Surgical Management of Spontaneous Isolated Superior Mesenteric Artery Dissection
VASCULAR DISEASE MANAGEMENT 2022;19(1):E19-E22
Abstract
Spontaneous isolated superior mesenteric artery dissection (SISMAD) diagnoses have become more prevalent with the increased availability of high-resolution computed tomography angiography. Multiple classification schemes have been developed to characterize the extent of dissection and guide treatment. However, due to the relatively low occurrence of SISMAD and the often incidental nature of discovery, no gold standard exists for definitive management of symptomatic patients presenting with acute mesenteric ischemia. Here, we report the case of a patient with SISMAD who underwent successful open surgical intervention at our institution.
Introduction
Acute mesenteric ischemia (AMI) is a pathology well known to the surgical community, requiring prompt diagnosis and management, often in collaboration with vascular surgeons, general surgeons, and interventional radiologists.1 Spontaneous isolated superior mesenteric artery dissection (SISMAD) diagnoses, although rare, have become more prevalent with the increased availability of high-resolution computed tomography angiography (CTA).2 Multiple classification schemes have been developed to both characterize the extent of dissection and guide treatment.3-5 However, due to the relatively low occurrence of SISMAD and the often incidental nature of its discovery, no gold standard exists for the management of the truly symptomatic SISMAD patient presenting with AMI. Here, we present the case of a patient who presented to our hospital system with severe abdominal pain secondary to SISMAD who ultimately underwent successful open surgical intervention. Patient consent was obtained prior to the publication of this case.
Case Report
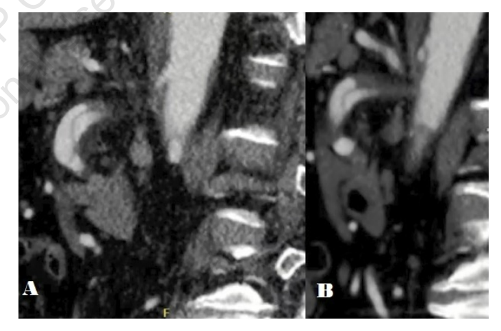
A 56-year-old male with a history of coronary artery disease who had undergone a prior cardiac catheterization with stent placement presented to our emergency department with a chief complaint of diffuse, progressively worsening, postprandial abdominal pain onset 6 hours earlier. A CTA was obtained, revealing an isolated superior mesenteric artery (SMA) dissection (Figure 1 and Figure 2). Vascular surgery was immediately consulted, and the patient was placed on a heparin infusion and transferred to our tertiary care facility. Upon examination, the patient had the typical out-of-proportion pain as seen with AMI, but he lacked any systemic signs of inflammation. Additionally, his vital signs and laboratory studies were all within normal limits. CTA findings revealed a dissected SMA with patent true and distally thrombosed false lumens without any evidence of bowel ischemia. Considering the patient’s presentation, physical examination, and imaging findings, admission was pursued for serial abdominal examinations, bowel rest, and anticoagulation with therapeutic heparin.
Over the next 36 hours, the patient’s abdominal pain persisted; however, he did not develop any leukocytosis, lactic acidosis, tachycardia, or fever. Due to the patient’s refractory pain, despite objective evidence of bowel ischemia, we performed a repeat CTA, which did not reveal any new findings. A decision was made to proceed with angiography to better define the dynamics of his SMA dissection and potentially intervene on an endovascular basis. Although CTA demonstrated a patent true lumen, on selective mesenteric angiography there was dynamic obstruction of the distal SMA from the thrombosed false lumen (Figure 3). Given the potential risks of an endovascular approach and the need to deploy a long stent to treat the dissected SMA, a decision was made to proceed with open surgical repair.
Operative Approach
A midline, exploratory laparotomy was performed, which revealed a healthy, well-perfused bowel. After reflection of the transverse colon superiorly, the root of the mesentery was opened and the SMA was meticulously skeletonized. The patient was systemically heparinized, a Fogarty clamp was applied to the proximal SMA, and vessel loops were tightened around branch vessels and the distal SMA (Figure 4). A longitudinal arteriotomy was subsequently made in the SMA and the thrombosed false lumen was encountered. Intimectomy was performed and the septum was resected to create a large fenestration between the true and false lumen distally. The intima was tacked up proximally and the arteriotomy was closed with a bovine pericardial patch. Clamps were removed and flow was restored as confirmed by both palpation and pencil Doppler (Figure 5).
Postoperative Hospital Course
The patient was maintained on heparin infusion until bowel function returned, then he was advanced to a regular diet. The patient was discharged in stable condition after transitioning his anticoagulation to rivaroxaban. On a scheduled outpatient follow-up, surveillance CTA revealed a widely patent SMA with no evidence of malperfusion.
Discussion
AMI secondary to SISMAD is infrequently described in the literature when compared with thrombotic and embolic events of the visceral arterial circulation. Since first being described in 1947, over 600 cases have been reported.3-6 Most of these patients present during their fifth or sixth decade of life with a complaint of severe abdominal pain, commonly described as tearing with radiation to the back. This pain is secondary to either bowel ischemia or visceral nerve inflammation. In the majority of SISMADs, the dissection originates 1 to 3 cm from the origin of the SMA. This is an area that experiences increased shear force as the fixed retroperitoneal SMA becomes mobile within the root of the mesentery.7
On physical examination, patients typically have pain out of proportion to the exam, indicative of mesenteric ischemia. Nonspecific laboratory studies include leukocytosis and lactic acidosis; however, the gold standard for diagnosis relies on CTA. CTA provides additional information regarding the extent of the dissection, the patency of the true and false lumen, re-entry tears, signs of bowel ischemia, and important information regarding operative planning should the patient require intervention.1,3 Several classification systems are present in the literature and assist with risk assessment and treatment of SISMAD patients.3-5
Unfortunately, given the small sample size and rare nature of the pathology, no classification system has been standardized. However, it is important for vascular surgeons to remain cognizant of these schemata to understand the clinical implications of each dissection pattern. Management of SISMAD relies heavily on the patient’s presentation. Asymptomatic, incidentally discovered dissections can be managed with antiplatelet therapy, while those presenting with AMI will require emergent intervention. For the patient presenting with refractory abdominal pain and no evidence of ischemic insult, initial management should include bowel rest, systemic anticoagulation, and close monitoring for ischemic progression.8,9 Should the patient fail conservative management or progress to mesenteric ischemia, open surgical reconstruction via aortovisceral or extra-anatomic bypass may be required. Alternatively, fenestration/intimectomy of the dissection can be performed.
Recently, endovascular approaches have been described with the goal of re-establishing true lumen patency. Favorable results have been accomplished endovascularly with the use of self-expanding stents that stabilize the integrity of the vessel. Regardless of treatment approach, it is important to follow these patients with surveillance imaging to monitor for remodeling of the vessel as well as late aneurysmal degeneration.9 No surveillance schedule has been established thus far; however, imaging at 1 month followed by semiannual or annual CTA or duplex ultrasound is a reasonable approach. A recent systematic review published by Wang et al reported that most patients undergo endovascular management with an all-cause mortality of 1%.10 Of note, further literature review has demonstrated that no asymptomatic SISMAD patient has required intervention during surveillance monitoring, and only a minority of patients who underwent initial invasive treatment required secondary intervention.
Conclusion
SISMAD is infrequently encountered in clinical practice, but with increased availability of high-resolution CTA there may be increased recognition of this pathology. It is important to appreciate the pathophysiologic process and natural course of the disease as well as understand when and how to intervene on the SISMAD patient with AMI. While no standard of care has been established for this disease process, we must continue to approach each patient individually and share our approaches and outcomes.
The authors have completed and returned the ICMJE Form for Disclosure of Potential Conflicts of Interest. The authors report no conflicts of interest regarding the content herein.
Manuscript accepted December 9, 2021.
Address for correspondence: Calogero G. Dimaggio, DO, FACS, RPVI, St. Luke’s University Health Network, 801 Ostrum St., Bethlehem, PA 18015. Email: calogero.dimaggio@sluhn.org
REFERENCES
1. Bala M, Kashuk J, Moore EE, et al. Acute mesenteric ischemia: guidelines of the World Society of Emergency Surgery. World J Emerg Surg. 2017;12:38.
2. Nath A, Yewale S, Kousha M. Spontaneous isolated superior mesenteric artery dissection. Case Rep Gastroenterol. 2016;10:775-780.
3. Sakamoto I, Ogawa Y, Sueyoshi E, Fukui K, Murakami T, Uetani M. Imaging appearances and management of isolated spontaneous dissection of the superior mesenteric artery. Eur J Radiol. 2007;64:103-110.
4. Zerbib P, Perot C, Lambert M, Seblini M, Pruvot FR, Chambon JP. Management of isolated spontaneous dissection of superior mesenteric artery. Langenbecks Arch Surg. 2010;395:437-443.
5. Yun WS, Kim YW, Park KB, et al. Clinical and angiographic follow-up of spontaneous isolated superior mesenteric artery dissection. Eur J Vasc Endovasc Surg. 2009;37:572-577.
6. Bauersfeld SR. Dissecting aneurysm of the aorta; a presentation of 15 cases and a review of the recent literature. Ann Intern Med. 1947;26:873-889.
7. Park YJ, Park C-W, Park KB, Roh YN, Kim D-I, Kim Y-W. Inference from clinical and fluid dynamic studies about underlying cause of spontaneous isolated superior mesenteric artery dissection. J Vasc Surg. 2011;53:80-86.
8. Gao P, Li G, Chen J, et al. The impact of endovascular treatment on clinical outcomes of stable symptomatic patients with spontaneous superior mesenteric artery dissection. J Vasc Surg. 2021;73:1269-1276.
9. Loeffler JW, Obara H, Fujimura N, et al. Medical therapy and intervention do not improve uncomplicated isolated mesenteric artery dissection outcomes over observation alone. J Vasc Surg. 2017;66:202-208.
10. Wang J, He Y, Zhao J, et al. Systematic review and meta-analysis of current evidence in spontaneous isolated celiac and superior mesenteric artery dissection. J Vasc Surg. 2018;68:1228-1240.e9.


