Chemoport Implantation by Interventional Radiologists: A Retrospective Clinical Study
VASCULAR DISEASE MANAGEMENT 2023;20(1):E12-E19
Abstract
Objective. The purpose of this study is to determine the outcome and risk factors associated with implantable chemoports placed by interventional radiologists. Methods. This retrospective study included chemoports placed between August 2006 and April 2020 with follow-up until May 2021 at Christian Medical College, Vellore, India. The data was collected from the PACS and hospital information system. We retrospectively evaluated for technical success rates and complications. Complications were classified into (1) periprocedural (intraprocedural and up to 24 hours), (2) early post procedural (<30 days), and (3) late (>30 days) according to the time period. Depending on the type of complication, they were categorized into infective, thrombotic, and nonthrombotic port dysfunction. Results. There were 1009 chemoport placements in 996 patients during this 14-year period. The age group was between 17 and 81 years of age. The male-to-female ratio was 512 females and 493 males. The technical success was nearly 99.9%. Complications were noted in 75 patients, of which port infection was the most common complication seen in 46 patients. Conclusion. Chemoport insertion by interventional radiologists is safe and effective. The most common complication during follow-up is infection.
Introduction
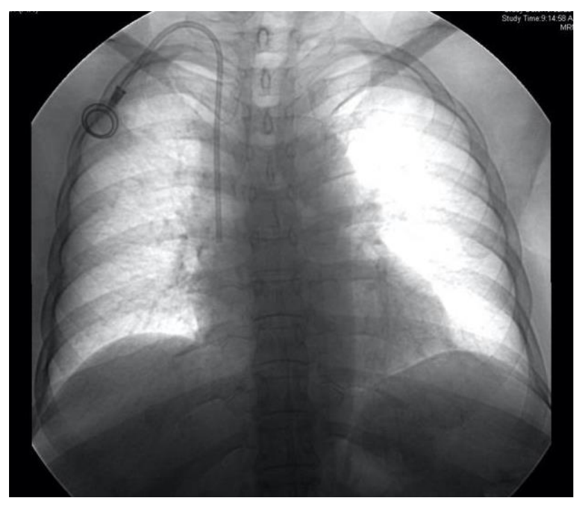
A chemoport, or central venous port (CVP), is a venous access device that is entirely implanted under the skin, most commonly on the anterior chest wall1 (Figure 1). The first report of subcutaneous tunneled CVP placement in 19822 was described by a surgeon, and the first successful radiologically inserted chemoport was reported by Morris et al3 in 1992. Since then, chemoports have been widely used in treating oncology patients requiring repeated intravenous administration of chemotherapy as they provide long-term venous access that is safe, easy, durable, and cosmetically accepted by oncology patients.4,5
Several studies demonstrated a high technical success rate and a low complication rate when a CVP was implanted by interventional radiologists. The right internal jugular vein (IJV) was the most preferred access site under ultrasound guidance, with the lowest complication rates.4,6 Most reported complications include early complications such as arterial or nerve injury or hematoma formation; late complications include thrombosis and infection.4,6
The purpose of this long-term retrospective study is to report a tertiary care center experience on the placement of chemoports by interventional radiologists, including technical success rates, complication rates, and clinical outcomes. In India, there is limited data on radiological placement of CVPs via the IJV.
Materials and Methods
The study was carried out at Christian Medical College Hospital, Vellore. This retrospective study included all patients who underwent radiologic placement of chemoports between August 2006 and April 2020 with follow-up until May 2021. Institutional review board (IRB) approval was obtained for this study. Following IRB approval, data were collected from PACS and the hospital information system. Electronic medical records and microbiology reports of all patients were retrospectively accessed by the investigators. The last day of follow-up was considered as the date of chemoport removal, the last outpatient visit, or the last date of data collection up to May 2021.
Informed written consent was obtained before each procedure, and the patient and their relatives were counseled for postprocedure port site care. The procedure was performed in the Interventional radiology (IR) suite of the radiology department. A basic coagulation profile was obtained for all patients. The IR suite was fumigated the previous night with monopersulfate compound, and chemoport insertions were scheduled as the first cases of the day. Most procedures were planned on the day of chemotherapy.
The procedure was performed by rotating IR residents under supervision and consultants. Preprocedure, the area of port insertion was shaved and cleaned with povidone-iodine in the ward before shifting to the IR suite. Prophylactic antibiotics were administered in high-risk patients according to the clinician’s decision depending on the patient’s disease status and neutrophil counts. Preprocedural intramuscular pentazocine and promethazine were administered for sedation, and analgesia and the procedure were performed under local anesthesia. The right IJV was the preferred site for puncture; left IJV access was obtained in patients with a recently removed chemoport in the right anterior chest wall, plan for future radiotherapy in right chest wall tumor, or right IJV thrombosis.
The patency of IJVs was evaluated by ultrasound. If the right IJV was thrombosed or small in caliber, the left IJV was the next choice. After cleaning the site with betadine, 2% lignocaine as a local anesthetic agent was administered. The IJV was punctured with an 18G I.V. cannula attached to a 5-cc syringe under ultrasound guidance. The puncture was confirmed on aspiration of venous blood, the needle was removed, and a 0.035" J- tip guidewire was negotiated through the catheter into the right atrium and then into the inferior vena cava. Following this, the port insertion pocket was created to fit the chemoport snugly in the anterior chest wall in the second intercostal space. The port catheter was tunneled from the pocket to the IJV puncture site. Through the peel-away sheath, the tip of the catheter was positioned at the cavoatrial junction under fluoroscopic guidance.
Aspiration of blood was done to check the patency of the port and by puncturing the port diaphragm with a Huber needle. Hemostasis was ensured and the skin incision was closed by vertical mattress stitches using silk 2-0 sutures.
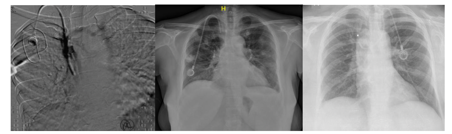
Postprocedure fluoroscopy image or chest radiograph was routinely taken to reconfirm the position and to look for any kinks or migration (Figure 2). The sutures were removed after 10 days in the ward or the IR suite. The chemoports were flushed with heparinized saline after each cycle of chemotherapy.
Absolute contraindications include neutropenia, active systemic infection, local infection at the proposed port site, and acute or chronic IJV thrombosis. The procedure was scheduled for a later date if the patient had sepsis or bacteremia. Relative contraindications were when the coagulation profile was deranged, with an international normalized ratio over 1.5 or a platelet count under 50 x 109/L.
The last date of follow-up was defined as the date of port removal, the date of last outpatient visit, or the last radiological imaging without a port in situ. The number of days between chemoport implantation until the last date of follow-up was calculated and defined as catheter maintenance days.
Complications were divided into 3 chronological groups according to the Society of Interventional Radiology Consensus Guidelines: periprocedural, defined as those occurring intraoperative or within 24 hours postprocedure; early, defined as those occurring within 30 days of the procedure; and late, defined as those occurring more than 30 days after the procedure.7
Catheter-related infections were divided into local and bloodstream infections. Local infections consist of chemoport pocket infection, tunnel infection, and wound infection. Bloodstream infections consist of bacteremia and sepsis. Local infection commonly presented with a local rise in temperature, redness, induration, and pus discharge from the chest wall.8
Catheter-related bloodstream infections are defined as positive blood culture without another identifiable source of infection and clinical symptoms resolving within 48 hours of chemoport removal.1 Catheter-related sepsis is defined as when clinical signs are suggestive of sepsis, which is a systemic inflammatory response syndrome.7
Catheter dysfunction includes both thrombotic and nonthrombotic causes. Thrombotic causes include occlusion of the catheter tip or lumen and fibrin sheath formation. Nonthrombotic causes include catheter migration, kinking of the catheter, and port rotation.
Complications requiring overnight hospitalization were considered major complications, which were divided into hospitalization less than 48 hours, more than 48 hours, permanent adverse sequelae, and death.7
Results
There were a total of 1009 chemoport placements in 996 patients by interventional radiologists from August 2006 to April 2020, with age groups ranging from 17 to 81 years and 50.2% being female. All 1009 chemoports were inserted with clinical indication of administration of chemotherapy. Right IJV was the choice of chemoport insertion in 894 (88.6%) and left IJV in 114 (11.3%); 1 patient, after the complication of right IJV, subclavian, and suspected partial superior vena cava (SVC) thrombosis, underwent right femoral chemoport insertion (0.1%). It was observed that complication rates were higher in left-sided chemoport implantation: 21 out of 114 cases (18.4%) compared with right-sided implantation (6.3%). Demographic data is shown in Table 1.
The technical success rate was 99.9%. One patient became restless during the procedure and the procedure was abandoned. Two patients developed periprocedural complications (within 24 hours of the procedure). One patient developed palpitations with a regular, accelerated rhythm, appearing in paroxysms every 10 to 15 minutes. ECG showed no specific changes. Under IR fluoroscopy guidance, the catheter tip was slightly withdrawn from the right atrium. Following this, the patient’s symptoms resolved and chemotherapy was administered after overnight observation. The other patient developed tachycardia following the procedure, after which the patient was shifted to the ward for monitoring where he started complaining of palpitations and sweating. On examination he was found to have tachycardia, and ECG showed features of supraventricular tachycardia. He was admitted for management of the same. He was administered 6 mg adenosine intravenously, following which his tachycardia settled and he did not have any further symptoms. On fluoroscopy, the chemoport tip was in the correct position. A cardiac electrophysiological unit consult was sought and they opined on the possibility of lateral accessory pathways and the need for electrophysiological studies and radiofrequency ablation. Both these patients went on to receive chemotherapy via the chemoport with catheter days of 356 and 330, respectively.
A total of 89 patients had maintenance of port at the time of review; in the rest of the patients, ports were either removed due to completion of chemotherapy (n = 298), lost to follow-up (n = 525), death (n = 22), or removal due to complication (n = 75).
A total of 365,000 catheter maintenance days were recorded. The mean catheter days were 361 ± 333 days (range 1 to 2316). There were 22 cases where patients underwent chemoport implantation and were not followed up in our hospital; they were continuing treatment in other hospitals, so their catheter days were 1.
Overall, there were 75 postprocedure complications (7.43%, 0.205/1000 catheter days) that occurred over 365,000 catheter maintenance days. Out of these, there were 19 (1.88%, 0.052/1000 catheter days) early complications and 56 (5.55%, 0.153/1000 catheter days) late complications. Different complications and their rates are described in Table 2.
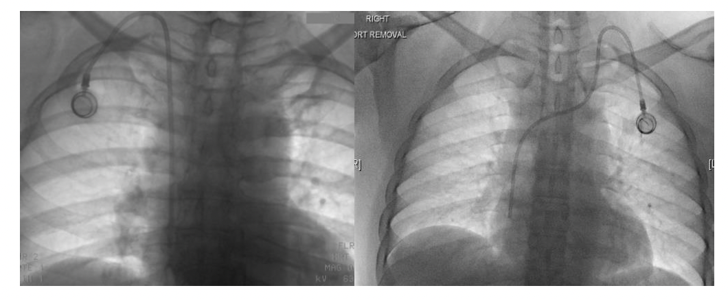
In total, there were 46 chemoport infections (4.55%, 0.126/1000 catheter days). Early infections were 14 and late were 32. Regarding early infections, 12/14 were port site infections and 2/14 were systemic infections due to bacteremia and sepsis. In all these 14 cases of early catheter-related infections, patients presented with redness, swelling, and induration at the port site. A few also presented with pus discharge from the port site. All the infected ports were explanted and sent for culture sensitivity (Figure 3) and were treated accordingly with antibiotics. One patient after port removal continued to have pus discharge and underwent debridement of the infected right chest wall port site under general anesthesia. The cultures grew methicillin-resistant Staphylococcus aureus and he was treated accordingly.
There were 30 late catheter-related infections, which occurred after 30 days of the procedure. Out of this, 30 were port site-related infections and 2 were bacteremia-associated sepsis. The earliest catheter-related infections occurred at 7 catheter days, and late complications developed as late as 569 days. However, the patient with late complication presented with febrile neutropenia, and the chemoport was a suspected source of infection; therefore, it was removed after ruling out other sources of infection.
Fifteen patients (1.48%, 0.041/1000 catheter days) developed catheter dysfunctions (11 thrombotic and 4 nonthrombotic). Only 1 out of 11 thrombotic dysfunctions developed early, which occurred after 27 catheter days. The patient developed catheter occlusion, which was proven on a patency check done in the IR suite. Five out of 11 ports were explanted (port removal for fibrin sheath formation shown in Figure 4) and the remaining 6 were successfully treated with thrombolysis with urokinase (Figure 5). The thrombotic complication with fibrin sheath formation occurred as late as 1206 days, which was treated with thrombolysis using urokinase.
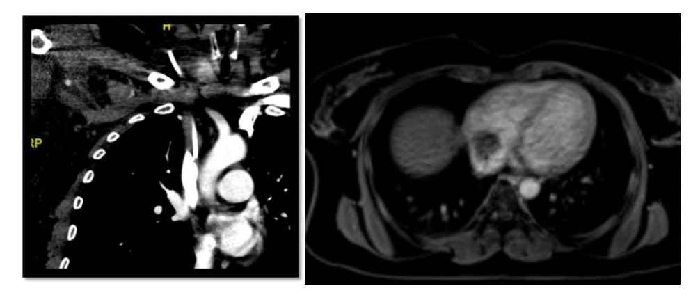
There were 3 catheter migrations and 1 port rotation. Catheter migrations (Figure 4) were noticed to migrate into the right IJV, right brachiocephalic vein, and left subclavian vein. All these patients underwent explantation and reinsertion of the ports. One of the patients whose port was migrated to the right IJV was admitted for chemoport removal and reinsertion. However, during the manipulation of the displaced port catheter, she began experiencing severe rigors in the IR suite. She was afebrile and hemodynamically stable; the procedure was abandoned, the port removed, and the patient shifted to the ward immediately. Cultures were drawn and she was started on I.V. cefoperazone-sulbactam, along with teicoplanin. She went into septic shock that evening and I.V. cefoperazone-sulbactam was changed to injected. Meropenem at a 2-g loading dose was followed by 1 g every 8 hours. She was resuscitated with fluids and remained hemodynamically stable afterward. One port rotation in the chest wall was incidentally detected on a follow-up computed tomography (CT) scan of the chest, but the patient had already completed chemotherapy so no treatment was sought.
Twelve patients developed venous thrombosis (1.19%, 0.032/1000 catheter days), out of which 2 were early and 10 were late. Two patients developed right IJV thrombosis (Figure 5) at 23 and 26 catheter days, which was treated with port removal followed by heparin. Regarding late venous thrombotic complications, the latest occurred after 662 days and was treated with heparin. Two patients with IJV thrombosis concurrently developed other complications, one with concurrent port site infection and the other with catheter tip migration. After 130 days, one of the patients presented with signs and symptoms suggestive of SVC obstruction. An emergency CT thorax was done that confirmed the diagnosis and showed extensive thrombosis involving the right IJV, bilateral brachiocephalic veins, and SVC. She was started on anticoagulation with injected dalteparin and an IR consult was sought. We performed thrombolysis, thrombectomy, and plasty. Following the procedure, she was kept under close monitoring in the ICU for 1 day, after which she was moved to the ward. One of the patients developed a right atrial thrombus (Figure 6), and another developed a left atrial thrombus.
A total of 2 cases had wound dehiscence (0.19%, 0.005/1000 catheter days). One of the patients presented with port site infection with pus discharge along with exteriorization of the port, which was removed as the risk of infection was high.
Four patients had bloodstream infections and 3 venous thrombosis with concurrent port infections, requiring ICU and ward admissions for the purpose of I.V. antibiotics and anticoagulant administration. One of the patients developed septic shock and required inotrope support in the ICU; however, the patient’s relatives were not keen on further treatment and they took discharge against medical advice. Additionally, 6 patients with port site infections required aspiration of the pus and ward admissions for antibiotics as they had other comorbidities such as type 2 diabetes mellitus, atrial fibrillation, and recent myocardial infarction. Two patients with septic shock required ICU admissions with inotropic support and escalation of antibiotics; unfortunately, they succumbed to their illness after 7 and 10 days in the ICU.
Discussion
Since its first use in 1980, CVP has been used widely and has become a reliable device for oncology patients receiving chemotherapy.9 Interventional radiologists use the Seldinger technique with ultrasound guidance for chemoport placement, and the results are comparable to those of the surgeons.10 Many previous studies have reported CVP to be dependable with better endurance and fewer complication rates than other types of catheters.11,12 Mean catheter maintenance days in several studies were reported to be over 9 months,6,13-15 which was also reported in our study.
Several studies have reported various complication rates in surgically implanted CVPs, ranging from 5% to 24%.1,14,16-18 In contrast, total complication rates of radiologic placement of chemoports have been reported from 4.4% to 14% in previous studies of various population sizes and different access routes.1,3,4,6,8,13,14,18-21 One of the largest studies of 8156 port placements by Moureau et al19 reported a complication rate of 0.52 per 1000 catheter days.
The latest study by Ahn et al6 in 1254 chemoports reported total complications of 4.47% with 0.129/1000 catheter days. Our study results are comparable with the previous studies with 7.45% complications (0.205/1000 catheter days) in 1009 chemoport implantations, with total catheter maintenance days of 365,000. It was observed that complication rates were higher in left-sided chemoport implantation, with 21 out of 114 cases (18.4%) compared with right-sided implantation (6.3%). This was attributed to the pattern of blood flow and location and could be due to the endothelial injury that happens as the catheter passes through a curved path.4,22
The rate of infections reported in literature ranges from 1.1% to 8.8%, which corresponds to 0.10 to 0.27/1000 catheter days.4-6,8,13,14,18,19 Compared with previous studies, we reported infection-related complications of 4.55%, corresponding to 0.126/1000 catheter days.
Our infection rates were lower compared with few studies; the reason for this could be our strict aseptic protocols before, during, and after the procedure and by doing chemoport implantations as the first cases in a fumigated IR suite to mitigate the risks of cross-infection.
Further analysis is warranted to assess the risk factors for infectious complications such as age, immunity status, comorbidities, and operator’s experience that might affect the results.
Other factors such as preprocedural and postprocedural factors can lead to increased chances of infection. Infectious complications are of clinical significance as they cause increased hospital stays and could lead to ICU admissions, and in very severe sepsis could also cause the death of the patient.
Regarding catheter dysfunctions, thrombotic causes such as catheter thrombosis and fibrin sheath formation have been reported in literature and they usually present as late complications.6,13,14,18 Studies show the rate of catheter thrombotic complications in the range of 1.36% to 7.45%.4,6 In our study, we found that 1.48% developed catheter dysfunction and 99% occurred as late complications. We had 6 cases of fibrin sheath formation that were successfully managed by thrombolysis using urokinase. There were 3 cases of catheter migration, 2 of which occurred early and 1 occurred late, and all were female patients. One of the causes of this complication is assumed to be due to obesity or pendulous breasts in females. Therefore, it is recommended to place the tip deep into the right atrium in these patients to reduce the chances of tip migration. We documented 1 case of port rotation, which was an incidental finding on a follow-up CT thorax of the patient; no treatment was sought. A study by Ahn et al6 reported 4 cases of port rotation. To prevent port rotation, the pocket should be compact; if it is loose with fatty tissue, a fixation suture should be used.13
Venous thrombosis has been reported in several studies, with an incidence of 0.3% to 11%.6,8,14,18,23,24 We had 12 cases of venous thrombosis (1.19%, 0.032/1000 catheter days), out of which 2 were early and 10 were late. There were 7 IJV thrombosis: 2 with concurrent port site infection, 1 with brachiocephalic and SVC thrombosis, 1 with subclavian thrombosis, and 1 with right atrial thrombosis. One patient, after the IJV thrombosis, went on to have a right femoral port insertion that was in situ for 647 days and removed after completion of chemotherapy.
Venous thrombotic complication rates were similar in surgical and radiologic placement of ports, and thromboprophylaxis did not prevent these complications.23,25
There were a few limitations of the study. Being a retrospective study, some minor complications would not have been recorded. Because port insertion was performed by different radiologists, minor variations in technique were not recorded. We did not evaluate the complication rates associated with the type of port, access site, primary disease, immune status, port hygiene, number of chemotherapy treatments given by port, etc. Lastly, the data on prophylactic antibiotics was incomplete.
Conclusion
Chemoport insertion by interventional radiologists is safe and effective. The most common complication during follow-up is infection.
Disclosure: The authors have completed and returned the ICMJE Form for Disclosure of Potential Conflicts of Interest. The authors report no conflicts of interest regarding the content herein.
Manuscript accepted December 13, 2022.
Address for correspondence: Shyamkumar N. Keshava, MBBS, DMRD, DNB, FRCR, FRANZCR, Christian Medical College and Hospital: Christian Medical College Vellore, IDA Scudder Rd., Vellore, Tamil Nadu 632004, India. Email: shyamkumar.n.keshava@gmail.com
REFERENCES
1. Teichgräber UK, Pfitzmann R, Hofmann HAF. Central venous port systems as an integral part of chemotherapy. Dtsch Arztebl Int. 2011;108(9):147-154. doi:10.3238/arztebl.2011.0147
2. Niederhuber JE, Ensminger W, Gyves JW, Liepman M, Doan K, Cozzi E. Totally implanted venous and arterial access system to replace external catheters in cancer treatment. Surgery. 1982;92(4):706-712.
3. Funaki B, Szymski GX, Hackworth CA, et al. Radiologic placement of subcutaneous infusion chest ports for long-term central venous access. AJR Am J Roentgenol. 1997;169(5):1431-1434. doi:10.2214/ajr.169.5.9353475
4. Yaacob Y, Nguyen DV, Mohamed Z, Razali A Ralib A , Zakaria R, Muda S. Image-guided chemoport insertion by interventional radiologists: a single-center experience on periprocedural complications. Indian J Radiol Imaging. 2013;23(2):121-125. doi:10.4103/0971-3026.116543
5. Lorch H, Zwaan M, Kagel C, Weiss HD. Central venous access ports placed by interventional radiologists: experience with 125 consecutive patients. Cardiovasc Intervent Radiol. 2001;24(3):180-184. doi:10.1007/s002700001721
6. Ahn SJ, Kim H-C, Chung JW, et al. Ultrasound and fluoroscopy-guided placement of central venous ports via internal jugular vein: retrospective analysis of 1254 port implantations at a single center. Korean J Radiol. 2012;13(3):314-323. doi:10.3348/kjr.2012.13.3.314
7. Silberzweig JE, Sacks D, Khorsandi AS, Bakal CW. Reporting standards for central venous access. J Vasc Interv Radiol. 2003;14(9 Pt 2):S443-S452. doi:10.1097/01.RVI.0000094617.61428.bc
8. Gebauer B, El-Sheik M, Vogt M, Wagner H-J. Combined ultrasound and fluoroscopy guided port catheter implantation—high success and low complication rate. Eur J Radiol. 2009; 69(3):517-522. doi:10.1016/j.ejrad.2007.10.018
9. Randolph AG, Cook DJ, Gonzales CA, Pribble CG. Ultrasound guidance for placement of central venous catheters: a meta-analysis of the literature. Crit Care Med. 1996;24(12):2053-2058. doi:10.1097/00003246-199612000-00020
10. Lewis CA, Allen TE, Burke DR, et al. Quality improvement guidelines for central venous access. J Vasc Interv Radiol. 2003;14(9 Pt 2):S231-S235.
11. Seiler CM, Frohlich BE, Dorsam UJ, Kienle P, Buchler MW, Knaebel H-P. Surgical technique for totally implantable access ports (TIAP) needs improvement: a multivariate analysis of 400 patients. J Surg Oncol. 2006;93(1):24-29. doi:10.1002/jso.20410
12. Funaki B. Central venous access: a primer for the diagnostic radiologist. AJR Am J Roentgenol. 2002;179(2):309-318. doi:10.2214/ajr.179.2.1790309
13. Cil BE, Canyiğit M, Peynircioğlu B, et al. Subcutaneous venous port implantation in adult patients: a single center experience. Diagn Interv Radiol. 2006;12(2):93-98.
14. Dede D, Akmangit I, Yildirim ZN, Sanverdi E, Sayin B. Ultrasonography and fluoroscopy-guided insertion of chest ports. Eur J Surg Oncol. 2008;34(12):1340-1343. doi:10.1016/j.ejso.2007.12.001
15. Schutz JCL, Patel AA, Clark TWI, et al. Relationship between chest port catheter tip position and port malfunction after interventional radiologic placement. J Vasc Interv Radiol. 2004;15(6):581-587. doi:10.1097/01.rvi.0000127890.47187.91
16. Araújo C, Silva JP, Antunes P, et al. A comparative study between two central veins for the introduction of totally implantable venous access devices in 1201 cancer patients. Eur J Surg Oncol. 2008;34(2):222-226. doi:10.1016/j.ejso.2007.04.003
17. Biffi R, Pozzi S, Agazzi A, et al. Use of totally implantable central venous access ports for high-dose chemotherapy and peripheral blood stem cell transplantation: results of a monocentre series of 376 patients. Ann Oncol. 2004;15(2):296-300. doi:10.1093/annonc/mdh049
18. Teichgräber UKM, Kausche S, Nagel SN, Gebauer B. Outcome analysis in 3,160 implantations of radiologically guided placements of totally implantable central venous port systems. Eur Radiol. 2011;21(6):1224-1232. doi:10.1007/s00330-010-2045-7
19. Moureau N, Poole S, Murdock MA, Gray SM, Semba CP. Central venous catheters in home infusion care: outcomes analysis in 50,470 patients. J Vasc Interv Radiol. 2002;13(10):1009-1016. doi:10.1016/s1051-0443(07)61865-x
20. Yip D, Funaki B. Subcutaneous chest ports via the internal jugular vein. A retrospective study of 117 oncology patients. Acta Radiol. 2002;43(4):371-375. doi:10.1034/j.1600-0455.2002.430405.x
21. Sticca RP, Dewing BD, Harris JD. Outcomes of surgical and radiologic placed implantable central venous access ports. Am J Surg. 2009;198(6):829-833. doi:10.1016/j.amjsurg.2009.04.031
22. Mermel LA, Allon M, Bouza E, et al. Clinical practice guidelines for the diagnosis and management of intravascular catheter-related infection: 2009 update by the Infectious Diseases Society of America. Clin Infect Dis. 2009;49(1):1-45. doi:10.1086/599376
23. Biffi R, Orsi F, Pozzi S, et al. Best choice of central venous insertion site for the prevention of catheter-related complications in adult patients who need cancer therapy: a randomized trial. Ann Oncol. 2009;20(5):935-940. doi:10.1093/annonc/mdn701
24. Luciani A, Clement O, Halimi P, et al. Catheter-related upper extremity deep venous thrombosis in cancer patients: a prospective study based on Doppler US. Radiology. 2001;220(3):655-660. doi:10.1148/radiol.2203001181
25. Akl EA, Kamath G, Yosuico V, et al. Thromboprophylaxis for patients with cancer and central venous catheters: a systematic review and a meta-analysis. Cancer. 2008;112(11):2483-2492. doi:10.1002/cncr.23479


