Iatrogenic Arteriovenous Fistula Between the Radial Artery and Cephalic Vein
© 2023 HMP Global. All Rights Reserved.
Any views and opinions expressed are those of the author(s) and/or participants and do not necessarily reflect the views, policy, or position of Vascular Disease Management or HMP Global, their employees, and affiliates.
VASCULAR DISEASE MANAGEMENT 2023;20(11):E201-E204
Abstract
This is a unique case of a 15-month-old female infant who presented with a pulsatile mass on the right wrist. She was born at full term but her neonatal course was complicated by problems of hepatitis and thrombocytopenia. An arteriogram showed a communication between the radial artery and cephalic vein. Arteriovenous fistulas are rare in children but can occur as a result of repeated venipunctures.
Background
Iatrogenic arteriovenous fistula has been shown to complicate venipuncture, especially in preterm and low-birth-weight babies.1 It can present with a palpable mass with a thrill and can be complicated by heart failure or acute limb ischemia.1,2 Children with coagulopathy appear to be particularly prone.3,4
We present a case of a 15-month-old girl who presented with an iatrogenic cause of arteriovenous fistula between the radial artery and cephalic vein at the level of the right wrist. The angiography performed was tantamount in establishing the diagnosis.
Case Report
A 15-month-old girl presented to our department with a pulsatile swelling of the right wrist. Her weight was 8 kg. She was born at 37 + 6 weeks of gestation with a birth weight of 2400 g via caesarean section for vertex presentation. She was the first child of nonconsanguineous parents. Initially after birth, she presented with hypoglycemia and neonatal respiratory distress syndrome managed by surfactant administration and intubation and ventilation for 2 days.
On the sixth day of admission she was shown to have direct hyperbilirubinemia and hepatitis. Viral causes such as viral hepatitis were negative. Additionally, platelets were low (min 19,000/mm3), which improved and normalized by the second week of life. Further examination was remarkable for moderate bilateral sensorineural hearing loss.
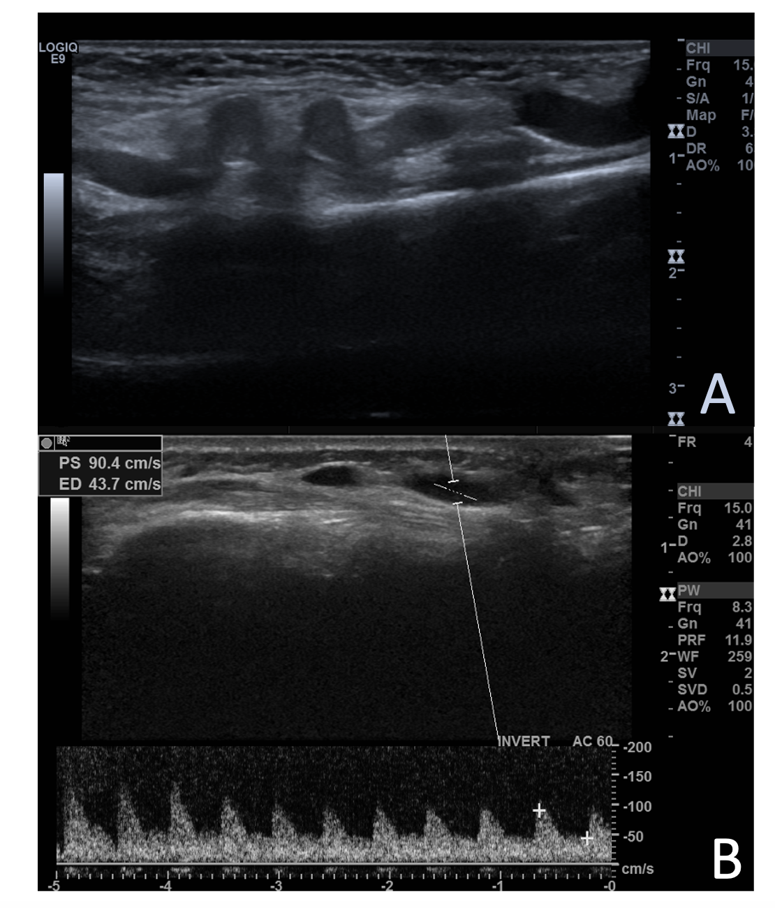
She was hospitalized for 23 days at her local hospital and 67 days at our hospital. Extensive liver investigations did not yield any significant cause, with spontaneous improvement of hepatic function. The karyotype, however, did show a mosaic of 45, XO, 46 XX. An ultrasound further elucidated the mass, which showed a communication between an artery and a vein (Figures 1 and 2).
The infant underwent an angiography. The ascending aorta was catheterized retrograde with the Seldinger technique. After preparation, the right femoral artery was accessed via a #4 sheath and a 4 x 1 Cobra catheter, a 4 x 2 pigtail, and a 0.035" guidewire (Video 1). The angiography showed an arteriovenous communication between the radial artery and cephalic vein over the right wrist. She was referred to surgery with a good operative result.
Discussion and Conclusion
Pediatric vascular injuries are rare and are mostly associated with venepuncture, catheterization, and arterial blood gas sampling.1-2 Acquired arteriovenous fistulas can develop progressively as a result of trauma, neoplasm erosion, infectious processes, and aneurysm formation. Historically, patients who underwent repeated venipunctures in the setting of coagulation problems, such as hemophilia, were at greater risk of developing a traumatic arteriovenous communication.3,4 Slow and insidious presentation can result in delayed treatment of many years later.5
The main differential diagnosis is pseudoaneurysm formation.6 Arteriography in combination with ultrasound and Doppler studies can be utilized to delineate the anatomy and help guide optimal treatment.7-8 n
The authors have completed and returned the ICMJE Form for Disclosure of Potential Conflicts of Interest. The authors report no financial relationships or conflicts of interest regarding the content herein.
Manuscript accepted October 31, 2023.
Address for Correspondence: Dr. Andriana Anagnostopoulou, Thivon and Livathias, GR11527, Athens, Greece. Email: Mdyy18003@uniwa.gr
Related Articles
High-Output Heart Failure Caused by Femoral Arteriovenous Fistula 27 Years After Trauma
REFERENCES
1. Gamba P, Tchaprassian Z, Verlato F, Verlato G, Orzali A, Zanon GF. Iatrogenic vascular lesions in extremely low birth weight and low birth weight neonates. J Vasc Surg. 1997;26(4):643-646. doi:10.1016/s0741-5214(97)70064-8
2. Parri FJ, Mestres CA, Morales L, Rodriguez-Miguelez M, Rovira J, Mulet J. Iatrogenic arteriovenous fistula in infancy. Acta Paediatr Scand. 1988;77(6):933-936. doi:10.1111/j.1651-2227.1988.tb10787.x
3. Upton J, Sampson C, Havlik R, Gorlin JB, Wayne A. Acquired arteriovenous fistulas in children. J Hand Surg Am. 1994;19(4):656-658. doi:10.1016/0363-5023(94)90277-1
4. Vora S, Ibrahim T, Rajadurai VS. Radial artery pseudoaneurysm in a neonate with hemophilia A. Indian Pediatr. 2014;51(11):921-923. doi:10.1007/s13312-014-0530-9
5. Youn YJ, Kim CW, Park IH, Byun CS. Delayed treatment of iatrogenic brachial arteriovenous fistula. Korean J Thorac Cardiovasc Surg. 2020;53(6):408-410. doi:10.5090/kjtcs.20.019
6. Usman R, Muhammad J, Mehmood K. (2017). iatrogenic arterial injuries in neonates secondary to venipuncture presentation management and outcome. Journal of the Dow University of Health Sciences. 11(2). doi:10.36570/jduhs.2017.2.509
7. Dogan OF, Demircin M, Ucar I, Duman U, Yilmaz M, Boke E. Iatrogenic brachial and femoral artery complications following venipuncture in children. Heart Surg Forum. 2006;9(4):E675-680. doi:10.1532/HSF98.2005-1036
8. Landau D, Schreiber R, Szendro G, Golcman L. Brachial artery pseudoaneurysm in a premature infant. Arch Dis Child Fetal Neonatal Ed. 2003;88(2):F152-153. doi:10.1136/fn.88.2.f152


