Atherectomy and Critical Limb Ischemia: A Treatment Approach for Severely Calcified Vessels
Abstract
Incidence of critical limb ischemia (CLI) is estimated at 1% to 2% worldwide and is expected to rise. CLI with isolated infrapopliteal (IP) disease is seen mainly in elderly, diabetic, or dialysis-dependent patients. These patients exhibit calcified IP vessels, which put them at higher risk of amputation compared to those with combined femoropopliteal and IP disease. CLI patients with systolic ankle pressure <50 mmHg, nonpulsatile plethysmographic tracing, and/or transcutaneous oxygen pressure <30 mmHg would benefit from revascularization. The majority of IP chronic total occlusions reconstitute above the ankle via collaterals, which can sustain a limb but cannot heal a wound. CLI lesions are usually characterized by random deposition of calcium along the layers of the arterial wall. When subject to increasing barometric pressures during angioplasty, the distribution of pressure vectors is unpredictable with tendency to follow the paths of least resistance, increasing risk of spiral dissection, plaque rupture, perforation, embolization, and no-flow phenomenon, which are associated with poor clinical outcomes. These deposits also present a physical barrier to antiproliferative drug penetration and are a predisposing factor for stent fractures. Atherectomy devices excise, ablate, or modify calcified deposits and plaque, allowing compliance alteration of severely calcified vessels, rendering them more suitable for treatment with balloons and/or stents. Results of studies such as CALCIUM360, COMPLIANCE360, and DEFINITIVE LE suggest the “gold standard” for the treatment of PAD may need to be revisited to include atherectomy as an integral part of the treatment of patients with CLI.
VASCULAR DISEASE MANAGEMENT 2013;10(10):E198-E207
Key words: Atherectomy, critical limb ischemia
____________________________________
The prevalence of peripheral arterial disease (PAD) is on the rise. Based on a number of large-scale trials conducted in the United States and western countries, the number of patients living with PAD will possibly reach 22 million by 2030.1-5 The incidence of critical limb ischemia (CLI) has been estimated at 1% to 2% worldwide.6 This number is expected to rise. There are multiple factors contributing to this increase. Diabetes mellitus (DM), aging, and obesity are common risk factors that are fueling this epidemic.
PAD can be divided into aortoiliac (AI), femoropopliteal (FP), and -infrapopliteal (IP) disease. Patients with CLI typically have disease involving more than one level. Less than 10% of CLI patients have hemodynamically significant disease in all three levels.7 Isolated IP disease is seen mainly in the elderly (>80 years old), diabetic or dialysis-dependent patients. These patients are at higher risk of amputation compared to those with FP and IP disease.8 Clinical and noninvasive criteria have been used to determine which CLI patients would benefit from revascularization. These include Rutherford categories IV to VI, systolic ankle pressure <50 mmHg, nonpulsatile plethysmographic tracing, and/or transcutaneous oxygen pressure <30-50 mmHg.9,10

Atherosclerosis is a diffuse process. In diabetic patients, it affects the IP arteries preferentially. The CLI patient with diabetes generally presents with either heterogeneous and complex high-grade tandem lesions in multiple IP vessels, or with long chronic total occlusion (CTO) segments involving the tibial arteries. Involvement of the tibioperoneal trunk (TPT) is usually not as severe in these patients. The IP CTO is usually proximal and may involve the take-off of the tibial vessels. The majority of IP CTOs reconstitute just above the ankle with faint antegrade flow via collaterals. These types of collaterals can sustain a limb but cannot heal a wound. Re-establishing blood flow to the affected area is the mainstay of therapy. Given these features, it is not a surprise that CLI patients are already at a disadvantage for endovascular and/or surgical revascularization. Until recently, a surgical bypass to relieve inflow disease was considered the gold standard. With the advent of endovascular technologies, more complete revascularization procedures can be offered to CLI patients. A hybrid approach where major vascular conduits can be bypassed (mainly the superficial femoral artery) and an endovascular technique to re-establish flow in the outflow vessels (most commonly tibial arteries) is one of the newly -proposed global strategies.11
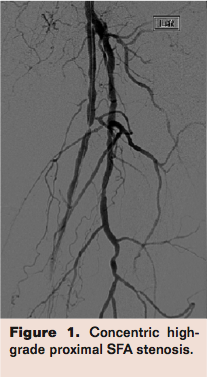
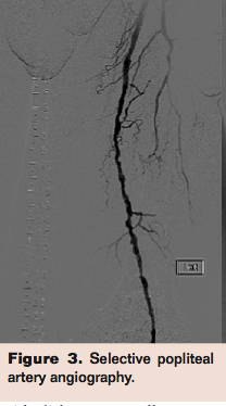
CLI patients tend to have severely calcified arteries, posing a challenge to both surgical and endovascular revascularization techniques. Surgical bypass is feasible in ambulatory patients with a reasonable surgical risk, long occlusions, a patent IP artery that provides direct flow to the foot, and an adequate autologous venous conduit. The candidacy of CLI patients for bypass is often compromised by poor or inadequate length of autologous vein, poor skin nutrition, significant medical comorbidities and calcified, diseased targets. From the endovascular standpoint, one of the most common challenges is the severely calcified lesion that is not dilatable by balloon angioplasty, leading to an unresolved high-grade stenosis (Figures 1-3). These resistant, recalcitrant lesions are also associated with spiral dissections and perforations and can present a physical barrier for the penetration of the antiproliferative drugs delivered by current drug-eluting stents and balloons. They have also been recognized as one of the predisposing factors that lead (in conjunction with forces of contraction, extension, torsion, compression, and flexion) to stent fractures (Figure 4).
The distribution of calcium in the arterial wall is heterogeneous: there are different densities of calcium deposits in all four quadrants of a given arterial cross section that are randomly distributed in all three arterial layers. We have observed isolated intimal, medial, and adventitial calcium foci, which occur either independently or in random combinations. The presence of calcium in the arterial wall makes it resistant to the opposing force generated by the increase in barometric pressure offered by balloon inflations. The heterogeneous distribution of calcium densities is synonymous with a heterogeneous distribution of resistance, which during interventions leads to an unpredictable distribution of pressure vectors that follow the “path of least resistance” increasing the risk of dissection, plaque rupture and embolization with the ensuing “no-flow” phenomenon (Figure 5 depicts variations in calcification in the cross section of an artery. Figures 6A and 6B depict short- and long-axis views of fully calcified lumens).
The current understanding of the physiology of calcium deposits in the arterial wall of patients with severe PAD and CLI has helped to evolve our therapeutic approach by adding new technologies that modify its resistance. These technologies include a vast array of balloons (high-pressure balloons, scoring balloons, focal force balloons, and balloons with nitinol constraining structures) as well as atherectomy.
Considering the complexity of the anatomy of CLI patients, it is necessary to change the resistance of the severely calcified plaque as well as to remove and reduce its burden.
There are multiple atherectomy devices currently available in the USA and the choice of which to use is operator and lesion dependent. Atherectomy devices are designed to ablate the atheroma (Excimer laser, Spectranetics), longitudinally excise the atheroma (SilverHawk, ev3 Inc.) or rotationally excise the atheroma (Jetstream G3, Bayer HealthCare, and Orbital Atherectomy System, Cardiovascular Systems, Inc.).
Table 1 lists capital equipment and disposables for each atherectomy device to be discussed below.
Excimer Laser
The oldest and first-to-market atherectomy device is the Excimer Laser, which was designed to be used in a broad range of lesions, including calcified arteries in patients with advanced PAD and CLI. This device is most effective when used at a ratio of 2:3, catheter to vessel. The Turbo-Tandem is a recent addition designed to direct the laser toward the arterial wall in order to achieve better debulking by ablating plaque in all quadrants through rotating the device after each pass to a new quadrant.
Atherectomy is performed by direct contact with and absorption of the laser energy by the plaque. The energy absorbed vibrates and fractures the molecular bonds in the plaque, which heats intracellular water and forms a vapor bubble at a fluence of 45 mJ/mm2 (Figure 7A). The size of the vapor bubble increases as fluence increases (Figure 7B). The vapor bubble expands and collapses (Figure 7C), causing the tissue breakdown and byproduct clearance away from the catheter tip.
In order to achieve the best outcome, the catheter is to be advanced slowly at <1 mm/sec under fluoroscopy or extravascular ultrasound. The slow motion allows enough time for the vapor bubble to stay in front of the laser catheter with an ablation depth of 50 microns (Figure 7D). The disadvantage of fast advancement (>1 mm/sec), is that it forces the vapor bubble behind the laser catheter leading to less adequate ablation. The smaller laser catheters can be safely used in all of the tibial arteries as well as in the pedal arteries. Retrograde atherectomy (through retrograde tibial access) with the laser catheter is also feasible due to its low profile of 0.9 mm and 1.0 mm.
Figure 7E shows the importance of using saline flush while performing laser atherectomy. When the laser is activated in saline, the light is not absorbed, creating an optimal lasing environment. If the laser is activated in contrast, the energy is absorbed, creating microbubbles and the potential for dissection.
In the Laser Angioplasty for Critical limb Ischemia (LACI) trial, 145 patients were treated with excimer laser. All patients were poor candidates for surgical revascularization. A total of 423 lesions were treated in the superficial femoral artery (41%), popliteal (15%), and infrapopliteal (41%) arteries. The mean treatment length was >16 cm. Despite these unfavorable lesions and patient subset, the limb salvage rate was 93% at 6 months.12
TurboHawk
The TurboHawk Plaque Excision System (ev3) is the latest iteration of the SilverHawk. Today we dispose of an array of TurboHawk catheters with different sizes and capabilities to accommodate the different challenges and properly treat the different densities of CLI plaque from the soft to heavily calcified plaque.
The TurboHawk system does not require capital equipment and is completely disposable. The mechanism of action is plaque excision. The excised plaque is captured in a joint compartment. This is typically referred to as microefficient compression (MEC) (Figure 8). MEC technology provides laser-cut microholes in the wall of the storage compartment. These microholes release fluid and retain the tissue, which leads to an increased tissue capturing capacity. In theory, the technology decreases the reinsertion time and increases tissue capture.
The TurboHawk Smooth Cutter (Figure 9) debulking blade rotates at high speed and the blade is housed in the device center of the vessel toward the target plaque. It requires a nonspecialized 0.014˝ guidewire. The TurboHawk’s blades are unique and very effective. The newer generation has the ability to treat a broad spectrum of lesions from soft to calcified plaque. The TurboHawk Smooth Cutter system delivers the platform advancement for the treatment of mild to moderately calcified lesions with the added convenience of on-the-wire cleaning. It consistently cuts across a wider vessel range with a unique versatile dual-jog configuration, which reduces the need for multiple catheters and is effective in vessels ranging from 3.5 mm to 7 mm. The TurboHawk Super Cutter blade contains four angled cutter blades (Figure 8) that are designed to address all plaque morphologies including moderately to severely calcified lesions and provides efficient cutting action vs chipping of tough calcified lesions.
This wide range of sizes and devices allows the operators to perform debulking above and below the knee, and even below the ankle (pedal). Studies supporting the use of directional atherectomy include the TALON registry, which recorded the clinical outcomes of patients undergoing atherectomy with the SilverHawk device. The 6- and 12-month rates of survival free of target lesion revascularization (TLR) were 90% and 80% respectively. Rates of TLR were similar among patients with (11%) and without (9%) diabetes.13 In another retrospective analysis of 579 lesions treated with SilverHawk atherectomy, the 18-month primary and secondary patency rates were 58 ± 4.3% and 82.5 ± 3.5% for patients with claudication. These rates were 49.4 ± 3.7% and 69.9 ± 3.2% for patients with CLI.14 A multicenter, prospective, randomized study of balloon angioplasty vs atherectomy for infrainguinal PAD showed similar TLR and target vessel revascularization (TVR) rates at 1 year. Silverhawk atherectomy significantly reduced the need for bailout stenting.15
Recently, the results of the DEFINITIVE LE study were released. Primary patency at 365 days in claudicants was 82% by duplex using a peak systolic velocity ratio (PSVR) <3.5 and 78% using a PSVR <2.4 across all vascular beds. The primary patency (PSVR <2.4) in the superficial femoral artery was 74%, popliteal 74%, and tibial 84% for all comers. One-year primary patency (PSVR <2.4) in diabetic claudicants (80%) was noninferior to that of nondiabetic claudicants (83%). The data indicate that diabetic subjects do as well as nondiabetic subjects when treated with directional atherectomy. For CLI patients, freedom from major unplanned amputation of the target limb at 12 months was 95%.16 These results are rather provocative and invite us to think that maybe it is time to redefine the “gold standard” of peripheral endovascular interventions.
Also on the horizon is the DEFINITIVE-AR study which is a prospective, multicenter, randomized pilot study evaluating the use of either the TurboHawk or SilverHawk plaque excision systems followed by treatment with the Cotavance paclitaxel-eluting balloon (Bayer HealthCare) vs the Cotavance paclitaxel-eluting balloon alone in patients with PAD.
The amount and type of calcified plaque in a vessel can affect the absorption of antirestenosis drugs. Treating the vessel with plaque excision and removing the calcium prior to the application of the drug-coated balloon may enhance the absorption of the drug and hence its effect. If this proves to be the case, plaque excision followed by drug-coated balloons may become a key strategy for achieving long-term results when treating long, diffuse, calcified plaque. Table 2 describes different TurboHawk devices and sizes.
Diamondback 360 Orbital Atherectomy System
The Diamondback 360 (Cardiovascular Systems, Inc.) is a percutaneous orbital atherectomy (OA) system initially designed to remove or reduce the burden of calcified plaque and restore arterial luminal patency by rotating an eccentric, diamond-coated crown. Today the system is designed to operate with a special 0.014˝ extra support guidewire uniquely designed to accommodate both the high-speed rotational spin of the shaft and the orbital rotation of the crown. The latest version is available with an electric handle that has simplified speed adjustments, allowing for more precise control during the procedure. The design of the device allows for intelligent differential sanding, which is unique to the Diamondback 360. This mechanism provides the ability to sand hardened plaque while the healthy vessel wall flexes away from the crown of the device. The device functions by centrifugal force. The Diamondback 360 provides three different types of crowns (Figure 10). The Classic Crown is recommended for compromised flow, vessel bends, ostial lesions, and distal below-the-knee lesions. The Solid Crown has a larger diamond-coated surface area and is recommended for maximum plaque removal and plaque modification in the shortest amount of time. The Predator Solid Crown is the longest of the crowns and has longer tapered edges, which allows engagement of complex lesion types. By adding Tungsten (a heavier metal), the device rotates in a more eccentric and larger orbit, therefore increasing the orbital force for a higher level of plaque modification. The Stealth electrical generator (Figure 10) is a significant improvement as it can be set up fairly quickly and is rather simple to use. By removing the calcified plaque and changing the compliance of the vessel wall with either the Classic or the Predator Solid Crown, low-pressure balloon angioplasty can be used to finish the procedure safely by reducing the potential for barotrauma. This intuitive mechanism of action was one of the driving forces behind the Calcium 360 and Compliance 360 studies, as well as the most recent CONFIRM registry. Calcium 360 was a randomized multicenter study that evaluated OA + PTA vs PTA alone in 50 patients with IP PAD. Estimates for freedom from all-cause mortality were 100% in the atherectomy + PTA group vs 68.4% (P = .01) in the PTA only group, respectively. Proportional hazard models evaluating survival time vs status of residual stenosis determined a hazard ratio for major adverse events of 5.6 for patients with an acute postprocedure residual stenosis >30% (P = .01). The lower rate of complications with atherectomy proves that achieving proper plaque modification and debulking allows for better results of balloon angioplasty.17

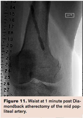
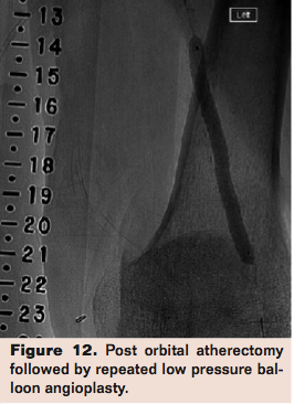
Compliance 360 was the same design but in 50 patients with FP lesions. Adjunctive stenting was needed in 8% in the OA arm vs 84% in the PTA arm (P<.0001). Mean maximum balloon pressure (a measure of lesion compliance) in the OA arm was 3.9 atm vs 9.1 atm in the PTA arm (P<.0001). Freedom from TLR (including acute adjunctive stenting) or restenosis at 6 months was met in 72.7% of the OA arm and 8.3% of the PTA arm (P<.0001). By 12 months, restenosis or repeat TLR occurred in 5 of 21 in the PTA arm (4 in-stent) and 5 of 20 in the OA arm (P=NS).18 The CONFIRM registry series was designed to evaluate OA in PAD of lower extremities, as well as to optimize the OA technique. It studied a total of 3,135 patients originally enrolled in either CONFIRM I (Diamondback 360); CONFIRM II (Predator 360); and CONFIRM III (Diamondback 360, Predator 360, and Stealth 360). Eighty-one percent of lesions had moderate to severe calcification with an average preprocedural stenosis of 88% as adjudicated by the treating physician. Treatment with OA reduced stenosis from 88% to 35%. Final residual stenosis after adjunctive treatment (low-pressure PTA at a mean of 5.5 to 5.8 atm) averaged 10%. The key take-home points from the series were that shorter spin times and the use of smaller crown sizes significantly decreased procedural complications including slow flow, vessel closure, and spasm.19 This illustrates the concept that plaque modification provides better outcomes than plaque debulking. As evidenced in the studies, OA is effective in the treatment of calcified lesions in the FP segment as well as below the knee. As a limitation, these studies share the lack of core lab adjudication of angiographic data. In summary, compared to PTA alone, OA with low pressure PTA leads to better luminal gain by improving lesion compliance with less need for adjunctive stenting when treating calcified FP lesions. Patency at 12 months is comparable to PTA with a provisional stent strategy. Occasionally, a lesion continues to show a “waist” (Figure 11) after Diamondback atherectomy. This should be treated with repeated Diamondback atherectomy followed with repeated low-pressure balloon angioplasty (Figure 12).
Crosser Recanalization System

The Crosser (Bard Peripheral Vascular) is the latest addition to the FDA-approved armamentarium of atherectomy devices (Figures 13 and 14). The Crosser CTO recanalization system converts AC power into high-frequency mechanical vibrations (20,000 cycles per second to a depth of 20 µm), which are propagated through a nitinol core wire to the stainless steel tip of the Crosser catheter. The generator applies AC current to the piezoelectric crystals in the transducer, which then converts, amplifies, and transmits this energy to the catheter tip. The vibrational mechanical impact and microcavitational effects result in penetration of the occluded artery. During activation of the device, saline flush is required to cool the catheter tip and facilitate microcavitation.20 The Crosser was initially developed as a CTO coronary crossing device, and over time it evolved into an effective peripheral CTO crossing device as concluded in the PATRIOT trial.21 Operators began to notice after crossing long CTO segments that the Crosser was leaving a patent segment behind. These patent segments at times equaled the outer diameter of the Crosser catheter and occasionally created larger luminal gain. Due to this observation, approval as an atherectomy device was sought and granted. As shown in Figure 15, a severely calcified CTO vessel was treated with the Crosser catheter, creating a luminal diameter that was effective enough to provide TIMI 3 flow in the vessel.
Jetstream Aspiration Thrombectomy

The Jetstream Navitus (Bayer HealthCare) is a rotational atherectomy device that allows performing simultaneous aspiration thrombectomy. The device is designed to perform debulking of the target vessels by an expandable cutting tip that has distal ports, which are designed to provide independent infusion and aspiration functions for the active removal of fluid, excised tissues, and thrombus from the vascular treatment site. The catheter is a sterile, single-use unit that is connected to a console (capital equipment). The console (Figure 16) houses two peristaltic pumps for aspiration and infusion, which power the Jetstream catheter device. The G3 device has a front-cutting blade that is able to create a channel between 2.5 mm and 2.75 mm (with the blades “down”). With the blades fully deployed, it can generate a channel of up to 4 mm. The second and recently released device is the Jetstream G3SF (small fixed), which is a more flexible catheter with a 1.85-mm front-end cutting tip. Its unique expandable blade technology allows atherectomy of different cross-sectional diameters with one device (Figure 17).
The operator can advance through the tight lesion initially with the blades down and then repeat a second passage with the blades up to increase luminal gain. It can be very effective in lesions where thrombus is suspected to be present along with plaque burden due to its simultaneous aspiration feature. We are currently awaiting the data from the JET Registry, a national registry focused on tracking patients with symptomatic PAD undergoing percutaneous interventions with the Jetstream device. The JET Registry will enroll up to 500 patients at approximately 75 clinical sites across the United States. Patients will be followed for up to 1 year.
Phoenix Atherectomy Catheter

The Phoenix Atherectomy Catheter (AtheroMed, Inc.) is CE Mark approved and is limited to investigational use only in the United States. It is designed to cut, capture, and convey arterial plaque into an external bag visible to the physician. The front-cutting catheter has a deflectable tip engineered to treat a range of blood vessel sizes with a single insertion of one single-use device. It is most effective in soft to moderate calcified plaque (Figures 18 and 19). Currently patients are being enrolled in the EASE trial to evaluate the procedural safety and effectiveness of the Phoenix Atherectomy System for the treatment of de novo and restenotic atherosclerotic lesions located in the native SF, popliteal, and IP arteries.
Conclusion
Atherectomy continues to find its way in today’s endovascular armamentarium. Today we have the ability to remove large plaque burden and modify the compliance of severely calcified vessels. Results of studies such as Calcium 360, Compliance 360 and DEFINITIVE LE point to the fact that the “gold standard” for the treatment of PAD may need to be revisited to include this modality. Further studies ahead of us, such as DEFINITIVE AR, EXCITE ISR, and LIBERTY 360, will provide more data to help vascular specialists make the best evidence-based decisions to achieve the best evidence-based outcomes.
Editor’s Note: Disclosure: The authors have completed and returned the ICMJE Form for Disclosure of Potential Conflicts of Interest. Dr. Mustapha reports consultancy to Cardiovascular Systems, Inc., Covidien, Bard Peripheral Vascular, and Bayer HealthCare; grants from Spectranetics, Cardiovascular Systems, Inc., and Bard Peripheral Vascular; educational support from Cardiovascular Systems, Inc., Bard Peripheral Vascular, and Covidien; and travel reimbursement from Cardiovascular Systems, Inc., Bard Peripheral Vascular, Covidien, and Bayer HealthCare. Dr. Diaz-Sandoval reports grants from Spectranetics, Cardiovascular Systems, Inc., and Bard Peripheral Vascular and educational support from Cardiovascular Systems, Inc. Dr. Karenko grants from Spectranetics, Cardiovascular Systems, Inc., and Bard Peripheral Vascular. Dr. Saab reports grants from Spectranetics, Cardiovascular Systems, Inc., and Bard Peripheral Vascular and educational support and travel reimbursement from Cardiovascular Systems, Inc. and Bard Peripheral Vascular.
Manuscript received July 1, 2013; final version accepted July 29, 2013.
Address for correspondence: Jihad A. Mustapha, MD, Metro Health Hospital, 5900 Byron Center Ave. SW, Wyoming, MI 49519, United States. Email: jihad.mustapha@metrogr.org
References
- Hirsch AT, Criqui MH, Treat-Jacobson D, et al. Peripheral arterial disease detection, awareness, and treatment in primary care. JAMA. 2001;286(11):1317-1324.
- McDermott MM, Greenland P, Liu K, et al. The ankle brachial index is associated with leg function and physical activity: the Walking and Leg Circulation Study. Ann Intern Med. 2002;136(12):873-883.
- Meijer WT, Hoes AW, Rutgers D, Bots ML, Hofman A, Grobbee DE. Peripheral arterial disease in the elderly: The Rotterdam Study. Arterioscler Thromb Vasc Biol. 1998;18(2):185-192.
- Newman AB, Shemanski L, Manolio TA, et al. Ankle-arm index as a predictor of cardiovascular disease and mortality in the Cardiovascular Health Study. The Cardiovascular Health Study Group. Arterioscler Thromb Vasc Biol. 1999;19(3):538-545.
- Tsai AW, Folsom AR, Rosamond WD, Jones DW. Ankle-brachial index and 7-year ischemic stroke incidence: the ARIC study. Stroke. 2001;32(8):1721-1724.
- London NJ, Donnelly R. ABC of arterial and venous disease. Ulcerated lower limb. BMJ. 2000;320(7249):1589-1591.
- Aboyans V, Desormais I, Lacroix P, Salazar J, Criqui MH, Laskar M. The general prognosis of patients with peripheral arterial disease differs according to the disease localization. J Am Coll Cardiol. 2010;55(9):898-903.
- Gray BH, Grant AA, Kalbaugh CA, et al. The impact of isolated tibial disease on outcomes in the critical limb ischemic population. Ann Vasc Surg. 2010;24(3):349-359.
- European Working Group on Critical Limb Ischaemia. Second European Consensus Document on Chronic Critical Leg Ischaemia. Eur J Vasc Surg. 1992;6(Suppl A):1-32.
- Wolfe JH, Wyatt MG. Critical and subcritical ischaemia. Eur J Vasc Endovasc Surg. 1997;13:578-582.
- Manzi M, Palena L, Cester G. Endovascular techniques for limb salvage in diabetics with crural and pedal disease. J Cardiovasc Surg (Torino). 2011;52(4):485-492.
- Laird JR, Zeller T, Gray BH, et al. Limb salvage following laser-assisted angioplasty for critical limb ischemia: results of the LACI multicenter trial. J Endovasc Ther. 2006;13(1):1-11.
- Ramaiah V, Gammon R, Kiesz S, et al. Midterm outcomes from the TALON Registry: treating peripherals with SilverHawk: outcomes collection. J Endovasc Ther. 2006;13(5):592-602.
- McKinsey JF, Goldstein L, Khan HU, et al. Novel treatment of patients with lower extremity ischemia: use of percutaneous atherectomy in 579 lesions. Ann Surg. 2008;248(4):519-528.
- Shammas NW. An unusual giant pseudoaneurysm with proximal and distal necks bypassing an occluded midsuperficial femoralartery. J Vasc Interv Radiol. 2011;22(1):107-108.
- Garcia L. Final 12 month DEFINITVE-LE results announced. VIVA Today. 2012;(10/11): 1. https://vivapvd.com/PDFs/VIVA_Today_Thurs.pdf?q=635150316433668750
- Shammas NW, Lam R, Mustapha J, et al. Comparison of orbital atherectomy plus balloon angioplasty vs. balloon angioplasty alone in patients with critical limb ischemia: results of the CALCIUM 360 randomized pilot trial. J Endovasc Ther. 2012;19:480–488.
- Dattilo R. 12 month results of Compliance 360: a prospective, multicenter, randomized trial comparing OA to balloon angioplasty for calcified femoropopliteal lesions. J Am Coll Cardiol. 2012;59(13)E2085.
- Das T, Mustapha J, Indes J. Technique optimization of orbital atherectomy in calcified peripheral lesions of the lower extremities: The CONFIRM series, a prospective multicenter registry. Cathet Cardiovasc Intervent. 2013;DOI:10.1002/ccd.25046.
- Rogers JH, Laird JR. Overview of new technologies for Lower Extremity Revascularization. Circulation. 2007;116:2072-2085.
- PATRIOT evaluates FlowCardia’s Crosser to mediate CTO recanalization. Endovascular Today. 2009. https://evtoday.com/2009/10/eNews102909_07.htm


