Cryptogenic Stroke and Acute Lower Limb Ischemia in a Patient With a Patent Foramen Ovale
Abstract
A patent foramen ovale is a common abnormality; however, the prevalence of paradoxical embolism through a patent foramen ovale is still uncertain. Cryptogenic stroke is the most common presentation of paradoxical embolism. Acute lower limb ischemia is a rare presentation with only few case reports in the literature. A high index of suspicion is essential to diagnose a paradoxical embolism through a patent foramen ovale. Here we present a 46-year-old female patient who had a history of cryptogenic stroke and who presented with acute lower limb ischemia in association with patent foramen ovale and massive pulmonary embolism. She underwent a successful thrombo-embolectomy of the left lower limb arteries, and continued on lifelong anticoagulation.
VASCULAR DISEASE MANAGEMENT 2020;17(9):E186-E189
Key words: Patent foramen ovale, paradoxical embolism, cryptogenic stroke, acute lower limb ischemia
Abbreviations: patent foramen ovale (PFO); pulmonary embolism (PE); transthoracic echocardiography (TTE) transesophageal echocardiography (TEE)
Introduction
Foramen ovale is an interatrial shunt in the heart of the fetus that allows the passage of oxygenated blood to the systemic circulation. It usually closes soon after birth; however, it may not close and remains permeable into adulthood. Patent foramen ovale (PFO) may be incidental or pathognomonic, as it may be responsible for paradoxical embolism especially in young adults with high risk PFO. The most common presentation of paradoxical embolism is cryptogenic stroke.1 Other presentations include migraine, Platypnea-orthodeoxia syndrome, decompression syndrome, and systemic embolization.2 Acute lower limb ischemia due to paradoxical embolism is a rare event with only few case reports.
Case presentation
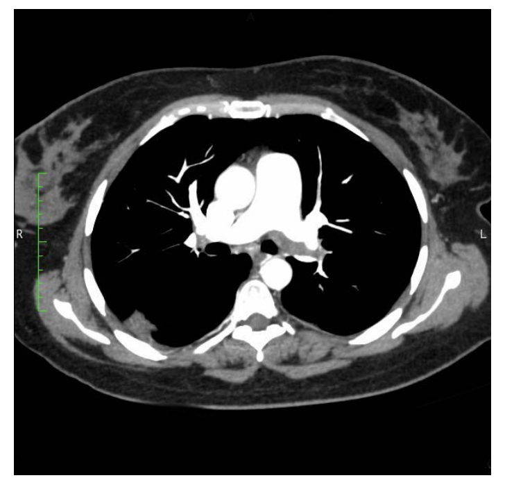
A 46-year-old female patient presented to the emergency unit with clinical symptoms and signs of left acute lower limb ischemia. The patient had no risk factors for atherosclerosis like diabetes mellitus, hypertension, hyperlipidemia, or smoking, and no history of coronary artery disease. Two months prior to this presentation she had a stroke with dysarthria, dysphagia, and right sided weakness that lasted for 2 days and she was started on aspirin. In the emergency room she was hemodynamically stable, and the left foot was painful, cold, pale, weak, and pulseless. The basic labs were normal, and the ECG showed no arrhythmias. She had a CT angiography which showed total occlusion of the left iliac and femoral arteries with reconstitution of blood flow to the popliteal artery (Figure 1). She was transferred to the operating room and underwent a successful thromboembolectomy with return of blood flow to the limb. Post operatively, the patient had transthoracic and transesophageal echocardiography and CT angiography of the chest, head, and neck. The echocardiography showed a patent foramen ovale and a right ventricular thrombus 2 cm in size. It also showed pulmonary hypertension with a right ventricular systolic pressure of 50 mmHg. The CT of the chest showed large, massive filling defects in the main and primary branches of both pulmonary arteries, representing massive PE (Figure 2). The CT of the head showed filling defect in the confluence of the superior sagittal sinus extending to the left transverse sinus, concerning for venous thrombosis with normal carotid and vertebral arteries. Lower limbs venous doppler was negative for deep venous thrombosis. Thrombophilia workup was negative except for reduced Antithrombin III level possibly due to heparinization.
The patient was anticoagulated with heparin from the moment of presentation in the emergency room and continued postoperatively on warfarin. She needed oxygen by nasal canula as she was hypoxic at room air. The cardiologist, cardiac surgeon, and pulmonary physician recommended her to continue on anticoagulation. The patient was discharged from the hospital on warfarin and home oxygenator and followed up in the outpatient clinic. There was a dramatic clinical improvement, as she was removed from the oxygenator and walking around normally. A follow up CT angiography of the lower limbs showed well perfused limbs (Figure 3).
Discussion
The prevalence of PFO is (13-34%) of the population as found in autopsy studies.3,4,5 The size ranges from 1 to 19 mm (mean, 4.9 mm), and with increasing age the prevalence decreases, and the mean size tends to increase.3 Patent foramen ovale (PFO) can produce right-to-left atrial shunting when there is a pressure gradient in certain situations including pulmonary embolism, pulmonary hypertension, and Valsalva maneuver.2,6 This shunting allows the passage of paradoxical emboli from the venous system and the right heart to the arterial system. Although PFO is a common anomaly, it is usually benign and asymptomatic and paradoxical embolism is a rare event. The diagnosis of paradoxical embolism needs certain criteria including the presence of abnormal communication between the venous and the arterial circulations, absence of left-sided or systemic circulation source of the embolism, presence of venous thromboembolism, and increased right-sided pressure which leads to right to left shunting.7 Our patient fulfilled the four criteria of paradoxical embolism as she had pulmonary embolism, pulmonary hypertension, documented PFO, and absence of a left-sided source of the emboli.
PFOs are associated with cryptogenic strokes, with a 2.3- fold increased relative risk of having a PFO for young patients with cryptogenic stroke compared to young patients with a stroke of a defined cause, suggesting a 73% probability of the PFO being the mechanism of stroke and 27% probability being incidental finding.8,9 Certain morphometric characters of PFO are related to the risk of cryptogenic stroke including the severity of the right to left shunting, septal excursion distance, height during Valsalva maneuver, and concomitant atrial septal aneurysm.10 However, another study found no evidence that these characters suggest that the cryptogenic stroke is due to a PFO, or whether the PFO is pathogenic or incidental.11 Patients with acute pulmonary embolism and PFO are at considerable risk of cryptogenic stroke.12 Silent PE was identified in 37% of patients with cryptogenic stroke and PFO, while deep vein thrombosis (DVT) was identified in 7% only.13 Pulmonary embolism indicates the presence of a venous source of the paradoxical embolus, and it is a cause of increased right atrial pressure which leads to right to left shunting through the PFO.
Acute lower limb ischemia is a rare manifestation of PFO and paradoxical embolism, as there are only few case reports in the literature.7,14,15,16 Therefore, a high index of suspicion should be considered in case of absence of a definite cause like cardiac disease or a hypercoagulable state. Transesophageal echocardiography (TEE) is the gold standard to detect PFO; however, a transthoracic echocardiography (TTE) with good image quality may detect it.6 A Valsalva maneuver is performed during imaging to demonstrate the right to left shunting. TTE is not routinely done in acute lower limb ischemia as it rarely identifies a cardiac embolic source; however, it is recommended as a screening tool to detect incidental cardiac abnormalities which were 19% in one study.17 Transcranial doppler with bubble study is another modality to detect right to left shunting, but it doesn’t differentiate the PFO from other causes of shunting.
The findings in our patient may suggest a recurrent paradoxical embolism through the PFO, as she had a cryptogenic stroke and after 2 months, she had acute lower limb ischemia. In addition, the massive pulmonary embolism increased the risk of paradoxical embolism and indicated a right-sided source. However, there is a possibility that the patient conditions may be due to hypercoagulability as she had low antithrombin 3 level, and that the PFO may be an incidental finding rather than pathogenic.
Our patient was managed by an antiplatelet for her cryptogenic stroke which obviously did not prevent the recurrent paradoxical embolus to the lower limbs. The DEFENSE-PFO PFO trial and other studies concluded that closure of high-risk PFO combined with medical therapy resulted in a lower cryptogenic stroke recurrence rate than medical therapy alone. Also there were lower transient ischemic attacks and mortality rates.18,19,20,21 A high-risk PFO criteria include moderate-to-severe shunting, large size of the PFO, association with atrial septal aneurysm, and hypermobility of the atrial septum.18,22 On the other hand, a Cochrane review of recent randomized controlled trials has revealed no statistically significant differences between medical therapy and transcatheter device closure in the prevention of recurrent cryptogenic stroke, and that transcatheter device closure was associated with an increased risk of atrial fibrillation.23
Conclusion
Paradoxical embolism causing acute lower limb ischemia is a rare presentation. A high index of suspicion for a paradoxical embolism should be there in patients who present with a systemic embolism and an undefined source of the embolus.
Disclosure: The authors have completed and returned the ICMJE Form for Disclosure of Potential Conflicts of Interest. They report no conflicts of interest regarding the content herein.
Address for correspondence:
Raed M. Ennab, Faculty of Medicine, Department of Clinical Sciences, Yarmouk University, Pr. Hasan St. 21163, Irbid, Jordan
Telephone: +96 279 712 2559
Email: Raed.ennab@Yu.edu.jo
REFERENCES
1. Windecker S, Stortecky S, Meier B. Paradoxical embolism. J Am Coll Cardiol. 2014;64(4):403-415.
2. Cruz-González I, Solis J, Inglessis-Azuaje I, Palacios IF. Patent foramen ovale: current state of the art. Rev Esp Cardiol. 2008;61(7):738-751.
3. Hagen PT, Scholz DG, Edwards WD. Incidence and size of patent foramen ovale during the first 10 decades of life: an autopsy study of 965 normal hearts. Mayo Clin Proc. 1984;59(1):17-20.
4. Kuramoto J, Kawamura A, Dembo T, Kimura T, Fukuda K, Okada Y. Prevalence of patent foramen ovale in the Japanese population—Autopsy study. Circ J. 2015;79(9):2038-2042.
5. Penther P. Patent foramen ovale: an anatomical study. Apropos of 500 consecutive autopsies. Arch Mal Coeur Vaiss. 1994;87(1):15-21.
6. Pepi M, Evangelista A, Nihoyannopoulos P, et al. Recommendations for echocardiography use in the diagnosis and management of cardiac sources of embolism: European Association of Echocardiography (EAE) (a registered branch of the ESC). Eur J Echocardiogr. 2010;11(6):461-476.
7. Miller S, Causey MW, Schachter D, Andersen CA, Singh N. A case of limb ischemia secondary to paradoxical embolism. Vasc Endovascular Surg. 2010;44(7):604-608.
8. Saver JL, Mattle HP, Thaler D. Patent foramen ovale closure versus medical therapy for cryptogenic ischemic stroke: A topical review. Stroke. 2018;49(6):1541-1548.
9. Alsheikh-Ali AA, Thaler DE, Kent DM. Patent foramen ovale in cryptogenic stroke: incidental or pathogenic? Stroke. 2009;40(7):2349-2355.
10. Holda MK, Koziej M. Morphometric features of patent foramen ovale as a risk factor of cerebrovascular accidents: A systematic review and meta-analysis. Cerebrovasc Dis. 2020;49(1):1-9.
11. Wessler BS, Thaler DE, Ruthazer R, et al. Transesophageal echocardiography in cryptogenic stroke and patent foramen ovale: analysis of putative high-risk features from the risk of paradoxical embolism database. Circ Cardiovasc Imaging. 2014;7(1):125-131.
12. Vindiš D, Hutyra M, Šaák D, et al. Patent foramen ovale and the risk of cerebral infarcts in acute pulmonary embolism—A prospective observational study. J Stroke Cerebrovasc Dis. 2018;27(2):357-364.
13. Tanislav C, Puille M, Pabst W, et al. High frequency of silent pulmonary embolism in patients with cryptogenic stroke and patent foramen ovale. Stroke. 2011;42(3):822-824.
14. Travis JA, Fuller SB, Ligush J, Plonk GW, Geary RL, Hansen KJ. Diagnosis and treatment of paradoxical embolus. J Vasc Surg. 2001;34(5):860-865.
15. Herity NA, Dalzell GW. Venous thrombosis causing arterial embolization to the same limb through a patent foramen ovale. Clin Cardiol. 1997;20(10):893-896.
16. Greenberg JW, Goff ZD, Mooser AC, Wittgen CM, Smeds MR. Acute limb ischemia secondary to patent foramen ovale-mediated paradoxical embolism: A case report and systematic review of the literature. Ann Vasc Surg. 2020;66:668.e5-668.e10.
17. Lewis A, Kirk G, McKinley A, Blair PH, Harkin DW. The role of transthoracic echocardiography in embolic acute limb ischaemia. Ir J Med Sci. 2009;178(4):457-459.
18. Lee PH, Song J-K, Kim JS, et al. Cryptogenic stroke and high-risk patent foramen ovale. The DEFENSE-PFO Trial. J Am Coll Cardiol. 2018;71(20):2335-2342.
19. Kent DM, Dahabreh IJ, Ruthazer R, et al. Device closure of patent foramen ovale after stroke: Pooled analysis of completed randomized trials. J Am Coll Cardiol. 2016;67(8):907-917.
20. Saver JL, Carroll JD, Thaler DE, et al. Long-term outcomes of patent foramen ovale closure or medical therapy after stroke. N Engl J Med. 2017;377(11):1022-1032.
21. Turc G, Calvet D, Guérin P, et al. Closure, anticoagulation, or antiplatelet therapy for cryptogenic stroke with patent foramen ovale: systematic review of randomized trials, sequential meta-analysis, and new insights from the CLOSE study. J Am Heart Assoc. 2018;7(12):e008356.
22. Pristipino C, Sievert H, D'Ascenzo F, et al. European position paper on the management of patients with patent foramen ovale. General approach and left circulation thromboembolism. EuroIntervention. 2019;14(13):1389-1402.
23. Li J, Liu J, Liu M, et al. Closure versus medical therapy for preventing recurrent stroke in patients with patent foramen ovale and a history of cryptogenic stroke or transient ischemic attack. Cochrane Database Syst Rev. 2015(9):CD009938.


