Snaring a Popped-Out Transcatheter Aortic Valve Using Bioptome
Abstract
Transcatheter aortic valve replacement (TAVR) is now the preferred treatment for severe symptomatic aortic stenosis patients who are at intermediate to high risk for surgery. Rare complications, such as valve embolization, have been described. We present a case report where a deployed valve popped out due to underexpansion.
VASCULAR DISEASE MANAGEMENT 2022;19(5):E102-E103
Key words: bioptome, embolization, transcatheter aortic valve replacement
Introduction
Embolization during transcatheter aortic valve replacement (TAVR) is a rare but potentially life-threatening complication. Incidence of TAVR embolization in clinical trials was 0.1% in Placement of Aortic Transcatheter Valves (PARTNER) 2, 0% in PARTNER 3, and 0% in Surgical Replacement and Transcatheter Aortic Valve Implantation (SURTAVI) trials. While interventional remedies could suffice when the valve migrates to the ascending aorta, surgical treatment is almost definitive when the valve migrates into the left ventricle.
An 83-year-old man who was a reformed smoker with chronic obstructive pulmonary disease presented with progressive angina of 1 month duration and 2 episodes of syncope. His electrocardiogram showed sinus rhythm with left ventricular hypertrophy. Two-dimensional echocardiography showed severe aortic stenosis with a mean gradient of 54 mm Hg; the aortic valve area was 1 cm2 with an ejection fraction of 40%. Coronary angiography revealed nonobstructive coronary artery disease.
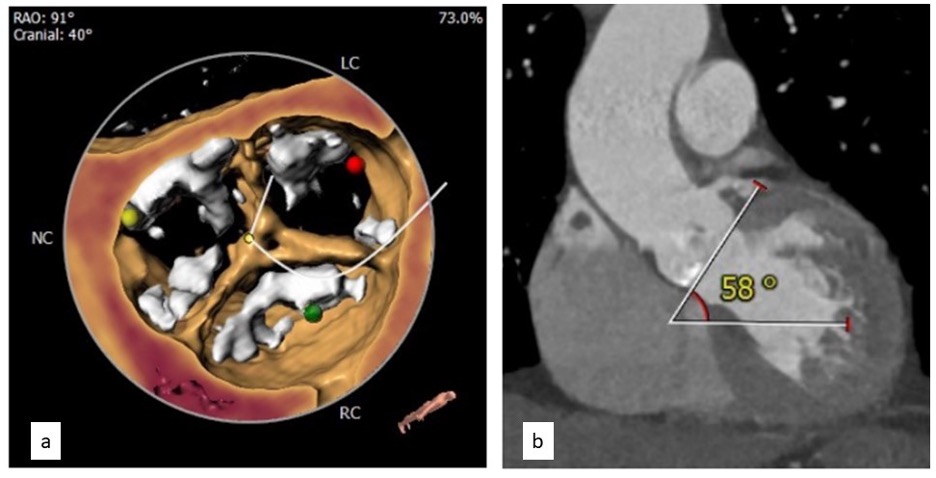
With a Euro SCORE II of 12%, the patient was deemed a high-risk surgical candidate and was prepared for TAVR. Computerized tomography for TAVR evaluation showed a calcified tricuspid aortic valve (Figure 1a) with a mean aortic annulus of 23.1 mm, mean left ventricular outflow tract diameter of 22.3 mm, left coronary height of 14 mm, and right coronary height of 18.6 mm. The patient had bilateral diffuse lower-limb atherosclerosis.
The minimal diameter of the left common iliac artery was 3.1 cm, left external iliac artery was 5 mm, and left common femoral artery was 6.4 mm. The minimal diameter of the right common iliac artery was 7 mm, right external iliac artery was 4 mm, and right common femoral artery was 6.6 mm (Figure 2a). The intimal diameter of the left subclavian was 5 mm (Figure 2b). Annular angulation of 58 degrees added to the challenges (Figure 1b).
In view of significant stenosis of the lower limb arteries, the patient was prepared for TAVR through a subclavian approach. An 18 Fr DrySeal sheath (Gore Medical) was placed, and a gradient of 76 mm Hg was measured across the aortic valve. Over a Confida Brecker guidewire (Medtronic), a 26-mm Evolut R self-expanding valve (Medtronic) was taken across the aortic valve. Rapid right ventricular pacing was initiated at 180 beats per minute, and the valve was deployed below the aortic annulus (Figure 3a). A chunk of calcium near the noncoronary sinus did not allow the valve to expand (Figure 3b), and immediately after deployment the valve popped out into the ascending aorta (Figure 3c).
There was no coronary obstruction, and the patient was hemodynamically stable. Using a bioptome (Cordis), the valve was pulled high in the aorta, leaving it just proximal to the origin of the brachiocephalic artery (Figure 4). The aortic valve was recrossed and another 26-mm Evolut R self-expanding valve was deployed successfully (Figure 5).
Discussion
The incidence of valve embolization ranges from 0.3% to 7.5%.1 It is unlikely that an appropriately sized transcatheter heart valve deployed in the correct position migrates or embolizes, provided there is enough calcification in the aortic valve apparatus as outer support. Accurate analysis of an aortic annulus using a computed tomography aortogram is important, as undersizing of the prosthetic valve predisposes to it embolization.1 During the procedure, if the valve is deployed too high or low in relation to the annulus valve, it may migrate into the aorta or left ventricle. Presence of nonuniform calcium around the annulus makes the deployed valve unstable.2 The deployed prosthetic valve is subjected to both antegrade and retrograde ejection force during systole and diastole, respectively. It has been shown that retrograde force on the closed valve is 10 times more than the antegrade force.3
Conclusion
In adequate pacing during valve deployment, the presence of severe aortic regurgitation and unfavorable angulation of the aortic annulus predispose it for embolization. In addition, the presence of the bicuspid aortic valve and prosthetic mitral valve increase the chance of transcatheter aortic valve migration.4,5
Disclosure: The authors have completed and returned the ICMJE Form for Disclosure of Potential Conflicts of Interest. The authors report no conflicts of interest regarding the content herein.
Manuscript accepted May 3, 2022.
Address for correspondence: Vivek Singh Guleria, DM, Department of Cardiology, Army Hospital Research and Referral, New Delhi 110010 India. Email: viveksguleria@gmail.com
REFERENCES
1. Sozzi FB, Eker A, Bourlon F, et al. Prosthesis migration after percutaneous aortic valve implantation. Echocardiography. 2014;31(2):E66-E67. doi:10.1111/echo.12398
2. Cao C, Ang SC, Vallely MP, Ng M, Adams M, Wilson M. Migration of the transcatheter valve into the left ventricle. Ann Cardiothorac Surg. 2012;1(2):243-244. doi:10.3978/j.issn.2225-319X.2012.07.11
3. Pang PYK, Chiam PTL, Chua YL, Sin YK. A survivor of late prosthesis migration and rotation following percutaneous transcatheter aortic valve implantation. Eur J Cardiothorac Surg. 2012;41(5):1195-1196. doi:10.1093/ejcts/ezr195
4. Lange R, Bleiziffer S, Piazza N, et al. Incidence and treatment of procedural cardiovascular complications associated with trans-arterial and trans-apical interventional aortic valve implantation in 412 consecutive patients. Eur J Cardiothorac Surg. 2011;40(5):1105-1113. doi:10.1016/j.ejcts.2011.03.022
5. Bruschi G, Merlanti B, Colombo P, et al. Successful surgical aortic valve replacement after transcatheter aortic valve migration. J Heart Stroke. 2016;1(1):1004.


