A Case of Hemoptysis Following Urosepsis
Abstract
A 79-year-old male presented with urosepsis following a traumatic urethral catheter insertion at a nursing home. He was managed appropriately, and blood and urine cultures yielded Klebsiella pneumoniae. Three days later, the patient developed hemoptysis, respiratory failure, and tachycardia. He was intubated and a bronchoscopy was done, which revealed blood-tinged mucus plugs, which were removed by suction and cryotherapy. Computed tomography angiography showed a finding consistent with active bleeding. The interventional radiology team performed a pulmonary angiography and found a large pseudoaneurysm arising from a left lower lobe segmental pulmonary artery branch, which was successfully embolized. Two months earlier, the patient had sepsis that was followed by septic pulmonary emboli, one of which was a left lower lobe embolism that was complicated with a pseudoaneurysm.
VASCULAR DISEASE MANAGEMENT 2022;19(5):E93-E9
Key words: aneurysm, angiography, hemoptysis, pseudoaneurysm, sepsis
Introduction
Mycotic aneurysms form when the vessel wall becomes infected with bacteria, resulting in false aneurysm formation. Mycotic pseudoaneurysms of the pulmonary vasculature are rare.1 There are 3 etiologies for mycotic pulmonary artery pseudoaneurysm (PAP); the vascular wall can be infected in the context of sepsis, septic pulmonary embolization (SPE), or adjacent pneumonia.2
Case Report
A 79-year-old man with an active history of diskitis/osteomyelitis, anemia of chronic disease, uncontrolled benign prostatic hyperplasia, hypertension, deep vein thrombosis, and atrial fibrillation developed hemoptysis 3 days after hospitalization for urosepsis. Prior to admission, he developed clinical features suggestive of a urinary tract infection and urinary retention. Urethral catheter insertion was attempted at his nursing home, which was complicated with hematuria, suggesting urethral trauma. Later, the patient developed clinical features suggestive of urosepsis and was transferred to the hospital. He was admitted and managed appropriately; urine and blood cultures revealed extended-spectrum beta-lactamase Klebsiella pneumoniae. The patient was improving from all perspectives, except for unexplained worsening of his baseline anemia, which was attributed initially to hematuria and concomitant apixaban use. Further worsening of anemia after holding apixaban, stopping the hematuria, and administering 1 unit of packed red blood cells was worrisome and remained unexplained until the occurrence of hemoptysis.
Three days after the onset of urosepsis, the patient developed hemoptysis, hypoxia (oxygen saturation, 70%), and tachycardia (140 beats/minute). He was transferred to the intensive care unit (ICU) immediately, and emergent intubation and bronchoscopy were done. After a thorough bronchoscopic evaluation, the bronchial tree appeared generally patent, but the distal trachea and left main stem bronchus were significantly blocked with thick, blood-tinged mucus plugs, some of which were successfully suctioned out using sterile saline while others required cryotherapy to remove them. Respiratory and bronchial wash cultures were obtained.
It is worth mentioning that patient did not complain of any respiratory symptoms prior to development of hemoptysis. In addition, the chest X-ray (CXR) done at admission was unremarkable.
CXR after hemoptysis showed enlargement and partial obscuring of the cardiomediastinal silhouette, retrocardiac opacity, perihilar haziness, and left pleural effusion. Computed tomography angiography (CTA) showed consolidation and atelectasis of the left lower lobe with surrounding ground-glass opacity and nodularity. It also showed a 2.2 cm x 1.7 cm focus of arterial enhancement with progressive enhancement on delayed phase, consistent with active bleeding found within the left lower lobe consolidation.
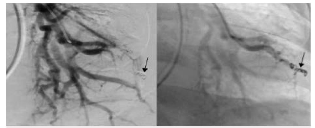
Based on CTA, the interventional radiology (IR) team was consulted, and they performed a pulmonary angiography. A large pseudoaneurysm arising from a left lower lobe segmental pulmonary artery branch was found (Figure 1), and it was successfully embolized (Figure 2).
On postoperative day (POD) 1, the patient was generally improving on minimal ventilatory settings, hemodynamically stable, and the anemia was improving. Respiratory cultures taken earlier via bronchoscopy were all negative. On POD 2, the patient was successfully extubated, the anemia improved to better than baseline, and the patient was transferred from the ICU to the hospital medicine service. On POD 3, a CT chest scan with and without contrast showed mild interval improvement in the left lower lobe consolidation without active contrast extravasation or pooling of contrast on arterial or delayed imaging. This supported the absence of residual pseudoaneurysm, and the patient was discharged on POD 5.
Two months earlier, the patient developed methicillin-sensitive Staphylococcus aureus (MSSA) sepsis, with subsequent septic pulmonary and vertebral emboli. The source of sepsis was an infected permanent pacemaker implant, which was being used for management of the patient’s sick sinus syndrome. There were many septic pulmonary emboli scattered in the lungs, one of which was in the left lower lobe and was associated with abscess. The site of this one matches exactly the site of the pseudoaneurysm discovered at the current presentation, supporting the mycotic nature of this pseudoaneurysm. Furthermore, there is no explanation of congenital disease, trauma, or vasculitis that can support another diagnosis with a more logical explanation than mycotic aneurysm. The pseudoaneurysm remained asymptomatic until hematogenous seeding with K. pneumoniae urosepsis induced it to rupture 2 months later.
Discussion
Septic pulmonary embolism (SPE) can be classified depending on the embolic source as cardiac (due to infective endocarditis) or noncardiac.3 Most cases of SPE-induced PAP reported in the English language literature are due to cardiac SPE. Regarding the first septic event, there were no preceding clinical features or cardiac vegetations on CT or echocardiography that could suggest a cardiac origin (infective endocarditis). Therefore, the embolic source of SPE that caused the PAP in this case was sepsis. Noncardiac SPE-induced PAP is extremely rare; only a few cases have been reported.
The most common bacteria involved in vascular wall infection and subsequent aneurysm formation is S. aureus (the first septic event in this case) and Salmonella spp.4,5 Other microorganisms have been reported, but less commonly than the previous two; these include Staphylococcus epidermidis, Escherichia coli, K. pneumoniae (the second septic event in this case), Peptostreptococcus spp, Bacteroides fragilis, Propionibacterium acnes, and Clostridium perfingens.6 It is important to note that an infected aneurysm, by definition, encompasses not only primary infection of a native artery resulting in aneurysm, but also infection of a preexisting aneurysm.7 In other words, pre-existing aneurysms may become secondarily infected.8 In this case, the 2 components of this definition existed in a metachronous fashion as there were 2 septic events preceding rupture, both of which contributed to the patient’s hemoptysis presentation. The first event formed the PAP, and the second triggered its rupture by secondarily infecting it (hematogenous seeding).
To our knowledge, this case is the first case of its kind to describe PAP rupture after 2 contributing metachronous septic events where the first event formed the PAP and the second triggered its rupture by hematogenous seeding.
It important to note that regardless of the etiologic cause, hemoptysis after rupture of a pulmonary artery pseudoaneurysm carries a 50% mortality.9
Conclusion
Although mycotic PAP is extremely rare in patients without infective endocarditis, a presentation of sepsis with hemoptysis without imaging findings indicative of infective endocarditis must not distract from PAP rupture, as it carries a 50% mortality risk. A thorough investigation is necessary.
Disclosure: The authors have completed and returned the ICMJE Form for Disclosure of Potential Conflicts of Interest. The authors report no conflicts of interest regarding the content herein.
Manuscript accepted May 3, 2022.
Address for correspondence: Abdul-Rahman F. Diab, University of South Florida Morsani College of Medicine, 12901 Bruce B. Downs Blvd., Tampa, FL 33647. Email: a.diab94@hotmail.com
REFERENCES
1. Deterling Jr RA, Clagett OT. Aneurysm of the pulmonary artery; review of the literature and report of a case. Am Heart J. 1947;34(4):471-499. doi:10.1016/0002-8703(47)90527-9
2. D’Souza D. Mycotic aneurysm. Radiopaedia.org. Accessed July 18, 2020. https://radiopaedia.org/articles/mycotic-aneurysm.
3. Song XY, Li S, Cao J, Xu K, Huang H, Xu ZJ. Cardiac septic pulmonary embolism: a retrospective analysis of 20 cases in a Chinese population. Medicine (Baltimore). 2016;95(25):e3846. doi:10.1097/MD.0000000000003846
4. Hsu P-J, Lee C-H, Lee F-Y, Liu J-W. Clinical and microbiological characteristics of mycotic aneurysms in a medical center in southern Taiwan. J Microbiol Immunol Infect. 2008;41(4):318-324.
5. Lee WK, Mossop PJ, Little AF, et al. Infected (mycotic) aneurysms: spectrum of imaging appearances and management.
Radiographics. 2008;28(7):1853-1868. doi:10.1148/rg.287085054
6. Brook I. Anaerobic bacteria as a cause of mycotic aneurysm of the aorta: microbiology and antimicrobial therapy. Curr Cardiol Rev. 2009;5(1):36-39. doi:10.2174/157340309787048095
7. Kim Y-K. Infected aneurysm: current management. Ann Vasc Dis. 2010;3(1):7-15. doi:10.3400/avd.AVDctiia09003
8. Reddy DJ, Shepard AD, Evans JR, Wright DJ, Smith RF, Ernst CB. Management of infected aortoiliac aneurysms. Arch Surg. 1991;126(7):873-878; discussion 878-879. doi:10.1001/archsurg.1991.01410310083012
9. Sirivella S, Gielchinsky I, Parsonnet V. Management of catheter-induced pulmonary artery perforation: a rare complication in cardiovascular operations. Ann Thorac Surg. 2001;72(6):2056-2059. doi:10.1016/s0003-4975(01)03244-1


