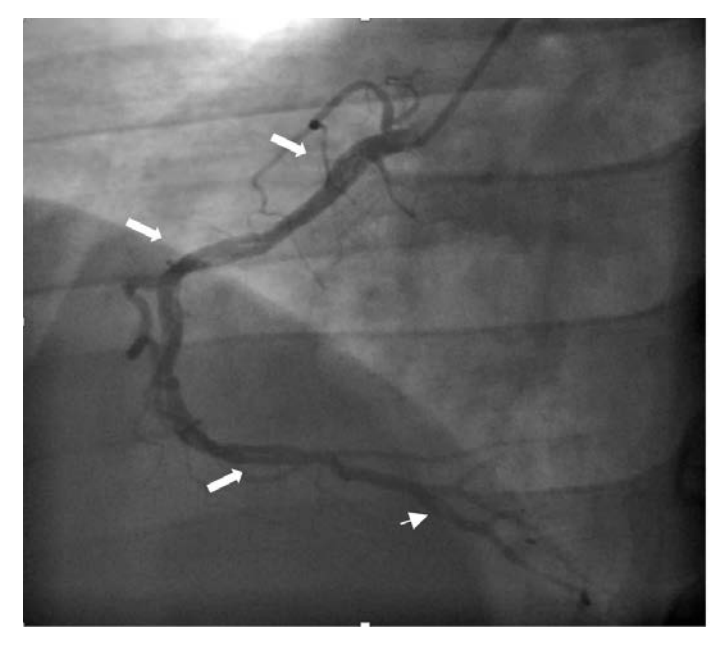
o CTA of the abdominal aorta with runoff revealed a significant right SFA occlusion secondary to a thrombus along with an occlusion of the right anterior tibial artery in the mid-calf with no significant flow noted in the dorsalis pedis artery.
o Subsequently underwent a RLE thrombolysis with tissue plasminogen activator (tPA).
o Was continued on Warfarin and Atorvastatin on discharge along with dual antiplatelet therapy (DAPT) with Aspirin and Clopidogrel for non-ST elevation myocardial infarction (NSTEMI) (thought to be type 2) that was diagnosed during this admission, to be continued for a year.
o Echo revealed a mild change in EF to 30% from 20-25% in 2015 and an unchanged LV thrombus seen on the previous echo.
2018
• June 2018
o A year and a half later, was admitted again for RLE pain with diminished pulses.
o INR found to be subtherapeutic again.
o DVT US was negative.
o CTA revealed a complete total occlusion (CTO) of the right mid SFA and popliteal artery, with occlusion of the anterior tibial artery – same arteries previously involved.
o Also had an acute DVT in the LLE while he was on a heparin drip.
o Nuclear medicine stress test was positive during pre-operative workup.
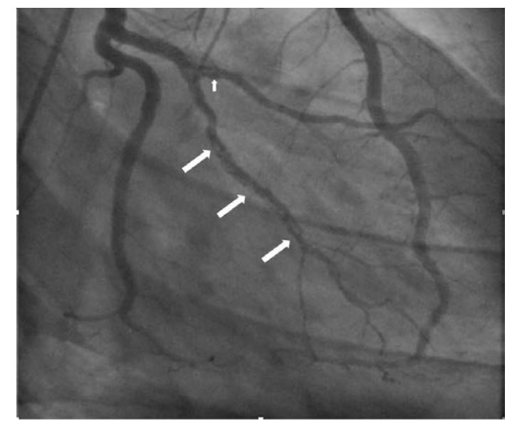
– A subsequent coronary angiogram revealed diffuse organized filling defects with TIMI III flow of obtuse marginal artery (OM) and right coronary artery (RCA) consistent with chronic thromboembolism of coronary arteries.
o Patient was deemed too high risk for open distal femoral bypass and is currently managed on medical triple therapy with Aspirin, Clopidogrel, and Apixaban with no recurrence of acute limb ischemia at this time.
Hypercoagulable workup was as follows:
• Factor VIII activity - Elevated at 340% - 11/2015 [normal: 50 % - 150%]
• Homocysteine levels:
o Found to be mildly elevated at 21.3 - 11/2015 [normal: 3.7 - 13.9]
o 14.9 - 11/2016
• Factor V Leiden (FVL) - negative for genetic mutation
• MTFR (A1298C, C677T) - negative for genetic mutation
• Prothrombin gene - negative for genetic mutation
• Antithrombin 3 function (AT3) - normal
• Antiphospholipid syndrome testing:
o No Lupus anticoagulant detected in 11/2016 and in 10/2020
o Anticardiolipin antibodies - negative
o Anti-beta2-glycoprotein - negative
o Phosphatidylserine Abs
– IgG – normal in 11/2016 and in 10/2020
– IgM – Normal in 11/2016
– Elevated at 34;[normal: 0-24] – 10/2020
– IgA – normal in 11/2016 and in 10/2020
• Warfarin sensitivity - normal
• Was unable to check for protein C and protein S as the patient was already on Warfarin at the time.
Discussion
A hypercoagulable state, or thrombophilia, can either be acquired or genetic. Some of the most common acquired risk factors are trauma/surgery, immobilization, cancer, pregnancy, oral contraceptive use, antiphospholipid antibody syndrome, heparin-induced thrombocytopenia (HIT), obesity, and nephrotic syndrome.5 Common genetic causes include activated protein C (APC) resistance/FVL, prothrombin gene mutation, protein C and/or S deficiency, antithrombin deficiency, hyperhomocysteinemia, elevated factor VIII activity and dysfibrinogenemia.5
In our case, the cause of his recurrent arterial and venous thrombi is likely due to a primary hypercoagulable state caused by a genetically inherited abnormality, given that he reported a family history of his mother with “a clotting disorder”, he had recurrent arterial and venous thrombi without apparent precipitating factors, he had thrombosis at unusual anatomic sites and presented with thrombosis at an early age.18 The cause of his primary hypercoagulable state is yet to be fully diagnosed. However, the most likely culprit is his significantly elevated factor VIII level and his elevated levels of homocysteine both of which could be causing his hypercoagulable condition either independently or together.
However, his homocysteine levels were normal in 2016, after being found elevated a year earlier in 2015. Furthermore, per lab guidelines, the timing of measurement of factor VIII levels is also important. Standard laboratory guidelines suggest that factor VIII measurement should be postponed until at least 4-6 weeks after the discontinuation of anticoagulant/thrombolytic therapies, especially Warfarin as it is associated with higher factor VIII levels.15,16 Guidelines also suggest that the labs be drawn at least 6 months after an acute thrombotic event and repeated after 3-6 months to confirm that plasma levels are still elevated6,15. In our case, factor VIII activity level was only drawn once and it was within 2 months of him having a RLE arterial thrombus; moreover, when that lab was drawn, he was already on Warfarin as well. It remains to be seen whether his factor VIII activity is elevated due to a true genetic mutation or due to his acute arterial thrombus and him being on Warfarin. However, it is important to also note that every time he presented with recurrent arterial thrombus his INR was found to be subtherapeutic, which could indicate that his factor VIII activity was likely elevated due to a true genetic abnormality.
His symptoms could also be explained by antiphospholipid syndrome (APS). This is a diagnosis with very weak evidence in this patient due to most of his antiphospholipid syndrome testing coming back negative. However, APS can be diagnosed in patients who do not fulfill the revised Sapporo criteria since he does have symptoms consistent with APS and has a borderline antiphospholipid testing.17 He had an elevation in his IgM phosphatidyl serine antibodies (aPS) in 10/2020 which was previously normal in 11/2016. Isolated presence of IgM or IgG antibodies to aPS may have questionable clinical significance for APS. However, repeat testing on two or more occasions at least 12 weeks apart would be required, which unfortunately has not been done in this patient.
There have been other reported causes of PAD due to primary hypercoagulable states like in our patient. One case report presented two cases of PAD in patients both aged less than 25 at symptom onset. Both patients had no environmental risk factors for PAD, and a comprehensive hypercoagulable workup in both turned out negative.6 However, another case report discussed a patient who initially presented with a STEMI at the age of 27 and then was found to have numerous recurrent arterial thrombi, much like our patient. Hypercoagulable workup was negative except for his factor VIII activity which was severely elevated at 365%, very similar to our patient.7
Apart from just case reports, there have also been numerous studies that have shown an association between PAD and genetically induced thrombophilia causing a primary hypercoagulable state. One study that looked at 280 patients showed a statistically significant association between PAD symptoms and patients with either prothrombin variant, altered levels of homocysteine levels, plasminogen activator inhibitor-1, or the presence of antiphospholipid antibodies.15 More specifically, Martinelli (2005) found that high factor VIII levels were associated with a moderately high risk of venous thrombosis based on two prospective observations along with several case-control studies.19 Similarly, Jenkins et al. (2012) found that the risk of recurrent venous thrombosis was significantly increased in patients with high factor VIII levels.8 They went on conclude that elevated factor VIII levels constitute a clinically important thrombophilia.8
Numerous studies have also shown an association between hyperhomocysteinemia and recurrent thrombotic disease. Clarke et al (1991) in their study showed that hyperhomocysteinemia was an independent risk factor for vascular disease, including coronary disease.9 Similarly, the study by Genest et al (1991) showed that they found a significant increase in homocysteine levels in patients with CAD and they went on to conclude that, based on their data plasma homocysteine was a risk factor for the development of CAD, independent of other cardiovascular risk factors.11 Another study from Cattaneo (1997) which looked at numerous retrospective case-control studies and prospective cohort studies found that moderate hyperhomocysteinemia, much like in our patient, was an independent risk factor for premature vascular disease in the coronary, cerebral, and peripheral arteries.20 They also found that moderate hyperhomocysteinemia with venous thrombosis was shown in patients with early-onset or recurrent disease and in the general population.20 Kim and Becker (2003) in their metanalysis of published case-control and cohort studies also concluded that genetic abnormalities specific to factor V, prothrombin, and homocysteine metabolism increased the risk for myocardial infarction and ischemic stroke, particularly among younger patients.10
A few studies, however, have found no association between thrombotic disease and common genetic mutations causing thrombophilia. A prospective cohort study looked at 100 patients with genetic thrombophilic factors (FVL and prothrombin mutation) and mutations in homocysteine metabolism (cystathionine beta synthase (CBS) and methylenetetrahydrofolate reductase (MTHFR) leading to hyperhomocysteinemia, with a 6-year follow up and their association with PAD. The results were deemed statistically insignificant, and it was concluded that no such correlation between genetic thrombophilic factors and PAD existed.12
Similarly, another study which was a case-control study looking at 433 patients found that PAD was not associated with an increased prevalence of FVL, prothrombin, or MTHFR mutations. They deemed that there was no indication that any one of the above mutations was a risk factor for developing PAD. However, they did conclude that the role of either of these mutations in acute limb ischemia needed to be further clarified.13 Some studies even looking at increased factor VIII levels and their association with PAD have not shown statistical significance14 and, to date, the impact of factor VIII mutations on the incidence of arterial thrombosis still needs to be determined.7
Based on the current literature, a weak association exists between genetically induced hypercoagulable states and the development of thrombotic disease. New findings in this area of study could influence future management of hypercoagulable states and further research on the pharmacologic front as well. At the very least, such a study could influence a comprehensive guideline on the appropriate workup and provide a systematic diagnostic approach when a primary hypercoagulable state is suspected. This will prevent misdiagnosis and mismanagement of such patients when they present with symptoms of PAD and CAD at a young age.
It is challenging to determine the real reason for our patient’s recurrent arterial and venous thrombi, largely due to his inadequate and improper hypercoagulable work up. However, based on the literature review and his hypercoagulable work up, there is some evidence suggesting that his recurrent arterial and venous thrombi could be due to his elevated factor VIII activity and elevations of his homocysteine levels. A high index of suspicion for a primary hypercoagulable state should be exercised in young patients presenting with symptoms consistent with claudication and/or angina. Furthermore, a systematic diagnostic approach along with a comprehensive hypercoagulable work up should be undertaken to prevent misdiagnosis and mismanagement, along with consideration for early coronary angiography.
Disclosure: The authors have completed and returned the ICMJE Form for Disclosure of Potential Conflicts of Interest. The authors report no financial relationships or conflicts of interest regarding the content herein.
Address for Correspondence: Kalgi Modi, MD, Assistant Professor of Cardiology; Director, Cardiovascular Disease & Interventional Cardiology Fellowships, Louisiana State University Health Sciences Center, 1501 Kings Hwy, Shreveport, LA 71103. Phone: (318) 675-5941. E-mail: kmodi@lsuhsc.edu
REFERENCES
1. Hirsch AT, Haskal ZJ, Hertzer NR, et al. ACC/AHA 2005 Practice Guidelines for the management of patients with peripheral arterial disease (lower extremity, renal, mesenteric, and abdominal aortic): a collaborative report from the American Association for Vascular Surgery/Society for Vascular Surgery, Society for Cardiovascular Angiography and Interventions, Society for Vascular Medicine and Biology, Society of Interventional Radiology, and the ACC/AHA Task Force on Practice Guidelines (Writing Committee to Develop Guidelines for the Management of Patients With Peripheral Arterial Disease): endorsed by the American Association of Cardiovascular and Pulmonary Rehabilitation; National Heart, Lung, and Blood Institute; Society for Vascular Nursing; TransAtlantic Inter-Society Consensus; and Vascular Disease Foundation. Circulation. 2006;113(11):e463-654.
2. Shemirani HS, Kh. The relative impact of smoking or Hypertension on severity of premature coronary artery disease. Iranian Red Crescent Medical Journal. 2007:177-181.
3. Doughty M, Mehta R, Bruckman D, et al. Acute myocardial infarction in the young. The University of Michigan experience. Am Heart J. 2002;143(1):56-62.
4. Rooke TW, Hirsch AT, Misra S, et al. Management of patients with peripheral artery disease (compilation of 2005 and 2011 ACCF/AHA Guideline Recommendations): a report of the American College of Cardiology Foundation/American Heart Association Task Force on Practice Guidelines. J Am Coll Cardiol. 2013;61(14):1555-1570.
5. Nakashima MO, Rogers HJ. Hypercoagulable states: an algorithmic approach to laboratory testing and update on monitoring of direct oral anticoagulants. Blood Res. 2014;49(2):85-94.
6. Doraiswamy VA, Giri J, Mohler E, 3rd. Premature peripheral arterial disease - difficult diagnosis in very early presentation. Int J Angiol. 2009;18(1):45-47.
7. Algahtani FH, Stuckey R. High factor VIII levels and arterial thrombosis: illustrative case and literature review. Ther Adv Hematol. 2019;10:2040620719886685.
8. Jenkins PV, Rawley O, Smith OP, O'Donnell JS. Elevated factor VIII levels and risk of venous thrombosis. Br J Haematol. 2012;157(6):653-663.
9. Clarke R, Daly L, Robinson K, et al. Hyperhomocysteinemia: an independent risk factor for vascular disease. N Engl J Med. 1991;324(17):1149-1155.
10. Kim RJ, Becker RC. Association between factor V Leiden, prothrombin G20210A, and methylenetetrahydrofolate reductase C677T mutations and events of the arterial circulatory system: a meta-analysis of published studies. Am Heart J. 2003;146(6):948-957.
11. Genest JJ, Jr., McNamara JR, Upson B, et al. Prevalence of familial hyperhomocyst(e)inemia in men with premature coronary artery disease. Arterioscler Thromb. 1991;11(5):1129-1136.
12. Archetti S, Martini M, Botteri E, Di Lorenzo D, Cervi E, Bonardelli S. Influence of genetic and environmental factors in peripheral arterial disease natural history: Analysis from six years follow up. Int J Appl Basic Med Res. 2012;2(2):117-122.
13. Mueller T, Marschon R, Dieplinger B, et al. Factor V Leiden, prothrombin G20210A, and methylenetetrahydrofolate reductase C677T mutations are not associated with chronic limb ischemia: the Linz Peripheral Arterial Disease (LIPAD) study. J Vasc Surg. 2005;41(5):808-815.
14. Shemirani AH, Szomjak E, Csiki Z, Katona E, Bereczky Z, Muszbek L. Elevated factor XIII level and the risk of peripheral artery disease. Haematologica. 2008;93(9):1430-1432.
15. Sofi F, Lari B, Rogolino A, et al. Thrombophilic risk factors for symptomatic peripheral arterial disease. J Vasc Surg. 2005;41(2):255-260.
16. Chan MY, Andreotti F, Becker RC. Hypercoagulable states in cardiovascular disease. Circulation. 2008;118(22):2286-2297.
17. Abreu MM, Danowski A, Wahl DG, Amigo MC, Tektonidou M, Pacheco MS, Fleming N, Domingues V, Sciascia S, Lyra JO, Petri M, Khamashta M, Levy RA. The relevance of "non-criteria" clinical manifestations of antiphospholipid syndrome: 14th International Congress on Antiphospholipid Antibodies Technical Task Force Report on Antiphospholipid Syndrome Clinical Features. Autoimmun Rev. 2015;14(5):401-14.
18. Schafer AI. The hypercoagulable states. Ann Intern Med. 1985;102(6):814-28.
19. Martinelli I. von Willebrand factor and factor VIII as risk factors for arterial and venous thrombosis. Semin Hematol. 2005;42(1):49-55.
20. Cattaneo M. Hyperhomocysteinemia: a risk factor for arterial and venous thrombotic disease. Int J Clin Lab Res. 1997;27(3):139-44.


