The Chimney Technique for Juxtarenal Aortic Aneurysms
VASCULAR DISEASE MANAGEMENT 2016;13(9):E209-E216
Abstract
The advancement of endovascular technology has enhanced the treatment of complex abdominal aortic aneurysmal pathology. This is particularly evident in the treatment of juxtarenal aortic aneurysms. While the use of fenestrated grafts (fEVARs) is gaining popularity, it is not always feasible or even available in an emergent setting. Additionally, the technology is costly. The chimney/snorkel technique (chEVAR) is a practical alternative in emergent settings or as a salvage procedure when the renal arteries or superior mesenteric artery are covered. Although the technique is an off-label use of existing technology, it carries an acceptable risk of complications as well as an excellent technical success rate. The chEVAR technique should be strongly considered in the appropriate clinical setting and further research should be carried out to determine its use as an elective treatment option as well.
Juxtarenal aortic aneurysms present a unique challenge in endovascular therapy. The short neck of these aneurysms, threatening stent coverage of the renal arteries, or even the superior mesenteric artery, limits the use of standard off-the-shelf stent-grafts. The broader use of fenestrated grafts for endovascular aneurysm repair (fEVARs) has allowed endovascular treatment of more complex aortic pathology. The downside of fEVAR devices, however, is cost and timing. Each device is custom made based on an individual patient’s anatomy and can take up to a month to manufacture. Also, not every patient with a juxtarenal aneurysm has anatomy that conforms to the current FDA-approved fenestrated device. In emergency situations, the use of fEVAR is not feasible. This would leave a potential gap in treatment options for patients who are not candidates for open procedures.
Fortunately, there is an off-the-shelf option for these situations—the chimney/snorkel endovascular aneurysm repair (chEVAR). First reported in 2003 and 2007, the chEVAR technique increases the length of the neck (the proximal landing zone) by stenting the renal arteries and/or SMA in parallel to the main body graft, thereby preserving flow and preventing ischemia.1–3 The technique can also be used as a salvage maneuver when these aortic branches are inadvertently covered in the course of a routine EVAR.4
The concerns that have been raised on the topic of chEVAR deal mainly with the to-be-determined variables. The technique is still considered an off-label use as it combines technology that has not been tested together. And although there is commonality amongst all users, there is yet to be standardization of technique.
Technical success in chEVAR is defined as no type I endoleak with a patent aortic endograft and chimney grafts.5–7 The avoidance of type Ia endoleak (or “gutter” leak) is dependent on the interaction between the main body graft and the branch stents. Long-term consequences (if any) between the grafts and stents are unknown. Additionally, the durability and patency of these complex repairs is not known in the long-term when used in association with an aortic graft.
Several recent studies have commented on immediate and midterm results (Table 1). Most recently, the PROTAGORAS study reported technical success in 100% of their 187 snorkel/chimney grafts (in 128 patients), although 1.6% (2 patients) had a late type Ia endoleak requiring intervention. In this study, 30-day mortality was low at 0.8% and midterm mortality was 17.2%. Mean follow-up was 24.6±17.4 months. Patency of all grafts was 95.7% and 93.1% of grafts avoided any re-intervention during the study period.7


The PERICLES registry evaluated the treatment of 517 patients by chEVAR (a total of 898 stents). The technical success was similar to the PROTAGORAS study at 97.1%. Overall 30-day mortality was 4.9%, but 30-day mortality in elective cases was 3.7%. Mortality at 3 years was 25.1%. Patency of the chimney grafts was 94.1%.5
Scali et al reported on a cohort of 41 patients treated with chEVAR from 2008-2012, using a total of 76 chimney grafts. The group did not specifically quantify “technical success,” but they did report that 85% of patients had stabilization or reduction of abdominal aortic aneurysm (AAA) sac diameters. Three patients (7%) experienced a late type Ia endoleak. Chimney graft patency at 3 years was 85%.8
A smaller study from Portugal looked exclusively at 35 patients over the age of 80 with juxtarenal aortic aneurysms who received a total of 51 chimney grafts. The group also reported a technical success rate of 100%. Median follow-up was 36 months and mortality was 27.3%. New endoleaks were seen in 9.1% of patients, but none were gutter-type endoleaks. Chimney graft stenosis (>75%) was noted in 2 patients (6%) and occlusion was seen in 1 patient. Freedom from reintervention was 91% at 3 years.6
The technique of chEVAR bears all the risks of a traditional EVAR, but also carries risks related to the placement of additional branch stents. These potential complications include an increased risk of renal insufficiency or failure, both in the short and long term; bowel ischemia; and access-related complications, particularly from the upper extremity (upper-extremity ischemia or embolic stroke).
The PROTAGORAS study reports 6 patients who experienced high-grade renal artery stenosis in follow-up, but experienced no decline in renal function. Eight total chimney grafts were occluded in the follow-up period. Three patients had a temporary creatinine increase and 1 patient needed permanent hemodialysis after occlusion of both renal chimney grafts. The two occlusions reported in SMA grafts had no long-term consequences after reintervention.7
The PERICLES registry reported that 17.5% of patients experience some type of kidney injury in the postoperative period. Of this group, 8 (1.5%) required any duration of hemodialysis. During “midterm follow-up,” 83 patients were found to have worsening kidney function with 12 progressing to a hemodialysis requirement. Renal chimney graft occlusion resulted in the need for hemodialysis in 5 patients.5 The octogenarian group reported one incident of acute upper extremity ischemia related to access. No kidney-related complications were discussed.6
Scali et al reported that 3 patients had brachial artery thrombosis requiring surgical intervention and 1 experienced an axillary artery avulsion requiring bypass. Two patients experienced stroke. The authors reported 20% of patients with kidney injury, 2 of whom required dialysis postoperatively.8
While the body of literature on the topic is growing, the unknowns cannot be entirely discounted. There is not yet consensus over which type of stent to use in branch vessels (balloon-expandable, self-expandable, bare metal). Acceptable rates of stent stenosis have not been established in this setting. Additionally, the PROTAGORAS study recommends that creating a neck length of >15 mm should be the goal in chEVAR.7
The success of EVAR is dependent on achieving a dependable seal at both ends of the device, as well as ensuring reliable fixation to prevent stent graft migration. Balancing these two factors leads to technical success of the procedure and prevention of a type 1 endoleak.
Fixation of the graft can occur in a supra- or infrarenal fashion. While suprarenal fixation helps prevent stent graft migration, the wire struts and barbs can potentially diminish blood flow to the renal arteries.
Resch et al demonstrated that while not as strong as a sutured anastomosis, devices with wire struts and barbs used in suprarenal fixation were superior to those devices without when it comes to migration.9
Parmer and Carpenter studied suprarenal vs infrarenal fixation and found that while there were no differences in renal function in the short term, both groups trended toward decreasing renal function over the course of the study period. They recommended further studies to determine longer-term outcomes.10 Similarly, Sun and Stevenson found no difference in renal function during the short- and midterm follow-up after suprarenal (referred to as “transrenal” in their work) or infrarenal fixation, but did comment that there was increased incidence of renal infarction when suprarenal fixation devices were used.11
More recently, Miller et al looked at the suprarenal vs infrarenal fixation issue and again found no statistically significant differences in renal function in the short and mid term, but encouraged longer study periods.12
The chEVAR technique used by our group, as well as others, involves a minimum of 2 access point: femoral and an upper extremity.4,6-8,13 Femoral access can be completed in a percutaneous fashion. One or both upper extremities are accessed dependent on the number of chimney grafts planned. We utilize an open approach to the axillary artery and most commonly use the right side due to ease of positioning and access by the surgeon. We gain proximal and distal control of the axillary artery and place a 10 mm Dacron conduit. This conduit serves as the access point for the sheaths and wires during chimney graft placement (Figure 1). Each 7 Fr sheath placed in the conduit is labeled with the vessel it is selectively catheterizing. Once the selected branches have wires in place, the aortic endograft is deployed and subsequently, each chimney graft is deployed with a planned 15 mm to 20 mm overlap with the aortic endograft and extending 10 mm to 15 mm beyond the proximal extent of fabric of the aortic endograft. An effort is made to place the chimney graft below the “suprarenal” or active fixation of the device.

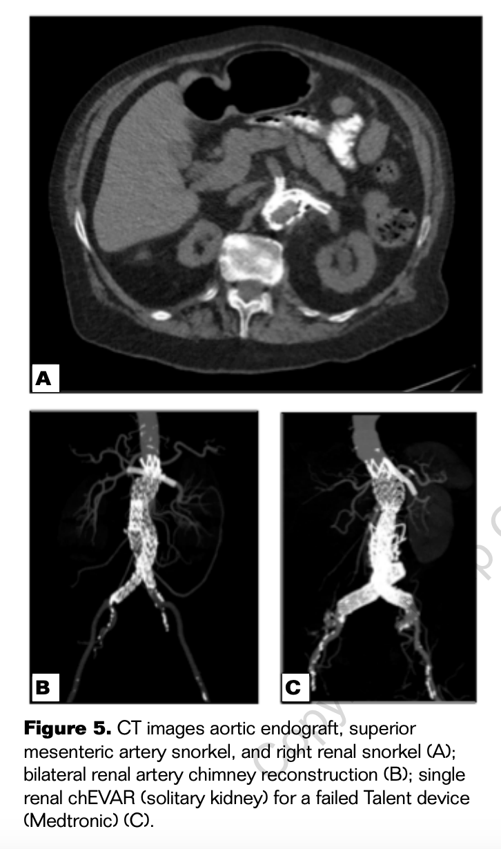
The potential advantage of the chEVAR technique using devices designed with suprarenal fixation is that it separates the potentially compromised fixation and seal that occur using this technique. The chimney stents can be specifically placed above the fabric of the device, but below the fixation, so that fixation is not compromised (Figures 2 and 3). This technical aspect still allows for potential “gutter” endoleaks, but will likely minimize the risk of migration. Micro and standard computed tomography (CT) scan imaging have demonstrated the successful interaction between the chimney stents and an endograft with suprarenal fixation (Figures 4 and 5). The above data from the registries and micro and standard CT scan imaging confirm the efficacy of this technique with suprarenal fixation.

The complication rate for chEVARs is acceptable, but further long-term studies are needed for widespread standardization and certainly before the chEVAR is widely used as an elective treatment for juxtarenal AAA. For the time being, it is a viable and valuable treatment option in urgent and emergent cases with challenging anatomy.
Disclosure: The authors have completed and returned the ICMJE Form for Disclosure of Potential Conflicts of Interest. Dr. Long reports no conflicts related to the content herein. Dr. Milner reports consulting to Cook Medical, Endospan, Medtronic, and W.L. Gore.
Manuscript received March 31, 2016; provisional acceptance given May 9, 2016; manuscript accepted June 27, 2016.
Address for correspondence: Kira Long, MD, University of Chicago Medical Center, Vascular Surgery, 5841 S. Maryland Avenue, MC 5028, Chicago, IL 60637, United States. Email: Kira.Long@uchospitals.edu
REFERENCES
- Greenberg RK, Clair D, Srivastava S, et al. Should patients with challenging anatomy be offered endovascular aneurysm repair? J Vasc Surg. 2003;38(5):990-996.
- Lee JT, Greenberg JI, Dalman RL. Early experience with the snorkel technique for juxtarenal aneurysms. J Vasc Surg. 2012;55(4):935-946.
- Criado F. Chimney grafts and bare stents: aortic branch preservation revisited. J Endovasc Ther. 2007;14(6)823-824.
- Ohrlander T, Sonesson B, Ivancev K, Resch T, Dias N, Malina M. The chimney graft: a technique for preserving or rescuing aortic branch vessels in stent-graft sealing zones. J Endovasc Ther. 2008;15(4):427-432.
- Donas KP, Lee JT, Lachat M, Torsello G, Veith FJ; PERICLES Investigators. Collected world experience about the performance of the snorkel/chimney endovascular technique in the treatment of complex aortic pathologies: the PERICLES registry. Ann Surg. 2015;262(3):543-546.
- Silveira D, Pitoulias G, Torsello G, Donas KP. Outcomes of total endovascular treatment of juxtarenal aortic aneurysms in octogenarians. J Vasc Surg. 2016;63(4):909-914.
- Donas KP, Torsello GB, Piccoli G, et al. The PROTAGORAS study to evaluate the performance of the Endurant stent graft for patients with pararenal pathologic processes treated by the chimney/snorkel endovascular technique. J Vasc Surg. 2015;63(1):1–7.
- Scali ST, Feezor RJ, Chang CK, et al. Critical analysis of results after chimney endovascular aortic aneurysm repair raises cause for concern. J Vasc Surg. 2014;60(4):865-873.
- Resch T, Malina M, Lindblad B, Malina J, Brunkwall J, Ivancev K. The impact of stent design on proximal stent-graft fixation in the abdominal aorta: An experimental study. Eur J Vasc Endovasc Surg. 2000;20(2):190-195.
- Parmer SS, Carpenter JP. Endovascular aneurysm repair with suprarenal vs infrarenal fixation: A study of renal effects. J Vasc Surg. 2006;43(1):19-25.
- Sun Z, Stevenson G. Transrenal fixation of aortic stent-grafts: short- to midterm effects on renal function—a systematic review. Radiology. 2006;240(1):65-72.
- Miller LE, Razavi MK, Lal BK. Suprarenal versus infrarenal stent graft fixation on renal complications after endovascular aneurysm repair. J Vasc Surg. 2015;61(5):1340-1439.
- Lee JT, Lee GK, Chandra V, Dalman RL. Comparison of fenestrated endografts and the snorkel/chimney technique. J Vasc Surg. 2014;60(4):849-857.


