The AtheroMed Device: Early Experience With the First Hybrid Atherectomy Catheter
Abstract
Atherectomy of atheromatous plaque as a first-line therapy is now a confirmed option for the treatment of peripheral arterial disease. The Phoenix Atherectomy System (AtheroMed) is an over-the-wire device with a front-cutting element at the distal tip of the catheter to treat diseased vessel segments. The blade design of the rotating cutting element shaves material directly into the catheter where it is captured and continuously removed by an internal Archimedes screw running the length of the Phoenix catheter. This device should be considered the first hybrid atherectomy system and offers the advantage of simplicity of use with no capital equipment components. This article reviews the technology and initial findings on the Phoenix catheter and its potential role in an exciting but crowded market segment.
VASCULAR DISEASE MANAGEMENT 2013:10(10):E216-E219
Key words: peripheral vascular disease, atherectomy, atherosclerosis, critical limb ischemia
___________________________________
Almost 1 in 20 Americans over the age of 50, approximately 12 million people,1 suffer from peripheral artery disease with symptoms ranging from activity-induced claudication to gangrene and tissue loss. After years of bypass surgery serving as the primary treatment choice for these patients, today, the initial attempt at restoring blood flow to their lower extremities is typically endovascular intervention.2 Vascular specialists can now choose from a broad range of endovascular technologies, ranging from traditional approaches such as percutaneous transluminal balloon angioplasty (PTA) and self-expanding nitinol stents to newer advancements such as atherectomy catheters and drug-eluting balloons and stents.3-6
Traditionally, data have been available confirming the safety and efficacy of PTA and stenting, and, as a result, these modalities initially evolved into the primary treatment choice for many physicians.7 However, the recent release of data from the DEFINITIVE-LE trial validated the long-term safety and efficacy of atherectomy in 800 patients,8 making it one of the largest peripheral vascular studies to date.
With independently adjudicated, robust data now confirming the suitability of atherectomy as a first-line therapy, it is extremely important for physicians to understand all of their available options in this important category. Each approved product offers varying benefits based on its mechanism of action, so physicians can tailor their treatment choices to each individual patient.
The currently available atherectomy catheters offer physicians a broad range of options from which to choose. However, as technology continues to evolve, it is also important to stay informed about technologies that are currently in development to understand how new products may fit into one’s treatment algorithm upon potential regulatory clearance and commercial availability.
Currently, the first author of this paper is serving as co-national principal investigator for a new atherectomy catheter that offers some characteristics that appear to nicely complement the other currently available options. The EASE (Endovascular Atherectomy Safety and Effectiveness) trial is studying the safety and effectiveness of the Phoenix Atherectomy System (AtheroMed) in treating peripheral artery disease.
The EASE study is designed to evaluate the acute technical success and the safety profile at 30 days and 6 months of the Phoenix Atherectomy System in 128 subjects. Our group of investigators completed enrollment early in 2013, and the data are expected to be submitted to the United States Food and Drug Administration (FDA) later this year. The Phoenix system has received CE Mark and its United States product clearance is pending FDA’s review of a 510(k) premarket notification submission that will include this EASE clinical data.
The Phoenix Atherectomy System is an over-the-wire device with a front-cutting element at the distal tip of the catheter to treat diseased vessel segments. The blade design of the rotating cutting element shaves material directly into the catheter where it is captured and continuously removed by an internal Archimedes screw running the length of the Phoenix catheter (Figures 1 and 2).

Historically, one of the primary concerns regarding atherectomy catheters has been the possibility of distal embolization during revascularization. Recent data confirm that distal embolization remains a concern. DEFINITIVE-LE reported a 3.8% embolization rate with the SilverHawk or TurboHawk device (Covidien),8 while CONFIRM-II included a 2.2% distal embolization rate with the Diamondback 360 Orbital Atherectomy Device (Cardiovascular Systems, Inc.).9 The design of the Phoenix with its cut, capture, and clear mechanism of action aims to reduce the risk of distal embolization. This is supported thus far in investigational experience of the first author of this paper.
This debris clearance is continuous, making the Phoenix a single insertion device that does not need to be removed from the body multiple times during the procedure to empty collected debris from the device. The Phoenix system’s clearance of debulked debris is by mechanical conveyance rather than aspiration, eliminating possible aspiration-related challenges such as excessive blood removal and vessel suck-down.
Incorporation of a deflecting tip in the largest Phoenix catheter allows it to create a lumen larger than the catheter diameter. This combination of a front-cutting technology with a directable tip for larger vessels and eccentric lesions gives the Phoenix versatility in addressing the diverse lesions presented for treatment in the lower extremity.
For below-the-knee cases, the 1.8 mm and 2.2 mm catheters are suited for vessels down to the ankle. Then, for larger vessels, a 2.4 mm deflecting tip catheter can be used (Table 1).
For treating lesions in the larger femoral-popliteal arteries, the 2.4-mm deflecting tip catheter can be used.10
The current design of the Phoenix Atherectomy System has been studied within EASE to treat disease morphologies that range from soft plaque to mild to moderate calcium.
Finally, unlike some other commercially available atherectomy devices, the Phoenix Atherectomy System does not require any capital equipment components, which makes it a very simple system to set up and use. The catheter is powered by a simple handle with a battery-operated motor and on/off switch that powers the rotation of the cutting element and Archimedes screw (Figure 3).
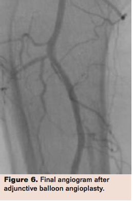
The Phoenix Atherectomy System offers an intriguing combination of features for the treatment of peripheral artery disease, particularly for vessels below the knee. With its front-cutting design; cut, capture, and clear mechanism of action; and profile down to 5 Fr, the Phoenix has the potential to treat a broad range of vessel diameters and lesion types while also reducing the chance of distal embolization. Figures 4 through 6 show a case that used the Phoenix Atherectomy System from the EASE study.


Initial angiography revealed a bulky eccentric lesion to the proximal peroneal artery, with an estimated stenosis of 90%. Preintervention intravascular ultrasound examination revealed a bulky, eccentric, and negatively remodeled lesion that was primarily fibrous in nature with calcific components noted to the leading intimal edge of the proximal reference. Significant erythrocyte rouleaux formations were seen distal to the stenosis indicating stasis of flow induced by the intravascular ultrasound catheter.
Postatherectomy angiography revealed an enlarged lumen with no evidence of dissection or lesion extension. Estimated residual stenosis was 40%. Intravascular ultrasound revealed significant lumen gain approximately 30% larger than the tip used (2.2 mm), a smooth leading intimal edge and no noted dottering effect, hematoma, or dissection. There is no further evidence of distal rouleaux formations consistent with stasis.
Potential limitations of the device, due to relative lack of experience, are not fully understood at the present. Due to the inability of all but the largest size catheters to deflect, the absolute volume of plaque removed is limited and thus the catheter at the present is better suited for the popliteal artery or below. There is also no clear evidence as to whether considerable calcium ablation can be achieved with the device. Lastly, the device is designed to capture more rigid plaque elements, highly mobile elements such as fresh thrombus have not been studied and may still pose embolic risks to the distal vasculature.
Upon completion of data analysis from the EASE trial, our team of investigators looks forward to sharing our findings with the endovascular community. After that point, additional studies with the Phoenix system in a real-world setting, evaluation of the use of atherectomy to prepare the vessel for drug-delivery modalities, and comparative studies between the commercially available atherectomy technologies are recommended to facilitate decision-making in this exciting, but crowded, market segment.
Editor’s Note: Disclosure: The authors have completed and returned the ICMJE Form for Disclosure of Potential Conflicts of Interest. Dr. Davis reports travel reimbursement for investigator meetings from AtheroMed. Mr. Torey reports no disclosures related to the content of this manuscript.
Manuscript received July 11, 2013; provisional acceptance given July 12, 2013; final version accepted July 17, 2013.
Address for correspondence: Thomas P. Davis, MD, Saint John Hospital and Medical Center, Department of Internal Medicine, Section of Cardiology, Detroit, MI 48236, United States. Email:
tpdavis60@aol.com
References
- National Heart, Lung, and Blood Institute. About P.A.D. https://www.nhlbi.nih.gov/health/public/heart/pad/about/index.html
- Goodney PP, Beck AW, Nagle J, Welch HG, Zwolak RM. National trends in lower extremity bypass surgery, endovascular interventions, and major amputations. J Vasc Surg. 2009;50(1):54-60.
- Bosiers M, Cagiannos C, Deloose K, Verbist J, Peeters P. Drug-eluting stents in the management of peripheral arterial disease. Vasc Health Risk Manag. 2008;4(3):553–559.
- Laird JR, Katzen BT, Scheinert D, et al. Nitinol stent implantation vs. balloon angioplasty for lesions in the superficial femoral and proximal popliteal arteries of patients with claudication: three-year follow-up from the RESILIENT randomized trial. J Endovasc Ther. 2012;19(1):1-9.
- Werk M, Langner S, Reinkensmeier B, et al. Inhibition of restenosis in femoropopliteal arteries: paclitaxel-coated versus uncoated balloon: femoral paclitaxel randomized pilot trial. Circulation. 2008;118:1358–1365.
- Adam DJ, Beard JD, Cleveland T, et al. Bypass versus angioplasty in severe ischaemia of the leg (BASIL): multicentre, randomised controlled trial. Lancet. 2005;366(9501):1925–1934.
- Kandarpa K, Becker GJ, Hunink MG, et al. Transcatheter interventions for the treatment of peripheral atherosclerotic lesions: Part I. J Vasc Interv Radiol. 2011;12(6):683-695.
- Garcia L, McKinsey J. DEFINITIVE LE: 6-Month Results, A Global Study of Plaque Excision in Patients with Claudication and CLI.
- Paper presented at: Vascular InterVentional Advances; October 2011; Las Vegas.
- Desai, U. CONFIRM Predator preliminary results. Paper presented at: Vascular InterVentional Advances; 2010; Las Vegas.
- Phoenix Atherectomy System: Instructions for Use.


