Contrast Induced Nephropathy: How to Avoid a Life of CIN
Abstract
Contrast-induced nephropathy, defined as a worsening or cessation of renal function following contrast administration, remains an important issue with both clinical and economic impact. Contrast nephropathy occurs more frequently in “high risk” patients including those with pre-existing renal insufficiency, high volumes of contrast administration, advanced age, hypotension, congestive heart failure, diabetes, and anemia. Multiple strategies have been studied to decrease the risk of contrast nephropathy. Current practice patterns often utilize approaches with little or no supporting data. These approaches are reviewed as well as newer strategies such as “targeted renal therapy” and expanded use of CO2 angiography.
VASCULAR DISEASE MANAGEMENT 2014;11(3):E59-E66
Key words: contrast medium, nephrology, local drug delivery, renal failure
_______________________
Contrast-induced nephropathy (CIN) is defined as a reduction or cessation of renal function following the administration of iodinated contrast. This complication of angiographic procedures is associated with high morbidity, increased mortality and marked increases in cost. Contrast nephropathy remains one of the most common causes of acute renal failure in hospitalized patients. At present, there are no strategies that are approved by the US Food and Drug Administration (FDA) for prevention of contrast nephropathy. Several “benign” treatment approaches have gained widespread adoption despite an absence of supporting data and in many cases despite available data that demonstrate a lack of meaningful benefit. Newer approaches show promise, but adoption is hampered by increased cost and a continued lack of randomized data to confirm efficacy.
Previous studies have illustrated the adverse effects associated with CIN. Dangas et al1 studied patients undergoing angiographic procedures to determine the incidence and prognosis of patients developing contrast nephropathy defined as a postprocedure increase in serum creatinine (Cr) of greater than 0.5 mg/dL or greater than 25% compared to baseline. CIN occurred in 16.7% of patients. For patients developing CIN, there were significant increases in in-hospital major adverse cardiac events (9.3 vs 1.1%, P<.0001), in-hospital mortality (6.3% vs 0.8%, P<.0001), 1-year mortality (22.6% vs 6.9%, P<.0001), and hospital length of stay (6.8±7.1 vs 2.5±2.5 days, P<.0001).
Chertow et al2 examined the economic impact of CIN and found that progressively larger increases in serum Cr were associated with incrementally worse clinical outcomes, including mortality as well as higher costs. Increases in Cr of 0.5mg/dL to 0.9 mg/dL were associated with an increase in hospital costs of over $5,000 while increases in Cr of >2.0 mg/dL were associated with increased costs of almost $25,000 even after multivariate adjustment for confounding variables such as age, gender, weight, and other concomitant medical conditions. An increased in Cr of ≥0.5 mg/dL was associated with a 6.5-fold increase in mortality and a 3.5-day increase in length of stay.
Assessing the Risk of Contrast-Induced Nephropathy
The pathophysiologic mechanism of CIN is incompletely understood but likely includes direct toxicity of contrast media to renal tubules, contrast media induced vasoconstriction, and decreased local prostaglandin and nitric oxide mediated vasodilation. These mechanisms have provided the rationale for various preventative treatment strategies. Perhaps more clear than the actual pathophysiology of CIN are the risk factors that increase the incidence of this complication. The degree of pre-existing renal insufficiency is the most important risk factor, but there are other variables that impact risk as well, including amount of contrast administered, age, diabetes, hypotension, congestive heart failure, anemia, and need for an intra-aortic balloon pump. Mehran et al3 performed a retrospective study with multivariate analysis and developed a scoring system to assess risk and predict the incidence of contrast nephropathy. The model (Figure 1) was then prospectively validated and was shown to be highly accurate. This scoring system is helpful clinically for physicians evaluating a patient’s risk of CIN but also may be used to estimate the benefit, if any, of a treatment designed to reduce the risk of CIN.
Contrast Selection
The role of contrast selection continues to be studied extensively. Multiple studies have compared high-osmolar, low osmolar, and iso-osmolar contrast agents. Current generation iso-osmolal agents have osmolality of approximately 290 mOsmol/kg (e.g. iodixanol) compared to earlier generation agents with osmolality of 500-850 mOsmol/kg (e.g. iohexol). Iso-osmolar agents may have a lower incidence of CIN but larger, randomized trials are needed.4
N-Acetylcysteine
Many physicians, often on the advice of a consulting nephrologist, routinely administer N-acetylcysteine (NAC) to patients with increased risk of contrast nephropathy, usually on the basis of elevated baseline Cr and/or reduced estimated CrCl. Such therapy is virtually “standard of care” in many institutions based on several early small clinical trials that appeared to show benefit. Such benefit was inconsistent and other small trials failed to demonstrate benefit. The largest randomized trial to date is the ACT: Acetylcysteine for Contrast-Induced Nephropathy Trial published in 2011.5 In this trial, 2,308 patients undergoing an angiographic procedure with ≥1 risk factor for CIN (age ≥70 years, renal insufficiency, diabetes, congestive heart failure, or hypotension) were randomized to receive either NAC 1,200 mg or placebo. The observed incidence of CIN was identical in the 2 groups at 12.7%. Further, the 30-day incidence of mortality or dialysis was virtually identical (2.3% for patients receiving placebo, 2.2% for patients treated with acetylcysteine).
More recently, a prospective, double-blind, randomized, placebo controlled trial of NAC or ascorbic acid (an anti-oxidant) vs. placebo in patients undergoing cardiac catheterization was published by Brucek, et al.6 In this study of 520 patients with mean Cr of 1.5 (CrCl 40-43 mL/min), patients were randomized to received N-acetylcysteine 600 mg intravenously, ascorbic acid 500 mg intravenously or placebo (normal saline [NS] 250 mL intravenously) 24 hours and one hour prior to catheterization. Both NAC and ascorbic acid were administered intravenously due to the poor bioavailability of both agents (<10%) after oral administration. All patients received intravenous NS hydration 1 mL/kg/hr for 12 hours before and after the procedure and low osmolal, nonionic contrast was used in all patients. Average contrast administration was similar in all 3 groups at 110 mL to 115 mL. At 72 hours, there was no significant benefit to NAC (or ascorbic acid) in the prevention of CIN (NAC 27.6%, ascorbic acid 24.5%, placebo 32.1%, P=NS for all comparisons).
Intravenous Sodium Bicarbonate
Similarly to NAC, some small trials and meta-analyses seemed to suggest a benefit to intravenous sodium bicarbonate therapy while other studies showed no benefit. Maioli et al7 finally published a randomized trial in 2008 evaluating 502 patients with baseline CrCl<60 mL/min undergoing angiographic procedures. Patients were treated with either NS or intravenous sodium bicarbonate both before and after the angiographic procedure.
Patients in the sodium bicarbonate group (154 mEq/L in dextrose and water) received 3 mL/kg for 1 hour before contrast medium, followed by an infusion of 1 mL/kg/hr for 6 hours after the procedure. All patients were studied with iso-osmolar contrast. All patients also received “standard of care” NAC. Contrast nephropathy was defined as an increase in Cr of ≥0.5 mg/dL within 5 days. There was no significant reduction in the incidence of contrast nephropathy (10.0% for sodium bicarbonate vs 11.5% with NS) or in the mean increase in Cr postprocedure (0.9±0.6 mg/dL with sodium bicarbonate vs. 0.7±0.2 mg/dL with NS).
Fenoldopam
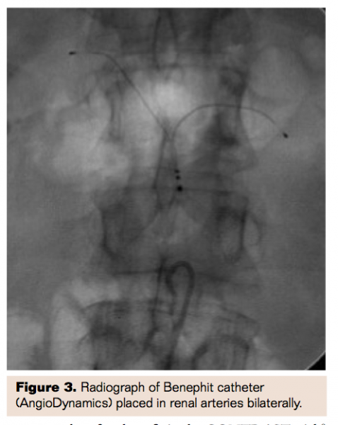
Given the pathophysiologic mechanisms of contrast nephropathy, there was interest in using intravenous fenoldopam, a dopamine-1 agonist and direct renal vasodilator, for prevention of contrast nephropathy. This approach quickly gained popularity but ultimately was proven to be of no benefit in the CONTRAST trial.8 The likely reason for failure was elucidated in work done by Tierstein et al9 which evaluated the effect of intravenous vs intrarenally (IR) delivered fenoldopam. Tierstein demonstrated that there was no increase in renal blood flow or glomerular filtration rate associated with the doses of intravenous fenoldopam utilized in CONTRAST and higher doses were not possible due to limitations of systemic hypotension. Conversely, IR fenoldopam delivered using a specialized bifurcated “Benephit” catheter (Figures 2, 3; AngioDynamics) significantly increased renal blood flow and GFR by 25% and allowed the delivery of much higher doses of fenoldopam, typically 0.4 mcg/kg/min compared to 0.05 mcg/kg/min to 0.1 mcg/kg/min delivered intravenously. The prophylactic administration of IR fenoldopam for prevention of CIN became known as “targeted renal therapy” (TRT).
Multicenter, nonrandomized data was collected in the Be-RITE Registry.10 A total of 501 patients were treated between May 2004 and August 2007 at 19 centers and 285 of those undergoing percutaneous procedures were evaluable for CIN incidence at 48 hours. Patients received 145±78 mL of contrast. Baseline mean Cr was 2.01±0.58 mg/dL and 96% of patients had a baseline Cr>1.5 or CrCl<60 mL/min with mean baseline CrCl of 37±12 mL/min.
Placing the Benephit catheter was fairly simple with 95% success rate and average time to bilateral renal artery cannulation of 2.0±1.6 minutes. Infusion times varied considerably at 199±212 minutes. Mean creatinine levels were unchanged at 48 hours (2.00±0.73, P=.56). The predicted incidence of contrast nephropathy in this high-risk group using the Mehran model was 28.0% whereas the observed incidence of CIN was only 8.1%, a relative risk reduction of 71% (P<.0001).
Hydration
Although it is seemingly simple and intuitive, hydration before and after angiographic procedures is underutilized. This is surprising because studies of intravenous hydration have demonstrated benefit with infusion rates pre- and postprocedure of 1 mL/kg/hr to 3 mL/kg/hr, typically for at least 6 hours before and after the procedure.11 Although NS infusion may be limited in some patients with poor left ventricular function, most patients can tolerate at least 1 mL/kg/hr. Studies using a “push-pull” approach of intravenous NS hydration administered with intravenous mannitol or furosemide have not shown benefit.12
Carbon Dioxide Angiography

Without doubt the best way to avoid contrast nephropathy is simply not to administer any contrast. This has historically been possible using CO2 angiography13 but early systems were somewhat difficult to use, potentially dangerous to patients in the event of a mishap, and required use of large, bulky CO2 tanks. More recently, very portable, commercially available systems (Co2mmander, Portable Medical Devices) have been developed in which a very small canister of liquid carbon dioxide allows instantaneous conversion of liquid to gaseous CO2 that is easily administered using a double syringe system with a four-way stopcock (Figure 4). Many centers have adopted this system with highly satisfactory results and no patient safety issues. Angiographic images are of high quality for large vessels including aortoiliac studies as well as vessels as small as tibial and even pedal vessels (Figures 5-8). Placement of catheters as distally as possible in the circulation allows optimal imaging of smaller, distal vessels. Angiographic visualization has proven adequate for interventional procedures as well. The risk of contrast nephropathy is virtually zero, the cost of CO2 is extremely low, and there is no risk of contrast allergy further enhancing the safety profile of this approach.

Conclusion
Contrast nephropathy is an infrequent complication of angiographic procedures but is much more common in high-risk patients. The relative importance of the various risk factors for CIN have been well delineated and simple scoring models are available to quantify the risk of CIN for a specific patient. Contrast nephropathy is associated with increased length of stay and, as a result, has major economic implications. Equally importantly, contrast nephropathy is associated with markedly worse clinical outcomes including increased risk of short- and intermediate-term mortality.
Recommendations
Current studies support the use of intravenous NS hydration, preferably before as well as after the angiographic procedure, as well as the use of iso- or low-osmolar contrast. Minimizing the volume of contrast administered is critically important and the use of contrast diluted with NS, particularly during digitally subtracted peripheral angiography procedures, should be utilized whenever possible. Avoiding repetitive closely spaced procedures is beneficial, as well, because repeated contrast exposure within short time intervals may be worse than a single procedure with similar total contrast load. Withholding ACE-inhibitors and angiotensin receptor blockers is often recommended, although data supporting this approach are lacking.14 Avoidance of nephrotoxic agents such as NSAIDs and aminoglycosides seems reasonable.
Randomized studies have proven that there is no benefit to “benign” strategies such as the use of NAC and/or intravenous sodium bicarbonate. These approaches likely should be abandoned, just as use of intravenous fenoldopam was discontinued following the CONTRAST trial. Newer approaches such as the delivery of intrarenal fenoldopam using a specialized Benephit catheter should be considered although randomized trials are needed before this can be more widely adopted as standard of care. Finally, newer systems that facilitate the simple use of CO2 angiography should be utilized for peripheral procedures below the level of the diaphragm in patients at high risk of contrast nephropathy.
Editor’s Note: Disclosure: The author has completed and returned the ICMJE Form for Disclosure of Potential Conflicts of Interest. The author reports no disclosures related to the content of this manuscript.
Manuscript received July 28, 2013; provisional acceptance given October 7, 2013; final version accepted October 16, 2013.
Address for correspondence: Barry S. Weinstock, MD, Orlando Regional Medical Center, Mid-Florida Cardiology Specialists, 1222 S. Orange Ave, Floor 3, Orlando, FL 32806, United States. Email: bweinstock@me.com
References
- Dangas G, Iakovou I, Nikolsky E, et al. Contrast-induced nephropathy after percutaneous coronary interventions in relation to chronic kidney disease and hemodynamic variables. Am J Cardiol. 2005;95(1):13-19.
- Chertow GM, Burdick E, Honour M, Bonventre JV, Bates DW. Acute kidney injury, mortality, length of stay, and costs in hospitalized patients. J Am Soc Nephrol. 2005;16(11):3365-3370.
- Mehran R, Aymong ED, Nikolsky E, et al. A simple risk score for prediction of contrast-induced nephropathy after percutaneous coronary intervention. J Am Coll Cardiol. 2004;44(7):1393-1399.
- Tepel M, Aspelin P, Lameire N. Contrast-induced nephropathy: a clinical and evidence-based approach. Circulation. 2006;113(14):1799-1806.
- ACT Investigators. Acetylcysteine for prevention of renal outcomes in patients undergoing coronary and peripheral vascular angiography: main results from the randomized Acetylcysteine for Contrast-induced nephropathy Trial (ACT). Circulation. 2011;124(11):1250-1259.
- Brueck M, Cengiz H, Hoeltgen R, et al. Usefulness of N-acetylcysteine or ascorbic acid versus placebo to prevent contrast-induced acute kidney injury in patients undergoing elective cardiac catheterization: a single-center, prospective, randomized, double-blind, placebo-controlled trial. J Invasive Cardiol. 2013;25(6):276-283.
- Maioli M, Toso A, Leoncini M, et al. Sodium bicarbonate versus saline for the prevention of contrast-induced nephropathy in patients with renal dysfunction undergoing coronary angiography or intervention. J Am Coll Cardiol. 2008;52(8):599-604.
- Stone GW, McCullough PA, Tumlin JA, et al, for the CONTRAST Investigators. Fenoldopam mesylate for the prevention of contrast-induced nephropathy: a randomized controlled trial. JAMA. 2003;290(17):2284-2291.
- Teirstein PS, Price MJ, Mathur VS, Madyoon H, Sawhney N, Baim DS. Differential effects between intravenous and targeted renal delivery of fenoldopam on renal function and blood pressure in patients undergoing cardiac catheterization. Am J Cardiol. 2006;97(7):1076-1081.
- Weisz G, Filby SJ, Cohen MG, et al. Safety and performance of targeted renal therapy: the Be-RITe! registry. J Endovasc Ther. 2009;16(1):1-12.
- Weisbord SD, Palevsky PM. Prevention of contrast-induced nephropathy with volume expansion. Clin J Am Soc Nephrol. 2008;3(1):273-280.
- Solomon R, Werner C, Mann D, D’Elia J, Silva P. Effects of saline, mannitol, and furosemide to prevent acute decreases in renal function induced by radiocontrast agents. N Engl J Med. 331(21):1416-1420.
- Huber PR, Leimbach ME, Lewis WL, Marshall JJ. CO2 Angiography. Cathet Cardiovasc Intervent. 2002;55(3):398-403.
- Rosenstock JL, Bruno R, Kim JK, et al. The effect of withdrawal of ACE inhibitors or angiotensin receptor blockers prior to coronary angiography on the incidence of contrast-induced nephropathy. Int Urol Nephrol. 2008;40(3):749-755.


